About   Help   FAQ
Gene Expression Data
Assay Details
Assay
Reference: J:153498 Diez-Roux G, et al., A high-resolution anatomical atlas of the transcriptome in the mouse embryo. PLoS Biol. 2011;9(1):e1000582
Assay type: RNA in situ
MGI Accession ID: MGI:4824709
Gene symbol: Fam136a
Gene name: family with sequence similarity 136, member A
Probe: MGC clone 35736
Probe preparation: Antisense labelled with digoxigenin RNA
Visualized with: Alkaline phosphatase
Assay notes: Cryosections of fresh frozen material were fixed in 4% paraformaldehyde for 20 min. before further processing. A tyramide-biotin/streptavidin amplification step was included in the in situ hybridization procedure.
Results
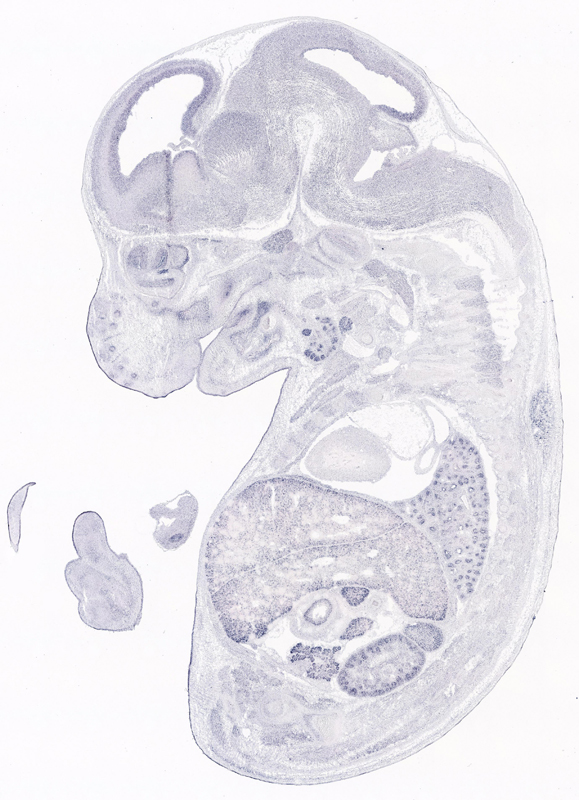
Specimen euxassay_003220_01: embryonic day 14.5 (more )
Structure Level Pattern Image Note
TS23: Meckel's cartilage Moderate Regionally restricted euxassay_003220_01
TS23: orbito-sphenoid Moderate Regionally restricted euxassay_003220_01
TS23: stomach Weak Regionally restricted euxassay_003220_01

Specimen euxassay_003220_02: embryonic day 14.5 (more )
Structure Level Pattern Image Note
TS23: Meckel's cartilage Moderate Regionally restricted euxassay_003220_02
TS23: orbito-sphenoid Moderate Regionally restricted euxassay_003220_02
TS23: left lung Moderate Regionally restricted euxassay_003220_02
TS23: stomach Weak Regionally restricted euxassay_003220_02

Specimen euxassay_003220_03: embryonic day 14.5 (more )
Structure Level Pattern Image Note
TS23: Meckel's cartilage Moderate Regionally restricted euxassay_003220_03
TS23: axial musculature Moderate Regionally restricted euxassay_003220_03
TS23: orbito-sphenoid Moderate Regionally restricted euxassay_003220_03
TS23: left lung Moderate Regionally restricted euxassay_003220_03
TS23: stomach Weak Regionally restricted euxassay_003220_03

Specimen euxassay_003220_04: embryonic day 14.5 (more )
Structure Level Pattern Image Note
TS23: axial musculature Moderate Regionally restricted euxassay_003220_04
TS23: orbito-sphenoid Moderate Regionally restricted euxassay_003220_04
TS23: left lung Moderate Regionally restricted euxassay_003220_04
TS23: stomach Weak Regionally restricted euxassay_003220_04

