About   Help   FAQ
Gene Expression Data
Assay Details
Assay
Reference: J:153498 Diez-Roux G, et al., A high-resolution anatomical atlas of the transcriptome in the mouse embryo. PLoS Biol. 2011;9(1):e1000582
Assay type: RNA in situ
MGI Accession ID: MGI:4824535
Gene symbol: Emb
Gene name: embigin
Probe: MGC clone 21425
Probe preparation: Antisense labelled with digoxigenin RNA
Visualized with: Alkaline phosphatase
Assay notes: Cryosections of fresh frozen material were fixed in 4% paraformaldehyde for 20 min. before further processing. A tyramide-biotin/streptavidin amplification step was included in the in situ hybridization procedure.
Results
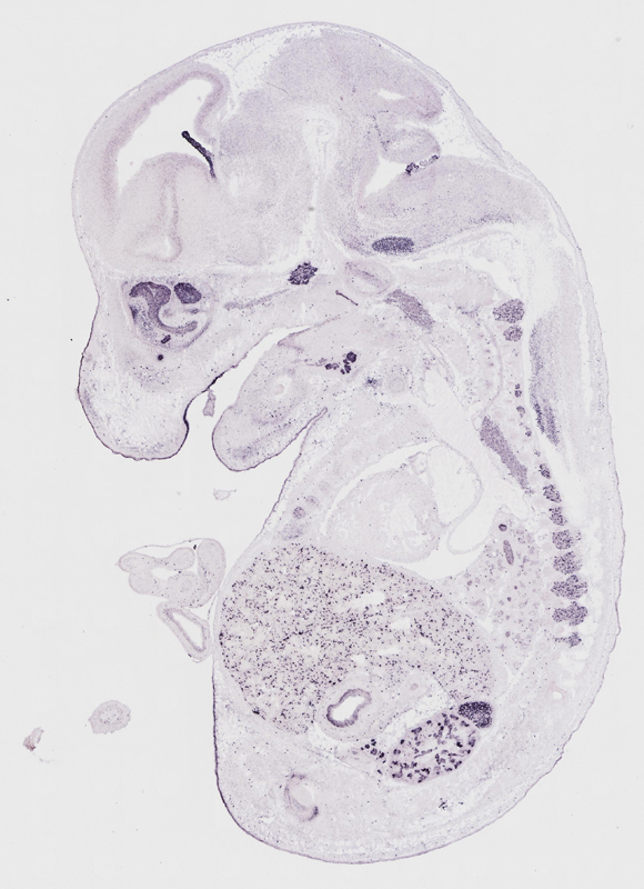
Specimen euxassay_003052_01: embryonic day 14.5 (more )
Structure Level Pattern Image Note
TS23: pharyngo-tympanic tube Strong Regionally restricted euxassay_003052_01
TS23: liver lobe Strong Single cells euxassay_003052_01

Specimen euxassay_003052_02: embryonic day 14.5 (more )
Structure Level Pattern Image Note
TS23: pharyngo-tympanic tube Strong Regionally restricted euxassay_003052_02
TS23: liver lobe Strong Single cells euxassay_003052_02

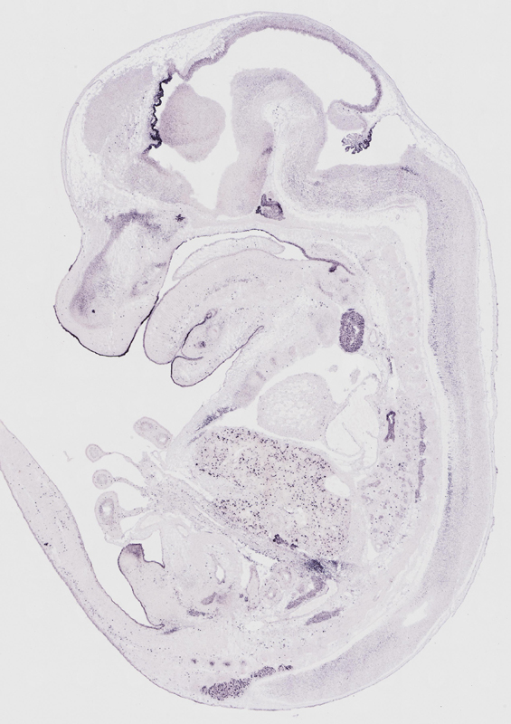
Specimen euxassay_003052_03: embryonic day 14.5 (more )
Structure Level Pattern Image Note
TS23: pharyngo-tympanic tube Strong Regionally restricted euxassay_003052_03
TS23: liver lobe Strong Single cells euxassay_003052_03
TS23: neural retina Moderate Uniform euxassay_003052_03

