About   Help   FAQ
Gene Expression Data
Assay Details
Assay
Reference: J:153498 Diez-Roux G, et al., A high-resolution anatomical atlas of the transcriptome in the mouse embryo. PLoS Biol. 2011;9(1):e1000582
Assay type: RNA in situ
MGI Accession ID: MGI:4824655
Gene symbol: Ezr
Gene name: ezrin
Probe: IMAGE clone 3166365
Probe preparation: Antisense labelled with digoxigenin RNA
Visualized with: Alkaline phosphatase
Assay notes: Cryosections of fresh frozen material were fixed in 4% paraformaldehyde for 20 min. before further processing. A tyramide-biotin/streptavidin amplification step was included in the in situ hybridization procedure.
Results
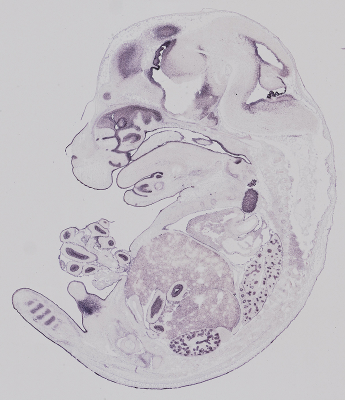
Specimen euxassay_009206_01: embryonic day 14.5 (more )
Note: Additional information for this specimen was included in the Eurexpress data submission file.
Structure Level Pattern Image Note
TS23: pharyngo-tympanic tube Moderate Regionally restricted euxassay_009206_01
TS23: epidermis Strong Regionally restricted euxassay_009206_01
TS23: urinary system Strong Spotted euxassay_009206_01
TS23: mesonephros Present euxassay_009206_01
TS23: telencephalon ventricular layer Strong Uniform euxassay_009206_01
TS23: metencephalon part of 4th ventricle choroid plexus Strong Regionally restricted euxassay_009206_01
TS23: lung Moderate Regionally restricted euxassay_009206_01
TS23: cornea epithelium Moderate Regionally restricted euxassay_009206_01
TS23: lens Strong Regionally restricted euxassay_009206_01
TS23: stomach Strong Regionally restricted euxassay_009206_01
TS23: liver lobe Weak Regionally restricted euxassay_009206_01

Specimen euxassay_009206_02: embryonic day 14.5 (more )
Structure Level Pattern Image Note
TS23: pharyngo-tympanic tube Moderate Regionally restricted euxassay_009206_02
TS23: epidermis Strong Regionally restricted euxassay_009206_02
TS23: telencephalon ventricular layer Strong Uniform euxassay_009206_02
TS23: rest of cerebellum ventricular layer Moderate Regionally restricted euxassay_009206_02
TS23: rest of cerebellum marginal layer Strong Regionally restricted euxassay_009206_02
TS23: metencephalon part of 4th ventricle choroid plexus Strong Regionally restricted euxassay_009206_02
TS23: lung Strong Regionally restricted euxassay_009206_02
TS23: cornea epithelium Moderate Regionally restricted euxassay_009206_02
TS23: stomach Strong Regionally restricted euxassay_009206_02
TS23: rib Weak Regionally restricted euxassay_009206_02
TS23: liver lobe Weak Regionally restricted euxassay_009206_02

Specimen euxassay_009206_03: embryonic day 14.5 (more )
Structure Level Pattern Image Note
TS23: pharyngo-tympanic tube Moderate Regionally restricted euxassay_009206_03
TS23: epidermis Strong Regionally restricted euxassay_009206_03
TS23: renal calyx Strong Regionally restricted euxassay_009206_03
TS23: telencephalon ventricular layer Strong Uniform euxassay_009206_03
TS23: rest of cerebellum ventricular layer Moderate Regionally restricted euxassay_009206_03
TS23: rest of cerebellum marginal layer Moderate Regionally restricted euxassay_009206_03
TS23: metencephalon part of 4th ventricle choroid plexus Strong Regionally restricted euxassay_009206_03
TS23: lung Strong Regionally restricted euxassay_009206_03
TS23: cornea epithelium Moderate Regionally restricted euxassay_009206_03
TS23: lens Strong Regionally restricted euxassay_009206_03
TS23: stomach Strong Regionally restricted euxassay_009206_03
TS23: cochlea Moderate Regionally restricted euxassay_009206_03
TS23: rib Weak Regionally restricted euxassay_009206_03
TS23: liver lobe Weak Regionally restricted euxassay_009206_03

