About   Help   FAQ
Gene Expression Data
Assay Details
Assay
Reference: J:153498 Diez-Roux G, et al., A high-resolution anatomical atlas of the transcriptome in the mouse embryo. PLoS Biol. 2011;9(1):e1000582
Assay type: RNA in situ
MGI Accession ID: MGI:4824506
Gene symbol: Eif2s3x
Gene name: eukaryotic translation initiation factor 2, subunit 3, structural gene X-linked
Probe: MGC clone 70029
Probe preparation: Antisense labelled with digoxigenin RNA
Visualized with: Alkaline phosphatase
Assay notes: Cryosections of fresh frozen material were fixed in 4% paraformaldehyde for 20 min. before further processing. A tyramide-biotin/streptavidin amplification step was included in the in situ hybridization procedure.
Results
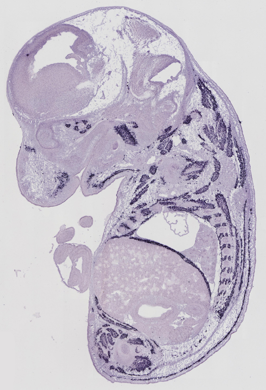
Specimen euxassay_003509_01: embryonic day 14.5 (more )
Structure Level Pattern Image Note
TS23: vertebral axis musculature Strong Regionally restricted euxassay_003509_01
TS23: head mesenchyme Strong Regionally restricted euxassay_003509_01
TS23: hand mesenchyme Strong Regionally restricted euxassay_003509_01

Specimen euxassay_003509_02: embryonic day 14.5 (more )
Structure Level Pattern Image Note
TS23: vertebral axis musculature Strong Regionally restricted euxassay_003509_02
TS23: head mesenchyme Strong Regionally restricted euxassay_003509_02
TS23: diaphragm Strong Regionally restricted euxassay_003509_02
TS23: hand mesenchyme Strong Regionally restricted euxassay_003509_02
TS23: hip mesenchyme Strong Regionally restricted euxassay_003509_02
TS23: knee mesenchyme Strong Regionally restricted euxassay_003509_02
TS23: lower leg mesenchyme Strong Regionally restricted euxassay_003509_02
TS23: upper leg mesenchyme Strong Regionally restricted euxassay_003509_02

Specimen euxassay_003509_03: embryonic day 14.5 (more )
Structure Level Pattern Image Note
TS23: vertebral axis musculature Strong Regionally restricted euxassay_003509_03
TS23: head mesenchyme Strong Regionally restricted euxassay_003509_03
TS23: diaphragm Strong Regionally restricted euxassay_003509_03
TS23: hand mesenchyme Strong Regionally restricted euxassay_003509_03
TS23: knee mesenchyme Strong Regionally restricted euxassay_003509_03
TS23: hip mesenchyme Strong Regionally restricted euxassay_003509_03
TS23: lower leg mesenchyme Strong Regionally restricted euxassay_003509_03
TS23: upper leg mesenchyme Strong Regionally restricted euxassay_003509_03
TS23: foot mesenchyme Strong Regionally restricted euxassay_003509_03

Specimen euxassay_003509_04: embryonic day 14.5 (more )
Structure Level Pattern Image Note
TS23: vertebral axis musculature Strong Regionally restricted euxassay_003509_04
TS23: head mesenchyme Strong Regionally restricted euxassay_003509_04
TS23: diaphragm Strong Regionally restricted euxassay_003509_04
TS23: hand mesenchyme Strong Regionally restricted euxassay_003509_04
TS23: foot mesenchyme Strong Regionally restricted euxassay_003509_04
TS23: hip mesenchyme Strong Regionally restricted euxassay_003509_04
TS23: knee mesenchyme Strong Regionally restricted euxassay_003509_04
TS23: lower leg mesenchyme Strong Regionally restricted euxassay_003509_04
TS23: upper leg mesenchyme Strong Regionally restricted euxassay_003509_04

