About   Help   FAQ
Gene Expression Data
Assay Details
Assay
Reference: J:153498 Diez-Roux G, et al., A high-resolution anatomical atlas of the transcriptome in the mouse embryo. PLoS Biol. 2011;9(1):e1000582
Assay type: RNA in situ
MGI Accession ID: MGI:4824635
Gene symbol: Etv5
Gene name: ets variant 5
Probe: IMAGE clone 3167503
Probe preparation: Antisense labelled with digoxigenin RNA
Visualized with: Alkaline phosphatase
Assay notes: Cryosections of fresh frozen material were fixed in 4% paraformaldehyde for 20 min. before further processing. A tyramide-biotin/streptavidin amplification step was included in the in situ hybridization procedure.
Results
Specimen euxassay_000518_01: embryonic day 14.5 (more )
Structure Level Pattern Image Note
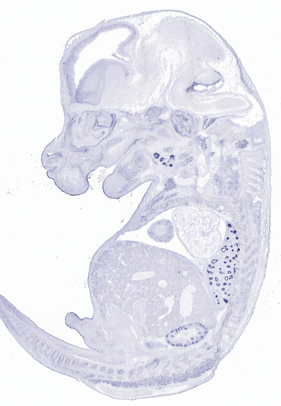
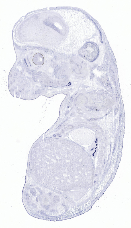
TS23: cranium Weak Regionally restricted euxassay_000518_01

Specimen euxassay_000518_02: embryonic day 14.5 (more )
Structure Level Pattern Image Note
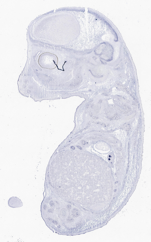
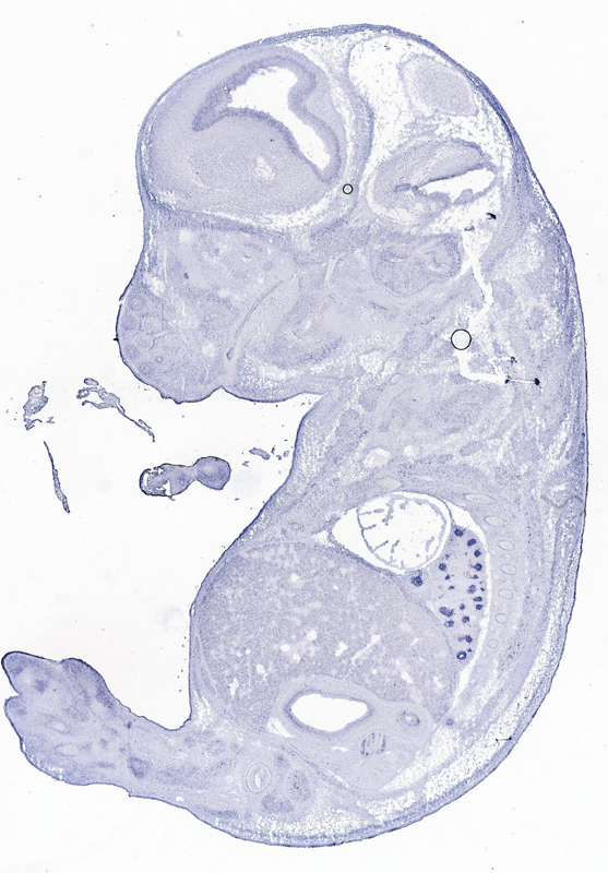
TS23: telencephalon ventricular layer Moderate Regionally restricted euxassay_000518_02
TS23: otic capsule Moderate Regionally restricted euxassay_000518_02
TS23: cranium Weak Regionally restricted euxassay_000518_02

