About   Help   FAQ
Gene Expression Data
Assay Details
Assay
Reference: J:153498 Diez-Roux G, et al., A high-resolution anatomical atlas of the transcriptome in the mouse embryo. PLoS Biol. 2011;9(1):e1000582
Assay type: RNA in situ
MGI Accession ID: MGI:4824700
Gene symbol: Amer2
Gene name: APC membrane recruitment 2
Probe: T35061
Probe preparation: Antisense labelled with digoxigenin RNA
Visualized with: Alkaline phosphatase
Assay notes: Cryosections of fresh frozen material were fixed in 4% paraformaldehyde for 20 min. before further processing. A tyramide-biotin/streptavidin amplification step was included in the in situ hybridization procedure.
Results
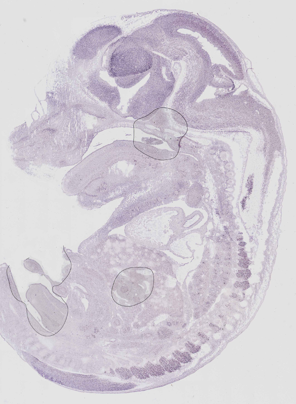
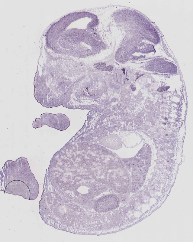
Specimen euxassay_006362_01: embryonic day 14.5 (more )
Structure Level Pattern Image Note
TS23: brain Strong Regionally restricted euxassay_006362_01

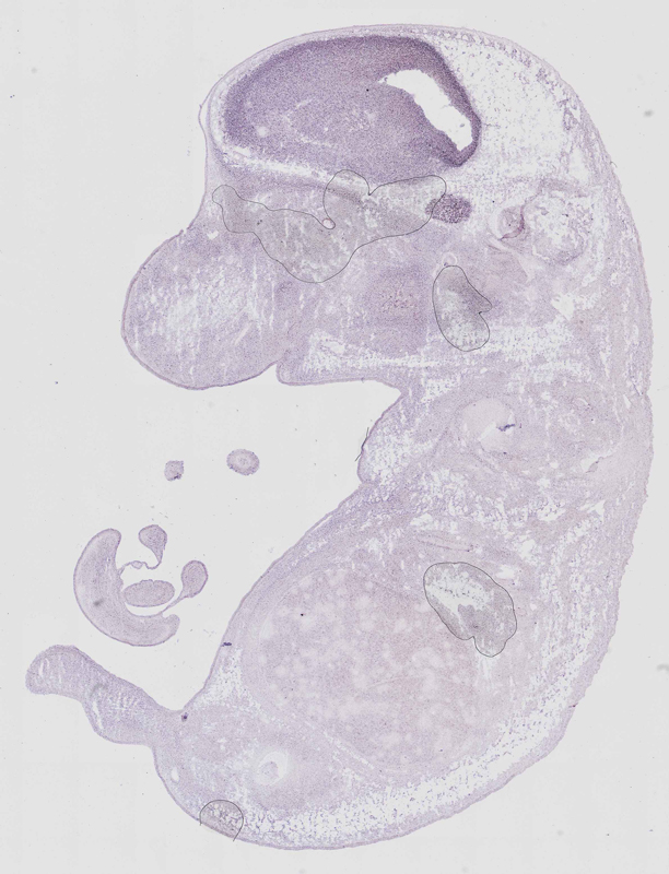
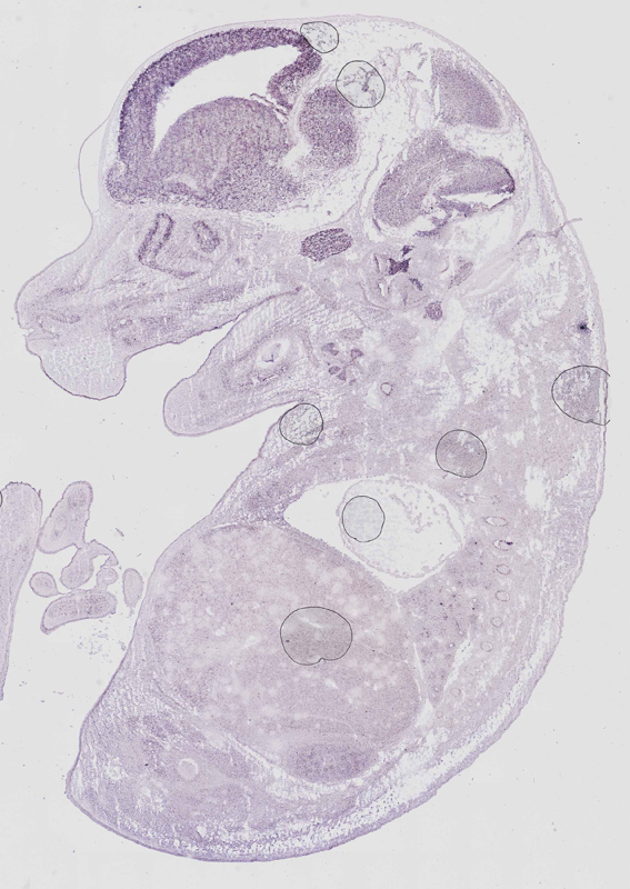
Specimen euxassay_006362_02: embryonic day 14.5 (more )
Structure Level Pattern Image Note
TS23: trigeminal ganglion Strong Uniform euxassay_006362_02
TS23: brain Strong Regionally restricted euxassay_006362_02

