About   Help   FAQ
Gene Expression Data
Assay Details
Assay
Reference: J:153498 Diez-Roux G, et al., A high-resolution anatomical atlas of the transcriptome in the mouse embryo. PLoS Biol. 2011;9(1):e1000582
Assay type: RNA in situ
MGI Accession ID: MGI:4824630
Gene symbol: Etfdh
Gene name: electron transferring flavoprotein, dehydrogenase
Probe: MH2122 probe 1793
Probe preparation: Antisense labelled with digoxigenin RNA
Visualized with: Alkaline phosphatase
Assay notes: Cryosections of fresh frozen material were fixed in 4% paraformaldehyde for 20 min. before further processing. A tyramide-biotin/streptavidin amplification step was included in the in situ hybridization procedure.
Results
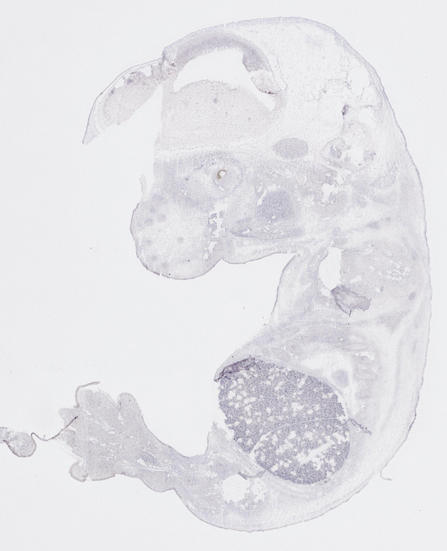
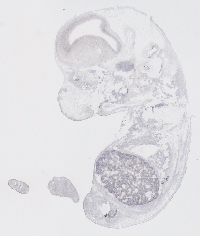
Specimen euxassay_018908_01: embryonic day 14.5 (more )
Structure Level Pattern Image Note
TS23: liver Moderate Regionally restricted euxassay_018908_01

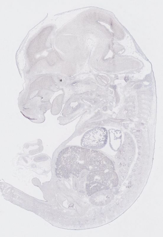
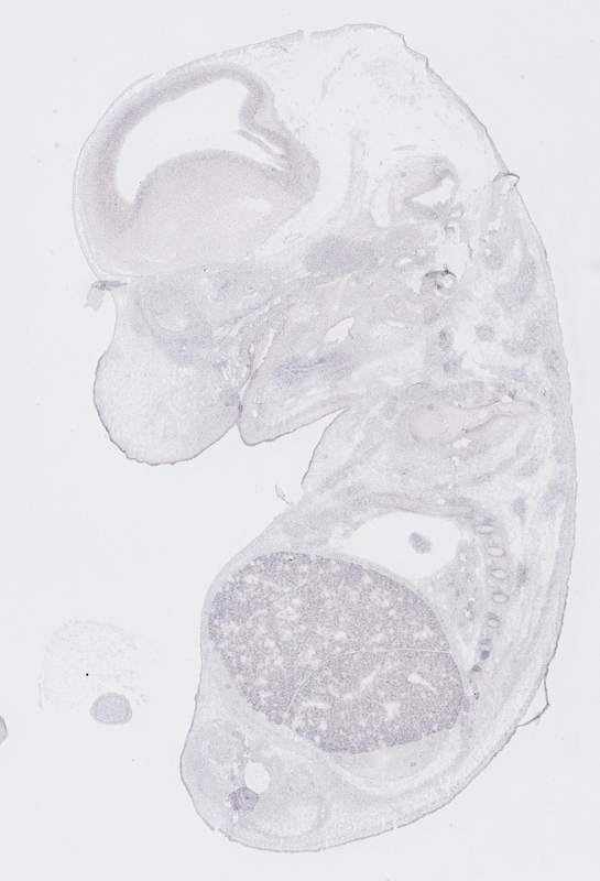
Specimen euxassay_018908_02: embryonic day 14.5 (more )
Structure Level Pattern Image Note
TS23: liver Moderate Regionally restricted euxassay_018908_02