Specimen euxassay_003220_05: embryonic day 14.5 (more )
Structure Level Pattern Image Note
TS23: axial musculature Moderate Regionally restricted euxassay_003220_05
TS23: orbito-sphenoid Moderate Regionally restricted euxassay_003220_05
TS23: left lung Moderate Regionally restricted euxassay_003220_05
TS23: stomach Moderate Regionally restricted euxassay_003220_05
TS23: maturing glomerular tuft Weak Regionally restricted euxassay_003220_05

Specimen euxassay_003220_06: embryonic day 14.5 (more )
Structure Level Pattern Image Note
TS23: axial musculature Moderate Regionally restricted euxassay_003220_06
TS23: orbito-sphenoid Moderate Regionally restricted euxassay_003220_06
TS23: submandibular gland primordium Moderate Regionally restricted euxassay_003220_06
TS23: left lung Moderate Regionally restricted euxassay_003220_06
TS23: stomach Moderate Regionally restricted euxassay_003220_06
TS23: maturing glomerular tuft Weak Regionally restricted euxassay_003220_06

Specimen euxassay_003220_07: embryonic day 14.5 (more )
Structure Level Pattern Image Note
TS23: axial musculature Moderate Regionally restricted euxassay_003220_07
TS23: submandibular gland primordium Moderate Regionally restricted euxassay_003220_07
TS23: left lung Moderate Regionally restricted euxassay_003220_07
TS23: stomach Moderate Regionally restricted euxassay_003220_07
TS23: pancreas Moderate Regionally restricted euxassay_003220_07
TS23: vibrissa Weak Regionally restricted euxassay_003220_07
TS23: maturing glomerular tuft Weak Regionally restricted euxassay_003220_07
TS23: adrenal gland Weak Uniform euxassay_003220_07

Specimen euxassay_003220_08: embryonic day 14.5 (more )
Structure Level Pattern Image Note
TS23: submandibular gland primordium Moderate Regionally restricted euxassay_003220_08
TS23: left lung Moderate Regionally restricted euxassay_003220_08
TS23: stomach Moderate Regionally restricted euxassay_003220_08
TS23: pancreas Moderate Regionally restricted euxassay_003220_08
TS23: dorsal root ganglion Weak Regionally restricted euxassay_003220_08
TS23: vibrissa Weak Regionally restricted euxassay_003220_08
TS23: maturing glomerular tuft Weak Regionally restricted euxassay_003220_08
TS23: adrenal gland Weak Uniform euxassay_003220_08

Specimen euxassay_003220_09: embryonic day 14.5 (more )
Structure Level Pattern Image Note
TS23: submandibular gland primordium Moderate Regionally restricted euxassay_003220_09
TS23: left lung Moderate Regionally restricted euxassay_003220_09
TS23: stomach Moderate Regionally restricted euxassay_003220_09
TS23: midgut Moderate Regionally restricted euxassay_003220_09
TS23: pancreas Moderate Regionally restricted euxassay_003220_09
TS23: dorsal root ganglion Weak Regionally restricted euxassay_003220_09
TS23: maturing glomerular tuft Weak Regionally restricted euxassay_003220_09
TS23: adrenal gland Weak Uniform euxassay_003220_09

Specimen euxassay_003220_10: embryonic day 14.5 (more )
Structure Level Pattern Image Note
TS23: submandibular gland primordium Moderate Regionally restricted euxassay_003220_10
TS23: left lung Moderate Regionally restricted euxassay_003220_10
TS23: midgut Moderate Regionally restricted euxassay_003220_10
TS23: pancreas Moderate Regionally restricted euxassay_003220_10
TS23: dorsal root ganglion Weak Regionally restricted euxassay_003220_10
TS23: maturing glomerular tuft Weak Regionally restricted euxassay_003220_10
TS23: adrenal gland Weak Uniform euxassay_003220_10

Specimen euxassay_003220_11: embryonic day 14.5 (more )
Structure Level Pattern Image Note
TS23: thymus primordium Moderate Uniform euxassay_003220_11
TS23: left lung Moderate Regionally restricted euxassay_003220_11
TS23: midgut Moderate Regionally restricted euxassay_003220_11
TS23: hindgut Moderate Regionally restricted euxassay_003220_11
TS23: pancreas Moderate Regionally restricted euxassay_003220_11
TS23: dorsal root ganglion Weak Regionally restricted euxassay_003220_11

