About   Help   FAQ
Gene Expression Data
Assay Details
Assay
Reference: J:153498 Diez-Roux G, et al., A high-resolution anatomical atlas of the transcriptome in the mouse embryo. PLoS Biol. 2011;9(1):e1000582
Assay type: RNA in situ
MGI Accession ID: MGI:4824682
Gene symbol: Rflna
Gene name: refilin A
Probe: MGC clone 59527
Probe preparation: Antisense labelled with digoxigenin RNA
Visualized with: Alkaline phosphatase
Assay notes: Cryosections of fresh frozen material were fixed in 4% paraformaldehyde for 20 min. before further processing. A tyramide-biotin/streptavidin amplification step was included in the in situ hybridization procedure.
Results
Specimen euxassay_004115_01: embryonic day 14.5 (more )
Structure Level Pattern Image Note
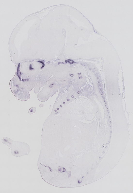
TS23: cranium Moderate Regionally restricted euxassay_004115_01
TS23: rib Moderate Regionally restricted euxassay_004115_01
TS23: radius Moderate Regionally restricted euxassay_004115_01
TS23: ulna Moderate Regionally restricted euxassay_004115_01

Specimen euxassay_004115_02: embryonic day 14.5 (more )
Structure Level Pattern Image Note
TS23: basioccipital bone Moderate Regionally restricted euxassay_004115_02
TS23: orbito-sphenoid Moderate Regionally restricted euxassay_004115_02
TS23: otic capsule Strong Regionally restricted euxassay_004115_02
TS23: hand Moderate Regionally restricted euxassay_004115_02
TS23: femur Moderate Regionally restricted euxassay_004115_02
TS23: fibula Moderate Regionally restricted euxassay_004115_02
TS23: tibia Moderate Regionally restricted euxassay_004115_02

Specimen euxassay_004115_03: embryonic day 14.5 (more )
Structure Level Pattern Image Note
TS23: basioccipital bone Moderate Regionally restricted euxassay_004115_03
TS23: orbito-sphenoid Moderate Regionally restricted euxassay_004115_03
TS23: otic capsule Strong Regionally restricted euxassay_004115_03
TS23: rib Moderate Regionally restricted euxassay_004115_03
TS23: hand Moderate Regionally restricted euxassay_004115_03
TS23: humerus Moderate Regionally restricted euxassay_004115_03
TS23: scapula Moderate Regionally restricted euxassay_004115_03
TS23: femur Moderate Regionally restricted euxassay_004115_03
TS23: fibula Moderate Regionally restricted euxassay_004115_03
TS23: tibia Moderate Regionally restricted euxassay_004115_03

Specimen euxassay_004115_04: embryonic day 14.5 (more )
Structure Level Pattern Image Note
TS23: basioccipital bone Moderate Regionally restricted euxassay_004115_04
TS23: orbito-sphenoid Moderate Regionally restricted euxassay_004115_04
TS23: otic capsule Strong Regionally restricted euxassay_004115_04
TS23: rib Moderate Regionally restricted euxassay_004115_04
TS23: humerus Moderate Regionally restricted euxassay_004115_04
TS23: hand Moderate Regionally restricted euxassay_004115_04
TS23: scapula Moderate Regionally restricted euxassay_004115_04
TS23: femur Weak Regionally restricted euxassay_004115_04
TS23: foot Moderate Regionally restricted euxassay_004115_04

Specimen euxassay_004115_05: embryonic day 14.5 (more )
Structure Level Pattern Image Note
TS23: orbito-sphenoid Moderate Regionally restricted euxassay_004115_05
TS23: basioccipital bone Moderate Regionally restricted euxassay_004115_05
TS23: otic capsule Strong Regionally restricted euxassay_004115_05
TS23: rib Moderate Regionally restricted euxassay_004115_05
TS23: hand Moderate Regionally restricted euxassay_004115_05
TS23: foot Moderate Regionally restricted euxassay_004115_05
TS23: femur Weak Regionally restricted euxassay_004115_05

