About   Help   FAQ
Gene Expression Data
Assay Details
Assay
Reference: J:153498 Diez-Roux G, et al., A high-resolution anatomical atlas of the transcriptome in the mouse embryo. PLoS Biol. 2011;9(1):e1000582
Assay type: RNA in situ
MGI Accession ID: MGI:4824731
Gene symbol: Ccser1
Gene name: coiled-coil serine rich 1
Probe: T39781
Probe preparation: Antisense labelled with digoxigenin RNA
Visualized with: Alkaline phosphatase
Assay notes: Cryosections of fresh frozen material were fixed in 4% paraformaldehyde for 20 min. before further processing. A tyramide-biotin/streptavidin amplification step was included in the in situ hybridization procedure.
Results
Specimen euxassay_016073_01: embryonic day 14.5 (more )
Structure Level Pattern Image Note
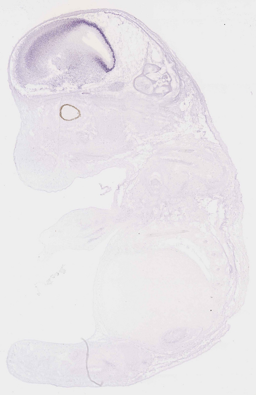
TS23: cerebral cortex mantle layer Strong Regionally restricted euxassay_016073_01

Specimen euxassay_016073_02: embryonic day 14.5 (more )
Structure Level Pattern Image Note
TS23: cerebral cortex mantle layer Strong Regionally restricted euxassay_016073_02
TS23: telencephalon mantle layer Moderate Regionally restricted euxassay_016073_02

Specimen euxassay_016073_03: embryonic day 14.5 (more )
Structure Level Pattern Image Note
TS23: cerebral cortex mantle layer Strong Regionally restricted euxassay_016073_03
TS23: telencephalon mantle layer Moderate Regionally restricted euxassay_016073_03

Specimen euxassay_016073_04: embryonic day 14.5 (more )
Structure Level Pattern Image Note
TS23: telencephalon mantle layer Moderate Regionally restricted euxassay_016073_04
TS23: cerebral cortex mantle layer Strong Regionally restricted euxassay_016073_04
TS23: facial ganglion Weak Regionally restricted euxassay_016073_04

Specimen euxassay_016073_05: embryonic day 14.5 (more )
Structure Level Pattern Image Note
TS23: telencephalon mantle layer Moderate Regionally restricted euxassay_016073_05
TS23: cerebral cortex mantle layer Strong Regionally restricted euxassay_016073_05
TS23: rest of cerebellum mantle layer Weak Regionally restricted euxassay_016073_05
TS23: facial ganglion Moderate Regionally restricted euxassay_016073_05

Specimen euxassay_016073_06: embryonic day 14.5 (more )
Structure Level Pattern Image Note
TS23: cerebral cortex mantle layer Strong Regionally restricted euxassay_016073_06
TS23: telencephalon mantle layer Moderate Regionally restricted euxassay_016073_06
TS23: rest of cerebellum mantle layer Weak Regionally restricted euxassay_016073_06
TS23: pons mantle layer Weak Regionally restricted euxassay_016073_06

Specimen euxassay_016073_07: embryonic day 14.5 (more )
Structure Level Pattern Image Note
TS23: cerebral cortex mantle layer Strong Regionally restricted euxassay_016073_07
TS23: telencephalon mantle layer Moderate Regionally restricted euxassay_016073_07
TS23: midbrain mantle layer Moderate Regionally restricted euxassay_016073_07
TS23: diencephalon lateral wall mantle layer Moderate Regionally restricted euxassay_016073_07
TS23: pons mantle layer Weak Regionally restricted euxassay_016073_07
TS23: rest of cerebellum mantle layer Weak Regionally restricted euxassay_016073_07
TS23: medulla oblongata alar plate mantle layer Weak Regionally restricted euxassay_016073_07
TS23: glossopharyngeal ganglion Weak Regionally restricted euxassay_016073_07

