About   Help   FAQ
Gene Expression Data
Assay Details
Assay
Reference: J:153498 Diez-Roux G, et al., A high-resolution anatomical atlas of the transcriptome in the mouse embryo. PLoS Biol. 2011;9(1):e1000582
Assay type: RNA in situ
MGI Accession ID: MGI:4824629
Gene symbol: Etfa
Gene name: electron transferring flavoprotein, alpha polypeptide
Probe: IMAGE clone 2135897
Probe preparation: Antisense labelled with digoxigenin RNA
Visualized with: Alkaline phosphatase
Assay notes: Cryosections of fresh frozen material were fixed in 4% paraformaldehyde for 20 min. before further processing. A tyramide-biotin/streptavidin amplification step was included in the in situ hybridization procedure.
Results
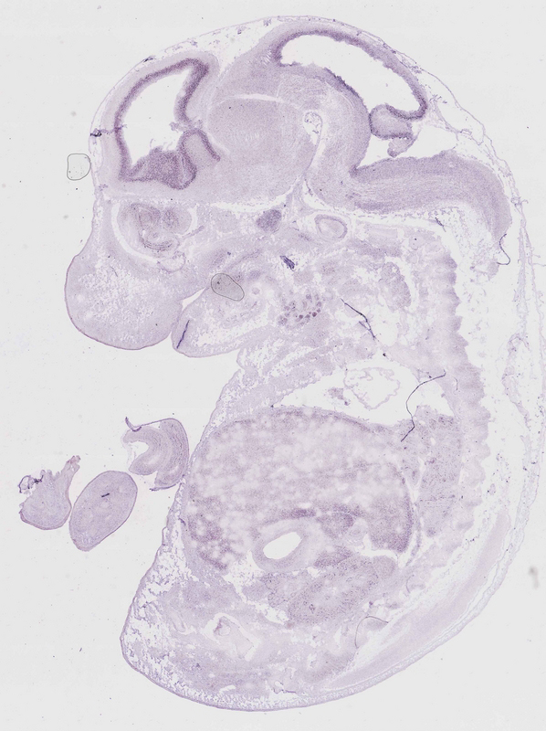
Specimen euxassay_002051_02: embryonic day 14.5 (more )
Structure Level Pattern Image Note
TS23: telencephalon ventricular layer Strong Uniform euxassay_002051_02

Specimen euxassay_002051_03: embryonic day 14.5 (more )
Structure Level Pattern Image Note
TS23: telencephalon ventricular layer Strong Uniform euxassay_002051_03

Specimen euxassay_002051_04: embryonic day 14.5 (more )
Structure Level Pattern Image Note
TS23: telencephalon ventricular layer Strong Uniform euxassay_002051_04

Specimen euxassay_002051_05: embryonic day 14.5 (more )
Structure Level Pattern Image Note
TS23: telencephalon ventricular layer Strong Uniform euxassay_002051_05

Specimen euxassay_002051_06: embryonic day 14.5 (more )
Structure Level Pattern Image Note
TS23: telencephalon ventricular layer Strong Uniform euxassay_002051_06

Specimen euxassay_002051_07: embryonic day 14.5 (more )
Structure Level Pattern Image Note
TS23: telencephalon ventricular layer Strong Uniform euxassay_002051_07

Specimen euxassay_002051_08: embryonic day 14.5 (more )
Structure Level Pattern Image Note
TS23: telencephalon ventricular layer Strong Uniform euxassay_002051_08

Specimen euxassay_002051_09: embryonic day 14.5 (more )
Structure Level Pattern Image Note
TS23: telencephalon ventricular layer Strong Uniform euxassay_002051_09

Specimen euxassay_002051_10: embryonic day 14.5 (more )
Structure Level Pattern Image Note
TS23: telencephalon ventricular layer Strong Uniform euxassay_002051_10