Specimen euxassay_009206_04: embryonic day 14.5 (more )
Structure Level Pattern Image Note
TS23: pharyngo-tympanic tube Moderate Regionally restricted euxassay_009206_04
TS23: epidermis Strong Regionally restricted euxassay_009206_04
TS23: renal calyx Strong Regionally restricted euxassay_009206_04
TS23: telencephalon ventricular layer Strong Uniform euxassay_009206_04
TS23: rest of cerebellum ventricular layer Moderate Regionally restricted euxassay_009206_04
TS23: rest of cerebellum marginal layer Moderate Regionally restricted euxassay_009206_04
TS23: pons ventricular layer Moderate Regionally restricted euxassay_009206_04
TS23: midbrain ventricular layer Moderate Regionally restricted euxassay_009206_04
TS23: metencephalon part of 4th ventricle choroid plexus Strong Regionally restricted euxassay_009206_04
TS23: lung Strong Regionally restricted euxassay_009206_04
TS23: cornea epithelium Moderate Regionally restricted euxassay_009206_04
TS23: stomach Strong Regionally restricted euxassay_009206_04
TS23: cochlea Moderate Regionally restricted euxassay_009206_04
TS23: rib Weak Regionally restricted euxassay_009206_04
TS23: liver lobe Weak Regionally restricted euxassay_009206_04

Specimen euxassay_009206_05: embryonic day 14.5 (more )
Structure Level Pattern Image Note
TS23: epidermis Strong Regionally restricted euxassay_009206_05
TS23: renal calyx Strong Regionally restricted euxassay_009206_05
TS23: renal pelvis Strong Regionally restricted euxassay_009206_05
TS23: telencephalon ventricular layer Strong Uniform euxassay_009206_05
TS23: pons ventricular layer Strong Regionally restricted euxassay_009206_05
TS23: rest of cerebellum marginal layer Strong Regionally restricted euxassay_009206_05
TS23: midbrain ventricular layer Strong Regionally restricted euxassay_009206_05
TS23: metencephalon part of 4th ventricle choroid plexus Strong Regionally restricted euxassay_009206_05
TS23: lateral ventricle choroid plexus Strong Regionally restricted euxassay_009206_05
TS23: lung Strong Regionally restricted euxassay_009206_05
TS23: cornea epithelium Strong Regionally restricted euxassay_009206_05
TS23: stomach Strong Regionally restricted euxassay_009206_05
TS23: cochlea Moderate Regionally restricted euxassay_009206_05
TS23: saccule Moderate Regionally restricted euxassay_009206_05
TS23: rib Weak Regionally restricted euxassay_009206_05
TS23: dorsal root ganglion Weak Regionally restricted euxassay_009206_05
TS23: liver lobe Weak Regionally restricted euxassay_009206_05

Specimen euxassay_009206_06: embryonic day 14.5 (more )
Structure Level Pattern Image Note
TS23: vibrissa Strong Regionally restricted euxassay_009206_06
TS23: epidermis Strong Regionally restricted euxassay_009206_06
TS23: renal pelvis Strong Regionally restricted euxassay_009206_06
TS23: renal calyx Strong Regionally restricted euxassay_009206_06
TS23: telencephalon ventricular layer Strong Uniform euxassay_009206_06
TS23: midbrain ventricular layer Strong Regionally restricted euxassay_009206_06
TS23: pons ventricular layer Strong Regionally restricted euxassay_009206_06
TS23: rest of cerebellum marginal layer Strong Regionally restricted euxassay_009206_06
TS23: metencephalon part of 4th ventricle choroid plexus Strong Regionally restricted euxassay_009206_06
TS23: lateral ventricle choroid plexus Strong Regionally restricted euxassay_009206_06
TS23: lung Strong Regionally restricted euxassay_009206_06
TS23: stomach Strong Regionally restricted euxassay_009206_06
TS23: submandibular gland primordium Strong Regionally restricted euxassay_009206_06
TS23: cochlea Moderate Regionally restricted euxassay_009206_06
TS23: saccule Moderate Regionally restricted euxassay_009206_06
TS23: oral epithelium Strong Regionally restricted euxassay_009206_06
TS23: medulla oblongata basal plate ventricular layer Strong Regionally restricted euxassay_009206_06
TS23: rib Weak Regionally restricted euxassay_009206_06
TS23: dorsal root ganglion Weak Regionally restricted euxassay_009206_06
TS23: heart ventricle Weak Uniform euxassay_009206_06
TS23: liver lobe Weak Regionally restricted euxassay_009206_06