Specimen euxassay_016073_08: embryonic day 14.5 (more )
Structure Level Pattern Image Note
TS23: cerebral cortex mantle layer Strong Regionally restricted euxassay_016073_08
TS23: midbrain mantle layer Moderate Regionally restricted euxassay_016073_08
TS23: telencephalon mantle layer Moderate Regionally restricted euxassay_016073_08
TS23: diencephalon lateral wall mantle layer Moderate Regionally restricted euxassay_016073_08
TS23: medulla oblongata alar plate mantle layer Weak Regionally restricted euxassay_016073_08
TS23: rest of cerebellum mantle layer Weak Regionally restricted euxassay_016073_08
TS23: pons mantle layer Weak Regionally restricted euxassay_016073_08
TS23: cervical ganglion Weak Regionally restricted euxassay_016073_08

Specimen euxassay_016073_09: embryonic day 14.5 (more )
Structure Level Pattern Image Note
TS23: cerebral cortex mantle layer Strong Regionally restricted euxassay_016073_09
TS23: midbrain mantle layer Moderate Regionally restricted euxassay_016073_09
TS23: telencephalon mantle layer Moderate Regionally restricted euxassay_016073_09
TS23: diencephalon lateral wall mantle layer Moderate Regionally restricted euxassay_016073_09
TS23: pons mantle layer Weak Regionally restricted euxassay_016073_09
TS23: rest of cerebellum mantle layer Weak Regionally restricted euxassay_016073_09
TS23: medulla oblongata alar plate mantle layer Weak Regionally restricted euxassay_016073_09
TS23: medulla oblongata basal plate mantle layer Weak Regionally restricted euxassay_016073_09
TS23: cervical ganglion Weak Regionally restricted euxassay_016073_09
TS23: metanephros Weak Regionally restricted euxassay_016073_09

Specimen euxassay_016073_10: embryonic day 14.5 (more )
Structure Level Pattern Image Note
TS23: cerebral cortex mantle layer Strong Regionally restricted euxassay_016073_10
TS23: telencephalon mantle layer Moderate Regionally restricted euxassay_016073_10
TS23: diencephalon lateral wall mantle layer Moderate Regionally restricted euxassay_016073_10
TS23: pons mantle layer Weak Regionally restricted euxassay_016073_10
TS23: rest of cerebellum mantle layer Weak Regionally restricted euxassay_016073_10
TS23: medulla oblongata basal plate mantle layer Weak Regionally restricted euxassay_016073_10
TS23: medulla oblongata alar plate mantle layer Weak Regionally restricted euxassay_016073_10
TS23: cervico-thoracic ganglion Weak Regionally restricted euxassay_016073_10
TS23: metanephros Weak Regionally restricted euxassay_016073_10

Specimen euxassay_016073_11: embryonic day 14.5 (more )
Structure Level Pattern Image Note
TS23: cerebral cortex mantle layer Strong Regionally restricted euxassay_016073_11
TS23: telencephalon mantle layer Moderate Regionally restricted euxassay_016073_11
TS23: midbrain mantle layer Moderate Regionally restricted euxassay_016073_11
TS23: diencephalon lateral wall mantle layer Moderate Regionally restricted euxassay_016073_11
TS23: pons mantle layer Weak Regionally restricted euxassay_016073_11
TS23: rest of cerebellum mantle layer Weak Regionally restricted euxassay_016073_11
TS23: medulla oblongata alar plate mantle layer Weak Regionally restricted euxassay_016073_11
TS23: medulla oblongata basal plate mantle layer Weak Regionally restricted euxassay_016073_11
TS23: spinal cord mantle layer Moderate Regionally restricted euxassay_016073_11
TS23: cervico-thoracic ganglion Weak Regionally restricted euxassay_016073_11

Specimen euxassay_016073_12: embryonic day 14.5 (more )
Structure Level Pattern Image Note
TS23: cerebral cortex mantle layer Strong Regionally restricted euxassay_016073_12
TS23: diencephalon lateral wall mantle layer Moderate Regionally restricted euxassay_016073_12
TS23: telencephalon mantle layer Moderate Regionally restricted euxassay_016073_12
TS23: pons mantle layer Weak Regionally restricted euxassay_016073_12
TS23: rest of cerebellum mantle layer Weak Regionally restricted euxassay_016073_12
TS23: medulla oblongata basal plate mantle layer Weak Regionally restricted euxassay_016073_12
TS23: medulla oblongata alar plate mantle layer Weak Regionally restricted euxassay_016073_12
TS23: spinal cord mantle layer Moderate Regionally restricted euxassay_016073_12
TS23: trachea Weak Regionally restricted euxassay_016073_12