Specimen euxassay_003052_04: embryonic day 14.5 (more )
Structure Level Pattern Image Note
TS23: pharyngo-tympanic tube Strong Regionally restricted euxassay_003052_04
TS23: liver lobe Strong Single cells euxassay_003052_04
TS23: trigeminal ganglion Moderate Regionally restricted euxassay_003052_04
TS23: neural retina Moderate Uniform euxassay_003052_04
TS23: 4th ventricle lateral recess Moderate Regionally restricted euxassay_003052_04

Specimen euxassay_003052_05: embryonic day 14.5 (more )
Structure Level Pattern Image Note
TS23: liver lobe Strong Single cells euxassay_003052_05
TS23: trigeminal ganglion Strong Regionally restricted euxassay_003052_05
TS23: facial ganglion Strong Regionally restricted euxassay_003052_05
TS23: neural retina Moderate Uniform euxassay_003052_05
TS23: stomach Moderate Regionally restricted euxassay_003052_05
TS23: 4th ventricle lateral recess Moderate Regionally restricted euxassay_003052_05

Specimen euxassay_003052_06: embryonic day 14.5 (more )
Structure Level Pattern Image Note
TS23: liver lobe Strong Single cells euxassay_003052_06
TS23: trigeminal ganglion Strong Regionally restricted euxassay_003052_06
TS23: facial ganglion Strong Regionally restricted euxassay_003052_06
TS23: lower jaw molar Strong Regionally restricted euxassay_003052_06
TS23: stomach Moderate Regionally restricted euxassay_003052_06
TS23: 4th ventricle lateral recess Moderate Regionally restricted euxassay_003052_06

Specimen euxassay_003052_07: embryonic day 14.5 (more )
Structure Level Pattern Image Note
TS23: liver lobe Strong Single cells euxassay_003052_07
TS23: trigeminal ganglion Strong Regionally restricted euxassay_003052_07
TS23: facial ganglion Moderate Regionally restricted euxassay_003052_07
TS23: lower jaw molar Moderate Regionally restricted euxassay_003052_07
TS23: upper jaw molar Moderate Regionally restricted euxassay_003052_07
TS23: submandibular gland primordium Strong Regionally restricted euxassay_003052_07
TS23: stomach Moderate Regionally restricted euxassay_003052_07
TS23: 4th ventricle lateral recess Moderate Regionally restricted euxassay_003052_07

Specimen euxassay_003052_08: embryonic day 14.5 (more )
Note: Additional information for this specimen was included in the Eurexpress data submission file.
Structure Level Pattern Image Note
TS23: liver lobe Strong Single cells euxassay_003052_08
TS23: dorsal root ganglion Moderate Regionally restricted euxassay_003052_08
TS23: trigeminal ganglion Strong Regionally restricted euxassay_003052_08
TS23: glossopharyngeal ganglion Moderate Regionally restricted euxassay_003052_08
TS23: upper jaw molar Moderate Regionally restricted euxassay_003052_08
TS23: lower jaw molar Moderate Regionally restricted euxassay_003052_08
TS23: submandibular gland primordium Strong Regionally restricted euxassay_003052_08
TS23: renal calyx Strong Regionally restricted euxassay_003052_08
TS23: stomach Moderate Regionally restricted euxassay_003052_08
TS23: 4th ventricle lateral recess Strong Regionally restricted euxassay_003052_08
TS23: lateral ventricle choroid plexus Strong Regionally restricted euxassay_003052_08
TS23: metencephalon basal plate Moderate Regionally restricted euxassay_003052_08 trigeminal motor nucleus