Specimen euxassay_009206_07: embryonic day 14.5 (more )
Structure Level Pattern Image Note
TS23: vibrissa Strong Regionally restricted euxassay_009206_07
TS23: epidermis Strong Regionally restricted euxassay_009206_07
TS23: telencephalon ventricular layer Strong Uniform euxassay_009206_07
TS23: pons ventricular layer Strong Regionally restricted euxassay_009206_07
TS23: midbrain ventricular layer Moderate Regionally restricted euxassay_009206_07
TS23: rest of cerebellum marginal layer Moderate Regionally restricted euxassay_009206_07
TS23: metencephalon part of 4th ventricle choroid plexus Strong Regionally restricted euxassay_009206_07
TS23: lateral ventricle choroid plexus Strong Regionally restricted euxassay_009206_07
TS23: lung Strong Regionally restricted euxassay_009206_07
TS23: stomach Strong Regionally restricted euxassay_009206_07
TS23: submandibular gland primordium Strong Regionally restricted euxassay_009206_07
TS23: cochlea Moderate Regionally restricted euxassay_009206_07
TS23: upper jaw molar Strong Regionally restricted euxassay_009206_07
TS23: lower jaw molar Strong Regionally restricted euxassay_009206_07
TS23: oral epithelium Strong Regionally restricted euxassay_009206_07
TS23: medulla oblongata basal plate ventricular layer Strong Regionally restricted euxassay_009206_07
TS23: spinal cord ventricular layer Strong Regionally restricted euxassay_009206_07
TS23: rib Weak Regionally restricted euxassay_009206_07
TS23: axial skeleton Moderate Regionally restricted euxassay_009206_07
TS23: heart ventricle Weak Uniform euxassay_009206_07
TS23: liver lobe Weak Regionally restricted euxassay_009206_07

Specimen euxassay_009206_08: embryonic day 14.5 (more )
Structure Level Pattern Image Note
TS23: vibrissa Strong Regionally restricted euxassay_009206_08
TS23: epidermis Strong Regionally restricted euxassay_009206_08
TS23: thymus primordium Strong Uniform euxassay_009206_08
TS23: telencephalon ventricular layer Strong Uniform euxassay_009206_08
TS23: pons ventricular layer Strong Regionally restricted euxassay_009206_08
TS23: midbrain ventricular layer Strong Regionally restricted euxassay_009206_08
TS23: metencephalon part of 4th ventricle choroid plexus Strong Regionally restricted euxassay_009206_08
TS23: lateral ventricle choroid plexus Strong Regionally restricted euxassay_009206_08
TS23: lung Moderate Regionally restricted euxassay_009206_08
TS23: midgut Strong Regionally restricted euxassay_009206_08
TS23: submandibular gland primordium Strong Regionally restricted euxassay_009206_08
TS23: lower jaw molar Strong Regionally restricted euxassay_009206_08
TS23: oral epithelium Strong Regionally restricted euxassay_009206_08
TS23: medulla oblongata basal plate ventricular layer Strong Regionally restricted euxassay_009206_08
TS23: spinal cord ventricular layer Strong Regionally restricted euxassay_009206_08
TS23: rib Weak Regionally restricted euxassay_009206_08
TS23: axial skeleton Moderate Regionally restricted euxassay_009206_08
TS23: heart ventricle Weak Uniform euxassay_009206_08
TS23: liver lobe Weak Regionally restricted euxassay_009206_08

