About   Help   FAQ
Gene Expression Data
Assay Details
Assay
Reference: J:153498 Diez-Roux G, et al., A high-resolution anatomical atlas of the transcriptome in the mouse embryo. PLoS Biol. 2011;9(1):e1000582
Assay type: RNA in situ
MGI Accession ID: MGI:4824561
Gene symbol: Enpp2
Gene name: ectonucleotide pyrophosphatase/phosphodiesterase 2
Probe: EH1319 probe 1271
Probe preparation: Antisense labelled with digoxigenin RNA
Visualized with: Alkaline phosphatase
Assay notes: Cryosections of fresh frozen material were fixed in 4% paraformaldehyde for 20 min. before further processing. A tyramide-biotin/streptavidin amplification step was included in the in situ hybridization procedure.
Results
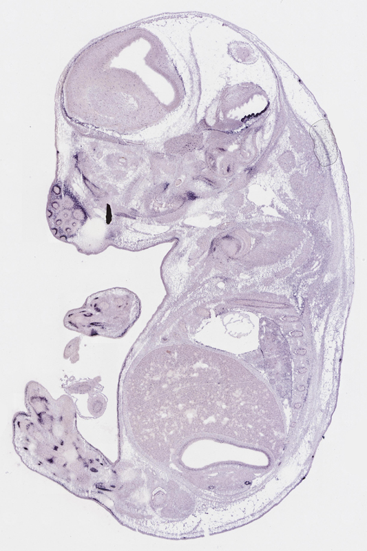
Specimen euxassay_000979_01: embryonic day 14.5 (more )
Structure Level Pattern Image Note
TS23: integumental system muscle Moderate Regionally restricted euxassay_000979_01

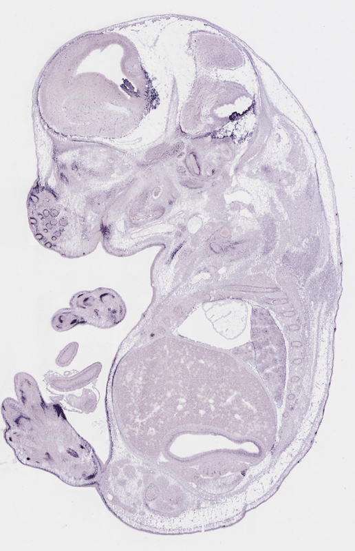
Specimen euxassay_000979_02: embryonic day 14.5 (more )
Structure Level Pattern Image Note
TS23: integumental system muscle Moderate Regionally restricted euxassay_000979_02

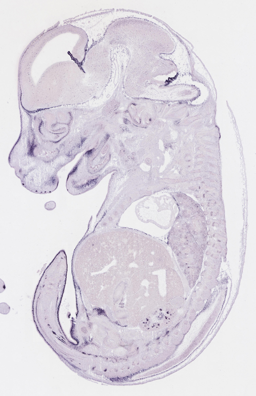
Specimen euxassay_000979_03: embryonic day 14.5 (more )
Structure Level Pattern Image Note
TS23: integumental system muscle Moderate Regionally restricted euxassay_000979_03

Specimen euxassay_000979_04: embryonic day 14.5 (more )
Note: Additional information for this specimen was included in the Eurexpress data submission file.
Structure Level Pattern Image Note
TS23: integumental system muscle Moderate Regionally restricted euxassay_000979_04
TS23: 4th ventricle Moderate Uniform euxassay_000979_04
TS23: choroid plexus Present euxassay_000979_04

Specimen euxassay_000979_05: embryonic day 14.5 (more )
Note: Additional information for this specimen was included in the Eurexpress data submission file.
Structure Level Pattern Image Note
TS23: integumental system muscle Moderate Regionally restricted euxassay_000979_05
TS23: 4th ventricle Moderate Uniform euxassay_000979_05
TS23: choroid plexus Present euxassay_000979_05
TS23: vibrissa Moderate Regionally restricted euxassay_000979_05

Specimen euxassay_000979_06: embryonic day 14.5 (more )
Note: Additional information for this specimen was included in the Eurexpress data submission file.
Structure Level Pattern Image Note
TS23: integumental system muscle Moderate Regionally restricted euxassay_000979_06
TS23: 4th ventricle Moderate Uniform euxassay_000979_06
TS23: choroid plexus Present euxassay_000979_06
TS23: vibrissa Moderate Regionally restricted euxassay_000979_06

Specimen euxassay_000979_07: embryonic day 14.5 (more )
Note: Additional information for this specimen was included in the Eurexpress data submission file.
Structure Level Pattern Image Note
TS23: integumental system muscle Moderate Regionally restricted euxassay_000979_07
TS23: 4th ventricle Moderate Uniform euxassay_000979_07
TS23: choroid plexus Present euxassay_000979_07
TS23: lateral ventricle choroid plexus Moderate Uniform euxassay_000979_07
TS23: vibrissa Moderate Regionally restricted euxassay_000979_07