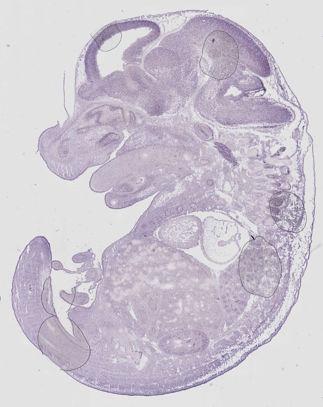
Specimen euxassay_006362_03: embryonic day 14.5 (more )
Structure Level Pattern Image Note
TS23: trigeminal ganglion Strong Uniform euxassay_006362_03
TS23: brain Strong Regionally restricted euxassay_006362_03

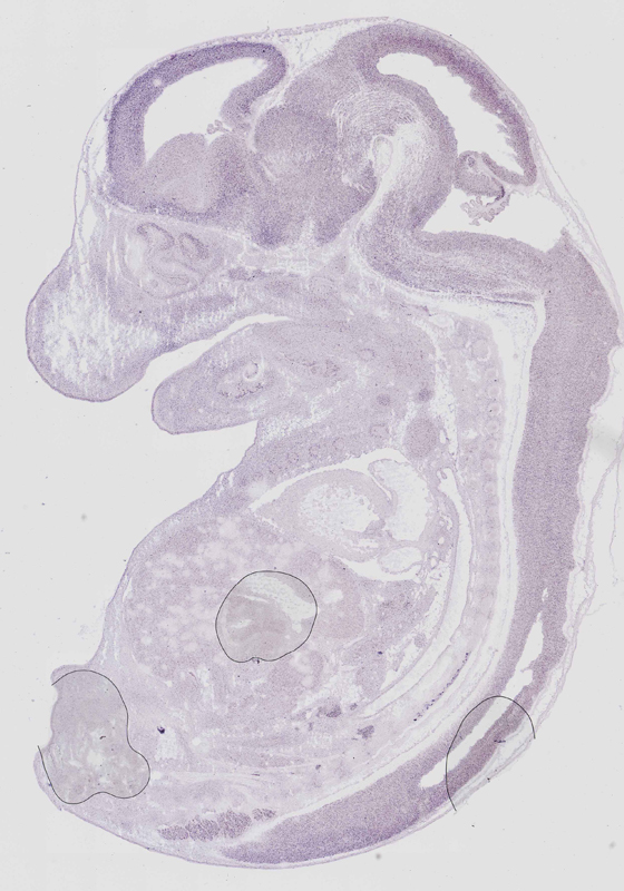
Specimen euxassay_006362_04: embryonic day 14.5 (more )
Structure Level Pattern Image Note
TS23: trigeminal ganglion Strong Uniform euxassay_006362_04
TS23: facial ganglion Strong Uniform euxassay_006362_04
TS23: brain Strong Regionally restricted euxassay_006362_04

