About   Help   FAQ
Gene Expression Data
Assay Details
Assay
Reference: J:153498 Diez-Roux G, et al., A high-resolution anatomical atlas of the transcriptome in the mouse embryo. PLoS Biol. 2011;9(1):e1000582
Assay type: RNA in situ
MGI Accession ID: MGI:4824621
Gene symbol: Ces1e
Gene name: carboxylesterase 1E
Probe: MGC clone 29420
Probe preparation: Antisense labelled with digoxigenin RNA
Visualized with: Alkaline phosphatase
Assay notes: Cryosections of fresh frozen material were fixed in 4% paraformaldehyde for 20 min. before further processing. A tyramide-biotin/streptavidin amplification step was included in the in situ hybridization procedure.
Results
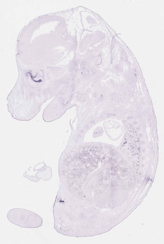
Specimen euxassay_001609_01: embryonic day 14.5 (more )
Structure Level Pattern Image Note
TS23: olfactory epithelium Strong Regionally restricted euxassay_001609_01
TS23: lung Moderate Regionally restricted euxassay_001609_01

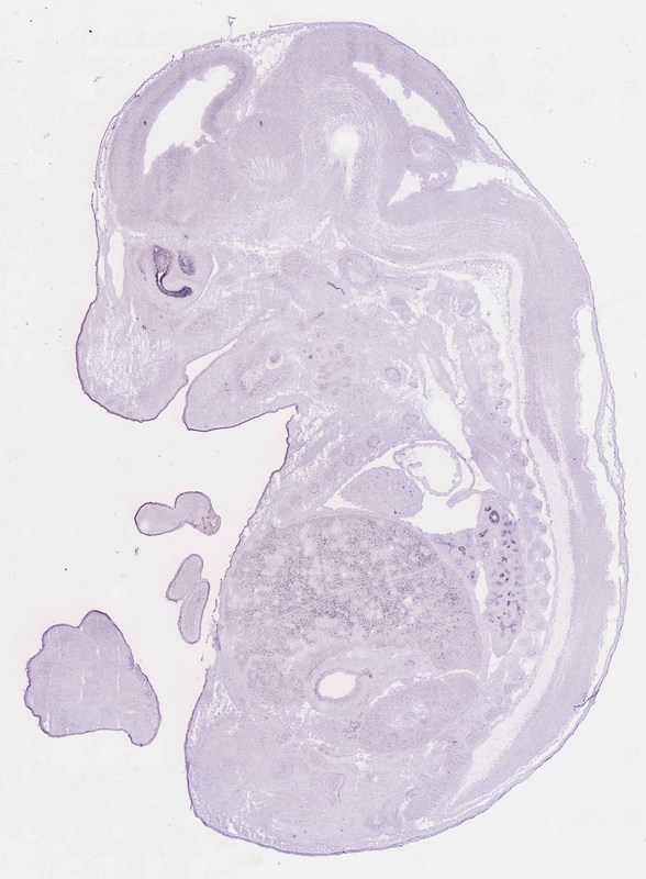
Specimen euxassay_001609_02: embryonic day 14.5 (more )
Structure Level Pattern Image Note
TS23: olfactory epithelium Strong Regionally restricted euxassay_001609_02
TS23: lung Moderate Regionally restricted euxassay_001609_02

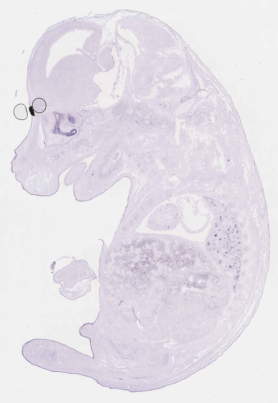
Specimen euxassay_001609_03: embryonic day 14.5 (more )
Structure Level Pattern Image Note
TS23: olfactory epithelium Strong Regionally restricted euxassay_001609_03
TS23: lung Moderate Regionally restricted euxassay_001609_03