Specimen euxassay_000518_03: embryonic day 14.5 (more )
Structure Level Pattern Image Note
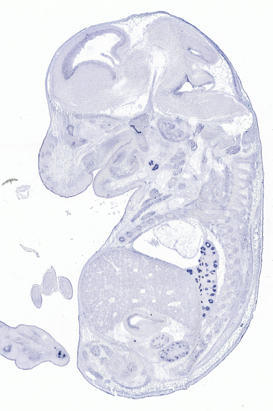
TS23: telencephalon ventricular layer Moderate Regionally restricted euxassay_000518_03
TS23: otic capsule Moderate Regionally restricted euxassay_000518_03
TS23: cranium Weak Regionally restricted euxassay_000518_03
TS23: lung Strong Regionally restricted euxassay_000518_03
TS23: rest of cerebellum ventricular layer Moderate Regionally restricted euxassay_000518_03

Specimen euxassay_000518_04: embryonic day 14.5 (more )
Structure Level Pattern Image Note
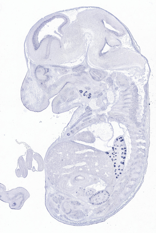
TS23: telencephalon ventricular layer Moderate Regionally restricted euxassay_000518_04
TS23: cranium Weak Regionally restricted euxassay_000518_04
TS23: lung Strong Regionally restricted euxassay_000518_04
TS23: rest of cerebellum ventricular layer Moderate Regionally restricted euxassay_000518_04

Specimen euxassay_000518_05: embryonic day 14.5 (more )
Structure Level Pattern Image Note
TS23: telencephalon ventricular layer Moderate Regionally restricted euxassay_000518_05
TS23: cranium Weak Regionally restricted euxassay_000518_05
TS23: lung Strong Regionally restricted euxassay_000518_05
TS23: rest of cerebellum ventricular layer Moderate Regionally restricted euxassay_000518_05
TS23: testis Moderate Regionally restricted euxassay_000518_05

Specimen euxassay_000518_06: embryonic day 14.5 (more )
Structure Level Pattern Image Note
TS23: telencephalon ventricular layer Moderate Regionally restricted euxassay_000518_06
TS23: cranium Weak Regionally restricted euxassay_000518_06
TS23: lung Strong Regionally restricted euxassay_000518_06
TS23: rest of cerebellum ventricular layer Moderate Regionally restricted euxassay_000518_06
TS23: pons ventricular layer Moderate Regionally restricted euxassay_000518_06
TS23: testis Moderate Regionally restricted euxassay_000518_06

Specimen euxassay_000518_07: embryonic day 14.5 (more )
Structure Level Pattern Image Note
TS23: telencephalon ventricular layer Moderate Regionally restricted euxassay_000518_07
TS23: cranium Weak Regionally restricted euxassay_000518_07
TS23: lung Strong Regionally restricted euxassay_000518_07
TS23: submandibular gland primordium Strong Regionally restricted euxassay_000518_07
TS23: pons ventricular layer Moderate Regionally restricted euxassay_000518_07
TS23: rest of cerebellum ventricular layer Moderate Regionally restricted euxassay_000518_07
TS23: midbrain ventricular layer Moderate Regionally restricted euxassay_000518_07
TS23: turbinate bone primordium Weak Regionally restricted euxassay_000518_07
TS23: renal calyx Moderate Regionally restricted euxassay_000518_07
TS23: testis Moderate Regionally restricted euxassay_000518_07

Specimen euxassay_000518_08: embryonic day 14.5 (more )
Structure Level Pattern Image Note
TS23: telencephalon ventricular layer Moderate Regionally restricted euxassay_000518_08
TS23: cranium Weak Regionally restricted euxassay_000518_08
TS23: lung Strong Regionally restricted euxassay_000518_08
TS23: submandibular gland primordium Strong Regionally restricted euxassay_000518_08
TS23: pons ventricular layer Moderate Regionally restricted euxassay_000518_08
TS23: rest of cerebellum ventricular layer Moderate Regionally restricted euxassay_000518_08
TS23: midbrain ventricular layer Moderate Regionally restricted euxassay_000518_08
TS23: turbinate bone primordium Weak Regionally restricted euxassay_000518_08
TS23: renal calyx Moderate Regionally restricted euxassay_000518_08
TS23: testis Moderate Regionally restricted euxassay_000518_08

