About   Help   FAQ
Gene Expression Data
Assay Details
Assay
Reference: J:153498 Diez-Roux G, et al., A high-resolution anatomical atlas of the transcriptome in the mouse embryo. PLoS Biol. 2011;9(1):e1000582
Assay type: RNA in situ
MGI Accession ID: MGI:4824605
Gene symbol: Epyc
Gene name: epiphycan
Probe: MGC clone 13953
Probe preparation: Antisense labelled with digoxigenin RNA
Visualized with: Alkaline phosphatase
Assay notes: Cryosections of fresh frozen material were fixed in 4% paraformaldehyde for 20 min. before further processing. A tyramide-biotin/streptavidin amplification step was included in the in situ hybridization procedure.
Results
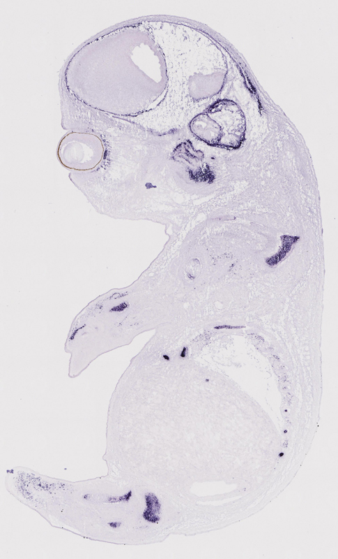
Specimen euxassay_008346_01: embryonic day 14.5 (more )
Structure Level Pattern Image Note
TS23: rib Strong Regionally restricted euxassay_008346_01
TS23: temporal bone petrous part Strong Regionally restricted euxassay_008346_01
TS23: telencephalon meninges Strong Regionally restricted euxassay_008346_01
TS23: tibia Strong Regionally restricted euxassay_008346_01
TS23: fibula Strong Regionally restricted euxassay_008346_01
TS23: femur Strong Regionally restricted euxassay_008346_01
TS23: scapula Strong Regionally restricted euxassay_008346_01
TS23: perioptic mesenchyme Strong Regionally restricted euxassay_008346_01

Specimen euxassay_008346_02: embryonic day 14.5 (more )
Structure Level Pattern Image Note
TS23: rib Strong Regionally restricted euxassay_008346_02
TS23: exoccipital bone Strong Regionally restricted euxassay_008346_02
TS23: orbito-sphenoid Strong Regionally restricted euxassay_008346_02
TS23: olfactory lobe Strong Regionally restricted euxassay_008346_02
TS23: tibia Strong Regionally restricted euxassay_008346_02
TS23: fibula Strong Regionally restricted euxassay_008346_02
TS23: femur Strong Regionally restricted euxassay_008346_02
TS23: scapula Strong Regionally restricted euxassay_008346_02
TS23: foot Moderate Single cells euxassay_008346_02
TS23: perioptic mesenchyme Strong Regionally restricted euxassay_008346_02

Specimen euxassay_008346_03: embryonic day 14.5 (more )
Structure Level Pattern Image Note
TS23: rib Strong Regionally restricted euxassay_008346_03
TS23: exoccipital bone Strong Regionally restricted euxassay_008346_03
TS23: temporal bone petrous part Strong Regionally restricted euxassay_008346_03
TS23: telencephalon meninges Moderate Regionally restricted euxassay_008346_03
TS23: fibula Strong Regionally restricted euxassay_008346_03
TS23: tibia Strong Regionally restricted euxassay_008346_03
TS23: femur Strong Regionally restricted euxassay_008346_03
TS23: humerus Strong Regionally restricted euxassay_008346_03
TS23: scapula Strong Regionally restricted euxassay_008346_03
TS23: foot Strong Single cells euxassay_008346_03
TS23: perioptic mesenchyme Strong Regionally restricted euxassay_008346_03