Specimen euxassay_000979_08: embryonic day 14.5 (more )
Note: Additional information for this specimen was included in the Eurexpress data submission file.
Structure Level Pattern Image Note
TS23: integumental system muscle Moderate Regionally restricted euxassay_000979_08
TS23: 4th ventricle Moderate Uniform euxassay_000979_08
TS23: choroid plexus Present euxassay_000979_08
TS23: lateral ventricle choroid plexus Moderate Uniform euxassay_000979_08
TS23: oral epithelium Moderate Regionally restricted euxassay_000979_08
TS23: vibrissa Moderate Regionally restricted euxassay_000979_08

Specimen euxassay_000979_09: embryonic day 14.5 (more )
Note: Additional information for this specimen was included in the Eurexpress data submission file.
Structure Level Pattern Image Note
TS23: integumental system muscle Moderate Regionally restricted euxassay_000979_09
TS23: 4th ventricle Moderate Uniform euxassay_000979_09
TS23: choroid plexus Present euxassay_000979_09
TS23: lateral ventricle choroid plexus Moderate Uniform euxassay_000979_09
TS23: oral epithelium Moderate Regionally restricted euxassay_000979_09
TS23: pons ventricular layer Weak Regionally restricted euxassay_000979_09
TS23: vibrissa Moderate Regionally restricted euxassay_000979_09

Specimen euxassay_000979_10: embryonic day 14.5 (more )
Note: Additional information for this specimen was included in the Eurexpress data submission file.
Structure Level Pattern Image Note
TS23: integumental system muscle Moderate Regionally restricted euxassay_000979_10
TS23: 4th ventricle Moderate Uniform euxassay_000979_10
TS23: choroid plexus Present euxassay_000979_10
TS23: lateral ventricle choroid plexus Moderate Uniform euxassay_000979_10
TS23: renal calyx Moderate Uniform euxassay_000979_10
TS23: oral epithelium Moderate Regionally restricted euxassay_000979_10
TS23: pons ventricular layer Weak Regionally restricted euxassay_000979_10
TS23: midbrain ventricular layer Weak Regionally restricted euxassay_000979_10
TS23: vibrissa Moderate Regionally restricted euxassay_000979_10

Specimen euxassay_000979_11: embryonic day 14.5 (more )
Note: Additional information for this specimen was included in the Eurexpress data submission file.
Structure Level Pattern Image Note
TS23: integumental system muscle Moderate Regionally restricted euxassay_000979_11
TS23: 4th ventricle Moderate Uniform euxassay_000979_11
TS23: choroid plexus Present euxassay_000979_11
TS23: lateral ventricle choroid plexus Moderate Uniform euxassay_000979_11
TS23: renal calyx Moderate Uniform euxassay_000979_11
TS23: oral epithelium Moderate Regionally restricted euxassay_000979_11
TS23: pons ventricular layer Weak Regionally restricted euxassay_000979_11
TS23: midbrain ventricular layer Weak Regionally restricted euxassay_000979_11

Specimen euxassay_000979_12: embryonic day 14.5 (more )
Note: Additional information for this specimen was included in the Eurexpress data submission file.
Structure Level Pattern Image Note
TS23: integumental system muscle Moderate Regionally restricted euxassay_000979_12
TS23: 4th ventricle Moderate Uniform euxassay_000979_12
TS23: choroid plexus Present euxassay_000979_12
TS23: lateral ventricle choroid plexus Moderate Uniform euxassay_000979_12
TS23: renal calyx Moderate Uniform euxassay_000979_12
TS23: oral epithelium Moderate Regionally restricted euxassay_000979_12
TS23: pons ventricular layer Weak Regionally restricted euxassay_000979_12
TS23: midbrain ventricular layer Weak Regionally restricted euxassay_000979_12

Specimen euxassay_000979_13: embryonic day 14.5 (more )
Note: Additional information for this specimen was included in the Eurexpress data submission file.
Structure Level Pattern Image Note
TS23: integumental system muscle Moderate Regionally restricted euxassay_000979_13
TS23: 4th ventricle Moderate Uniform euxassay_000979_13
TS23: choroid plexus Present euxassay_000979_13
TS23: lateral ventricle choroid plexus Moderate Uniform euxassay_000979_13
TS23: oral epithelium Moderate Regionally restricted euxassay_000979_13
TS23: upper jaw incisor Moderate Regionally restricted euxassay_000979_13
TS23: upper jaw molar Moderate Regionally restricted euxassay_000979_13
TS23: lower jaw molar Moderate Regionally restricted euxassay_000979_13
TS23: lower jaw incisor Moderate Regionally restricted euxassay_000979_13
TS23: laryngeal cartilage Moderate Regionally restricted euxassay_000979_13
TS23: pons ventricular layer Moderate Regionally restricted euxassay_000979_13
TS23: midbrain ventricular layer Moderate Regionally restricted euxassay_000979_13

