About   Help   FAQ
Gene Expression Data
Assay Details
Assay
Reference: J:153498 Diez-Roux G, et al., A high-resolution anatomical atlas of the transcriptome in the mouse embryo. PLoS Biol. 2011;9(1):e1000582
Assay type: RNA in situ
MGI Accession ID: MGI:4824703
Gene symbol: C1qtnf12
Gene name: C1q and tumor necrosis factor related 12
Probe: MGC clone 25716
Probe preparation: Antisense labelled with digoxigenin RNA
Visualized with: Alkaline phosphatase
Assay notes: Cryosections of fresh frozen material were fixed in 4% paraformaldehyde for 20 min. before further processing. A tyramide-biotin/streptavidin amplification step was included in the in situ hybridization procedure.
Results
Specimen euxassay_005009_01: embryonic day 14.5 (more )
Structure Level Pattern Image Note
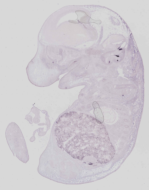
TS23: liver left lobe Moderate Regionally restricted euxassay_005009_01
TS23: cochlea Strong Regionally restricted euxassay_005009_01

Specimen euxassay_005009_02: embryonic day 14.5 (more )
Structure Level Pattern Image Note
TS23: liver left lobe Moderate Regionally restricted euxassay_005009_02
TS23: cochlear duct Strong Regionally restricted euxassay_005009_02

Specimen euxassay_005009_03: embryonic day 14.5 (more )
Structure Level Pattern Image Note
TS23: liver left lobe Moderate Regionally restricted euxassay_005009_03
TS23: cochlear duct Strong Regionally restricted euxassay_005009_03

Specimen euxassay_005009_04: embryonic day 14.5 (more )
Structure Level Pattern Image Note
TS23: liver left lobe Moderate Regionally restricted euxassay_005009_04
TS23: cochlear duct Strong Regionally restricted euxassay_005009_04

Specimen euxassay_005009_05: embryonic day 14.5 (more )
Structure Level Pattern Image Note
TS23: liver left lobe Moderate Regionally restricted euxassay_005009_05
TS23: vibrissa Strong Regionally restricted euxassay_005009_05
TS23: cochlear duct Strong Regionally restricted euxassay_005009_05
TS23: renal calyx Moderate Regionally restricted euxassay_005009_05

Specimen euxassay_005009_06: embryonic day 14.5 (more )
Structure Level Pattern Image Note
TS23: liver left lobe Moderate Regionally restricted euxassay_005009_06
TS23: vibrissa Strong Regionally restricted euxassay_005009_06
TS23: cochlear duct Strong Regionally restricted euxassay_005009_06
TS23: renal calyx Moderate Regionally restricted euxassay_005009_06

Specimen euxassay_005009_07: embryonic day 14.5 (more )
Structure Level Pattern Image Note
TS23: liver left lobe Moderate Regionally restricted euxassay_005009_07
TS23: vibrissa Strong Regionally restricted euxassay_005009_07
TS23: renal calyx Moderate Regionally restricted euxassay_005009_07

Specimen euxassay_005009_08: embryonic day 14.5 (more )
Structure Level Pattern Image Note
TS23: liver left lobe Moderate Regionally restricted euxassay_005009_08
TS23: vibrissa Strong Regionally restricted euxassay_005009_08
TS23: renal calyx Moderate Regionally restricted euxassay_005009_08

Specimen euxassay_005009_09: embryonic day 14.5 (more )
Structure Level Pattern Image Note
TS23: liver left lobe Moderate Regionally restricted euxassay_005009_09
TS23: vibrissa Strong Regionally restricted euxassay_005009_09
TS23: renal calyx Moderate Regionally restricted euxassay_005009_09
TS23: thyroid gland Moderate Regionally restricted euxassay_005009_09

Specimen euxassay_005009_10: embryonic day 14.5 (more )
Structure Level Pattern Image Note
TS23: liver left lobe Moderate Regionally restricted euxassay_005009_10
TS23: renal calyx Moderate Regionally restricted euxassay_005009_10
TS23: thyroid gland Moderate Regionally restricted euxassay_005009_10

Specimen euxassay_005009_11: embryonic day 14.5 (more )
Structure Level Pattern Image Note
TS23: liver left lobe Moderate Regionally restricted euxassay_005009_11

Specimen euxassay_005009_12: embryonic day 14.5 (more )
Structure Level Pattern Image Note
TS23: liver left lobe Moderate Regionally restricted euxassay_005009_12