Specimen euxassay_002051_11: embryonic day 14.5 (more )
Structure Level Pattern Image Note
TS23: telencephalon ventricular layer Strong Uniform euxassay_002051_11
TS23: olfactory cortex ventricular layer Strong Uniform euxassay_002051_11

Specimen euxassay_002051_12: embryonic day 14.5 (more )
Structure Level Pattern Image Note
TS23: telencephalon ventricular layer Strong Uniform euxassay_002051_12
TS23: olfactory cortex ventricular layer Strong Uniform euxassay_002051_12
TS23: thymus primordium Strong Uniform euxassay_002051_12

Specimen euxassay_002051_13: embryonic day 14.5 (more )
Structure Level Pattern Image Note
TS23: telencephalon ventricular layer Strong Uniform euxassay_002051_13
TS23: olfactory cortex ventricular layer Strong Uniform euxassay_002051_13
TS23: thymus primordium Strong Uniform euxassay_002051_13

Specimen euxassay_002051_14: embryonic day 14.5 (more )
Structure Level Pattern Image Note
TS23: telencephalon ventricular layer Strong Uniform euxassay_002051_14
TS23: thymus primordium Strong Uniform euxassay_002051_14

Specimen euxassay_002051_15: embryonic day 14.5 (more )
Structure Level Pattern Image Note
TS23: telencephalon ventricular layer Strong Uniform euxassay_002051_15
TS23: thymus primordium Strong Uniform euxassay_002051_15

Specimen euxassay_002051_16: embryonic day 14.5 (more )
Structure Level Pattern Image Note
TS23: telencephalon ventricular layer Strong Uniform euxassay_002051_16
TS23: thymus primordium Strong Uniform euxassay_002051_16

Specimen euxassay_002051_17: embryonic day 14.5 (more )
Structure Level Pattern Image Note
TS23: telencephalon ventricular layer Strong Uniform euxassay_002051_17
TS23: olfactory cortex ventricular layer Strong Uniform euxassay_002051_17
TS23: thymus primordium Strong Uniform euxassay_002051_17

Specimen euxassay_002051_18: embryonic day 14.5 (more )
Structure Level Pattern Image Note
TS23: telencephalon ventricular layer Strong Uniform euxassay_002051_18
TS23: olfactory cortex ventricular layer Strong Uniform euxassay_002051_18
TS23: thymus primordium Strong Uniform euxassay_002051_18

Specimen euxassay_002051_19: embryonic day 14.5 (more )
Structure Level Pattern Image Note
TS23: telencephalon ventricular layer Strong Uniform euxassay_002051_19
TS23: olfactory cortex ventricular layer Strong Uniform euxassay_002051_19

Specimen euxassay_002051_20: embryonic day 14.5 (more )
Structure Level Pattern Image Note
TS23: telencephalon ventricular layer Strong Uniform euxassay_002051_20

Specimen euxassay_002051_21: embryonic day 14.5 (more )
Structure Level Pattern Image Note
TS23: telencephalon ventricular layer Strong Uniform euxassay_002051_21

Specimen euxassay_002051_22: embryonic day 14.5 (more )
Structure Level Pattern Image Note
TS23: telencephalon ventricular layer Strong Uniform euxassay_002051_22

Specimen euxassay_002051_23: embryonic day 14.5 (more )
Structure Level Pattern Image Note
TS23: telencephalon ventricular layer Strong Uniform euxassay_002051_23

Specimen euxassay_002051_24: embryonic day 14.5 (more )
Structure Level Pattern Image Note
TS23: telencephalon ventricular layer Strong Uniform euxassay_002051_24


Contributing Projects:
Mouse Genome Database (MGD), Gene Expression Database (GXD), Mouse Models of Human Cancer database (MMHCdb) (formerly Mouse Tumor Biology (MTB)), Gene Ontology (GO)
Citing These Resources
Funding Information
Warranty Disclaimer, Privacy Notice, Licensing, & Copyright
Send questions and comments to User Support.
last database update
01/20/2026
MGI 6.24
The Jackson Laboratory