Specimen euxassay_003052_09: embryonic day 14.5 (more )
Note: Additional information for this specimen was included in the Eurexpress data submission file.
Structure Level Pattern Image Note
TS23: liver lobe Strong Single cells euxassay_003052_09
TS23: dorsal root ganglion Moderate Regionally restricted euxassay_003052_09
TS23: trigeminal ganglion Strong Regionally restricted euxassay_003052_09
TS23: vagus ganglion Strong Regionally restricted euxassay_003052_09
TS23: olfactory epithelium Strong Regionally restricted euxassay_003052_09
TS23: submandibular gland primordium Strong Regionally restricted euxassay_003052_09
TS23: renal calyx Strong Regionally restricted euxassay_003052_09
TS23: adrenal gland Strong Uniform euxassay_003052_09
TS23: stomach Strong Regionally restricted euxassay_003052_09
TS23: 4th ventricle lateral recess Strong Regionally restricted euxassay_003052_09
TS23: lateral ventricle choroid plexus Strong Regionally restricted euxassay_003052_09
TS23: medulla oblongata basal plate Moderate Regionally restricted euxassay_003052_09 facial motor nucleus

Specimen euxassay_003052_10: embryonic day 14.5 (more )
Note: Additional information for this specimen was included in the Eurexpress data submission file.
Structure Level Pattern Image Note
TS23: liver lobe Strong Single cells euxassay_003052_10
TS23: dorsal root ganglion Moderate Regionally restricted euxassay_003052_10
TS23: trigeminal ganglion Strong Regionally restricted euxassay_003052_10
TS23: pancreas Strong Regionally restricted euxassay_003052_10
TS23: ventral grey horn Moderate Regionally restricted euxassay_003052_10
TS23: olfactory epithelium Strong Regionally restricted euxassay_003052_10
TS23: submandibular gland primordium Strong Regionally restricted euxassay_003052_10
TS23: renal calyx Strong Regionally restricted euxassay_003052_10
TS23: adrenal gland Strong Uniform euxassay_003052_10
TS23: stomach Strong Regionally restricted euxassay_003052_10
TS23: 4th ventricle lateral recess Strong Regionally restricted euxassay_003052_10
TS23: lateral ventricle choroid plexus Strong Regionally restricted euxassay_003052_10
TS23: medulla oblongata basal plate Moderate Regionally restricted euxassay_003052_10 facial motor nucleus
TS23: cervical ganglion Moderate Regionally restricted euxassay_003052_10
TS23: cervico-thoracic ganglion Moderate Regionally restricted euxassay_003052_10

Specimen euxassay_003052_11: embryonic day 14.5 (more )
Note: Additional information for this specimen was included in the Eurexpress data submission file.
Structure Level Pattern Image Note
TS23: liver lobe Strong Single cells euxassay_003052_11
TS23: dorsal root ganglion Moderate Regionally restricted euxassay_003052_11
TS23: pituitary gland Strong Regionally restricted euxassay_003052_11
TS23: thymus primordium Moderate Uniform euxassay_003052_11
TS23: lower jaw incisor Strong Regionally restricted euxassay_003052_11
TS23: pancreas Strong Regionally restricted euxassay_003052_11
TS23: ventral grey horn Weak Regionally restricted euxassay_003052_11
TS23: olfactory epithelium Strong Regionally restricted euxassay_003052_11
TS23: naris Strong Regionally restricted euxassay_003052_11
TS23: renal calyx Strong Regionally restricted euxassay_003052_11
TS23: adrenal gland Strong Uniform euxassay_003052_11
TS23: stomach Strong Regionally restricted euxassay_003052_11
TS23: 4th ventricle lateral recess Strong Regionally restricted euxassay_003052_11
TS23: lateral ventricle choroid plexus Strong Regionally restricted euxassay_003052_11
TS23: medulla oblongata basal plate Moderate Regionally restricted euxassay_003052_11 facial motor nucleus