Specimen euxassay_000518_09: embryonic day 14.5 (more )
Structure Level Pattern Image Note
TS23: telencephalon ventricular layer Moderate Regionally restricted euxassay_000518_09
TS23: cranium Weak Regionally restricted euxassay_000518_09
TS23: lung Strong Regionally restricted euxassay_000518_09
TS23: submandibular gland primordium Strong Regionally restricted euxassay_000518_09
TS23: pons ventricular layer Moderate Regionally restricted euxassay_000518_09
TS23: rest of cerebellum ventricular layer Moderate Regionally restricted euxassay_000518_09
TS23: medulla oblongata alar plate ventricular layer Moderate Regionally restricted euxassay_000518_09
TS23: midbrain ventricular layer Moderate Regionally restricted euxassay_000518_09
TS23: turbinate bone primordium Weak Regionally restricted euxassay_000518_09
TS23: renal calyx Moderate Regionally restricted euxassay_000518_09

Specimen euxassay_000518_10: embryonic day 14.5 (more )
Structure Level Pattern Image Note
TS23: telencephalon ventricular layer Moderate Regionally restricted euxassay_000518_10
TS23: cranium Weak Regionally restricted euxassay_000518_10
TS23: lung Strong Regionally restricted euxassay_000518_10
TS23: submandibular gland primordium Strong Regionally restricted euxassay_000518_10
TS23: medulla oblongata alar plate ventricular layer Moderate Regionally restricted euxassay_000518_10
TS23: pons ventricular layer Moderate Regionally restricted euxassay_000518_10
TS23: midbrain ventricular layer Moderate Regionally restricted euxassay_000518_10
TS23: turbinate bone primordium Weak Regionally restricted euxassay_000518_10
TS23: renal calyx Moderate Regionally restricted euxassay_000518_10

Specimen euxassay_000518_11: embryonic day 14.5 (more )
Structure Level Pattern Image Note
TS23: telencephalon ventricular layer Moderate Regionally restricted euxassay_000518_11
TS23: olfactory cortex ventricular layer Moderate Regionally restricted euxassay_000518_11
TS23: cranium Weak Regionally restricted euxassay_000518_11
TS23: lung Strong Regionally restricted euxassay_000518_11
TS23: submandibular gland primordium Strong Regionally restricted euxassay_000518_11
TS23: pons ventricular layer Moderate Regionally restricted euxassay_000518_11
TS23: medulla oblongata basal plate ventricular layer Moderate Regionally restricted euxassay_000518_11
TS23: midbrain ventricular layer Moderate Regionally restricted euxassay_000518_11
TS23: turbinate bone primordium Weak Regionally restricted euxassay_000518_11
TS23: renal calyx Moderate Regionally restricted euxassay_000518_11
TS23: lower jaw incisor Weak Regionally restricted euxassay_000518_11
TS23: upper jaw incisor Weak Regionally restricted euxassay_000518_11

Specimen euxassay_000518_12: embryonic day 14.5 (more )
Structure Level Pattern Image Note
TS23: olfactory cortex ventricular layer Moderate Regionally restricted euxassay_000518_12
TS23: telencephalon ventricular layer Moderate Regionally restricted euxassay_000518_12
TS23: lung Strong Regionally restricted euxassay_000518_12
TS23: midbrain ventricular layer Moderate Regionally restricted euxassay_000518_12
TS23: turbinate bone primordium Weak Regionally restricted euxassay_000518_12
TS23: lower jaw incisor Weak Regionally restricted euxassay_000518_12
TS23: upper jaw incisor Weak Regionally restricted euxassay_000518_12

Specimen euxassay_000518_13: embryonic day 14.5 (more )
Structure Level Pattern Image Note
TS23: telencephalon ventricular layer Moderate Regionally restricted euxassay_000518_13
TS23: lung Strong Regionally restricted euxassay_000518_13
TS23: medulla oblongata basal plate ventricular layer Moderate Regionally restricted euxassay_000518_13
TS23: pons ventricular layer Moderate Regionally restricted euxassay_000518_13
TS23: rest of cerebellum ventricular layer Moderate Regionally restricted euxassay_000518_13
TS23: midbrain ventricular layer Moderate Regionally restricted euxassay_000518_13
TS23: turbinate bone primordium Weak Regionally restricted euxassay_000518_13

