About   Help   FAQ
Gene Expression Data
Assay Details
Assay
Reference: J:153498 Diez-Roux G, et al., A high-resolution anatomical atlas of the transcriptome in the mouse embryo. PLoS Biol. 2011;9(1):e1000582
Assay type: RNA in situ
MGI Accession ID: MGI:4824619
Gene symbol: Erp44
Gene name: endoplasmic reticulum protein 44
Probe: IMAGE clone 1890495
Probe preparation: Antisense labelled with digoxigenin RNA
Visualized with: Alkaline phosphatase
Assay notes: Cryosections of fresh frozen material were fixed in 4% paraformaldehyde for 20 min. before further processing. A tyramide-biotin/streptavidin amplification step was included in the in situ hybridization procedure.
Results
Specimen euxassay_001975_02: embryonic day 14.5 (more )
Structure Level Pattern Image Note
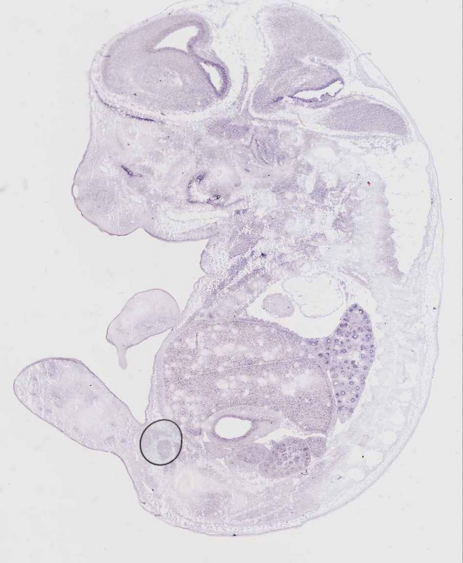
TS23: orbito-sphenoid Weak Regionally restricted euxassay_001975_02

Specimen euxassay_001975_03: embryonic day 14.5 (more )
Structure Level Pattern Image Note
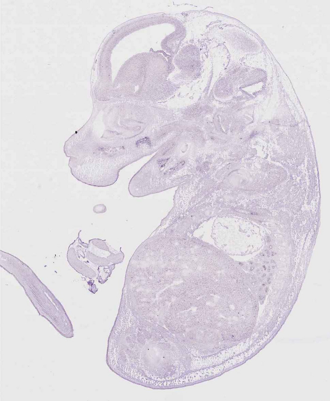
TS23: orbito-sphenoid Weak Regionally restricted euxassay_001975_03
TS23: Meckel's cartilage Moderate Regionally restricted euxassay_001975_03

Specimen euxassay_001975_04: embryonic day 14.5 (more )
Structure Level Pattern Image Note
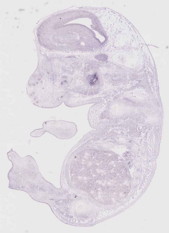
TS23: orbito-sphenoid Moderate Regionally restricted euxassay_001975_04
TS23: Meckel's cartilage Moderate Regionally restricted euxassay_001975_04

Specimen euxassay_001975_05: embryonic day 14.5 (more )
Structure Level Pattern Image Note
TS23: orbito-sphenoid Moderate Regionally restricted euxassay_001975_05
TS23: Meckel's cartilage Moderate Regionally restricted euxassay_001975_05

Specimen euxassay_001975_06: embryonic day 14.5 (more )
Structure Level Pattern Image Note
TS23: orbito-sphenoid Moderate Regionally restricted euxassay_001975_06
TS23: Meckel's cartilage Moderate Regionally restricted euxassay_001975_06
TS23: lower jaw molar Moderate Regionally restricted euxassay_001975_06
TS23: upper jaw molar Moderate Regionally restricted euxassay_001975_06

Specimen euxassay_001975_07: embryonic day 14.5 (more )
Structure Level Pattern Image Note
TS23: upper jaw molar Weak Regionally restricted euxassay_001975_07
TS23: lower jaw molar Weak Regionally restricted euxassay_001975_07
TS23: Meckel's cartilage Weak Regionally restricted euxassay_001975_07