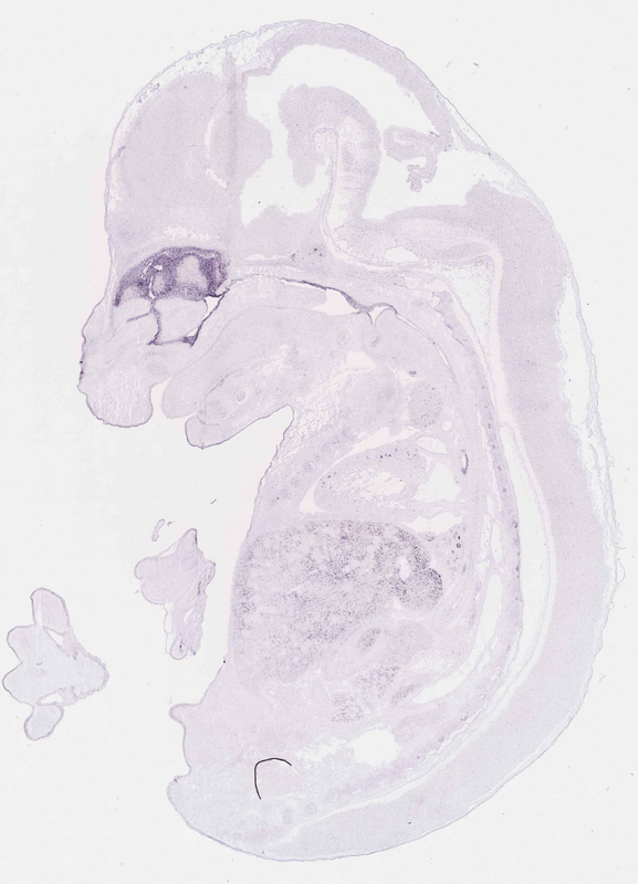
Specimen euxassay_001609_04: embryonic day 14.5 (more )
Structure Level Pattern Image Note
TS23: olfactory epithelium Strong Regionally restricted euxassay_001609_04
TS23: lung Moderate Regionally restricted euxassay_001609_04

Specimen euxassay_001609_05: embryonic day 14.5 (more )
Structure Level Pattern Image Note
TS23: olfactory epithelium Strong Regionally restricted euxassay_001609_05
TS23: lung Moderate Regionally restricted euxassay_001609_05

Specimen euxassay_001609_06: embryonic day 14.5 (more )
Structure Level Pattern Image Note
TS23: olfactory epithelium Strong Regionally restricted euxassay_001609_06
TS23: lung Moderate Regionally restricted euxassay_001609_06

Specimen euxassay_001609_07: embryonic day 14.5 (more )
Structure Level Pattern Image Note
TS23: olfactory epithelium Strong Regionally restricted euxassay_001609_07
TS23: lung Moderate Regionally restricted euxassay_001609_07

Specimen euxassay_001609_08: embryonic day 14.5 (more )
Structure Level Pattern Image Note
TS23: olfactory epithelium Strong Regionally restricted euxassay_001609_08
TS23: lung Moderate Regionally restricted euxassay_001609_08

Specimen euxassay_001609_09: embryonic day 14.5 (more )
Structure Level Pattern Image Note
TS23: olfactory epithelium Strong Regionally restricted euxassay_001609_09
TS23: lung Moderate Regionally restricted euxassay_001609_09

Specimen euxassay_001609_10: embryonic day 14.5 (more )
Structure Level Pattern Image Note
TS23: olfactory epithelium Strong Regionally restricted euxassay_001609_10
TS23: lung Moderate Regionally restricted euxassay_001609_10

Specimen euxassay_001609_11: embryonic day 14.5 (more )
Structure Level Pattern Image Note
TS23: lung Moderate Regionally restricted euxassay_001609_11


Contributing Projects:
Mouse Genome Database (MGD), Gene Expression Database (GXD), Mouse Models of Human Cancer database (MMHCdb) (formerly Mouse Tumor Biology (MTB)), Gene Ontology (GO)
Citing These Resources
Funding Information
Warranty Disclaimer, Privacy Notice, Licensing, & Copyright
Send questions and comments to User Support.
last database update
03/31/2026
MGI 6.24
The Jackson Laboratory