About   Help   FAQ
Gene Expression Data
Assay Details
Assay
Reference: J:153498 Diez-Roux G, et al., A high-resolution anatomical atlas of the transcriptome in the mouse embryo. PLoS Biol. 2011;9(1):e1000582
Assay type: RNA in situ
MGI Accession ID: MGI:4824532
Gene symbol: Elovl2
Gene name: ELOVL fatty acid elongase 2
Probe: IMAGE clone 1888722
Probe preparation: Antisense labelled with digoxigenin RNA
Visualized with: Alkaline phosphatase
Assay notes: Cryosections of fresh frozen material were fixed in 4% paraformaldehyde for 20 min. before further processing. A tyramide-biotin/streptavidin amplification step was included in the in situ hybridization procedure.
Results
Specimen euxassay_006217_01: embryonic day 14.5 (more )
Structure Level Pattern Image Note
TS23: liver left lobe Moderate Regionally restricted euxassay_006217_01

Specimen euxassay_006217_02: embryonic day 14.5 (more )
Structure Level Pattern Image Note
TS23: liver left lobe Moderate Regionally restricted euxassay_006217_02
TS23: brain Moderate Uniform euxassay_006217_02

Specimen euxassay_006217_03: embryonic day 14.5 (more )
Structure Level Pattern Image Note
TS23: liver left lobe Moderate Regionally restricted euxassay_006217_03
TS23: brain Moderate Uniform euxassay_006217_03

Specimen euxassay_006217_04: embryonic day 14.5 (more )
Structure Level Pattern Image Note
TS23: liver left lobe Moderate Regionally restricted euxassay_006217_04
TS23: brain Moderate Uniform euxassay_006217_04

Specimen euxassay_006217_05: embryonic day 14.5 (more )
Structure Level Pattern Image Note
TS23: liver left lobe Moderate Regionally restricted euxassay_006217_05
TS23: brain Moderate Uniform euxassay_006217_05

Specimen euxassay_006217_06: embryonic day 14.5 (more )
Structure Level Pattern Image Note
TS23: liver left lobe Moderate Regionally restricted euxassay_006217_06
TS23: brain Moderate Uniform euxassay_006217_06
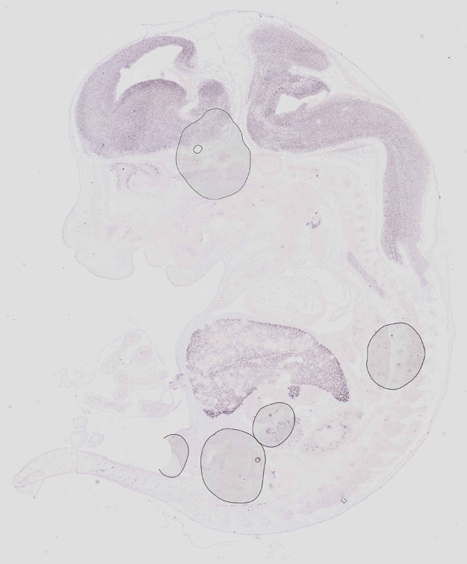
TS23: renal calyx Moderate Regionally restricted euxassay_006217_06

Specimen euxassay_006217_07: embryonic day 14.5 (more )
Structure Level Pattern Image Note
TS23: liver left lobe Moderate Regionally restricted euxassay_006217_07
TS23: brain Moderate Uniform euxassay_006217_07
TS23: spinal cord Moderate Uniform euxassay_006217_07
TS23: cervical ganglion Weak Regionally restricted euxassay_006217_07
TS23: renal calyx Moderate Regionally restricted euxassay_006217_07

Specimen euxassay_006217_08: embryonic day 14.5 (more )
Structure Level Pattern Image Note
TS23: liver left lobe Moderate Regionally restricted euxassay_006217_08
TS23: brain Moderate Uniform euxassay_006217_08
TS23: spinal cord Moderate Uniform euxassay_006217_08
TS23: olfactory epithelium Weak Regionally restricted euxassay_006217_08
TS23: cervico-thoracic ganglion Weak Regionally restricted euxassay_006217_08
TS23: renal calyx Weak Regionally restricted euxassay_006217_08
TS23: thyroid gland Weak Regionally restricted euxassay_006217_08

Specimen euxassay_006217_09: embryonic day 14.5 (more )
Structure Level Pattern Image Note
TS23: liver left lobe Moderate Regionally restricted euxassay_006217_09
TS23: brain Moderate Uniform euxassay_006217_09
TS23: spinal cord Moderate Uniform euxassay_006217_09
TS23: olfactory epithelium Weak Regionally restricted euxassay_006217_09
TS23: cervico-thoracic ganglion Weak Regionally restricted euxassay_006217_09
TS23: adenohypophysis Moderate Regionally restricted euxassay_006217_09
TS23: thyroid gland Weak Regionally restricted euxassay_006217_09

Specimen euxassay_006217_10: embryonic day 14.5 (more )
Structure Level Pattern Image Note
TS23: liver left lobe Moderate Regionally restricted euxassay_006217_10
TS23: brain Moderate Uniform euxassay_006217_10
TS23: spinal cord Moderate Uniform euxassay_006217_10
TS23: olfactory epithelium Weak Regionally restricted euxassay_006217_10
TS23: adenohypophysis Moderate Regionally restricted euxassay_006217_10