Specimen euxassay_001975_08: embryonic day 14.5 (more )
Structure Level Pattern Image Note
TS23: upper jaw molar Moderate Regionally restricted euxassay_001975_08
TS23: lower jaw molar Moderate Regionally restricted euxassay_001975_08
TS23: Meckel's cartilage Moderate Regionally restricted euxassay_001975_08

Specimen euxassay_001975_09: embryonic day 14.5 (more )
Structure Level Pattern Image Note
TS23: Meckel's cartilage Moderate Regionally restricted euxassay_001975_09
TS23: upper jaw molar Strong Regionally restricted euxassay_001975_09

Specimen euxassay_001975_10: embryonic day 14.5 (more )
Structure Level Pattern Image Note
TS23: upper jaw incisor Moderate Regionally restricted euxassay_001975_10
TS23: upper jaw molar Moderate Regionally restricted euxassay_001975_10
TS23: lower jaw incisor Moderate Regionally restricted euxassay_001975_10

Specimen euxassay_001975_11: embryonic day 14.5 (more )
Structure Level Pattern Image Note
TS23: upper jaw incisor Moderate Regionally restricted euxassay_001975_11
TS23: lower jaw incisor Moderate Regionally restricted euxassay_001975_11

Specimen euxassay_001975_17: embryonic day 14.5 (more )
Structure Level Pattern Image Note
TS23: Meckel's cartilage Moderate Regionally restricted euxassay_001975_17
TS23: upper jaw molar Moderate Regionally restricted euxassay_001975_17
TS23: lower jaw molar Moderate Regionally restricted euxassay_001975_17

Specimen euxassay_001975_18: embryonic day 14.5 (more )
Structure Level Pattern Image Note
TS23: upper jaw molar Moderate Regionally restricted euxassay_001975_18
TS23: lower jaw molar Moderate Regionally restricted euxassay_001975_18
TS23: Meckel's cartilage Moderate Regionally restricted euxassay_001975_18

Specimen euxassay_001975_19: embryonic day 14.5 (more )
Structure Level Pattern Image Note
TS23: lower jaw molar Moderate Regionally restricted euxassay_001975_19
TS23: upper jaw molar Moderate Regionally restricted euxassay_001975_19

Specimen euxassay_001975_20: embryonic day 14.5 (more )
Structure Level Pattern Image Note
TS23: upper jaw molar Moderate Regionally restricted euxassay_001975_20
TS23: Meckel's cartilage Moderate Regionally restricted euxassay_001975_20

Specimen euxassay_001975_21: embryonic day 14.5 (more )
Structure Level Pattern Image Note
TS23: Meckel's cartilage Moderate Regionally restricted euxassay_001975_21
TS23: upper jaw molar Moderate Regionally restricted euxassay_001975_21

Specimen euxassay_001975_22: embryonic day 14.5 (more )
Structure Level Pattern Image Note
TS23: orbito-sphenoid Moderate Regionally restricted euxassay_001975_22
TS23: Meckel's cartilage Moderate Regionally restricted euxassay_001975_22

Specimen euxassay_001975_23: embryonic day 14.5 (more )
Structure Level Pattern Image Note
TS23: orbito-sphenoid Moderate Regionally restricted euxassay_001975_23

Specimen euxassay_001975_24: embryonic day 14.5 (more )
Structure Level Pattern Image Note
TS23: orbito-sphenoid Moderate Regionally restricted euxassay_001975_24


Contributing Projects:
Mouse Genome Database (MGD), Gene Expression Database (GXD), Mouse Models of Human Cancer database (MMHCdb) (formerly Mouse Tumor Biology (MTB)), Gene Ontology (GO)
Citing These Resources
Funding Information
Warranty Disclaimer, Privacy Notice, Licensing, & Copyright
Send questions and comments to User Support.
last database update
01/06/2026
MGI 6.24
The Jackson Laboratory