Specimen euxassay_008346_04: embryonic day 14.5 (more )
Structure Level Pattern Image Note
TS23: rib Strong Regionally restricted euxassay_008346_04
TS23: temporal bone petrous part Strong Regionally restricted euxassay_008346_04
TS23: exoccipital bone Strong Regionally restricted euxassay_008346_04
TS23: telencephalon meninges Moderate Regionally restricted euxassay_008346_04
TS23: tibia Strong Regionally restricted euxassay_008346_04
TS23: humerus Strong Regionally restricted euxassay_008346_04
TS23: scapula Strong Regionally restricted euxassay_008346_04
TS23: foot Strong Single cells euxassay_008346_04
TS23: perioptic mesenchyme Strong Regionally restricted euxassay_008346_04

Specimen euxassay_008346_05: embryonic day 14.5 (more )
Structure Level Pattern Image Note
TS23: rib Strong Regionally restricted euxassay_008346_05
TS23: temporal bone petrous part Strong Regionally restricted euxassay_008346_05
TS23: exoccipital bone Strong Regionally restricted euxassay_008346_05
TS23: telencephalon meninges Moderate Regionally restricted euxassay_008346_05
TS23: humerus Strong Regionally restricted euxassay_008346_05
TS23: perioptic mesenchyme Strong Regionally restricted euxassay_008346_05

Specimen euxassay_008346_06: embryonic day 14.5 (more )
Structure Level Pattern Image Note
TS23: rib Strong Regionally restricted euxassay_008346_06
TS23: orbito-sphenoid Strong Regionally restricted euxassay_008346_06
TS23: temporal bone petrous part Strong Regionally restricted euxassay_008346_06
TS23: exoccipital bone Strong Regionally restricted euxassay_008346_06
TS23: telencephalon meninges Moderate Regionally restricted euxassay_008346_06
TS23: perioptic mesenchyme Strong Regionally restricted euxassay_008346_06

Specimen euxassay_008346_07: embryonic day 14.5 (more )
Structure Level Pattern Image Note
TS23: rib Strong Regionally restricted euxassay_008346_07
TS23: exoccipital bone Strong Regionally restricted euxassay_008346_07
TS23: orbito-sphenoid Strong Regionally restricted euxassay_008346_07
TS23: telencephalon meninges Moderate Regionally restricted euxassay_008346_07
TS23: femur Strong Regionally restricted euxassay_008346_07
TS23: perioptic mesenchyme Strong Regionally restricted euxassay_008346_07
TS23: axial skeleton cervical region Strong Regionally restricted euxassay_008346_07

Specimen euxassay_008346_08: embryonic day 14.5 (more )
Structure Level Pattern Image Note
TS23: rib Strong Regionally restricted euxassay_008346_08
TS23: foramen ovale of chondrocranium Strong Regionally restricted euxassay_008346_08
TS23: orbito-sphenoid Strong Regionally restricted euxassay_008346_08
TS23: basioccipital bone Strong Regionally restricted euxassay_008346_08
TS23: telencephalon meninges Moderate Regionally restricted euxassay_008346_08
TS23: femur Strong Regionally restricted euxassay_008346_08

Specimen euxassay_008346_09: embryonic day 14.5 (more )
Structure Level Pattern Image Note
TS23: rib Strong Regionally restricted euxassay_008346_09
TS23: orbito-sphenoid Strong Regionally restricted euxassay_008346_09
TS23: turbinate bone primordium Strong Regionally restricted euxassay_008346_09
TS23: exoccipital bone Strong Regionally restricted euxassay_008346_09
TS23: telencephalon meninges Moderate Regionally restricted euxassay_008346_09
TS23: femur Strong Regionally restricted euxassay_008346_09
TS23: axial skeleton thoracic region Strong Regionally restricted euxassay_008346_09
TS23: axial skeleton cervical region Strong Regionally restricted euxassay_008346_09

Specimen euxassay_008346_10: embryonic day 14.5 (more )
Structure Level Pattern Image Note
TS23: rib Strong Regionally restricted euxassay_008346_10
TS23: turbinate bone primordium Strong Regionally restricted euxassay_008346_10
TS23: exoccipital bone Strong Regionally restricted euxassay_008346_10
TS23: femur Strong Regionally restricted euxassay_008346_10
TS23: axial skeleton cervical region Strong Regionally restricted euxassay_008346_10
TS23: axial skeleton thoracic region Strong Regionally restricted euxassay_008346_10