Specimen euxassay_016073_13: embryonic day 14.5 (more )
Structure Level Pattern Image Note
TS23: cerebral cortex mantle layer Strong Regionally restricted euxassay_016073_13
TS23: midbrain mantle layer Weak Regionally restricted euxassay_016073_13
TS23: telencephalon mantle layer Weak Regionally restricted euxassay_016073_13
TS23: diencephalon lateral wall mantle layer Weak Regionally restricted euxassay_016073_13
TS23: medulla oblongata basal plate mantle layer Weak Regionally restricted euxassay_016073_13
TS23: pons mantle layer Weak Regionally restricted euxassay_016073_13
TS23: spinal cord mantle layer Moderate Regionally restricted euxassay_016073_13
TS23: thoracic ganglion Weak Regionally restricted euxassay_016073_13
TS23: trachea Weak Regionally restricted euxassay_016073_13

Specimen euxassay_016073_14: embryonic day 14.5 (more )
Structure Level Pattern Image Note
TS23: cerebral cortex mantle layer Strong Regionally restricted euxassay_016073_14
TS23: midbrain mantle layer Weak Regionally restricted euxassay_016073_14
TS23: telencephalon mantle layer Weak Regionally restricted euxassay_016073_14
TS23: diencephalon lateral wall mantle layer Weak Regionally restricted euxassay_016073_14
TS23: pons mantle layer Weak Regionally restricted euxassay_016073_14
TS23: rest of cerebellum mantle layer Weak Regionally restricted euxassay_016073_14
TS23: medulla oblongata basal plate mantle layer Weak Regionally restricted euxassay_016073_14
TS23: spinal cord mantle layer Moderate Regionally restricted euxassay_016073_14
TS23: thoracic ganglion Weak Regionally restricted euxassay_016073_14

Specimen euxassay_016073_15: embryonic day 14.5 (more )
Structure Level Pattern Image Note
TS23: cerebral cortex mantle layer Strong Regionally restricted euxassay_016073_15
TS23: midbrain mantle layer Weak Regionally restricted euxassay_016073_15
TS23: telencephalon mantle layer Weak Regionally restricted euxassay_016073_15
TS23: diencephalon lateral wall mantle layer Weak Regionally restricted euxassay_016073_15
TS23: medulla oblongata alar plate mantle layer Weak Regionally restricted euxassay_016073_15
TS23: medulla oblongata basal plate mantle layer Weak Regionally restricted euxassay_016073_15
TS23: rest of cerebellum mantle layer Weak Regionally restricted euxassay_016073_15
TS23: pons mantle layer Weak Regionally restricted euxassay_016073_15
TS23: spinal cord mantle layer Moderate Regionally restricted euxassay_016073_15

Specimen euxassay_016073_16: embryonic day 14.5 (more )
Structure Level Pattern Image Note
TS23: cerebral cortex mantle layer Strong Regionally restricted euxassay_016073_16
TS23: telencephalon mantle layer Weak Regionally restricted euxassay_016073_16
TS23: diencephalon lateral wall mantle layer Weak Regionally restricted euxassay_016073_16
TS23: midbrain mantle layer Weak Regionally restricted euxassay_016073_16
TS23: pons mantle layer Weak Regionally restricted euxassay_016073_16
TS23: rest of cerebellum mantle layer Weak Regionally restricted euxassay_016073_16
TS23: medulla oblongata basal plate mantle layer Weak Regionally restricted euxassay_016073_16
TS23: medulla oblongata alar plate mantle layer Weak Regionally restricted euxassay_016073_16
TS23: spinal cord mantle layer Moderate Regionally restricted euxassay_016073_16
TS23: cervico-thoracic ganglion Weak Regionally restricted euxassay_016073_16
TS23: cervical ganglion Weak Regionally restricted euxassay_016073_16

