About   Help   FAQ
Gene Expression Data
Assay Details
Assay
Reference: J:153498 Diez-Roux G, et al., A high-resolution anatomical atlas of the transcriptome in the mouse embryo. PLoS Biol. 2011;9(1):e1000582
Assay type: RNA in situ
MGI Accession ID: MGI:4824598
Gene symbol: Epor
Gene name: erythropoietin receptor
Probe: IMAGE clone 3026171
Probe preparation: Antisense labelled with digoxigenin RNA
Visualized with: Alkaline phosphatase
Assay notes: Cryosections of fresh frozen material were fixed in 4% paraformaldehyde for 20 min. before further processing. A tyramide-biotin/streptavidin amplification step was included in the in situ hybridization procedure.
Results
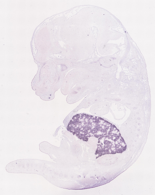
Specimen euxassay_003299_01: embryonic day 14.5 (more )
Structure Level Pattern Image Note
TS23: liver and biliary system Strong Regionally restricted euxassay_003299_01
TS23: liver Strong Regionally restricted euxassay_003299_01

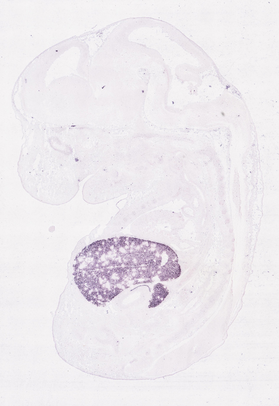
Specimen euxassay_003299_02: embryonic day 14.5 (more )
Structure Level Pattern Image Note
TS23: liver Strong Regionally restricted euxassay_003299_02

Specimen euxassay_003299_03: embryonic day 14.5 (more )
Structure Level Pattern Image Note
TS23: liver Strong Regionally restricted euxassay_003299_03

Specimen euxassay_003299_04: embryonic day 14.5 (more )
Structure Level Pattern Image Note
TS23: liver Strong Regionally restricted euxassay_003299_04

Specimen euxassay_003299_05: embryonic day 14.5 (more )
Structure Level Pattern Image Note
TS23: liver Strong Regionally restricted euxassay_003299_05

Specimen euxassay_003299_06: embryonic day 14.5 (more )
Structure Level Pattern Image Note
TS23: liver Strong Regionally restricted euxassay_003299_06

Specimen euxassay_003299_07: embryonic day 14.5 (more )
Structure Level Pattern Image Note
TS23: liver Strong Regionally restricted euxassay_003299_07

Specimen euxassay_003299_08: embryonic day 14.5 (more )
Structure Level Pattern Image Note
TS23: liver Strong Regionally restricted euxassay_003299_08

Specimen euxassay_003299_09: embryonic day 14.5 (more )
Structure Level Pattern Image Note
TS23: liver Strong Regionally restricted euxassay_003299_09

Specimen euxassay_003299_10: embryonic day 14.5 (more )
Structure Level Pattern Image Note
TS23: liver Strong Regionally restricted euxassay_003299_10

Specimen euxassay_003299_11: embryonic day 14.5 (more )
Structure Level Pattern Image Note
TS23: liver Strong Regionally restricted euxassay_003299_11

Specimen euxassay_003299_12: embryonic day 14.5 (more )
Structure Level Pattern Image Note
TS23: liver Strong Regionally restricted euxassay_003299_12

Specimen euxassay_003299_13: embryonic day 14.5 (more )
Structure Level Pattern Image Note
TS23: liver Strong Regionally restricted euxassay_003299_13

Specimen euxassay_003299_14: embryonic day 14.5 (more )
Structure Level Pattern Image Note
TS23: liver Strong Regionally restricted euxassay_003299_14

Specimen euxassay_003299_15: embryonic day 14.5 (more )
Structure Level Pattern Image Note
TS23: liver Strong Regionally restricted euxassay_003299_15

Specimen euxassay_003299_16: embryonic day 14.5 (more )
Structure Level Pattern Image Note
TS23: liver Strong Regionally restricted euxassay_003299_16

Specimen euxassay_003299_17: embryonic day 14.5 (more )
Structure Level Pattern Image Note
TS23: liver Strong Regionally restricted euxassay_003299_17

Specimen euxassay_003299_18: embryonic day 14.5 (more )
Structure Level Pattern Image Note
TS23: liver Strong Regionally restricted euxassay_003299_18

Specimen euxassay_003299_19: embryonic day 14.5 (more )
Structure Level Pattern Image Note
TS23: liver Strong Regionally restricted euxassay_003299_19


Contributing Projects:
Mouse Genome Database (MGD), Gene Expression Database (GXD), Mouse Models of Human Cancer database (MMHCdb) (formerly Mouse Tumor Biology (MTB)), Gene Ontology (GO)
Citing These Resources
Funding Information
Warranty Disclaimer, Privacy Notice, Licensing, & Copyright
Send questions and comments to User Support.
last database update
01/06/2026
MGI 6.24
The Jackson Laboratory