Specimen euxassay_003220_12: embryonic day 14.5 (more )
Structure Level Pattern Image Note
TS23: upper jaw incisor Moderate Regionally restricted euxassay_003220_12
TS23: lower jaw incisor Moderate Regionally restricted euxassay_003220_12
TS23: thymus primordium Moderate Uniform euxassay_003220_12
TS23: left lung Weak Regionally restricted euxassay_003220_12
TS23: midgut Moderate Regionally restricted euxassay_003220_12
TS23: hindgut Moderate Regionally restricted euxassay_003220_12

Specimen euxassay_003220_13: embryonic day 14.5 (more )
Structure Level Pattern Image Note
TS23: upper jaw incisor Moderate Regionally restricted euxassay_003220_13
TS23: lower jaw incisor Moderate Regionally restricted euxassay_003220_13
TS23: thymus primordium Moderate Uniform euxassay_003220_13
TS23: right lung Moderate Regionally restricted euxassay_003220_13
TS23: rectum Moderate Regionally restricted euxassay_003220_13
TS23: midgut Moderate Regionally restricted euxassay_003220_13
TS23: hindgut Moderate Regionally restricted euxassay_003220_13
TS23: trachea Moderate Regionally restricted euxassay_003220_13

Specimen euxassay_003220_14: embryonic day 14.5 (more )
Structure Level Pattern Image Note
TS23: upper jaw incisor Moderate Regionally restricted euxassay_003220_14
TS23: thymus primordium Moderate Uniform euxassay_003220_14
TS23: right lung Moderate Regionally restricted euxassay_003220_14
TS23: hindgut Moderate Regionally restricted euxassay_003220_14
TS23: midgut Moderate Regionally restricted euxassay_003220_14
TS23: trachea Moderate Regionally restricted euxassay_003220_14
TS23: pancreas Moderate Regionally restricted euxassay_003220_14

Specimen euxassay_003220_15: embryonic day 14.5 (more )
Structure Level Pattern Image Note
TS23: thymus primordium Moderate Uniform euxassay_003220_15
TS23: right lung Moderate Regionally restricted euxassay_003220_15
TS23: hindgut Moderate Regionally restricted euxassay_003220_15
TS23: midgut Moderate Regionally restricted euxassay_003220_15
TS23: pancreas Moderate Regionally restricted euxassay_003220_15
TS23: dorsal root ganglion Weak Regionally restricted euxassay_003220_15

Specimen euxassay_003220_16: embryonic day 14.5 (more )
Structure Level Pattern Image Note
TS23: lower jaw incisor Moderate Regionally restricted euxassay_003220_16
TS23: thymus primordium Moderate Uniform euxassay_003220_16
TS23: right lung Moderate Regionally restricted euxassay_003220_16
TS23: midgut Moderate Regionally restricted euxassay_003220_16
TS23: hindgut Moderate Regionally restricted euxassay_003220_16
TS23: pancreas Moderate Regionally restricted euxassay_003220_16
TS23: dorsal root ganglion Weak Regionally restricted euxassay_003220_16
TS23: maturing glomerular tuft Weak Regionally restricted euxassay_003220_16
TS23: adrenal gland Weak Uniform euxassay_003220_16

Specimen euxassay_003220_17: embryonic day 14.5 (more )
Structure Level Pattern Image Note
TS23: lower jaw incisor Moderate Regionally restricted euxassay_003220_17
TS23: upper jaw incisor Moderate Regionally restricted euxassay_003220_17
TS23: submandibular gland primordium Moderate Regionally restricted euxassay_003220_17
TS23: right lung Moderate Regionally restricted euxassay_003220_17
TS23: hindgut Moderate Regionally restricted euxassay_003220_17
TS23: midgut Moderate Regionally restricted euxassay_003220_17
TS23: pancreas Moderate Regionally restricted euxassay_003220_17
TS23: dorsal root ganglion Weak Regionally restricted euxassay_003220_17
TS23: maturing glomerular tuft Weak Regionally restricted euxassay_003220_17
TS23: adrenal gland Weak Uniform euxassay_003220_17

