About   Help   FAQ
Gene Expression Data
Assay Details
Assay
Reference: J:153498 Diez-Roux G, et al., A high-resolution anatomical atlas of the transcriptome in the mouse embryo. PLoS Biol. 2011;9(1):e1000582
Assay type: RNA in situ
MGI Accession ID: MGI:4824591
Gene symbol: Ephb3
Gene name: Eph receptor B3
Probe: T50689
Probe preparation: Antisense labelled with digoxigenin RNA
Visualized with: Alkaline phosphatase
Assay notes: Cryosections of fresh frozen material were fixed in 4% paraformaldehyde for 20 min. before further processing. A tyramide-biotin/streptavidin amplification step was included in the in situ hybridization procedure.
Results
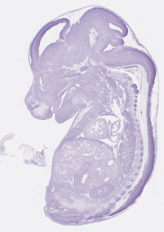
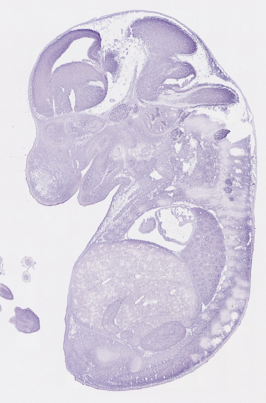
Specimen euxassay_018944_01: embryonic day 14.5 (more )
Structure Level Pattern Image Note
TS23: neural retina Weak Regionally restricted euxassay_018944_01

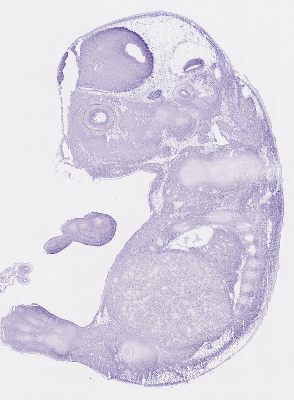
Specimen euxassay_018944_02: embryonic day 14.5 (more )
Structure Level Pattern Image Note
TS23: neural retina Weak Regionally restricted euxassay_018944_02

Specimen euxassay_018944_03: embryonic day 14.5 (more )
Structure Level Pattern Image Note
TS23: neural retina Weak Regionally restricted euxassay_018944_03

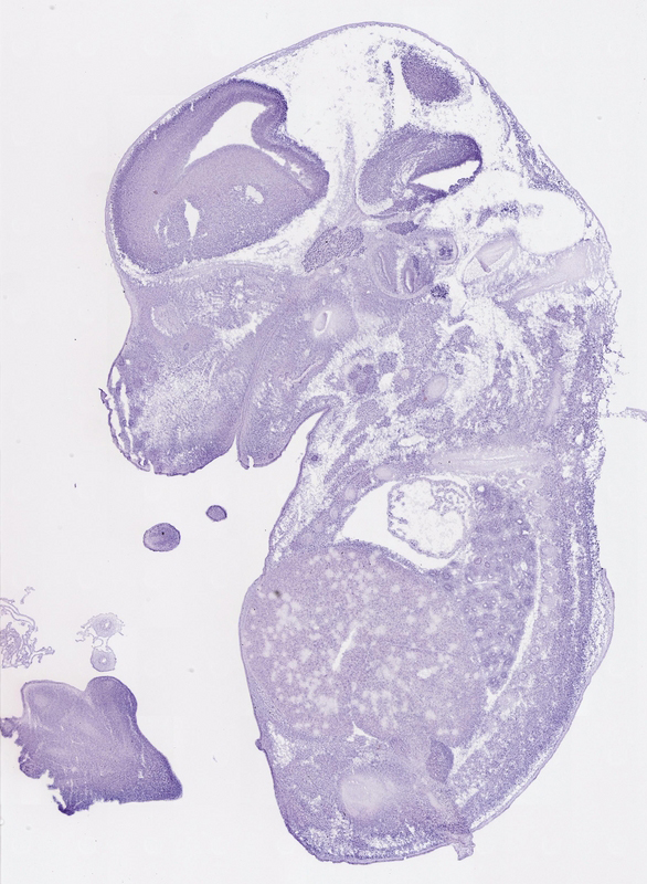
Specimen euxassay_018944_04: embryonic day 14.5 (more )
Structure Level Pattern Image Note
TS23: trigeminal ganglion Moderate Regionally restricted euxassay_018944_04
TS23: neural retina Weak Regionally restricted euxassay_018944_04

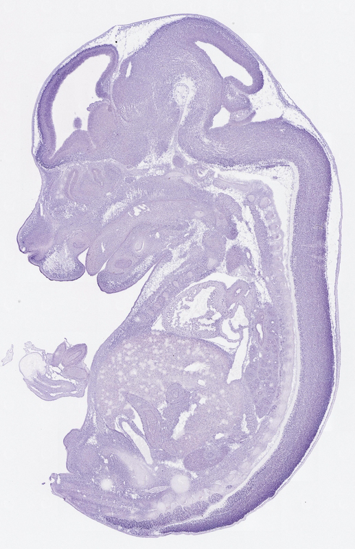
Specimen euxassay_018944_05: embryonic day 14.5 (more )
Structure Level Pattern Image Note
TS23: trigeminal ganglion Moderate Regionally restricted euxassay_018944_05
TS23: facial ganglion Moderate Regionally restricted euxassay_018944_05