Specimen euxassay_008346_11: embryonic day 14.5 (more )
Structure Level Pattern Image Note
TS23: rib Strong Regionally restricted euxassay_008346_11
TS23: turbinate bone primordium Strong Regionally restricted euxassay_008346_11
TS23: axial skeleton cervical region Strong Regionally restricted euxassay_008346_11
TS23: axial skeleton lumbar region Strong Regionally restricted euxassay_008346_11
TS23: axial skeleton thoracic region Strong Regionally restricted euxassay_008346_11

Specimen euxassay_008346_12: embryonic day 14.5 (more )
Structure Level Pattern Image Note
TS23: rib Strong Regionally restricted euxassay_008346_12
TS23: nasal septum Strong Regionally restricted euxassay_008346_12
TS23: axial skeleton cervical region Strong Regionally restricted euxassay_008346_12
TS23: axial skeleton thoracic region Strong Regionally restricted euxassay_008346_12
TS23: axial skeleton lumbar region Strong Regionally restricted euxassay_008346_12

Specimen euxassay_008346_13: embryonic day 14.5 (more )
Structure Level Pattern Image Note
TS23: rib Strong Regionally restricted euxassay_008346_13
TS23: nasal septum Strong Regionally restricted euxassay_008346_13
TS23: axial skeleton tail region Strong Regionally restricted euxassay_008346_13
TS23: axial skeleton cervical region Strong Regionally restricted euxassay_008346_13
TS23: axial skeleton lumbar region Strong Regionally restricted euxassay_008346_13
TS23: axial skeleton thoracic region Strong Regionally restricted euxassay_008346_13

Specimen euxassay_008346_14: embryonic day 14.5 (more )
Structure Level Pattern Image Note
TS23: rib Strong Regionally restricted euxassay_008346_14

Specimen euxassay_008346_15: embryonic day 14.5 (more )
Structure Level Pattern Image Note
TS23: rib Strong Regionally restricted euxassay_008346_15
TS23: nasal septum Weak Regionally restricted euxassay_008346_15
TS23: axial skeleton tail region Strong Regionally restricted euxassay_008346_15
TS23: axial skeleton sacral region Strong Regionally restricted euxassay_008346_15
TS23: axial skeleton lumbar region Strong Regionally restricted euxassay_008346_15
TS23: axial skeleton cervical region Strong Regionally restricted euxassay_008346_15
TS23: axial skeleton thoracic region Strong Regionally restricted euxassay_008346_15

Specimen euxassay_008346_16: embryonic day 14.5 (more )
Structure Level Pattern Image Note
TS23: rib Strong Regionally restricted euxassay_008346_16
TS23: exoccipital bone Strong Regionally restricted euxassay_008346_16
TS23: otic capsule Strong Regionally restricted euxassay_008346_16
TS23: nasal septum Strong Regionally restricted euxassay_008346_16
TS23: axial skeleton tail region Strong Regionally restricted euxassay_008346_16
TS23: axial skeleton cervical region Strong Regionally restricted euxassay_008346_16
TS23: axial skeleton thoracic region Strong Regionally restricted euxassay_008346_16

Specimen euxassay_008346_17: embryonic day 14.5 (more )
Structure Level Pattern Image Note
TS23: rib Strong Regionally restricted euxassay_008346_17
TS23: exoccipital bone Strong Regionally restricted euxassay_008346_17
TS23: otic capsule Strong Regionally restricted euxassay_008346_17
TS23: nasal septum Strong Regionally restricted euxassay_008346_17
TS23: axial skeleton lumbar region Strong Regionally restricted euxassay_008346_17

Specimen euxassay_008346_18: embryonic day 14.5 (more )
Structure Level Pattern Image Note
TS23: rib Strong Regionally restricted euxassay_008346_18
TS23: exoccipital bone Strong Regionally restricted euxassay_008346_18
TS23: pelvic girdle skeleton Strong Regionally restricted euxassay_008346_18
TS23: otic capsule Strong Regionally restricted euxassay_008346_18
TS23: nasal septum Strong Regionally restricted euxassay_008346_18
TS23: axial skeleton lumbar region Strong Regionally restricted euxassay_008346_18