Specimen euxassay_000518_14: embryonic day 14.5 (more )
Structure Level Pattern Image Note
TS23: lung Strong Regionally restricted euxassay_000518_14
TS23: medulla oblongata basal plate ventricular layer Moderate Regionally restricted euxassay_000518_14
TS23: pons ventricular layer Moderate Regionally restricted euxassay_000518_14
TS23: rest of cerebellum ventricular layer Moderate Regionally restricted euxassay_000518_14
TS23: midbrain ventricular layer Moderate Regionally restricted euxassay_000518_14
TS23: turbinate bone primordium Weak Regionally restricted euxassay_000518_14

Specimen euxassay_000518_15: embryonic day 14.5 (more )
Structure Level Pattern Image Note
TS23: telencephalon ventricular layer Moderate Regionally restricted euxassay_000518_15
TS23: lung Strong Regionally restricted euxassay_000518_15
TS23: rest of cerebellum ventricular layer Moderate Regionally restricted euxassay_000518_15
TS23: pons ventricular layer Moderate Regionally restricted euxassay_000518_15
TS23: medulla oblongata basal plate ventricular layer Moderate Regionally restricted euxassay_000518_15
TS23: midbrain ventricular layer Moderate Regionally restricted euxassay_000518_15
TS23: turbinate bone primordium Weak Regionally restricted euxassay_000518_15
TS23: lower jaw incisor Weak Regionally restricted euxassay_000518_15

Specimen euxassay_000518_16: embryonic day 14.5 (more )
Structure Level Pattern Image Note
TS23: olfactory cortex ventricular layer Moderate Regionally restricted euxassay_000518_16
TS23: telencephalon ventricular layer Moderate Regionally restricted euxassay_000518_16
TS23: cranium Weak Regionally restricted euxassay_000518_16
TS23: lung Strong Regionally restricted euxassay_000518_16
TS23: submandibular gland primordium Strong Regionally restricted euxassay_000518_16
TS23: pons ventricular layer Moderate Regionally restricted euxassay_000518_16
TS23: rest of cerebellum ventricular layer Moderate Regionally restricted euxassay_000518_16
TS23: midbrain ventricular layer Moderate Regionally restricted euxassay_000518_16
TS23: turbinate bone primordium Weak Regionally restricted euxassay_000518_16
TS23: lower jaw incisor Weak Regionally restricted euxassay_000518_16
TS23: upper jaw incisor Weak Regionally restricted euxassay_000518_16

Specimen euxassay_000518_17: embryonic day 14.5 (more )
Structure Level Pattern Image Note
TS23: olfactory cortex ventricular layer Moderate Regionally restricted euxassay_000518_17
TS23: telencephalon ventricular layer Moderate Regionally restricted euxassay_000518_17
TS23: lung Strong Regionally restricted euxassay_000518_17
TS23: submandibular gland primordium Strong Regionally restricted euxassay_000518_17
TS23: pons ventricular layer Moderate Regionally restricted euxassay_000518_17
TS23: rest of cerebellum ventricular layer Moderate Regionally restricted euxassay_000518_17
TS23: midbrain ventricular layer Moderate Regionally restricted euxassay_000518_17
TS23: turbinate bone primordium Weak Regionally restricted euxassay_000518_17
TS23: renal calyx Moderate Regionally restricted euxassay_000518_17
TS23: upper jaw incisor Weak Regionally restricted euxassay_000518_17