Specimen euxassay_009206_09: embryonic day 14.5 (more )
Structure Level Pattern Image Note
TS23: vibrissa Strong Regionally restricted euxassay_009206_09
TS23: epidermis Strong Regionally restricted euxassay_009206_09
TS23: thymus primordium Strong Uniform euxassay_009206_09
TS23: telencephalon ventricular layer Strong Uniform euxassay_009206_09
TS23: diencephalon lateral wall ventricular layer Strong Uniform euxassay_009206_09
TS23: hypothalamus ventricular layer Strong Uniform euxassay_009206_09
TS23: midbrain ventricular layer Strong Regionally restricted euxassay_009206_09
TS23: pons ventricular layer Strong Regionally restricted euxassay_009206_09
TS23: metencephalon part of 4th ventricle choroid plexus Strong Regionally restricted euxassay_009206_09
TS23: lateral ventricle choroid plexus Strong Regionally restricted euxassay_009206_09
TS23: lung Strong Regionally restricted euxassay_009206_09
TS23: rectum Strong Regionally restricted euxassay_009206_09
TS23: midgut Strong Regionally restricted euxassay_009206_09
TS23: hindgut Strong Regionally restricted euxassay_009206_09
TS23: bladder fundus Strong Regionally restricted euxassay_009206_09
TS23: urethra Strong Regionally restricted euxassay_009206_09 Originally this result was annotated to a male-specific term, but as the specimen was not sexed, it is likely the data annotator intended to use a non-sex specific term.
TS23: sublingual gland primordium Strong Regionally restricted euxassay_009206_09
TS23: oral epithelium Strong Regionally restricted euxassay_009206_09
TS23: palatal shelf epithelium Strong Regionally restricted euxassay_009206_09
TS23: esophagus Strong Regionally restricted euxassay_009206_09
TS23: medulla oblongata basal plate ventricular layer Strong Regionally restricted euxassay_009206_09
TS23: spinal cord ventricular layer Strong Regionally restricted euxassay_009206_09
TS23: rib Weak Regionally restricted euxassay_009206_09
TS23: axial skeleton tail region Moderate Regionally restricted euxassay_009206_09
TS23: dorsal root ganglion Weak Regionally restricted euxassay_009206_09
TS23: pituitary gland Moderate Regionally restricted euxassay_009206_09
TS23: heart ventricle Weak Uniform euxassay_009206_09
TS23: liver lobe Weak Regionally restricted euxassay_009206_09

Specimen euxassay_009206_10: embryonic day 14.5 (more )
Structure Level Pattern Image Note
TS23: epidermis Strong Regionally restricted euxassay_009206_10
TS23: thymus primordium Strong Uniform euxassay_009206_10
TS23: telencephalon ventricular layer Strong Uniform euxassay_009206_10
TS23: olfactory cortex ventricular layer Strong Uniform euxassay_009206_10
TS23: diencephalon lateral wall ventricular layer Strong Uniform euxassay_009206_10
TS23: hypothalamus ventricular layer Strong Uniform euxassay_009206_10
TS23: midbrain ventricular layer Moderate Regionally restricted euxassay_009206_10
TS23: pons ventricular layer Moderate Regionally restricted euxassay_009206_10
TS23: rest of cerebellum marginal layer Moderate Regionally restricted euxassay_009206_10
TS23: metencephalon part of 4th ventricle choroid plexus Strong Regionally restricted euxassay_009206_10
TS23: lateral ventricle choroid plexus Strong Regionally restricted euxassay_009206_10
TS23: lung Strong Regionally restricted euxassay_009206_10
TS23: midgut Strong Regionally restricted euxassay_009206_10
TS23: hindgut Strong Regionally restricted euxassay_009206_10
TS23: bladder fundus Strong Regionally restricted euxassay_009206_10
TS23: oral epithelium Strong Regionally restricted euxassay_009206_10
TS23: palatal shelf epithelium Strong Regionally restricted euxassay_009206_10
TS23: larynx Strong Regionally restricted euxassay_009206_10
TS23: esophagus Strong Regionally restricted euxassay_009206_10
TS23: trachea Strong Regionally restricted euxassay_009206_10
TS23: medulla oblongata basal plate ventricular layer Moderate Regionally restricted euxassay_009206_10
TS23: urethra Strong Regionally restricted euxassay_009206_10 Originally this result was annotated to a male-specific term, but as the specimen was not sexed, it is likely the data annotator intended to use a non-sex specific term.
TS23: axial skeleton tail region Moderate Regionally restricted euxassay_009206_10
TS23: dorsal root ganglion Weak Regionally restricted euxassay_009206_10
TS23: pituitary gland Moderate Regionally restricted euxassay_009206_10
TS23: heart ventricle Weak Uniform euxassay_009206_10
TS23: liver lobe Weak Regionally restricted euxassay_009206_10