Specimen euxassay_006362_05: embryonic day 14.5 (more )
Structure Level Pattern Image Note
TS23: dorsal root ganglion Strong Regionally restricted euxassay_006362_05
TS23: trigeminal ganglion Strong Uniform euxassay_006362_05
TS23: vestibulo-cochlear ganglion Strong Uniform euxassay_006362_05
TS23: glossopharyngeal ganglion Strong Uniform euxassay_006362_05
TS23: brain Strong Regionally restricted euxassay_006362_05

Specimen euxassay_006362_06: embryonic day 14.5 (more )
Structure Level Pattern Image Note
TS23: dorsal root ganglion Strong Regionally restricted euxassay_006362_06
TS23: trigeminal ganglion Strong Uniform euxassay_006362_06
TS23: vestibulo-cochlear ganglion Strong Uniform euxassay_006362_06
TS23: vagus ganglion Strong Uniform euxassay_006362_06
TS23: cervico-thoracic ganglion Strong Regionally restricted euxassay_006362_06
TS23: cervical ganglion Strong Regionally restricted euxassay_006362_06
TS23: brain Strong Regionally restricted euxassay_006362_06
TS23: spinal cord Strong Regionally restricted euxassay_006362_06

Specimen euxassay_006362_07: embryonic day 14.5 (more )
Structure Level Pattern Image Note
TS23: dorsal root ganglion Strong Regionally restricted euxassay_006362_07
TS23: trigeminal ganglion Strong Uniform euxassay_006362_07
TS23: thoracic ganglion Strong Regionally restricted euxassay_006362_07
TS23: cervico-thoracic ganglion Strong Regionally restricted euxassay_006362_07
TS23: brain Strong Regionally restricted euxassay_006362_07
TS23: spinal cord Strong Regionally restricted euxassay_006362_07

Specimen euxassay_006362_08: embryonic day 14.5 (more )
Structure Level Pattern Image Note
TS23: dorsal root ganglion Strong Regionally restricted euxassay_006362_08
TS23: thoracic ganglion Strong Regionally restricted euxassay_006362_08
TS23: olfactory epithelium Moderate Regionally restricted euxassay_006362_08
TS23: brain Moderate Regionally restricted euxassay_006362_08
TS23: spinal cord Moderate Regionally restricted euxassay_006362_08

Specimen euxassay_006362_09: embryonic day 14.5 (more )
Structure Level Pattern Image Note
TS23: dorsal root ganglion Strong Regionally restricted euxassay_006362_09
TS23: thoracic ganglion Strong Regionally restricted euxassay_006362_09
TS23: olfactory epithelium Moderate Regionally restricted euxassay_006362_09
TS23: brain Moderate Regionally restricted euxassay_006362_09
TS23: spinal cord Moderate Regionally restricted euxassay_006362_09

Specimen euxassay_006362_10: embryonic day 14.5 (more )
Structure Level Pattern Image Note
TS23: dorsal root ganglion Strong Regionally restricted euxassay_006362_10
TS23: thoracic ganglion Strong Regionally restricted euxassay_006362_10
TS23: olfactory epithelium Strong Regionally restricted euxassay_006362_10
TS23: brain Strong Regionally restricted euxassay_006362_10
TS23: spinal cord Strong Regionally restricted euxassay_006362_10

Specimen euxassay_006362_11: embryonic day 14.5 (more )
Structure Level Pattern Image Note
TS23: dorsal root ganglion Strong Regionally restricted euxassay_006362_11
TS23: brain Strong Regionally restricted euxassay_006362_11
TS23: spinal cord Strong Regionally restricted euxassay_006362_11

