About   Help   FAQ
Gene Expression Data
Assay Details
Assay
Reference: J:153498 Diez-Roux G, et al., A high-resolution anatomical atlas of the transcriptome in the mouse embryo. PLoS Biol. 2011;9(1):e1000582
Assay type: RNA in situ
MGI Accession ID: MGI:4824551
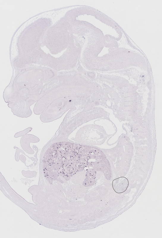
Gene symbol: Endog
Gene name: endonuclease G
Probe: MGC clone 29098
Probe preparation: Antisense labelled with digoxigenin RNA
Visualized with: Alkaline phosphatase
Assay notes: Cryosections of fresh frozen material were fixed in 4% paraformaldehyde for 20 min. before further processing. A tyramide-biotin/streptavidin amplification step was included in the in situ hybridization procedure.
Results
Specimen euxassay_001213_01: embryonic day 14.5 (more )
Structure Level Pattern Image Note
TS23: liver lobe Moderate Spotted euxassay_001213_01

Specimen euxassay_001213_02: embryonic day 14.5 (more )
Structure Level Pattern Image Note
TS23: liver lobe Moderate Spotted euxassay_001213_02

Specimen euxassay_001213_03: embryonic day 14.5 (more )
Structure Level Pattern Image Note
TS23: liver lobe Moderate Spotted euxassay_001213_03

Specimen euxassay_001213_04: embryonic day 14.5 (more )
Structure Level Pattern Image Note
TS23: liver lobe Moderate Spotted euxassay_001213_04

Specimen euxassay_001213_05: embryonic day 14.5 (more )
Structure Level Pattern Image Note
TS23: liver lobe Weak Regionally restricted euxassay_001213_05

Specimen euxassay_001213_06: embryonic day 14.5 (more )
Structure Level Pattern Image Note
TS23: liver lobe Moderate Spotted euxassay_001213_06

Specimen euxassay_001213_07: embryonic day 14.5 (more )
Structure Level Pattern Image Note
TS23: liver lobe Moderate Spotted euxassay_001213_07

Specimen euxassay_001213_08: embryonic day 14.5 (more )
Structure Level Pattern Image Note
TS23: liver lobe Moderate Spotted euxassay_001213_08

Specimen euxassay_001213_09: embryonic day 14.5 (more )
Structure Level Pattern Image Note
TS23: liver lobe Moderate Spotted euxassay_001213_09

Specimen euxassay_001213_10: embryonic day 14.5 (more )
Structure Level Pattern Image Note
TS23: liver lobe Moderate Spotted euxassay_001213_10

Specimen euxassay_001213_11: embryonic day 14.5 (more )
Structure Level Pattern Image Note
TS23: liver lobe Moderate Spotted euxassay_001213_11

Specimen euxassay_001213_12: embryonic day 14.5 (more )
Structure Level Pattern Image Note
TS23: liver lobe Moderate Spotted euxassay_001213_12

Specimen euxassay_001213_13: embryonic day 14.5 (more )
Structure Level Pattern Image Note
TS23: liver lobe Weak Spotted euxassay_001213_13

Specimen euxassay_001213_14: embryonic day 14.5 (more )
Structure Level Pattern Image Note
TS23: liver lobe Moderate Spotted euxassay_001213_14

Specimen euxassay_001213_15: embryonic day 14.5 (more )
Structure Level Pattern Image Note
TS23: liver lobe Moderate Spotted euxassay_001213_15

Specimen euxassay_001213_16: embryonic day 14.5 (more )
Structure Level Pattern Image Note
TS23: liver lobe Moderate Spotted euxassay_001213_16

Specimen euxassay_001213_17: embryonic day 14.5 (more )
Structure Level Pattern Image Note
TS23: liver lobe Moderate Spotted euxassay_001213_17

Specimen euxassay_001213_18: embryonic day 14.5 (more )
Structure Level Pattern Image Note
TS23: liver lobe Moderate Spotted euxassay_001213_18

Specimen euxassay_001213_19: embryonic day 14.5 (more )
Structure Level Pattern Image Note
TS23: liver lobe Moderate Spotted euxassay_001213_19

Specimen euxassay_001213_20: embryonic day 14.5 (more )
Structure Level Pattern Image Note
TS23: liver lobe Moderate Spotted euxassay_001213_20

Specimen euxassay_001213_21: embryonic day 14.5 (more )
Structure Level Pattern Image Note
TS23: liver lobe Moderate Spotted euxassay_001213_21

Specimen euxassay_001213_22: embryonic day 14.5 (more )
Structure Level Pattern Image Note
TS23: liver lobe Moderate Spotted euxassay_001213_22

Specimen euxassay_001213_23: embryonic day 14.5 (more )
Structure Level Pattern Image Note
TS23: liver lobe Moderate Spotted euxassay_001213_23

Specimen euxassay_001213_24: embryonic day 14.5 (more )
Structure Level Pattern Image Note
TS23: liver lobe Moderate Spotted euxassay_001213_24


Contributing Projects:
Mouse Genome Database (MGD), Gene Expression Database (GXD), Mouse Models of Human Cancer database (MMHCdb) (formerly Mouse Tumor Biology (MTB)), Gene Ontology (GO)
Citing These Resources
Funding Information
Warranty Disclaimer, Privacy Notice, Licensing, & Copyright
Send questions and comments to User Support.
last database update
01/06/2026
MGI 6.24
The Jackson Laboratory