About   Help   FAQ
Gene Expression Data
Assay Details
Assay
Reference: J:153498 Diez-Roux G, et al., A high-resolution anatomical atlas of the transcriptome in the mouse embryo. PLoS Biol. 2011;9(1):e1000582
Assay type: RNA in situ
MGI Accession ID: MGI:4824569
Gene symbol: Epas1
Gene name: endothelial PAS domain protein 1
Probe: MGC clone 68181
Probe preparation: Antisense labelled with digoxigenin RNA
Visualized with: Alkaline phosphatase
Assay notes: Cryosections of fresh frozen material were fixed in 4% paraformaldehyde for 20 min. before further processing. A tyramide-biotin/streptavidin amplification step was included in the in situ hybridization procedure.
Results
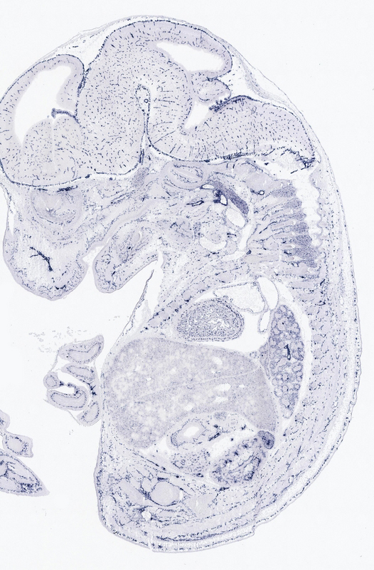
Specimen euxassay_001198_01: embryonic day 14.5 (more )
Note: Additional information for this specimen was included in the Eurexpress data submission file.
Structure Level Pattern Image Note
TS23: vertebral axis musculature Strong Regionally restricted euxassay_001198_01
TS23: limb Moderate Regionally restricted euxassay_001198_01
TS23: limb musculature Present euxassay_001198_01

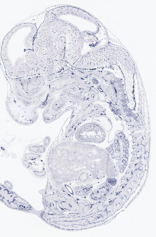
Specimen euxassay_001198_02: embryonic day 14.5 (more )
Note: Additional information for this specimen was included in the Eurexpress data submission file.
Structure Level Pattern Image Note
TS23: vertebral axis musculature Strong Regionally restricted euxassay_001198_02
TS23: limb Moderate Regionally restricted euxassay_001198_02
TS23: limb musculature Present euxassay_001198_02

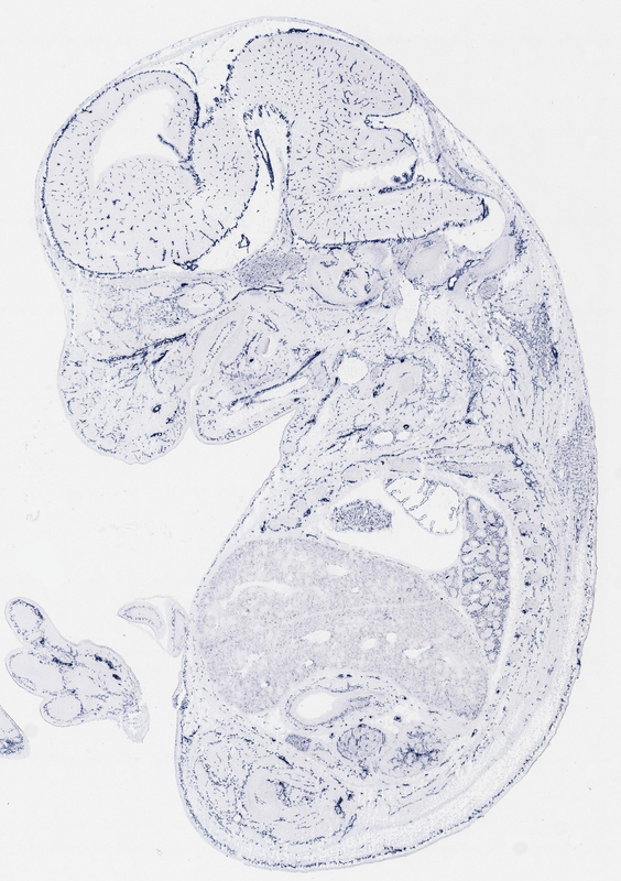
Specimen euxassay_001198_03: embryonic day 14.5 (more )
Note: Additional information for this specimen was included in the Eurexpress data submission file.
Structure Level Pattern Image Note
TS23: vertebral axis musculature Strong Regionally restricted euxassay_001198_03
TS23: limb Moderate Regionally restricted euxassay_001198_03
TS23: limb musculature Present euxassay_001198_03