Specimen euxassay_016073_17: embryonic day 14.5 (more )
Structure Level Pattern Image Note
TS23: cerebral cortex mantle layer Strong Regionally restricted euxassay_016073_17
TS23: midbrain mantle layer Moderate Regionally restricted euxassay_016073_17
TS23: telencephalon mantle layer Moderate Regionally restricted euxassay_016073_17
TS23: diencephalon lateral wall mantle layer Moderate Regionally restricted euxassay_016073_17
TS23: medulla oblongata alar plate mantle layer Weak Regionally restricted euxassay_016073_17
TS23: medulla oblongata basal plate mantle layer Weak Regionally restricted euxassay_016073_17
TS23: rest of cerebellum mantle layer Weak Regionally restricted euxassay_016073_17
TS23: pons mantle layer Weak Regionally restricted euxassay_016073_17
TS23: spinal cord mantle layer Moderate Regionally restricted euxassay_016073_17
TS23: glossopharyngeal ganglion Weak Regionally restricted euxassay_016073_17

Specimen euxassay_016073_18: embryonic day 14.5 (more )
Structure Level Pattern Image Note
TS23: cerebral cortex mantle layer Strong Regionally restricted euxassay_016073_18
TS23: midbrain mantle layer Moderate Regionally restricted euxassay_016073_18
TS23: telencephalon mantle layer Moderate Regionally restricted euxassay_016073_18
TS23: pons mantle layer Weak Regionally restricted euxassay_016073_18
TS23: medulla oblongata alar plate mantle layer Weak Regionally restricted euxassay_016073_18
TS23: rest of cerebellum mantle layer Weak Regionally restricted euxassay_016073_18
TS23: spinal cord mantle layer Moderate Regionally restricted euxassay_016073_18
TS23: metanephros Weak Regionally restricted euxassay_016073_18
TS23: glossopharyngeal ganglion Weak Regionally restricted euxassay_016073_18

Specimen euxassay_016073_19: embryonic day 14.5 (more )
Structure Level Pattern Image Note
TS23: cerebral cortex mantle layer Strong Regionally restricted euxassay_016073_19
TS23: telencephalon marginal layer Moderate Regionally restricted euxassay_016073_19
TS23: midbrain mantle layer Moderate Regionally restricted euxassay_016073_19
TS23: pons mantle layer Weak Regionally restricted euxassay_016073_19
TS23: rest of cerebellum mantle layer Weak Regionally restricted euxassay_016073_19
TS23: medulla oblongata alar plate mantle layer Weak Regionally restricted euxassay_016073_19
TS23: metanephros Weak Regionally restricted euxassay_016073_19
TS23: facial ganglion Moderate Regionally restricted euxassay_016073_19

Specimen euxassay_016073_20: embryonic day 14.5 (more )
Structure Level Pattern Image Note
TS23: cerebral cortex mantle layer Strong Regionally restricted euxassay_016073_20
TS23: telencephalon mantle layer Moderate Regionally restricted euxassay_016073_20
TS23: rest of cerebellum mantle layer Weak Regionally restricted euxassay_016073_20
TS23: facial ganglion Moderate Regionally restricted euxassay_016073_20

Specimen euxassay_016073_21: embryonic day 14.5 (more )
Structure Level Pattern Image Note
TS23: cerebral cortex mantle layer Strong Regionally restricted euxassay_016073_21
TS23: telencephalon mantle layer Moderate Regionally restricted euxassay_016073_21
TS23: rest of cerebellum mantle layer Weak Regionally restricted euxassay_016073_21

Specimen euxassay_016073_22: embryonic day 14.5 (more )
Structure Level Pattern Image Note
TS23: cerebral cortex mantle layer Strong Regionally restricted euxassay_016073_22
TS23: telencephalon marginal layer Moderate Regionally restricted euxassay_016073_22

Specimen euxassay_016073_23: embryonic day 14.5 (more )
Structure Level Pattern Image Note
TS23: cerebral cortex mantle layer Strong Regionally restricted euxassay_016073_23


Contributing Projects:
Mouse Genome Database (MGD), Gene Expression Database (GXD), Mouse Models of Human Cancer database (MMHCdb) (formerly Mouse Tumor Biology (MTB)), Gene Ontology (GO)
Citing These Resources
Funding Information
Warranty Disclaimer, Privacy Notice, Licensing, & Copyright
Send questions and comments to User Support.
last database update
12/30/2025
MGI 6.24
The Jackson Laboratory