Specimen euxassay_006362_12: embryonic day 14.5 (more )
Structure Level Pattern Image Note
TS23: dorsal root ganglion Strong Regionally restricted euxassay_006362_12
TS23: cervico-thoracic ganglion Strong Regionally restricted euxassay_006362_12
TS23: olfactory epithelium Strong Regionally restricted euxassay_006362_12
TS23: brain Strong Regionally restricted euxassay_006362_12
TS23: spinal cord Strong Regionally restricted euxassay_006362_12

Specimen euxassay_006362_13: embryonic day 14.5 (more )
Structure Level Pattern Image Note
TS23: dorsal root ganglion Strong Regionally restricted euxassay_006362_13
TS23: cervical ganglion Strong Regionally restricted euxassay_006362_13
TS23: olfactory epithelium Strong Regionally restricted euxassay_006362_13
TS23: brain Strong Regionally restricted euxassay_006362_13

Specimen euxassay_006362_14: embryonic day 14.5 (more )
Structure Level Pattern Image Note
TS23: dorsal root ganglion Strong Regionally restricted euxassay_006362_14
TS23: vagus ganglion Strong Uniform euxassay_006362_14
TS23: vestibulo-cochlear ganglion Strong Uniform euxassay_006362_14
TS23: trigeminal ganglion Strong Uniform euxassay_006362_14
TS23: glossopharyngeal ganglion Strong Uniform euxassay_006362_14
TS23: cervical ganglion Strong Regionally restricted euxassay_006362_14
TS23: olfactory epithelium Strong Regionally restricted euxassay_006362_14
TS23: brain Strong Regionally restricted euxassay_006362_14

Specimen euxassay_006362_15: embryonic day 14.5 (more )
Structure Level Pattern Image Note
TS23: trigeminal ganglion Strong Uniform euxassay_006362_15
TS23: vestibulo-cochlear ganglion Strong Uniform euxassay_006362_15
TS23: glossopharyngeal ganglion Moderate Uniform euxassay_006362_15
TS23: olfactory epithelium Strong Regionally restricted euxassay_006362_15
TS23: brain Strong Regionally restricted euxassay_006362_15

Specimen euxassay_006362_16: embryonic day 14.5 (more )
Structure Level Pattern Image Note
TS23: trigeminal ganglion Strong Uniform euxassay_006362_16
TS23: vestibulo-cochlear ganglion Strong Uniform euxassay_006362_16
TS23: olfactory epithelium Strong Regionally restricted euxassay_006362_16
TS23: brain Strong Regionally restricted euxassay_006362_16

Specimen euxassay_006362_17: embryonic day 14.5 (more )
Structure Level Pattern Image Note
TS23: trigeminal ganglion Strong Uniform euxassay_006362_17
TS23: brain Strong Regionally restricted euxassay_006362_17

Specimen euxassay_006362_18: embryonic day 14.5 (more )
Structure Level Pattern Image Note
TS23: trigeminal ganglion Strong Uniform euxassay_006362_18
TS23: facial ganglion Strong Uniform euxassay_006362_18
TS23: brain Strong Regionally restricted euxassay_006362_18

Specimen euxassay_006362_19: embryonic day 14.5 (more )
Structure Level Pattern Image Note
TS23: trigeminal ganglion Strong Uniform euxassay_006362_19
TS23: brain Strong Regionally restricted euxassay_006362_19


Contributing Projects:
Mouse Genome Database (MGD), Gene Expression Database (GXD), Mouse Models of Human Cancer database (MMHCdb) (formerly Mouse Tumor Biology (MTB)), Gene Ontology (GO)
Citing These Resources
Funding Information
Warranty Disclaimer, Privacy Notice, Licensing, & Copyright
Send questions and comments to User Support.
last database update
12/30/2025
MGI 6.24
The Jackson Laboratory