Specimen euxassay_004115_06: embryonic day 14.5 (more )
Structure Level Pattern Image Note
TS23: basioccipital bone Moderate Regionally restricted euxassay_004115_06
TS23: orbito-sphenoid Moderate Regionally restricted euxassay_004115_06
TS23: turbinate bone primordium Moderate Regionally restricted euxassay_004115_06
TS23: otic capsule Strong Regionally restricted euxassay_004115_06
TS23: rib Moderate Regionally restricted euxassay_004115_06
TS23: axial skeleton cervical region Moderate Regionally restricted euxassay_004115_06
TS23: axial skeleton thoracic region Moderate Regionally restricted euxassay_004115_06
TS23: Meckel's cartilage Moderate Regionally restricted euxassay_004115_06
TS23: hand Strong Regionally restricted euxassay_004115_06
TS23: foot Moderate Regionally restricted euxassay_004115_06
TS23: femur Weak Regionally restricted euxassay_004115_06

Specimen euxassay_004115_07: embryonic day 14.5 (more )
Structure Level Pattern Image Note
TS23: basioccipital bone Moderate Regionally restricted euxassay_004115_07
TS23: orbito-sphenoid Moderate Regionally restricted euxassay_004115_07
TS23: turbinate bone primordium Strong Regionally restricted euxassay_004115_07
TS23: otic capsule Strong Regionally restricted euxassay_004115_07
TS23: rib Moderate Regionally restricted euxassay_004115_07
TS23: axial skeleton cervical region Moderate Regionally restricted euxassay_004115_07
TS23: axial skeleton lumbar region Moderate Regionally restricted euxassay_004115_07
TS23: axial skeleton thoracic region Moderate Regionally restricted euxassay_004115_07
TS23: Meckel's cartilage Moderate Regionally restricted euxassay_004115_07
TS23: hand Strong Regionally restricted euxassay_004115_07
TS23: femur Weak Regionally restricted euxassay_004115_07
TS23: foot Moderate Regionally restricted euxassay_004115_07

Specimen euxassay_004115_08: embryonic day 14.5 (more )
Structure Level Pattern Image Note
TS23: turbinate bone primordium Strong Regionally restricted euxassay_004115_08
TS23: otic capsule Strong Regionally restricted euxassay_004115_08
TS23: palatal shelf Moderate Regionally restricted euxassay_004115_08
TS23: rib Moderate Regionally restricted euxassay_004115_08
TS23: axial skeleton cervical region Moderate Regionally restricted euxassay_004115_08
TS23: axial skeleton lumbar region Moderate Regionally restricted euxassay_004115_08
TS23: axial skeleton sacral region Moderate Regionally restricted euxassay_004115_08
TS23: axial skeleton thoracic region Moderate Regionally restricted euxassay_004115_08
TS23: Meckel's cartilage Moderate Regionally restricted euxassay_004115_08
TS23: pelvic girdle skeleton Moderate Regionally restricted euxassay_004115_08
TS23: foot Moderate Regionally restricted euxassay_004115_08
TS23: thyroid cartilage Weak Regionally restricted euxassay_004115_08

Specimen euxassay_004115_09: embryonic day 14.5 (more )
Structure Level Pattern Image Note
TS23: turbinate bone primordium Strong Regionally restricted euxassay_004115_09
TS23: nasal septum Strong Regionally restricted euxassay_004115_09
TS23: palatal shelf Moderate Regionally restricted euxassay_004115_09
TS23: rib Moderate Regionally restricted euxassay_004115_09
TS23: axial skeleton cervical region Moderate Regionally restricted euxassay_004115_09
TS23: axial skeleton lumbar region Moderate Regionally restricted euxassay_004115_09
TS23: axial skeleton sacral region Moderate Regionally restricted euxassay_004115_09
TS23: axial skeleton thoracic region Moderate Regionally restricted euxassay_004115_09
TS23: Meckel's cartilage Moderate Regionally restricted euxassay_004115_09
TS23: pelvic girdle skeleton Moderate Regionally restricted euxassay_004115_09
TS23: foot Moderate Regionally restricted euxassay_004115_09
TS23: thyroid cartilage Weak Regionally restricted euxassay_004115_09