Specimen euxassay_000979_14: embryonic day 14.5 (more )
Note: Additional information for this specimen was included in the Eurexpress data submission file.
Structure Level Pattern Image Note
TS23: integumental system muscle Moderate Regionally restricted euxassay_000979_14
TS23: 4th ventricle Moderate Uniform euxassay_000979_14
TS23: choroid plexus Present euxassay_000979_14
TS23: lateral ventricle choroid plexus Moderate Uniform euxassay_000979_14
TS23: bladder Moderate Regionally restricted euxassay_000979_14
TS23: oral epithelium Moderate Regionally restricted euxassay_000979_14
TS23: lower jaw incisor Moderate Regionally restricted euxassay_000979_14
TS23: lower jaw molar Moderate Regionally restricted euxassay_000979_14
TS23: upper jaw incisor Moderate Regionally restricted euxassay_000979_14
TS23: upper jaw molar Moderate Regionally restricted euxassay_000979_14
TS23: laryngeal cartilage Moderate Regionally restricted euxassay_000979_14
TS23: trachea cartilaginous ring Moderate Regionally restricted euxassay_000979_14
TS23: pons ventricular layer Moderate Regionally restricted euxassay_000979_14
TS23: midbrain ventricular layer Moderate Regionally restricted euxassay_000979_14
TS23: ventral grey horn Moderate Regionally restricted euxassay_000979_14
TS23: medulla oblongata basal plate ventricular layer Moderate Uniform euxassay_000979_14

Specimen euxassay_000979_15: embryonic day 14.5 (more )
Note: Additional information for this specimen was included in the Eurexpress data submission file.
Structure Level Pattern Image Note
TS23: integumental system muscle Moderate Regionally restricted euxassay_000979_15
TS23: 4th ventricle Moderate Uniform euxassay_000979_15
TS23: choroid plexus Present euxassay_000979_15
TS23: lateral ventricle choroid plexus Moderate Uniform euxassay_000979_15
TS23: bladder Moderate Regionally restricted euxassay_000979_15
TS23: oral epithelium Moderate Regionally restricted euxassay_000979_15
TS23: lower jaw incisor Moderate Regionally restricted euxassay_000979_15
TS23: lower jaw molar Moderate Regionally restricted euxassay_000979_15
TS23: upper jaw incisor Moderate Regionally restricted euxassay_000979_15
TS23: upper jaw molar Moderate Regionally restricted euxassay_000979_15
TS23: trachea cartilaginous ring Moderate Regionally restricted euxassay_000979_15
TS23: pons ventricular layer Weak Regionally restricted euxassay_000979_15
TS23: midbrain ventricular layer Weak Regionally restricted euxassay_000979_15
TS23: ventral grey horn Moderate Regionally restricted euxassay_000979_15

Specimen euxassay_000979_16: embryonic day 14.5 (more )
Note: Additional information for this specimen was included in the Eurexpress data submission file.
Structure Level Pattern Image Note
TS23: integumental system muscle Moderate Regionally restricted euxassay_000979_16
TS23: 4th ventricle Moderate Uniform euxassay_000979_16
TS23: choroid plexus Present euxassay_000979_16
TS23: lateral ventricle choroid plexus Moderate Uniform euxassay_000979_16
TS23: bladder Moderate Regionally restricted euxassay_000979_16
TS23: oral epithelium Moderate Regionally restricted euxassay_000979_16
TS23: trachea cartilaginous ring Moderate Regionally restricted euxassay_000979_16
TS23: midbrain ventricular layer Weak Regionally restricted euxassay_000979_16
TS23: pons ventricular layer Weak Regionally restricted euxassay_000979_16

Specimen euxassay_000979_17: embryonic day 14.5 (more )
Note: Additional information for this specimen was included in the Eurexpress data submission file.
Structure Level Pattern Image Note
TS23: integumental system muscle Moderate Regionally restricted euxassay_000979_17
TS23: 4th ventricle Moderate Uniform euxassay_000979_17
TS23: choroid plexus Present euxassay_000979_17
TS23: lateral ventricle choroid plexus Moderate Uniform euxassay_000979_17
TS23: oral epithelium Moderate Regionally restricted euxassay_000979_17
TS23: lower jaw incisor Moderate Regionally restricted euxassay_000979_17
TS23: lower jaw molar Moderate Regionally restricted euxassay_000979_17
TS23: midbrain ventricular layer Weak Regionally restricted euxassay_000979_17
TS23: pons ventricular layer Weak Regionally restricted euxassay_000979_17