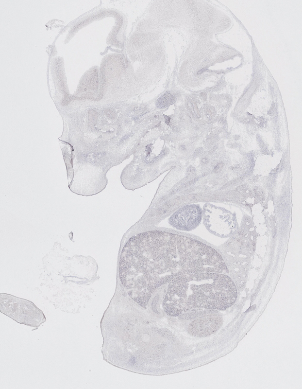
Specimen euxassay_018908_03: embryonic day 14.5 (more )
Structure Level Pattern Image Note
TS23: liver Moderate Regionally restricted euxassay_018908_03

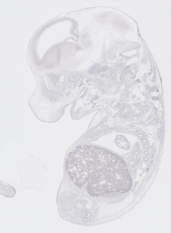
Specimen euxassay_018908_04: embryonic day 14.5 (more )
Structure Level Pattern Image Note
TS23: liver Weak Regionally restricted euxassay_018908_04

Specimen euxassay_018908_05: embryonic day 14.5 (more )
Structure Level Pattern Image Note
TS23: liver Weak Regionally restricted euxassay_018908_05

Specimen euxassay_018908_06: embryonic day 14.5 (more )
Structure Level Pattern Image Note
TS23: liver Weak Regionally restricted euxassay_018908_06

Specimen euxassay_018908_07: embryonic day 14.5 (more )
Structure Level Pattern Image Note
TS23: liver Weak Regionally restricted euxassay_018908_07

Specimen euxassay_018908_08: embryonic day 14.5 (more )
Structure Level Pattern Image Note
TS23: liver Weak Regionally restricted euxassay_018908_08

Specimen euxassay_018908_09: embryonic day 14.5 (more )
Structure Level Pattern Image Note
TS23: liver Weak Regionally restricted euxassay_018908_09

Specimen euxassay_018908_10: embryonic day 14.5 (more )
Structure Level Pattern Image Note
TS23: liver Weak Regionally restricted euxassay_018908_10

Specimen euxassay_018908_11: embryonic day 14.5 (more )
Structure Level Pattern Image Note
TS23: liver Weak Regionally restricted euxassay_018908_11

Specimen euxassay_018908_12: embryonic day 14.5 (more )
Structure Level Pattern Image Note
TS23: liver Weak Regionally restricted euxassay_018908_12

Specimen euxassay_018908_13: embryonic day 14.5 (more )
Structure Level Pattern Image Note
TS23: liver Weak Regionally restricted euxassay_018908_13

Specimen euxassay_018908_14: embryonic day 14.5 (more )
Structure Level Pattern Image Note
TS23: liver Weak Regionally restricted euxassay_018908_14

Specimen euxassay_018908_15: embryonic day 14.5 (more )
Structure Level Pattern Image Note
TS23: liver Weak Regionally restricted euxassay_018908_15

Specimen euxassay_018908_16: embryonic day 14.5 (more )
Structure Level Pattern Image Note
TS23: liver Weak Regionally restricted euxassay_018908_16

Specimen euxassay_018908_17: embryonic day 14.5 (more )
Structure Level Pattern Image Note
TS23: liver Weak Regionally restricted euxassay_018908_17

Specimen euxassay_018908_18: embryonic day 14.5 (more )
Structure Level Pattern Image Note
TS23: liver Weak Regionally restricted euxassay_018908_18

Specimen euxassay_018908_19: embryonic day 14.5 (more )
Structure Level Pattern Image Note
TS23: liver Weak Regionally restricted euxassay_018908_19

Specimen euxassay_018908_20: embryonic day 14.5 (more )
Structure Level Pattern Image Note
TS23: liver Weak Regionally restricted euxassay_018908_20

Specimen euxassay_018908_21: embryonic day 14.5 (more )
Structure Level Pattern Image Note
TS23: liver Weak Regionally restricted euxassay_018908_21

Specimen euxassay_018908_22: embryonic day 14.5 (more )
Structure Level Pattern Image Note
TS23: liver Weak Regionally restricted euxassay_018908_22


Contributing Projects:
Mouse Genome Database (MGD), Gene Expression Database (GXD), Mouse Models of Human Cancer database (MMHCdb) (formerly Mouse Tumor Biology (MTB)), Gene Ontology (GO)
Citing These Resources
Funding Information
Warranty Disclaimer, Privacy Notice, Licensing, & Copyright
Send questions and comments to User Support.
last database update
01/06/2026
MGI 6.24
The Jackson Laboratory