Specimen euxassay_003052_12: embryonic day 14.5 (more )
Structure Level Pattern Image Note
TS23: liver lobe Strong Single cells euxassay_003052_12
TS23: dorsal root ganglion Moderate Regionally restricted euxassay_003052_12
TS23: pituitary gland Strong Regionally restricted euxassay_003052_12
TS23: thymus primordium Moderate Uniform euxassay_003052_12
TS23: upper jaw incisor Strong Regionally restricted euxassay_003052_12
TS23: lower jaw incisor Strong Regionally restricted euxassay_003052_12
TS23: pancreas Strong Regionally restricted euxassay_003052_12
TS23: ventral grey horn Weak Regionally restricted euxassay_003052_12
TS23: olfactory epithelium Strong Regionally restricted euxassay_003052_12
TS23: naris Strong Regionally restricted euxassay_003052_12
TS23: renal calyx Strong Regionally restricted euxassay_003052_12
TS23: stomach Strong Regionally restricted euxassay_003052_12
TS23: 4th ventricle lateral recess Strong Regionally restricted euxassay_003052_12
TS23: lateral ventricle choroid plexus Strong Regionally restricted euxassay_003052_12

Specimen euxassay_003052_13: embryonic day 14.5 (more )
Structure Level Pattern Image Note
TS23: liver lobe Strong Single cells euxassay_003052_13
TS23: dorsal root ganglion Moderate Regionally restricted euxassay_003052_13
TS23: pituitary gland Strong Regionally restricted euxassay_003052_13
TS23: thymus primordium Moderate Uniform euxassay_003052_13
TS23: upper jaw incisor Strong Regionally restricted euxassay_003052_13
TS23: lower jaw incisor Strong Regionally restricted euxassay_003052_13
TS23: glans of male genital tubercle Moderate Regionally restricted euxassay_003052_13
TS23: pancreas Strong Regionally restricted euxassay_003052_13
TS23: ventral grey horn Weak Regionally restricted euxassay_003052_13
TS23: olfactory epithelium Strong Regionally restricted euxassay_003052_13
TS23: naris Strong Regionally restricted euxassay_003052_13
TS23: lateral ventricle choroid plexus Strong Regionally restricted euxassay_003052_13
TS23: 4th ventricle lateral recess Strong Regionally restricted euxassay_003052_13
TS23: trachea Strong Regionally restricted euxassay_003052_13
TS23: thoracic ganglion Moderate Regionally restricted euxassay_003052_13

Specimen euxassay_003052_14: embryonic day 14.5 (more )
Structure Level Pattern Image Note
TS23: liver lobe Strong Single cells euxassay_003052_14
TS23: dorsal root ganglion Moderate Regionally restricted euxassay_003052_14
TS23: pituitary gland Strong Regionally restricted euxassay_003052_14
TS23: thymus primordium Moderate Uniform euxassay_003052_14
TS23: glans of male genital tubercle Moderate Regionally restricted euxassay_003052_14
TS23: pancreas Strong Regionally restricted euxassay_003052_14
TS23: ventral grey horn Weak Regionally restricted euxassay_003052_14
TS23: naris Strong Regionally restricted euxassay_003052_14
TS23: olfactory epithelium Strong Regionally restricted euxassay_003052_14
TS23: lateral ventricle choroid plexus Strong Regionally restricted euxassay_003052_14
TS23: trachea Strong Regionally restricted euxassay_003052_14
TS23: thoracic ganglion Moderate Regionally restricted euxassay_003052_14

Specimen euxassay_003052_15: embryonic day 14.5 (more )
Structure Level Pattern Image Note
TS23: liver lobe Strong Single cells euxassay_003052_15
TS23: dorsal root ganglion Moderate Regionally restricted euxassay_003052_15
TS23: pituitary gland Strong Regionally restricted euxassay_003052_15
TS23: thymus primordium Moderate Uniform euxassay_003052_15
TS23: glans of male genital tubercle Strong Regionally restricted euxassay_003052_15
TS23: ventral grey horn Weak Regionally restricted euxassay_003052_15
TS23: olfactory epithelium Moderate Regionally restricted euxassay_003052_15
TS23: 4th ventricle lateral recess Strong Regionally restricted euxassay_003052_15
TS23: lateral ventricle choroid plexus Strong Regionally restricted euxassay_003052_15
TS23: trachea Strong Regionally restricted euxassay_003052_15
TS23: thoracic ganglion Moderate Regionally restricted euxassay_003052_15

