About   Help   FAQ
Gene Expression Data
Assay Details
Assay
Reference: J:153498 Diez-Roux G, et al., A high-resolution anatomical atlas of the transcriptome in the mouse embryo. PLoS Biol. 2011;9(1):e1000582
Assay type: RNA in situ
MGI Accession ID: MGI:4824523
Gene symbol: Elfn2
Gene name: leucine rich repeat and fibronectin type III, extracellular 2
Probe: IMAGE clone 6840886
Probe preparation: Antisense labelled with digoxigenin RNA
Visualized with: Alkaline phosphatase
Assay notes: Cryosections of fresh frozen material were fixed in 4% paraformaldehyde for 20 min. before further processing. A tyramide-biotin/streptavidin amplification step was included in the in situ hybridization procedure.
Results
Specimen euxassay_008595_01: embryonic day 14.5 (more )
Structure Level Pattern Image Note
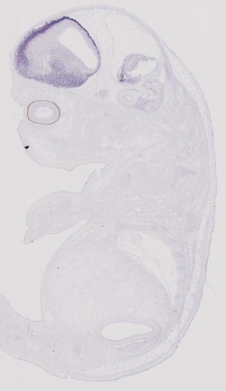
TS23: brain Strong Regionally restricted euxassay_008595_01

Specimen euxassay_008595_02: embryonic day 14.5 (more )
Structure Level Pattern Image Note
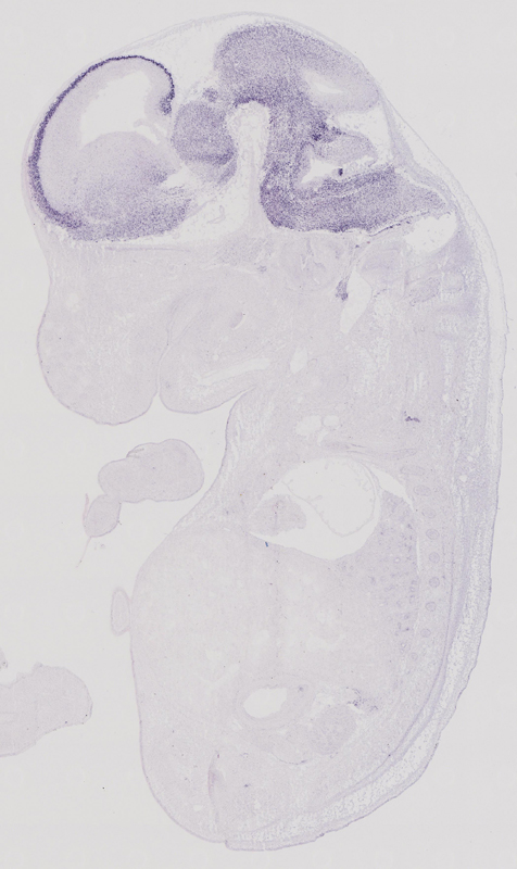
TS23: brain Strong Regionally restricted euxassay_008595_02

Specimen euxassay_008595_03: embryonic day 14.5 (more )
Structure Level Pattern Image Note
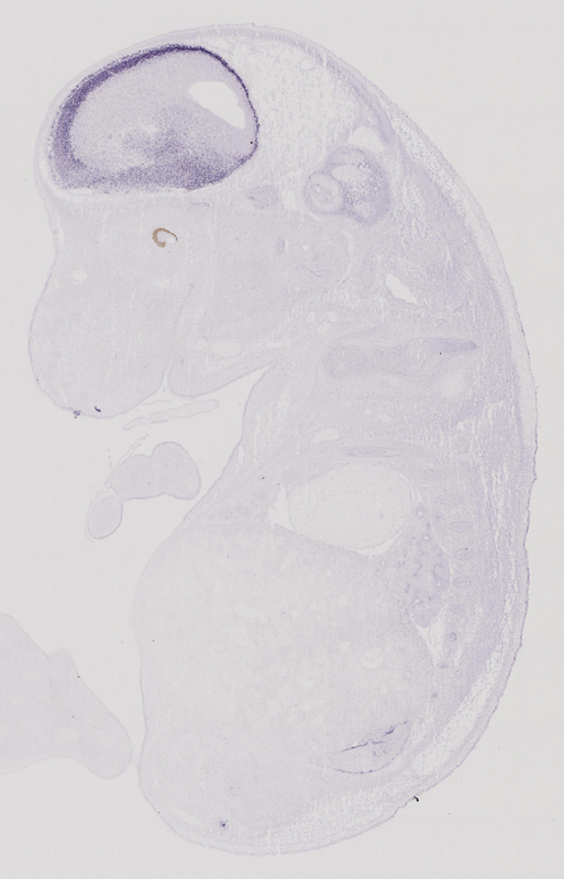
TS23: brain Strong Regionally restricted euxassay_008595_03