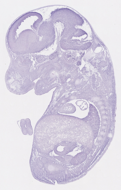
Specimen euxassay_018944_06: embryonic day 14.5 (more )
Structure Level Pattern Image Note
TS23: trigeminal ganglion Moderate Regionally restricted euxassay_018944_06
TS23: facial ganglion Moderate Regionally restricted euxassay_018944_06

Specimen euxassay_018944_07: embryonic day 14.5 (more )
Structure Level Pattern Image Note
TS23: trigeminal ganglion Moderate Regionally restricted euxassay_018944_07
TS23: facial ganglion Moderate Regionally restricted euxassay_018944_07
TS23: vestibulo-cochlear ganglion Moderate Regionally restricted euxassay_018944_07

Specimen euxassay_018944_08: embryonic day 14.5 (more )
Structure Level Pattern Image Note
TS23: trigeminal ganglion Moderate Regionally restricted euxassay_018944_08
TS23: vestibulo-cochlear ganglion Moderate Regionally restricted euxassay_018944_08
TS23: glossopharyngeal ganglion Moderate Regionally restricted euxassay_018944_08

Specimen euxassay_018944_09: embryonic day 14.5 (more )
Structure Level Pattern Image Note
TS23: glossopharyngeal ganglion Moderate Regionally restricted euxassay_018944_09
TS23: trigeminal ganglion Moderate Regionally restricted euxassay_018944_09
TS23: dorsal root ganglion Moderate Regionally restricted euxassay_018944_09

Specimen euxassay_018944_10: embryonic day 14.5 (more )
Structure Level Pattern Image Note
TS23: vagus ganglion Weak Regionally restricted euxassay_018944_10
TS23: trigeminal ganglion Weak Regionally restricted euxassay_018944_10
TS23: dorsal root ganglion Moderate Regionally restricted euxassay_018944_10

Specimen euxassay_018944_11: embryonic day 14.5 (more )
Structure Level Pattern Image Note
TS23: dorsal root ganglion Moderate Regionally restricted euxassay_018944_11

Specimen euxassay_018944_12: embryonic day 14.5 (more )
Structure Level Pattern Image Note
TS23: dorsal root ganglion Moderate Regionally restricted euxassay_018944_12

Specimen euxassay_018944_13: embryonic day 14.5 (more )
Structure Level Pattern Image Note
TS23: dorsal root ganglion Moderate Regionally restricted euxassay_018944_13

Specimen euxassay_018944_16: embryonic day 14.5 (more )
Structure Level Pattern Image Note
TS23: dorsal root ganglion Weak Regionally restricted euxassay_018944_16

Specimen euxassay_018944_17: embryonic day 14.5 (more )
Structure Level Pattern Image Note
TS23: dorsal root ganglion Weak Regionally restricted euxassay_018944_17

Specimen euxassay_018944_18: embryonic day 14.5 (more )
Structure Level Pattern Image Note
TS23: trigeminal ganglion Weak Regionally restricted euxassay_018944_18
TS23: dorsal root ganglion Moderate Regionally restricted euxassay_018944_18

Specimen euxassay_018944_19: embryonic day 14.5 (more )
Structure Level Pattern Image Note
TS23: vagus ganglion Weak Regionally restricted euxassay_018944_19
TS23: trigeminal ganglion Weak Regionally restricted euxassay_018944_19
TS23: dorsal root ganglion Moderate Regionally restricted euxassay_018944_19

Specimen euxassay_018944_20: embryonic day 14.5 (more )
Structure Level Pattern Image Note
TS23: trigeminal ganglion Moderate Regionally restricted euxassay_018944_20
TS23: glossopharyngeal ganglion Moderate Regionally restricted euxassay_018944_20
TS23: vestibulo-cochlear ganglion Weak Regionally restricted euxassay_018944_20
TS23: dorsal root ganglion Moderate Regionally restricted euxassay_018944_20

Specimen euxassay_018944_21: embryonic day 14.5 (more )
Structure Level Pattern Image Note
TS23: trigeminal ganglion Moderate Regionally restricted euxassay_018944_21
TS23: glossopharyngeal ganglion Moderate Regionally restricted euxassay_018944_21
TS23: facial ganglion Moderate Regionally restricted euxassay_018944_21

Specimen euxassay_018944_22: embryonic day 14.5 (more )
Structure Level Pattern Image Note
TS23: trigeminal ganglion Moderate Regionally restricted euxassay_018944_22
TS23: facial ganglion Moderate Regionally restricted euxassay_018944_22

Specimen euxassay_018944_23: embryonic day 14.5 (more )
Structure Level Pattern Image Note
TS23: trigeminal ganglion Moderate Regionally restricted euxassay_018944_23
TS23: facial ganglion Moderate Regionally restricted euxassay_018944_23
TS23: neural retina Weak Regionally restricted euxassay_018944_23

Specimen euxassay_018944_24: embryonic day 14.5 (more )
Structure Level Pattern Image Note
TS23: neural retina Weak Regionally restricted euxassay_018944_24


Contributing Projects:
Mouse Genome Database (MGD), Gene Expression Database (GXD), Mouse Models of Human Cancer database (MMHCdb) (formerly Mouse Tumor Biology (MTB)), Gene Ontology (GO)
Citing These Resources
Funding Information
Warranty Disclaimer, Privacy Notice, Licensing, & Copyright
Send questions and comments to User Support.
last database update
12/30/2025
MGI 6.24
The Jackson Laboratory