Specimen euxassay_004115_10: embryonic day 14.5 (more )
Structure Level Pattern Image Note
TS23: nasal septum Moderate Regionally restricted euxassay_004115_10
TS23: palatal shelf Moderate Regionally restricted euxassay_004115_10
TS23: rib Moderate Regionally restricted euxassay_004115_10
TS23: axial skeleton cervical region Moderate Regionally restricted euxassay_004115_10
TS23: axial skeleton lumbar region Moderate Regionally restricted euxassay_004115_10
TS23: axial skeleton sacral region Moderate Regionally restricted euxassay_004115_10
TS23: axial skeleton thoracic region Moderate Regionally restricted euxassay_004115_10
TS23: Meckel's cartilage Moderate Regionally restricted euxassay_004115_10
TS23: thyroid cartilage Weak Regionally restricted euxassay_004115_10

Specimen euxassay_004115_11: embryonic day 14.5 (more )
Structure Level Pattern Image Note
TS23: nasal septum Strong Regionally restricted euxassay_004115_11
TS23: palatal shelf Strong Regionally restricted euxassay_004115_11
TS23: sternum Moderate Regionally restricted euxassay_004115_11
TS23: axial skeleton cervical region Moderate Regionally restricted euxassay_004115_11
TS23: axial skeleton lumbar region Moderate Regionally restricted euxassay_004115_11
TS23: axial skeleton sacral region Moderate Regionally restricted euxassay_004115_11
TS23: axial skeleton thoracic region Moderate Regionally restricted euxassay_004115_11
TS23: Meckel's cartilage Moderate Regionally restricted euxassay_004115_11
TS23: thyroid cartilage Weak Regionally restricted euxassay_004115_11
TS23: trachea cartilaginous ring Weak Regionally restricted euxassay_004115_11

Specimen euxassay_004115_12: embryonic day 14.5 (more )
Structure Level Pattern Image Note
TS23: nasal septum Strong Regionally restricted euxassay_004115_12
TS23: palatal shelf Strong Regionally restricted euxassay_004115_12
TS23: rib Moderate Regionally restricted euxassay_004115_12
TS23: axial skeleton cervical region Moderate Regionally restricted euxassay_004115_12
TS23: axial skeleton lumbar region Moderate Regionally restricted euxassay_004115_12
TS23: axial skeleton sacral region Moderate Regionally restricted euxassay_004115_12
TS23: axial skeleton thoracic region Moderate Regionally restricted euxassay_004115_12
TS23: axial skeleton tail region Moderate Regionally restricted euxassay_004115_12
TS23: Meckel's cartilage Moderate Regionally restricted euxassay_004115_12
TS23: thyroid cartilage Weak Regionally restricted euxassay_004115_12

Specimen euxassay_004115_13: embryonic day 14.5 (more )
Structure Level Pattern Image Note
TS23: nasal septum Strong Regionally restricted euxassay_004115_13
TS23: turbinate bone primordium Strong Regionally restricted euxassay_004115_13
TS23: rib Moderate Regionally restricted euxassay_004115_13
TS23: axial skeleton tail region Moderate Regionally restricted euxassay_004115_13
TS23: axial skeleton cervical region Moderate Regionally restricted euxassay_004115_13
TS23: axial skeleton lumbar region Moderate Regionally restricted euxassay_004115_13
TS23: axial skeleton sacral region Moderate Regionally restricted euxassay_004115_13
TS23: axial skeleton thoracic region Moderate Regionally restricted euxassay_004115_13
TS23: Meckel's cartilage Moderate Regionally restricted euxassay_004115_13
TS23: thyroid cartilage Weak Regionally restricted euxassay_004115_13

Specimen euxassay_004115_14: embryonic day 14.5 (more )
Structure Level Pattern Image Note
TS23: turbinate bone primordium Strong Regionally restricted euxassay_004115_14
TS23: otic capsule Strong Regionally restricted euxassay_004115_14
TS23: rib Moderate Regionally restricted euxassay_004115_14
TS23: axial skeleton cervical region Moderate Regionally restricted euxassay_004115_14
TS23: axial skeleton lumbar region Moderate Regionally restricted euxassay_004115_14
TS23: axial skeleton sacral region Moderate Regionally restricted euxassay_004115_14
TS23: axial skeleton thoracic region Moderate Regionally restricted euxassay_004115_14
TS23: axial skeleton tail region Moderate Regionally restricted euxassay_004115_14
TS23: Meckel's cartilage Moderate Regionally restricted euxassay_004115_14
TS23: thyroid cartilage Weak Regionally restricted euxassay_004115_14