Specimen euxassay_003052_16: embryonic day 14.5 (more )
Note: Additional information for this specimen was included in the Eurexpress data submission file.
Structure Level Pattern Image Note
TS23: liver lobe Strong Single cells euxassay_003052_16
TS23: dorsal root ganglion Moderate Regionally restricted euxassay_003052_16
TS23: upper jaw incisor Strong Regionally restricted euxassay_003052_16
TS23: glans of male genital tubercle Strong Regionally restricted euxassay_003052_16
TS23: pancreas Strong Regionally restricted euxassay_003052_16
TS23: ventral grey horn Weak Regionally restricted euxassay_003052_16
TS23: olfactory epithelium Strong Regionally restricted euxassay_003052_16
TS23: naris Strong Regionally restricted euxassay_003052_16
TS23: submandibular gland primordium Strong Regionally restricted euxassay_003052_16
TS23: 4th ventricle lateral recess Strong Regionally restricted euxassay_003052_16
TS23: lateral ventricle choroid plexus Strong Regionally restricted euxassay_003052_16
TS23: medulla oblongata basal plate Moderate Regionally restricted euxassay_003052_16 facial motor nucleus
TS23: cervical ganglion Moderate Regionally restricted euxassay_003052_16

Specimen euxassay_003052_17: embryonic day 14.5 (more )
Note: Additional information for this specimen was included in the Eurexpress data submission file.
Structure Level Pattern Image Note
TS23: liver lobe Strong Single cells euxassay_003052_17
TS23: dorsal root ganglion Moderate Regionally restricted euxassay_003052_17
TS23: vagus ganglion Moderate Regionally restricted euxassay_003052_17
TS23: trigeminal ganglion Strong Regionally restricted euxassay_003052_17
TS23: glans of male genital tubercle Strong Regionally restricted euxassay_003052_17
TS23: pancreas Strong Regionally restricted euxassay_003052_17
TS23: ventral grey horn Moderate Regionally restricted euxassay_003052_17
TS23: olfactory epithelium Strong Regionally restricted euxassay_003052_17
TS23: naris Strong Regionally restricted euxassay_003052_17
TS23: submandibular gland primordium Strong Regionally restricted euxassay_003052_17
TS23: renal calyx Strong Regionally restricted euxassay_003052_17
TS23: adrenal gland Strong Uniform euxassay_003052_17
TS23: 4th ventricle lateral recess Strong Regionally restricted euxassay_003052_17
TS23: lateral ventricle choroid plexus Strong Regionally restricted euxassay_003052_17
TS23: metencephalon basal plate Moderate Regionally restricted euxassay_003052_17 trigeminal motor nucleus
TS23: medulla oblongata basal plate Moderate Regionally restricted euxassay_003052_17 facial motor nucleus

Specimen euxassay_003052_18: embryonic day 14.5 (more )
Note: Additional information for this specimen was included in the Eurexpress data submission file.
Structure Level Pattern Image Note
TS23: liver lobe Strong Single cells euxassay_003052_18
TS23: dorsal root ganglion Moderate Regionally restricted euxassay_003052_18
TS23: trigeminal ganglion Strong Regionally restricted euxassay_003052_18
TS23: glossopharyngeal ganglion Moderate Regionally restricted euxassay_003052_18
TS23: glans of male genital tubercle Moderate Regionally restricted euxassay_003052_18
TS23: pancreas Strong Regionally restricted euxassay_003052_18
TS23: olfactory epithelium Strong Regionally restricted euxassay_003052_18
TS23: naris Strong Regionally restricted euxassay_003052_18
TS23: submandibular gland primordium Strong Regionally restricted euxassay_003052_18
TS23: renal calyx Strong Regionally restricted euxassay_003052_18
TS23: adrenal gland Strong Uniform euxassay_003052_18
TS23: 4th ventricle lateral recess Strong Regionally restricted euxassay_003052_18
TS23: lateral ventricle choroid plexus Strong Regionally restricted euxassay_003052_18
TS23: metencephalon basal plate Moderate Regionally restricted euxassay_003052_18 trigeminal motor nucleus