Specimen euxassay_009206_11: embryonic day 14.5 (more )
Structure Level Pattern Image Note
TS23: epidermis Strong Regionally restricted euxassay_009206_11
TS23: thymus primordium Strong Uniform euxassay_009206_11
TS23: telencephalon ventricular layer Strong Uniform euxassay_009206_11
TS23: olfactory cortex ventricular layer Strong Uniform euxassay_009206_11
TS23: diencephalon lateral wall ventricular layer Strong Uniform euxassay_009206_11
TS23: hypothalamus ventricular layer Strong Uniform euxassay_009206_11
TS23: midbrain ventricular layer Strong Regionally restricted euxassay_009206_11
TS23: rest of cerebellum marginal layer Strong Regionally restricted euxassay_009206_11
TS23: pons ventricular layer Strong Regionally restricted euxassay_009206_11
TS23: metencephalon part of 4th ventricle choroid plexus Strong Regionally restricted euxassay_009206_11
TS23: lateral ventricle choroid plexus Strong Regionally restricted euxassay_009206_11
TS23: lung Strong Regionally restricted euxassay_009206_11
TS23: midgut Strong Regionally restricted euxassay_009206_11
TS23: hindgut Strong Regionally restricted euxassay_009206_11
TS23: oral epithelium Strong Regionally restricted euxassay_009206_11
TS23: palatal shelf epithelium Strong Regionally restricted euxassay_009206_11
TS23: upper jaw incisor Strong Regionally restricted euxassay_009206_11
TS23: larynx Strong Regionally restricted euxassay_009206_11
TS23: esophagus Strong Regionally restricted euxassay_009206_11
TS23: trachea Strong Regionally restricted euxassay_009206_11
TS23: medulla oblongata basal plate ventricular layer Strong Regionally restricted euxassay_009206_11
TS23: axial skeleton tail region Moderate Regionally restricted euxassay_009206_11
TS23: dorsal root ganglion Weak Regionally restricted euxassay_009206_11
TS23: pituitary gland Moderate Regionally restricted euxassay_009206_11
TS23: heart ventricle Weak Uniform euxassay_009206_11
TS23: liver lobe Weak Regionally restricted euxassay_009206_11

Specimen euxassay_009206_12: embryonic day 14.5 (more )
Structure Level Pattern Image Note
TS23: epidermis Strong Regionally restricted euxassay_009206_12
TS23: thymus primordium Strong Uniform euxassay_009206_12
TS23: renal pelvis Strong Regionally restricted euxassay_009206_12
TS23: renal calyx Strong Regionally restricted euxassay_009206_12
TS23: hypothalamus ventricular layer Strong Uniform euxassay_009206_12
TS23: olfactory cortex ventricular layer Strong Uniform euxassay_009206_12
TS23: diencephalon lateral wall ventricular layer Strong Uniform euxassay_009206_12
TS23: midbrain ventricular layer Strong Regionally restricted euxassay_009206_12
TS23: pons ventricular layer Strong Regionally restricted euxassay_009206_12
TS23: rest of cerebellum marginal layer Strong Regionally restricted euxassay_009206_12
TS23: metencephalon part of 4th ventricle choroid plexus Strong Regionally restricted euxassay_009206_12
TS23: lateral ventricle choroid plexus Strong Regionally restricted euxassay_009206_12
TS23: lung Strong Regionally restricted euxassay_009206_12
TS23: midgut Strong Regionally restricted euxassay_009206_12
TS23: upper jaw incisor Strong Regionally restricted euxassay_009206_12
TS23: lower jaw incisor Strong Regionally restricted euxassay_009206_12
TS23: oral epithelium Strong Regionally restricted euxassay_009206_12
TS23: palatal shelf epithelium Strong Regionally restricted euxassay_009206_12
TS23: larynx Strong Regionally restricted euxassay_009206_12
TS23: medulla oblongata basal plate ventricular layer Strong Regionally restricted euxassay_009206_12
TS23: thyroid gland Strong Regionally restricted euxassay_009206_12
TS23: glans of male genital tubercle Strong Regionally restricted euxassay_009206_12
TS23: axial skeleton tail region Moderate Regionally restricted euxassay_009206_12
TS23: dorsal root ganglion Weak Regionally restricted euxassay_009206_12
TS23: pituitary gland Moderate Regionally restricted euxassay_009206_12
TS23: heart ventricle Weak Uniform euxassay_009206_12
TS23: liver lobe Weak Regionally restricted euxassay_009206_12