Specimen euxassay_003220_18: embryonic day 14.5 (more )
Structure Level Pattern Image Note
TS23: upper jaw incisor Moderate Regionally restricted euxassay_003220_18
TS23: lower jaw incisor Moderate Regionally restricted euxassay_003220_18
TS23: submandibular gland primordium Moderate Regionally restricted euxassay_003220_18
TS23: right lung Moderate Regionally restricted euxassay_003220_18
TS23: hindgut Moderate Regionally restricted euxassay_003220_18
TS23: midgut Moderate Regionally restricted euxassay_003220_18
TS23: maturing glomerular tuft Weak Regionally restricted euxassay_003220_18
TS23: adrenal gland Weak Uniform euxassay_003220_18

Specimen euxassay_003220_19: embryonic day 14.5 (more )
Structure Level Pattern Image Note
TS23: axial musculature Moderate Regionally restricted euxassay_003220_19
TS23: submandibular gland primordium Moderate Regionally restricted euxassay_003220_19
TS23: right lung Moderate Regionally restricted euxassay_003220_19
TS23: hindgut Moderate Regionally restricted euxassay_003220_19
TS23: midgut Moderate Regionally restricted euxassay_003220_19
TS23: maturing glomerular tuft Weak Regionally restricted euxassay_003220_19
TS23: adrenal gland Weak Uniform euxassay_003220_19

Specimen euxassay_003220_20: embryonic day 14.5 (more )
Structure Level Pattern Image Note
TS23: axial musculature Moderate Regionally restricted euxassay_003220_20
TS23: submandibular gland primordium Moderate Regionally restricted euxassay_003220_20
TS23: right lung Moderate Regionally restricted euxassay_003220_20
TS23: midgut Moderate Regionally restricted euxassay_003220_20
TS23: hindgut Moderate Regionally restricted euxassay_003220_20
TS23: renal cortex Weak Regionally restricted euxassay_003220_20
TS23: maturing glomerular tuft Weak Regionally restricted euxassay_003220_20

Specimen euxassay_003220_21: embryonic day 14.5 (more )
Structure Level Pattern Image Note
TS23: axial musculature Moderate Regionally restricted euxassay_003220_21
TS23: orbito-sphenoid Moderate Regionally restricted euxassay_003220_21
TS23: submandibular gland primordium Moderate Regionally restricted euxassay_003220_21
TS23: right lung Moderate Regionally restricted euxassay_003220_21
TS23: midgut Moderate Regionally restricted euxassay_003220_21
TS23: maturing glomerular tuft Weak Regionally restricted euxassay_003220_21

Specimen euxassay_003220_22: embryonic day 14.5 (more )
Structure Level Pattern Image Note
TS23: axial musculature Moderate Regionally restricted euxassay_003220_22
TS23: orbito-sphenoid Moderate Regionally restricted euxassay_003220_22
TS23: right lung Moderate Regionally restricted euxassay_003220_22
TS23: vibrissa Weak Regionally restricted euxassay_003220_22

Specimen euxassay_003220_23: embryonic day 14.5 (more )
Structure Level Pattern Image Note
TS23: Meckel's cartilage Moderate Regionally restricted euxassay_003220_23
TS23: axial musculature Moderate Regionally restricted euxassay_003220_23
TS23: orbito-sphenoid Moderate Regionally restricted euxassay_003220_23
TS23: right lung Moderate Regionally restricted euxassay_003220_23

Specimen euxassay_003220_24: embryonic day 14.5 (more )
Structure Level Pattern Image Note
TS23: Meckel's cartilage Moderate Regionally restricted euxassay_003220_24
TS23: right lung Weak Regionally restricted euxassay_003220_24


Contributing Projects:
Mouse Genome Database (MGD), Gene Expression Database (GXD), Mouse Models of Human Cancer database (MMHCdb) (formerly Mouse Tumor Biology (MTB)), Gene Ontology (GO)
Citing These Resources
Funding Information
Warranty Disclaimer, Privacy Notice, Licensing, & Copyright
Send questions and comments to User Support.
last database update
01/20/2026
MGI 6.24
The Jackson Laboratory