Specimen euxassay_000979_18: embryonic day 14.5 (more )
Note: Additional information for this specimen was included in the Eurexpress data submission file.
Structure Level Pattern Image Note
TS23: integumental system muscle Moderate Regionally restricted euxassay_000979_18
TS23: 4th ventricle Moderate Uniform euxassay_000979_18
TS23: choroid plexus Present euxassay_000979_18
TS23: lateral ventricle choroid plexus Moderate Uniform euxassay_000979_18
TS23: bladder Moderate Regionally restricted euxassay_000979_18
TS23: oral epithelium Moderate Regionally restricted euxassay_000979_18
TS23: upper jaw incisor Moderate Regionally restricted euxassay_000979_18
TS23: upper jaw molar Moderate Regionally restricted euxassay_000979_18
TS23: lower jaw incisor Moderate Regionally restricted euxassay_000979_18
TS23: lower jaw molar Moderate Regionally restricted euxassay_000979_18
TS23: pons ventricular layer Weak Regionally restricted euxassay_000979_18

Specimen euxassay_000979_19: embryonic day 14.5 (more )
Note: Additional information for this specimen was included in the Eurexpress data submission file.
Structure Level Pattern Image Note
TS23: integumental system muscle Moderate Regionally restricted euxassay_000979_19
TS23: 4th ventricle Moderate Uniform euxassay_000979_19
TS23: choroid plexus Present euxassay_000979_19
TS23: lateral ventricle choroid plexus Moderate Uniform euxassay_000979_19
TS23: pons ventricular layer Weak Regionally restricted euxassay_000979_19

Specimen euxassay_000979_20: embryonic day 14.5 (more )
Note: Additional information for this specimen was included in the Eurexpress data submission file.
Structure Level Pattern Image Note
TS23: integumental system muscle Moderate Regionally restricted euxassay_000979_20
TS23: 4th ventricle Moderate Uniform euxassay_000979_20
TS23: choroid plexus Present euxassay_000979_20
TS23: lateral ventricle choroid plexus Moderate Uniform euxassay_000979_20
TS23: renal calyx Moderate Uniform euxassay_000979_20
TS23: oral epithelium Moderate Regionally restricted euxassay_000979_20

Specimen euxassay_000979_21: embryonic day 14.5 (more )
Note: Additional information for this specimen was included in the Eurexpress data submission file.
Structure Level Pattern Image Note
TS23: integumental system muscle Moderate Regionally restricted euxassay_000979_21
TS23: 4th ventricle Moderate Uniform euxassay_000979_21
TS23: choroid plexus Present euxassay_000979_21
TS23: lateral ventricle choroid plexus Moderate Uniform euxassay_000979_21
TS23: oral epithelium Moderate Regionally restricted euxassay_000979_21

Specimen euxassay_000979_22: embryonic day 14.5 (more )
Note: Additional information for this specimen was included in the Eurexpress data submission file.
Structure Level Pattern Image Note
TS23: integumental system muscle Moderate Regionally restricted euxassay_000979_22
TS23: 4th ventricle Moderate Uniform euxassay_000979_22
TS23: choroid plexus Present euxassay_000979_22
TS23: lateral ventricle choroid plexus Moderate Uniform euxassay_000979_22
TS23: renal calyx Moderate Uniform euxassay_000979_22
TS23: oral epithelium Moderate Regionally restricted euxassay_000979_22

Specimen euxassay_000979_23: embryonic day 14.5 (more )
Note: Additional information for this specimen was included in the Eurexpress data submission file.
Structure Level Pattern Image Note
TS23: integumental system muscle Moderate Regionally restricted euxassay_000979_23
TS23: 4th ventricle Moderate Uniform euxassay_000979_23
TS23: choroid plexus Present euxassay_000979_23
TS23: renal calyx Moderate Uniform euxassay_000979_23
TS23: vibrissa Moderate Regionally restricted euxassay_000979_23

Specimen euxassay_000979_24: embryonic day 14.5 (more )
Note: Additional information for this specimen was included in the Eurexpress data submission file.
Structure Level Pattern Image Note
TS23: integumental system muscle Moderate Regionally restricted euxassay_000979_24
TS23: 4th ventricle Moderate Uniform euxassay_000979_24
TS23: choroid plexus Present euxassay_000979_24
TS23: vibrissa Moderate Regionally restricted euxassay_000979_24


Contributing Projects:
Mouse Genome Database (MGD), Gene Expression Database (GXD), Mouse Models of Human Cancer database (MMHCdb) (formerly Mouse Tumor Biology (MTB)), Gene Ontology (GO)
Citing These Resources
Funding Information
Warranty Disclaimer, Privacy Notice, Licensing, & Copyright
Send questions and comments to User Support.
last database update
01/28/2026
MGI 6.24
The Jackson Laboratory