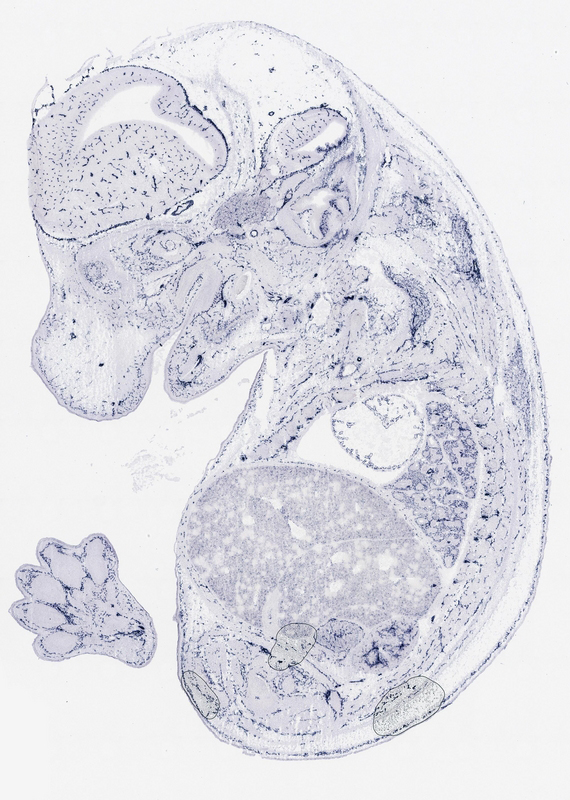
Specimen euxassay_001198_04: embryonic day 14.5 (more )
Note: Additional information for this specimen was included in the Eurexpress data submission file.
Structure Level Pattern Image Note
TS23: vertebral axis musculature Strong Regionally restricted euxassay_001198_04
TS23: limb Moderate Regionally restricted euxassay_001198_04
TS23: limb musculature Present euxassay_001198_04

Specimen euxassay_001198_05: embryonic day 14.5 (more )
Note: Additional information for this specimen was included in the Eurexpress data submission file.
Structure Level Pattern Image Note
TS23: vertebral axis musculature Strong Regionally restricted euxassay_001198_05
TS23: limb Moderate Regionally restricted euxassay_001198_05
TS23: limb musculature Present euxassay_001198_05

Specimen euxassay_001198_06: embryonic day 14.5 (more )
Note: Additional information for this specimen was included in the Eurexpress data submission file.
Structure Level Pattern Image Note
TS23: vertebral axis musculature Strong Regionally restricted euxassay_001198_06
TS23: limb Moderate Regionally restricted euxassay_001198_06
TS23: limb musculature Present euxassay_001198_06

Specimen euxassay_001198_07: embryonic day 14.5 (more )
Note: Additional information for this specimen was included in the Eurexpress data submission file.
Structure Level Pattern Image Note
TS23: vertebral axis musculature Strong Regionally restricted euxassay_001198_07
TS23: limb Moderate Regionally restricted euxassay_001198_07
TS23: limb musculature Present euxassay_001198_07

Specimen euxassay_001198_08: embryonic day 14.5 (more )
Note: Additional information for this specimen was included in the Eurexpress data submission file.
Structure Level Pattern Image Note
TS23: vertebral axis musculature Strong Regionally restricted euxassay_001198_08
TS23: renal calyx Moderate Regionally restricted euxassay_001198_08
TS23: limb Moderate Regionally restricted euxassay_001198_08
TS23: limb musculature Present euxassay_001198_08

Specimen euxassay_001198_09: embryonic day 14.5 (more )
Note: Additional information for this specimen was included in the Eurexpress data submission file.
Structure Level Pattern Image Note
TS23: vertebral axis musculature Strong Regionally restricted euxassay_001198_09
TS23: renal calyx Moderate Regionally restricted euxassay_001198_09
TS23: adrenal gland Moderate Regionally restricted euxassay_001198_09
TS23: limb Moderate Regionally restricted euxassay_001198_09
TS23: limb musculature Present euxassay_001198_09

Specimen euxassay_001198_10: embryonic day 14.5 (more )
Structure Level Pattern Image Note
TS23: vertebral axis musculature Strong Regionally restricted euxassay_001198_10
TS23: renal calyx Moderate Regionally restricted euxassay_001198_10
TS23: adrenal gland Moderate Regionally restricted euxassay_001198_10

Specimen euxassay_001198_11: embryonic day 14.5 (more )
Structure Level Pattern Image Note
TS23: vertebral axis musculature Strong Regionally restricted euxassay_001198_11
TS23: renal calyx Moderate Regionally restricted euxassay_001198_11
TS23: adrenal gland Moderate Regionally restricted euxassay_001198_11

Specimen euxassay_001198_12: embryonic day 14.5 (more )
Structure Level Pattern Image Note
TS23: vertebral axis musculature Strong Regionally restricted euxassay_001198_12
TS23: renal calyx Moderate Regionally restricted euxassay_001198_12
TS23: adrenal gland Moderate Regionally restricted euxassay_001198_12