Specimen euxassay_003052_19: embryonic day 14.5 (more )
Structure Level Pattern Image Note
TS23: liver lobe Strong Single cells euxassay_003052_19
TS23: dorsal root ganglion Moderate Regionally restricted euxassay_003052_19
TS23: trigeminal ganglion Strong Regionally restricted euxassay_003052_19
TS23: upper jaw molar Moderate Regionally restricted euxassay_003052_19
TS23: lower jaw molar Moderate Regionally restricted euxassay_003052_19
TS23: glans of male genital tubercle Moderate Regionally restricted euxassay_003052_19
TS23: olfactory epithelium Strong Regionally restricted euxassay_003052_19
TS23: submandibular gland primordium Strong Regionally restricted euxassay_003052_19
TS23: renal pelvis Strong Regionally restricted euxassay_003052_19
TS23: adrenal gland Strong Uniform euxassay_003052_19
TS23: 4th ventricle lateral recess Strong Regionally restricted euxassay_003052_19
TS23: lateral ventricle choroid plexus Strong Regionally restricted euxassay_003052_19

Specimen euxassay_003052_20: embryonic day 14.5 (more )
Structure Level Pattern Image Note
TS23: liver lobe Strong Single cells euxassay_003052_20
TS23: trigeminal ganglion Moderate Regionally restricted euxassay_003052_20
TS23: facial ganglion Moderate Regionally restricted euxassay_003052_20
TS23: vestibulo-cochlear ganglion Moderate Regionally restricted euxassay_003052_20
TS23: upper jaw molar Moderate Regionally restricted euxassay_003052_20
TS23: lower jaw molar Moderate Regionally restricted euxassay_003052_20
TS23: renal calyx Strong Regionally restricted euxassay_003052_20
TS23: 4th ventricle lateral recess Moderate Regionally restricted euxassay_003052_20
TS23: lateral ventricle choroid plexus Strong Regionally restricted euxassay_003052_20

Specimen euxassay_003052_21: embryonic day 14.5 (more )
Structure Level Pattern Image Note
TS23: liver lobe Strong Single cells euxassay_003052_21
TS23: trigeminal ganglion Moderate Regionally restricted euxassay_003052_21
TS23: facial ganglion Moderate Regionally restricted euxassay_003052_21
TS23: renal calyx Strong Regionally restricted euxassay_003052_21
TS23: 4th ventricle lateral recess Moderate Regionally restricted euxassay_003052_21

Specimen euxassay_003052_22: embryonic day 14.5 (more )
Structure Level Pattern Image Note
TS23: pharyngo-tympanic tube Strong Regionally restricted euxassay_003052_22
TS23: liver lobe Strong Single cells euxassay_003052_22
TS23: trigeminal ganglion Moderate Regionally restricted euxassay_003052_22
TS23: neural retina Moderate Uniform euxassay_003052_22
TS23: 4th ventricle lateral recess Moderate Regionally restricted euxassay_003052_22

Specimen euxassay_003052_23: embryonic day 14.5 (more )
Structure Level Pattern Image Note
TS23: pharyngo-tympanic tube Strong Regionally restricted euxassay_003052_23
TS23: liver lobe Strong Single cells euxassay_003052_23
TS23: trigeminal ganglion Moderate Regionally restricted euxassay_003052_23
TS23: neural retina Moderate Uniform euxassay_003052_23


Contributing Projects:
Mouse Genome Database (MGD), Gene Expression Database (GXD), Mouse Models of Human Cancer database (MMHCdb) (formerly Mouse Tumor Biology (MTB)), Gene Ontology (GO)
Citing These Resources
Funding Information
Warranty Disclaimer, Privacy Notice, Licensing, & Copyright
Send questions and comments to User Support.
last database update
01/06/2026
MGI 6.24
The Jackson Laboratory