Specimen euxassay_008595_04: embryonic day 14.5 (more )
Structure Level Pattern Image Note
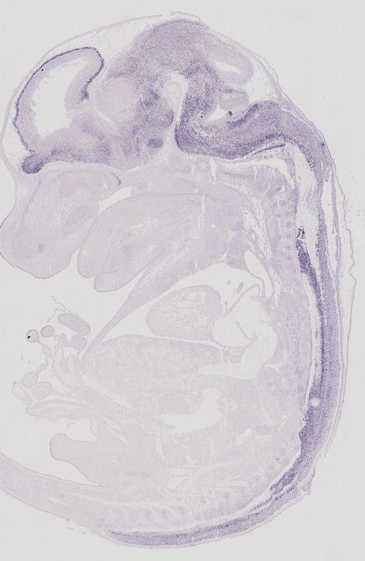
TS23: brain Strong Regionally restricted euxassay_008595_04

Specimen euxassay_008595_05: embryonic day 14.5 (more )
Structure Level Pattern Image Note
TS23: brain Strong Regionally restricted euxassay_008595_05

Specimen euxassay_008595_06: embryonic day 14.5 (more )
Structure Level Pattern Image Note
TS23: brain Strong Regionally restricted euxassay_008595_06

Specimen euxassay_008595_07: embryonic day 14.5 (more )
Structure Level Pattern Image Note
TS23: brain Strong Regionally restricted euxassay_008595_07

Specimen euxassay_008595_08: embryonic day 14.5 (more )
Structure Level Pattern Image Note
TS23: brain Strong Regionally restricted euxassay_008595_08

Specimen euxassay_008595_09: embryonic day 14.5 (more )
Structure Level Pattern Image Note
TS23: brain Strong Regionally restricted euxassay_008595_09

Specimen euxassay_008595_10: embryonic day 14.5 (more )
Structure Level Pattern Image Note
TS23: brain Strong Regionally restricted euxassay_008595_10
TS23: spinal cord Strong Regionally restricted euxassay_008595_10

Specimen euxassay_008595_11: embryonic day 14.5 (more )
Structure Level Pattern Image Note
TS23: brain Strong Regionally restricted euxassay_008595_11
TS23: spinal cord Strong Regionally restricted euxassay_008595_11

Specimen euxassay_008595_12: embryonic day 14.5 (more )
Structure Level Pattern Image Note
TS23: brain Strong Regionally restricted euxassay_008595_12
TS23: spinal cord Strong Regionally restricted euxassay_008595_12

Specimen euxassay_008595_13: embryonic day 14.5 (more )
Structure Level Pattern Image Note
TS23: brain Strong Regionally restricted euxassay_008595_13
TS23: spinal cord Strong Regionally restricted euxassay_008595_13

Specimen euxassay_008595_14: embryonic day 14.5 (more )
Structure Level Pattern Image Note
TS23: brain Strong Regionally restricted euxassay_008595_14
TS23: spinal cord Strong Regionally restricted euxassay_008595_14

Specimen euxassay_008595_15: embryonic day 14.5 (more )
Structure Level Pattern Image Note
TS23: brain Strong Regionally restricted euxassay_008595_15
TS23: spinal cord Strong Regionally restricted euxassay_008595_15

Specimen euxassay_008595_16: embryonic day 14.5 (more )
Structure Level Pattern Image Note
TS23: spinal cord Strong Regionally restricted euxassay_008595_16
TS23: brain Strong Regionally restricted euxassay_008595_16

Specimen euxassay_008595_17: embryonic day 14.5 (more )
Structure Level Pattern Image Note
TS23: spinal cord Strong Regionally restricted euxassay_008595_17
TS23: brain Strong Regionally restricted euxassay_008595_17

Specimen euxassay_008595_18: embryonic day 14.5 (more )
Structure Level Pattern Image Note
TS23: brain Strong Regionally restricted euxassay_008595_18

Specimen euxassay_008595_19: embryonic day 14.5 (more )
Structure Level Pattern Image Note
TS23: brain Strong Regionally restricted euxassay_008595_19

Specimen euxassay_008595_20: embryonic day 14.5 (more )
Structure Level Pattern Image Note
TS23: brain Strong Regionally restricted euxassay_008595_20

Specimen euxassay_008595_21: embryonic day 14.5 (more )
Structure Level Pattern Image Note
TS23: brain Strong Regionally restricted euxassay_008595_21

Specimen euxassay_008595_22: embryonic day 14.5 (more )
Structure Level Pattern Image Note
TS23: brain Strong Regionally restricted euxassay_008595_22


Contributing Projects:
Mouse Genome Database (MGD), Gene Expression Database (GXD), Mouse Models of Human Cancer database (MMHCdb) (formerly Mouse Tumor Biology (MTB)), Gene Ontology (GO)
Citing These Resources
Funding Information
Warranty Disclaimer, Privacy Notice, Licensing, & Copyright
Send questions and comments to User Support.
last database update
03/24/2026
MGI 6.24
The Jackson Laboratory