Specimen euxassay_009206_13: embryonic day 14.5 (more )
Structure Level Pattern Image Note
TS23: epidermis Strong Regionally restricted euxassay_009206_13
TS23: renal calyx Strong Regionally restricted euxassay_009206_13
TS23: telencephalon ventricular layer Strong Uniform euxassay_009206_13
TS23: hypothalamus ventricular layer Strong Uniform euxassay_009206_13
TS23: pons ventricular layer Strong Regionally restricted euxassay_009206_13
TS23: rest of cerebellum marginal layer Strong Regionally restricted euxassay_009206_13
TS23: rest of cerebellum ventricular layer Weak Regionally restricted euxassay_009206_13
TS23: metencephalon part of 4th ventricle choroid plexus Strong Regionally restricted euxassay_009206_13
TS23: lateral ventricle choroid plexus Strong Regionally restricted euxassay_009206_13
TS23: lung Strong Regionally restricted euxassay_009206_13
TS23: midgut Strong Regionally restricted euxassay_009206_13
TS23: palatal shelf epithelium Strong Regionally restricted euxassay_009206_13
TS23: upper jaw incisor Strong Regionally restricted euxassay_009206_13
TS23: lower jaw incisor Strong Regionally restricted euxassay_009206_13
TS23: rib Weak Regionally restricted euxassay_009206_13
TS23: thyroid gland Strong Regionally restricted euxassay_009206_13
TS23: glans of male genital tubercle Strong Regionally restricted euxassay_009206_13
TS23: axial skeleton tail region Moderate Regionally restricted euxassay_009206_13
TS23: dorsal root ganglion Weak Regionally restricted euxassay_009206_13
TS23: pituitary gland Moderate Regionally restricted euxassay_009206_13
TS23: heart ventricle Weak Uniform euxassay_009206_13
TS23: liver lobe Weak Regionally restricted euxassay_009206_13

Specimen euxassay_009206_14: embryonic day 14.5 (more )
Structure Level Pattern Image Note
TS23: epidermis Strong Regionally restricted euxassay_009206_14
TS23: renal calyx Strong Regionally restricted euxassay_009206_14
TS23: telencephalon ventricular layer Strong Uniform euxassay_009206_14
TS23: pons ventricular layer Strong Regionally restricted euxassay_009206_14
TS23: rest of cerebellum marginal layer Strong Regionally restricted euxassay_009206_14
TS23: rest of cerebellum ventricular layer Weak Regionally restricted euxassay_009206_14
TS23: metencephalon part of 4th ventricle choroid plexus Strong Regionally restricted euxassay_009206_14
TS23: lateral ventricle choroid plexus Strong Regionally restricted euxassay_009206_14
TS23: lung Strong Regionally restricted euxassay_009206_14
TS23: midgut Strong Regionally restricted euxassay_009206_14
TS23: oral epithelium Strong Regionally restricted euxassay_009206_14
TS23: palatal shelf epithelium Strong Regionally restricted euxassay_009206_14
TS23: rib Weak Regionally restricted euxassay_009206_14
TS23: axial skeleton tail region Moderate Regionally restricted euxassay_009206_14
TS23: dorsal root ganglion Weak Regionally restricted euxassay_009206_14
TS23: heart ventricle Weak Uniform euxassay_009206_14
TS23: liver lobe Weak Regionally restricted euxassay_009206_14