Specimen euxassay_006217_11: embryonic day 14.5 (more )
Structure Level Pattern Image Note
TS23: liver left lobe Moderate Regionally restricted euxassay_006217_11
TS23: brain Moderate Uniform euxassay_006217_11
TS23: spinal cord Moderate Uniform euxassay_006217_11
TS23: olfactory epithelium Weak Regionally restricted euxassay_006217_11
TS23: thoracic ganglion Weak Regionally restricted euxassay_006217_11
TS23: adenohypophysis Moderate Regionally restricted euxassay_006217_11
TS23: thyroid gland Weak Regionally restricted euxassay_006217_11

Specimen euxassay_006217_12: embryonic day 14.5 (more )
Structure Level Pattern Image Note
TS23: liver left lobe Moderate Regionally restricted euxassay_006217_12
TS23: brain Moderate Uniform euxassay_006217_12
TS23: spinal cord Moderate Uniform euxassay_006217_12
TS23: olfactory epithelium Weak Single cells euxassay_006217_12
TS23: thoracic ganglion Weak Regionally restricted euxassay_006217_12
TS23: adenohypophysis Moderate Regionally restricted euxassay_006217_12
TS23: thyroid gland Moderate Regionally restricted euxassay_006217_12

Specimen euxassay_006217_13: embryonic day 14.5 (more )
Structure Level Pattern Image Note
TS23: liver left lobe Moderate Regionally restricted euxassay_006217_13
TS23: brain Moderate Uniform euxassay_006217_13
TS23: spinal cord Moderate Uniform euxassay_006217_13
TS23: olfactory epithelium Moderate Regionally restricted euxassay_006217_13
TS23: cervico-thoracic ganglion Moderate Regionally restricted euxassay_006217_13
TS23: adenohypophysis Moderate Regionally restricted euxassay_006217_13
TS23: thyroid gland Moderate Regionally restricted euxassay_006217_13

Specimen euxassay_006217_14: embryonic day 14.5 (more )
Structure Level Pattern Image Note
TS23: liver right lobe Moderate Regionally restricted euxassay_006217_14
TS23: brain Moderate Uniform euxassay_006217_14
TS23: olfactory epithelium Moderate Regionally restricted euxassay_006217_14
TS23: cervical ganglion Moderate Regionally restricted euxassay_006217_14
TS23: adenohypophysis Moderate Regionally restricted euxassay_006217_14

Specimen euxassay_006217_15: embryonic day 14.5 (more )
Structure Level Pattern Image Note
TS23: liver right lobe Moderate Regionally restricted euxassay_006217_15
TS23: brain Moderate Uniform euxassay_006217_15
TS23: olfactory epithelium Moderate Regionally restricted euxassay_006217_15
TS23: cervical ganglion Moderate Regionally restricted euxassay_006217_15
TS23: renal calyx Weak Regionally restricted euxassay_006217_15

Specimen euxassay_006217_16: embryonic day 14.5 (more )
Structure Level Pattern Image Note
TS23: liver right lobe Moderate Regionally restricted euxassay_006217_16
TS23: brain Moderate Uniform euxassay_006217_16
TS23: olfactory epithelium Moderate Regionally restricted euxassay_006217_16
TS23: renal calyx Weak Regionally restricted euxassay_006217_16

Specimen euxassay_006217_17: embryonic day 14.5 (more )
Structure Level Pattern Image Note
TS23: liver right lobe Moderate Regionally restricted euxassay_006217_17
TS23: brain Moderate Uniform euxassay_006217_17
TS23: olfactory epithelium Moderate Regionally restricted euxassay_006217_17
TS23: renal calyx Weak Regionally restricted euxassay_006217_17

Specimen euxassay_006217_18: embryonic day 14.5 (more )
Structure Level Pattern Image Note
TS23: liver right lobe Moderate Regionally restricted euxassay_006217_18
TS23: brain Moderate Uniform euxassay_006217_18
TS23: olfactory epithelium Moderate Regionally restricted euxassay_006217_18

Specimen euxassay_006217_19: embryonic day 14.5 (more )
Structure Level Pattern Image Note
TS23: liver right lobe Moderate Regionally restricted euxassay_006217_19
TS23: brain Moderate Uniform euxassay_006217_19

Specimen euxassay_006217_20: embryonic day 14.5 (more )
Structure Level Pattern Image Note
TS23: liver right lobe Moderate Regionally restricted euxassay_006217_20
TS23: brain Moderate Uniform euxassay_006217_20

Specimen euxassay_006217_21: embryonic day 14.5 (more )
Structure Level Pattern Image Note
TS23: liver right lobe Moderate Regionally restricted euxassay_006217_21
TS23: brain Moderate Uniform euxassay_006217_21

Specimen euxassay_006217_22: embryonic day 14.5 (more )
Structure Level Pattern Image Note
TS23: liver right lobe Moderate Regionally restricted euxassay_006217_22
TS23: brain Moderate Uniform euxassay_006217_22

Specimen euxassay_006217_23: embryonic day 14.5 (more )
Structure Level Pattern Image Note
TS23: liver right lobe Moderate Regionally restricted euxassay_006217_23
TS23: brain Moderate Uniform euxassay_006217_23


Contributing Projects:
Mouse Genome Database (MGD), Gene Expression Database (GXD), Mouse Models of Human Cancer database (MMHCdb) (formerly Mouse Tumor Biology (MTB)), Gene Ontology (GO)
Citing These Resources
Funding Information
Warranty Disclaimer, Privacy Notice, Licensing, & Copyright
Send questions and comments to User Support.
last database update
03/24/2026
MGI 6.24
The Jackson Laboratory