Specimen euxassay_008346_19: embryonic day 14.5 (more )
Structure Level Pattern Image Note
TS23: rib Strong Regionally restricted euxassay_008346_19
TS23: turbinate bone primordium Strong Regionally restricted euxassay_008346_19
TS23: temporal bone petrous part Strong Regionally restricted euxassay_008346_19
TS23: exoccipital bone Strong Regionally restricted euxassay_008346_19
TS23: basioccipital bone Strong Regionally restricted euxassay_008346_19
TS23: pelvic girdle skeleton Strong Regionally restricted euxassay_008346_19
TS23: otic capsule Strong Regionally restricted euxassay_008346_19

Specimen euxassay_008346_20: embryonic day 14.5 (more )
Structure Level Pattern Image Note
TS23: rib Strong Regionally restricted euxassay_008346_20
TS23: exoccipital bone Strong Regionally restricted euxassay_008346_20
TS23: temporal bone petrous part Strong Regionally restricted euxassay_008346_20
TS23: orbito-sphenoid Strong Regionally restricted euxassay_008346_20
TS23: turbinate bone primordium Strong Regionally restricted euxassay_008346_20
TS23: femur Strong Regionally restricted euxassay_008346_20

Specimen euxassay_008346_21: embryonic day 14.5 (more )
Structure Level Pattern Image Note
TS23: rib Strong Regionally restricted euxassay_008346_21
TS23: orbito-sphenoid Strong Regionally restricted euxassay_008346_21
TS23: temporal bone petrous part Strong Regionally restricted euxassay_008346_21
TS23: exoccipital bone Strong Regionally restricted euxassay_008346_21
TS23: turbinate bone primordium Strong Regionally restricted euxassay_008346_21
TS23: femur Strong Regionally restricted euxassay_008346_21
TS23: humerus Strong Regionally restricted euxassay_008346_21
TS23: scapula Strong Regionally restricted euxassay_008346_21
TS23: perioptic mesenchyme Strong Regionally restricted euxassay_008346_21

Specimen euxassay_008346_22: embryonic day 14.5 (more )
Structure Level Pattern Image Note
TS23: rib Strong Regionally restricted euxassay_008346_22
TS23: temporal bone petrous part Strong Regionally restricted euxassay_008346_22
TS23: exoccipital bone Strong Regionally restricted euxassay_008346_22
TS23: telencephalon meninges Moderate Regionally restricted euxassay_008346_22
TS23: femur Strong Regionally restricted euxassay_008346_22
TS23: humerus Strong Regionally restricted euxassay_008346_22
TS23: scapula Strong Regionally restricted euxassay_008346_22
TS23: perioptic mesenchyme Strong Regionally restricted euxassay_008346_22

Specimen euxassay_008346_23: embryonic day 14.5 (more )
Structure Level Pattern Image Note
TS23: rib Strong Regionally restricted euxassay_008346_23
TS23: temporal bone petrous part Strong Regionally restricted euxassay_008346_23
TS23: exoccipital bone Strong Regionally restricted euxassay_008346_23
TS23: telencephalon meninges Moderate Regionally restricted euxassay_008346_23
TS23: femur Strong Regionally restricted euxassay_008346_23
TS23: humerus Strong Regionally restricted euxassay_008346_23
TS23: scapula Strong Regionally restricted euxassay_008346_23
TS23: eye Strong Regionally restricted euxassay_008346_23
TS23: perioptic mesenchyme Strong Regionally restricted euxassay_008346_23


Contributing Projects:
Mouse Genome Database (MGD), Gene Expression Database (GXD), Mouse Models of Human Cancer database (MMHCdb) (formerly Mouse Tumor Biology (MTB)), Gene Ontology (GO)
Citing These Resources
Funding Information
Warranty Disclaimer, Privacy Notice, Licensing, & Copyright
Send questions and comments to User Support.
last database update
12/30/2025
MGI 6.24
The Jackson Laboratory