Specimen euxassay_004115_15: embryonic day 14.5 (more )
Structure Level Pattern Image Note
TS23: turbinate bone primordium Strong Regionally restricted euxassay_004115_15
TS23: otic capsule Strong Regionally restricted euxassay_004115_15
TS23: palatal shelf Strong Regionally restricted euxassay_004115_15
TS23: rib Moderate Regionally restricted euxassay_004115_15
TS23: axial skeleton cervical region Moderate Regionally restricted euxassay_004115_15
TS23: axial skeleton lumbar region Moderate Regionally restricted euxassay_004115_15
TS23: axial skeleton thoracic region Moderate Regionally restricted euxassay_004115_15
TS23: axial skeleton tail region Moderate Regionally restricted euxassay_004115_15
TS23: Meckel's cartilage Moderate Regionally restricted euxassay_004115_15
TS23: femur Moderate Regionally restricted euxassay_004115_15

Specimen euxassay_004115_16: embryonic day 14.5 (more )
Structure Level Pattern Image Note
TS23: orbito-sphenoid Moderate Regionally restricted euxassay_004115_16
TS23: basioccipital bone Moderate Regionally restricted euxassay_004115_16
TS23: turbinate bone primordium Strong Regionally restricted euxassay_004115_16
TS23: otic capsule Strong Regionally restricted euxassay_004115_16
TS23: palatal shelf Strong Regionally restricted euxassay_004115_16
TS23: rib Moderate Regionally restricted euxassay_004115_16
TS23: femur Moderate Regionally restricted euxassay_004115_16

Specimen euxassay_004115_17: embryonic day 14.5 (more )
Structure Level Pattern Image Note
TS23: basioccipital bone Moderate Regionally restricted euxassay_004115_17
TS23: orbito-sphenoid Moderate Regionally restricted euxassay_004115_17
TS23: turbinate bone primordium Strong Regionally restricted euxassay_004115_17
TS23: otic capsule Strong Regionally restricted euxassay_004115_17
TS23: rib Moderate Regionally restricted euxassay_004115_17
TS23: femur Weak Regionally restricted euxassay_004115_17

Specimen euxassay_004115_18: embryonic day 14.5 (more )
Structure Level Pattern Image Note
TS23: basioccipital bone Moderate Regionally restricted euxassay_004115_18
TS23: orbito-sphenoid Moderate Regionally restricted euxassay_004115_18
TS23: turbinate bone primordium Strong Regionally restricted euxassay_004115_18
TS23: otic capsule Strong Regionally restricted euxassay_004115_18
TS23: rib Moderate Regionally restricted euxassay_004115_18
TS23: femur Weak Regionally restricted euxassay_004115_18

Specimen euxassay_004115_19: embryonic day 14.5 (more )
Structure Level Pattern Image Note
TS23: otic capsule Strong Regionally restricted euxassay_004115_19
TS23: rib Weak Regionally restricted euxassay_004115_19
TS23: femur Weak Regionally restricted euxassay_004115_19

Specimen euxassay_004115_20: embryonic day 14.5 (more )
Structure Level Pattern Image Note
TS23: femur Weak Regionally restricted euxassay_004115_20

Specimen euxassay_004115_21: embryonic day 14.5 (more )
Structure Level Pattern Image Note
TS23: cranium Moderate Regionally restricted euxassay_004115_21
TS23: rib Moderate Regionally restricted euxassay_004115_21
TS23: hand Moderate Regionally restricted euxassay_004115_21
TS23: foot Moderate Regionally restricted euxassay_004115_21
TS23: femur Moderate Regionally restricted euxassay_004115_21


Contributing Projects:
Mouse Genome Database (MGD), Gene Expression Database (GXD), Mouse Models of Human Cancer database (MMHCdb) (formerly Mouse Tumor Biology (MTB)), Gene Ontology (GO)
Citing These Resources
Funding Information
Warranty Disclaimer, Privacy Notice, Licensing, & Copyright
Send questions and comments to User Support.
last database update
03/24/2026
MGI 6.24
The Jackson Laboratory