Specimen euxassay_005009_13: embryonic day 14.5 (more )
Structure Level Pattern Image Note
TS23: liver right lobe Moderate Regionally restricted euxassay_005009_13

Specimen euxassay_005009_14: embryonic day 14.5 (more )
Structure Level Pattern Image Note
TS23: liver right lobe Moderate Regionally restricted euxassay_005009_14
TS23: thyroid gland Moderate Regionally restricted euxassay_005009_14

Specimen euxassay_005009_15: embryonic day 14.5 (more )
Structure Level Pattern Image Note
TS23: liver right lobe Moderate Regionally restricted euxassay_005009_15
TS23: renal calyx Moderate Regionally restricted euxassay_005009_15
TS23: thyroid gland Moderate Regionally restricted euxassay_005009_15

Specimen euxassay_005009_16: embryonic day 14.5 (more )
Structure Level Pattern Image Note
TS23: liver right lobe Moderate Regionally restricted euxassay_005009_16
TS23: cochlear duct Strong Regionally restricted euxassay_005009_16
TS23: renal calyx Moderate Regionally restricted euxassay_005009_16

Specimen euxassay_005009_17: embryonic day 14.5 (more )
Structure Level Pattern Image Note
TS23: liver right lobe Moderate Regionally restricted euxassay_005009_17
TS23: cochlear duct Strong Regionally restricted euxassay_005009_17
TS23: renal calyx Moderate Regionally restricted euxassay_005009_17

Specimen euxassay_005009_18: embryonic day 14.5 (more )
Structure Level Pattern Image Note
TS23: liver right lobe Moderate Regionally restricted euxassay_005009_18
TS23: cochlear duct Strong Regionally restricted euxassay_005009_18
TS23: renal calyx Moderate Regionally restricted euxassay_005009_18

Specimen euxassay_005009_19: embryonic day 14.5 (more )
Structure Level Pattern Image Note
TS23: liver right lobe Moderate Regionally restricted euxassay_005009_19
TS23: cochlear duct Strong Regionally restricted euxassay_005009_19
TS23: renal calyx Moderate Regionally restricted euxassay_005009_19

Specimen euxassay_005009_20: embryonic day 14.5 (more )
Structure Level Pattern Image Note
TS23: liver right lobe Moderate Regionally restricted euxassay_005009_20
TS23: cochlear duct Strong Regionally restricted euxassay_005009_20

Specimen euxassay_005009_21: embryonic day 14.5 (more )
Structure Level Pattern Image Note
TS23: liver right lobe Moderate Regionally restricted euxassay_005009_21
TS23: vibrissa Strong Regionally restricted euxassay_005009_21
TS23: cochlear duct Strong Regionally restricted euxassay_005009_21

Specimen euxassay_005009_22: embryonic day 14.5 (more )
Structure Level Pattern Image Note
TS23: liver right lobe Moderate Regionally restricted euxassay_005009_22
TS23: vibrissa Strong Regionally restricted euxassay_005009_22
TS23: cochlear duct Strong Regionally restricted euxassay_005009_22

Specimen euxassay_005009_23: embryonic day 14.5 (more )
Structure Level Pattern Image Note
TS23: liver right lobe Moderate Regionally restricted euxassay_005009_23
TS23: vibrissa Strong Regionally restricted euxassay_005009_23
TS23: cochlear duct Strong Regionally restricted euxassay_005009_23

Specimen euxassay_005009_24: embryonic day 14.5 (more )
Structure Level Pattern Image Note
TS23: liver right lobe Moderate Regionally restricted euxassay_005009_24
TS23: vibrissa Strong Regionally restricted euxassay_005009_24
TS23: cochlear duct Strong Regionally restricted euxassay_005009_24

Specimen euxassay_005009_25: embryonic day 14.5 (more )
Structure Level Pattern Image Note
TS23: liver right lobe Moderate Regionally restricted euxassay_005009_25


Contributing Projects:
Mouse Genome Database (MGD), Gene Expression Database (GXD), Mouse Models of Human Cancer database (MMHCdb) (formerly Mouse Tumor Biology (MTB)), Gene Ontology (GO)
Citing These Resources
Funding Information
Warranty Disclaimer, Privacy Notice, Licensing, & Copyright
Send questions and comments to User Support.
last database update
01/06/2026
MGI 6.24
The Jackson Laboratory