Specimen euxassay_009206_15: embryonic day 14.5 (more )
Note: Additional information for this specimen was included in the Eurexpress data submission file.
Structure Level Pattern Image Note
TS23: epidermis Strong Regionally restricted euxassay_009206_15
TS23: urinary system Strong Spotted euxassay_009206_15
TS23: mesonephros Present euxassay_009206_15
TS23: telencephalon ventricular layer Strong Uniform euxassay_009206_15
TS23: rest of cerebellum marginal layer Strong Regionally restricted euxassay_009206_15
TS23: pons ventricular layer Strong Regionally restricted euxassay_009206_15
TS23: metencephalon part of 4th ventricle choroid plexus Strong Regionally restricted euxassay_009206_15
TS23: lateral ventricle choroid plexus Strong Regionally restricted euxassay_009206_15
TS23: lung Strong Regionally restricted euxassay_009206_15
TS23: midgut Strong Regionally restricted euxassay_009206_15
TS23: sublingual gland primordium Strong Regionally restricted euxassay_009206_15
TS23: cochlea Moderate Regionally restricted euxassay_009206_15
TS23: upper jaw incisor Strong Regionally restricted euxassay_009206_15
TS23: oral epithelium Strong Regionally restricted euxassay_009206_15
TS23: rib Weak Regionally restricted euxassay_009206_15
TS23: heart ventricle Weak Uniform euxassay_009206_15
TS23: liver lobe Weak Regionally restricted euxassay_009206_15

Specimen euxassay_009206_16: embryonic day 14.5 (more )
Note: Additional information for this specimen was included in the Eurexpress data submission file.
Structure Level Pattern Image Note
TS23: epidermis Strong Regionally restricted euxassay_009206_16
TS23: urinary system Strong Spotted euxassay_009206_16
TS23: mesonephros Present euxassay_009206_16
TS23: olfactory cortex ventricular layer Strong Uniform euxassay_009206_16
TS23: telencephalon ventricular layer Strong Uniform euxassay_009206_16
TS23: pons ventricular layer Moderate Regionally restricted euxassay_009206_16
TS23: rest of cerebellum marginal layer Moderate Regionally restricted euxassay_009206_16
TS23: rest of cerebellum ventricular layer Moderate Regionally restricted euxassay_009206_16
TS23: metencephalon part of 4th ventricle choroid plexus Strong Regionally restricted euxassay_009206_16
TS23: lateral ventricle choroid plexus Strong Regionally restricted euxassay_009206_16
TS23: lung Strong Regionally restricted euxassay_009206_16
TS23: midgut Strong Regionally restricted euxassay_009206_16
TS23: submandibular gland primordium Strong Regionally restricted euxassay_009206_16
TS23: cochlea Moderate Regionally restricted euxassay_009206_16
TS23: saccule Moderate Regionally restricted euxassay_009206_16
TS23: upper jaw incisor Strong Regionally restricted euxassay_009206_16
TS23: lower jaw incisor Strong Regionally restricted euxassay_009206_16
TS23: palatal shelf epithelium Strong Regionally restricted euxassay_009206_16
TS23: rib Weak Regionally restricted euxassay_009206_16
TS23: liver lobe Weak Regionally restricted euxassay_009206_16

Specimen euxassay_009206_17: embryonic day 14.5 (more )
Structure Level Pattern Image Note
TS23: epidermis Strong Regionally restricted euxassay_009206_17
TS23: telencephalon ventricular layer Strong Uniform euxassay_009206_17
TS23: olfactory cortex ventricular layer Strong Uniform euxassay_009206_17
TS23: rest of cerebellum marginal layer Moderate Regionally restricted euxassay_009206_17
TS23: rest of cerebellum ventricular layer Moderate Regionally restricted euxassay_009206_17
TS23: metencephalon part of 4th ventricle choroid plexus Strong Regionally restricted euxassay_009206_17
TS23: lateral ventricle choroid plexus Strong Regionally restricted euxassay_009206_17
TS23: lung Strong Regionally restricted euxassay_009206_17
TS23: midgut Strong Regionally restricted euxassay_009206_17
TS23: submandibular gland primordium Strong Regionally restricted euxassay_009206_17
TS23: cochlea Moderate Regionally restricted euxassay_009206_17
TS23: saccule Moderate Regionally restricted euxassay_009206_17
TS23: upper jaw incisor Strong Regionally restricted euxassay_009206_17
TS23: lower jaw incisor Strong Regionally restricted euxassay_009206_17
TS23: oral epithelium Strong Regionally restricted euxassay_009206_17
TS23: rib Weak Regionally restricted euxassay_009206_17
TS23: liver lobe Weak Regionally restricted euxassay_009206_17