Specimen euxassay_001198_13: embryonic day 14.5 (more )
Structure Level Pattern Image Note
TS23: vertebral axis musculature Strong Regionally restricted euxassay_001198_13

Specimen euxassay_001198_14: embryonic day 14.5 (more )
Structure Level Pattern Image Note
TS23: vertebral axis musculature Strong Regionally restricted euxassay_001198_14

Specimen euxassay_001198_15: embryonic day 14.5 (more )
Structure Level Pattern Image Note
TS23: vertebral axis musculature Strong Regionally restricted euxassay_001198_15

Specimen euxassay_001198_16: embryonic day 14.5 (more )
Structure Level Pattern Image Note
TS23: vertebral axis musculature Strong Regionally restricted euxassay_001198_16

Specimen euxassay_001198_17: embryonic day 14.5 (more )
Structure Level Pattern Image Note
TS23: vertebral axis musculature Strong Regionally restricted euxassay_001198_17

Specimen euxassay_001198_18: embryonic day 14.5 (more )
Structure Level Pattern Image Note
TS23: vertebral axis musculature Strong Regionally restricted euxassay_001198_18
TS23: renal calyx Moderate Regionally restricted euxassay_001198_18
TS23: adrenal gland Moderate Regionally restricted euxassay_001198_18

Specimen euxassay_001198_19: embryonic day 14.5 (more )
Note: Additional information for this specimen was included in the Eurexpress data submission file.
Structure Level Pattern Image Note
TS23: vertebral axis musculature Strong Regionally restricted euxassay_001198_19
TS23: renal calyx Moderate Regionally restricted euxassay_001198_19
TS23: adrenal gland Moderate Regionally restricted euxassay_001198_19
TS23: limb Moderate Regionally restricted euxassay_001198_19
TS23: limb musculature Present euxassay_001198_19

Specimen euxassay_001198_20: embryonic day 14.5 (more )
Note: Additional information for this specimen was included in the Eurexpress data submission file.
Structure Level Pattern Image Note
TS23: vertebral axis musculature Strong Regionally restricted euxassay_001198_20
TS23: renal calyx Moderate Regionally restricted euxassay_001198_20
TS23: adrenal gland Moderate Regionally restricted euxassay_001198_20
TS23: limb Moderate Regionally restricted euxassay_001198_20
TS23: limb musculature Present euxassay_001198_20

Specimen euxassay_001198_21: embryonic day 14.5 (more )
Note: Additional information for this specimen was included in the Eurexpress data submission file.
Structure Level Pattern Image Note
TS23: vertebral axis musculature Strong Regionally restricted euxassay_001198_21
TS23: renal calyx Moderate Regionally restricted euxassay_001198_21
TS23: adrenal gland Moderate Regionally restricted euxassay_001198_21
TS23: limb Moderate Regionally restricted euxassay_001198_21
TS23: limb musculature Present euxassay_001198_21

Specimen euxassay_001198_22: embryonic day 14.5 (more )
Note: Additional information for this specimen was included in the Eurexpress data submission file.
Structure Level Pattern Image Note
TS23: vertebral axis musculature Strong Regionally restricted euxassay_001198_22
TS23: renal calyx Moderate Regionally restricted euxassay_001198_22
TS23: limb Moderate Regionally restricted euxassay_001198_22
TS23: limb musculature Present euxassay_001198_22

Specimen euxassay_001198_23: embryonic day 14.5 (more )
Note: Additional information for this specimen was included in the Eurexpress data submission file.
Structure Level Pattern Image Note
TS23: vertebral axis musculature Strong Regionally restricted euxassay_001198_23
TS23: renal calyx Weak Regionally restricted euxassay_001198_23
TS23: limb Moderate Regionally restricted euxassay_001198_23
TS23: limb musculature Present euxassay_001198_23

Specimen euxassay_001198_24: embryonic day 14.5 (more )
Note: Additional information for this specimen was included in the Eurexpress data submission file.
Structure Level Pattern Image Note
TS23: vertebral axis musculature Strong Regionally restricted euxassay_001198_24
TS23: limb Moderate Regionally restricted euxassay_001198_24
TS23: limb musculature Present euxassay_001198_24


Contributing Projects:
Mouse Genome Database (MGD), Gene Expression Database (GXD), Mouse Models of Human Cancer database (MMHCdb) (formerly Mouse Tumor Biology (MTB)), Gene Ontology (GO)
Citing These Resources
Funding Information
Warranty Disclaimer, Privacy Notice, Licensing, & Copyright
Send questions and comments to User Support.
last database update
03/24/2026
MGI 6.24
The Jackson Laboratory