Specimen euxassay_000518_18: embryonic day 14.5 (more )
Structure Level Pattern Image Note
TS23: telencephalon ventricular layer Weak Regionally restricted euxassay_000518_18
TS23: lung Strong Regionally restricted euxassay_000518_18
TS23: submandibular gland primordium Strong Regionally restricted euxassay_000518_18
TS23: pons ventricular layer Moderate Regionally restricted euxassay_000518_18
TS23: rest of cerebellum ventricular layer Moderate Regionally restricted euxassay_000518_18
TS23: turbinate bone primordium Weak Regionally restricted euxassay_000518_18
TS23: renal calyx Moderate Regionally restricted euxassay_000518_18

Specimen euxassay_000518_19: embryonic day 14.5 (more )
Structure Level Pattern Image Note
TS23: telencephalon ventricular layer Moderate Regionally restricted euxassay_000518_19
TS23: cranium Weak Regionally restricted euxassay_000518_19
TS23: lung Strong Regionally restricted euxassay_000518_19
TS23: submandibular gland primordium Strong Regionally restricted euxassay_000518_19
TS23: rest of cerebellum ventricular layer Moderate Regionally restricted euxassay_000518_19
TS23: turbinate bone primordium Weak Regionally restricted euxassay_000518_19
TS23: renal calyx Moderate Regionally restricted euxassay_000518_19

Specimen euxassay_000518_20: embryonic day 14.5 (more )
Structure Level Pattern Image Note
TS23: telencephalon ventricular layer Moderate Regionally restricted euxassay_000518_20
TS23: cranium Weak Regionally restricted euxassay_000518_20
TS23: lung Strong Regionally restricted euxassay_000518_20
TS23: rest of cerebellum ventricular layer Moderate Regionally restricted euxassay_000518_20
TS23: turbinate bone primordium Weak Regionally restricted euxassay_000518_20
TS23: renal calyx Moderate Regionally restricted euxassay_000518_20
TS23: testis Weak Regionally restricted euxassay_000518_20

Specimen euxassay_000518_21: embryonic day 14.5 (more )
Structure Level Pattern Image Note
TS23: telencephalon ventricular layer Moderate Regionally restricted euxassay_000518_21
TS23: otic capsule Moderate Regionally restricted euxassay_000518_21
TS23: cranium Weak Regionally restricted euxassay_000518_21
TS23: lung Strong Regionally restricted euxassay_000518_21
TS23: rest of cerebellum ventricular layer Moderate Regionally restricted euxassay_000518_21
TS23: renal calyx Moderate Regionally restricted euxassay_000518_21
TS23: testis Weak Regionally restricted euxassay_000518_21

Specimen euxassay_000518_22: embryonic day 14.5 (more )
Structure Level Pattern Image Note
TS23: telencephalon ventricular layer Moderate Regionally restricted euxassay_000518_22
TS23: otic capsule Moderate Regionally restricted euxassay_000518_22
TS23: cranium Weak Regionally restricted euxassay_000518_22
TS23: lung Strong Regionally restricted euxassay_000518_22
TS23: testis Weak Regionally restricted euxassay_000518_22

Specimen euxassay_000518_23: embryonic day 14.5 (more )
Structure Level Pattern Image Note
TS23: telencephalon ventricular layer Moderate Regionally restricted euxassay_000518_23
TS23: otic capsule Moderate Regionally restricted euxassay_000518_23
TS23: cranium Weak Regionally restricted euxassay_000518_23
TS23: lung Strong Regionally restricted euxassay_000518_23

Specimen euxassay_000518_24: embryonic day 14.5 (more )
Structure Level Pattern Image Note
TS23: otic capsule Moderate Regionally restricted euxassay_000518_24
TS23: cranium Weak Regionally restricted euxassay_000518_24
TS23: lung Strong Regionally restricted euxassay_000518_24


Contributing Projects:
Mouse Genome Database (MGD), Gene Expression Database (GXD), Mouse Models of Human Cancer database (MMHCdb) (formerly Mouse Tumor Biology (MTB)), Gene Ontology (GO)
Citing These Resources
Funding Information
Warranty Disclaimer, Privacy Notice, Licensing, & Copyright
Send questions and comments to User Support.
last database update
01/06/2026
MGI 6.24
The Jackson Laboratory