Specimen euxassay_009206_18: embryonic day 14.5 (more )
Structure Level Pattern Image Note
TS23: pharyngo-tympanic tube Moderate Regionally restricted euxassay_009206_18
TS23: epidermis Strong Regionally restricted euxassay_009206_18
TS23: telencephalon ventricular layer Strong Uniform euxassay_009206_18
TS23: rest of cerebellum marginal layer Moderate Regionally restricted euxassay_009206_18
TS23: metencephalon part of 4th ventricle choroid plexus Strong Regionally restricted euxassay_009206_18
TS23: lung Strong Regionally restricted euxassay_009206_18
TS23: submandibular gland primordium Strong Regionally restricted euxassay_009206_18
TS23: cochlea Moderate Regionally restricted euxassay_009206_18
TS23: upper jaw molar Strong Regionally restricted euxassay_009206_18
TS23: lower jaw molar Strong Regionally restricted euxassay_009206_18
TS23: oral epithelium Strong Regionally restricted euxassay_009206_18
TS23: rib Weak Regionally restricted euxassay_009206_18
TS23: liver lobe Weak Regionally restricted euxassay_009206_18

Specimen euxassay_009206_19: embryonic day 14.5 (more )
Structure Level Pattern Image Note
TS23: pharyngo-tympanic tube Moderate Regionally restricted euxassay_009206_19
TS23: epidermis Strong Regionally restricted euxassay_009206_19
TS23: telencephalon ventricular layer Strong Uniform euxassay_009206_19
TS23: cochlea Moderate Regionally restricted euxassay_009206_19
TS23: upper jaw molar Strong Regionally restricted euxassay_009206_19
TS23: oral epithelium Strong Regionally restricted euxassay_009206_19
TS23: rib Weak Regionally restricted euxassay_009206_19
TS23: liver lobe Weak Regionally restricted euxassay_009206_19

Specimen euxassay_009206_20: embryonic day 14.5 (more )
Structure Level Pattern Image Note
TS23: pharyngo-tympanic tube Moderate Regionally restricted euxassay_009206_20
TS23: vibrissa Strong Regionally restricted euxassay_009206_20
TS23: epidermis Strong Regionally restricted euxassay_009206_20
TS23: telencephalon ventricular layer Strong Uniform euxassay_009206_20
TS23: oral epithelium Strong Regionally restricted euxassay_009206_20
TS23: rib Weak Regionally restricted euxassay_009206_20
TS23: liver lobe Weak Regionally restricted euxassay_009206_20

Specimen euxassay_009206_21: embryonic day 14.5 (more )
Structure Level Pattern Image Note
TS23: pharyngo-tympanic tube Strong Regionally restricted euxassay_009206_21
TS23: vibrissa Strong Regionally restricted euxassay_009206_21
TS23: epidermis Strong Regionally restricted euxassay_009206_21
TS23: telencephalon ventricular layer Strong Uniform euxassay_009206_21
TS23: liver lobe Weak Regionally restricted euxassay_009206_21

Specimen euxassay_009206_22: embryonic day 14.5 (more )
Structure Level Pattern Image Note
TS23: pharyngo-tympanic tube Strong Regionally restricted euxassay_009206_22
TS23: epidermis Strong Regionally restricted euxassay_009206_22
TS23: vibrissa Strong Regionally restricted euxassay_009206_22
TS23: cornea epithelium Strong Regionally restricted euxassay_009206_22

Specimen euxassay_009206_23: embryonic day 14.5 (more )
Structure Level Pattern Image Note
TS23: pharyngo-tympanic tube Strong Regionally restricted euxassay_009206_23
TS23: vibrissa Strong Regionally restricted euxassay_009206_23
TS23: epidermis Strong Regionally restricted euxassay_009206_23
TS23: cornea epithelium Strong Regionally restricted euxassay_009206_23


Contributing Projects:
Mouse Genome Database (MGD), Gene Expression Database (GXD), Mouse Models of Human Cancer database (MMHCdb) (formerly Mouse Tumor Biology (MTB)), Gene Ontology (GO)
Citing These Resources
Funding Information
Warranty Disclaimer, Privacy Notice, Licensing, & Copyright
Send questions and comments to User Support.
last database update
01/06/2026
MGI 6.24
The Jackson Laboratory