Specimen euxassay_003509_05: embryonic day 14.5 (more )
Structure Level Pattern Image Note
TS23: vertebral axis musculature Strong Regionally restricted euxassay_003509_05
TS23: head mesenchyme Strong Regionally restricted euxassay_003509_05
TS23: diaphragm Strong Regionally restricted euxassay_003509_05
TS23: upper leg mesenchyme Strong Regionally restricted euxassay_003509_05
TS23: lower leg mesenchyme Strong Regionally restricted euxassay_003509_05
TS23: knee mesenchyme Strong Regionally restricted euxassay_003509_05
TS23: hip mesenchyme Strong Regionally restricted euxassay_003509_05
TS23: foot mesenchyme Strong Regionally restricted euxassay_003509_05

Specimen euxassay_003509_06: embryonic day 14.5 (more )
Structure Level Pattern Image Note
TS23: vertebral axis musculature Strong Regionally restricted euxassay_003509_06
TS23: head mesenchyme Strong Regionally restricted euxassay_003509_06
TS23: diaphragm Strong Regionally restricted euxassay_003509_06
TS23: upper leg mesenchyme Strong Regionally restricted euxassay_003509_06
TS23: lower leg mesenchyme Strong Regionally restricted euxassay_003509_06
TS23: knee mesenchyme Strong Regionally restricted euxassay_003509_06
TS23: hip mesenchyme Strong Regionally restricted euxassay_003509_06

Specimen euxassay_003509_07: embryonic day 14.5 (more )
Structure Level Pattern Image Note
TS23: vertebral axis musculature Strong Regionally restricted euxassay_003509_07
TS23: head mesenchyme Strong Regionally restricted euxassay_003509_07
TS23: diaphragm Strong Regionally restricted euxassay_003509_07
TS23: upper leg mesenchyme Strong Regionally restricted euxassay_003509_07
TS23: lower leg mesenchyme Strong Regionally restricted euxassay_003509_07
TS23: knee mesenchyme Strong Regionally restricted euxassay_003509_07
TS23: hip mesenchyme Strong Regionally restricted euxassay_003509_07

Specimen euxassay_003509_08: embryonic day 14.5 (more )
Structure Level Pattern Image Note
TS23: vertebral axis musculature Strong Regionally restricted euxassay_003509_08
TS23: head mesenchyme Strong Regionally restricted euxassay_003509_08
TS23: diaphragm Strong Regionally restricted euxassay_003509_08
TS23: upper leg mesenchyme Strong Regionally restricted euxassay_003509_08
TS23: lower leg mesenchyme Strong Regionally restricted euxassay_003509_08
TS23: knee mesenchyme Strong Regionally restricted euxassay_003509_08
TS23: hip mesenchyme Strong Regionally restricted euxassay_003509_08
TS23: tail mesenchyme Strong Regionally restricted euxassay_003509_08

Specimen euxassay_003509_09: embryonic day 14.5 (more )
Structure Level Pattern Image Note
TS23: vertebral axis musculature Strong Regionally restricted euxassay_003509_09
TS23: head mesenchyme Strong Regionally restricted euxassay_003509_09
TS23: diaphragm Strong Regionally restricted euxassay_003509_09
TS23: upper leg mesenchyme Strong Regionally restricted euxassay_003509_09
TS23: lower leg mesenchyme Strong Regionally restricted euxassay_003509_09
TS23: knee mesenchyme Strong Regionally restricted euxassay_003509_09
TS23: hip mesenchyme Strong Regionally restricted euxassay_003509_09
TS23: tail mesenchyme Strong Regionally restricted euxassay_003509_09

Specimen euxassay_003509_10: embryonic day 14.5 (more )
Structure Level Pattern Image Note
TS23: vertebral axis musculature Strong Regionally restricted euxassay_003509_10
TS23: diaphragm Strong Regionally restricted euxassay_003509_10
TS23: tail mesenchyme Strong Regionally restricted euxassay_003509_10

Specimen euxassay_003509_11: embryonic day 14.5 (more )
Structure Level Pattern Image Note
TS23: vertebral axis musculature Strong Regionally restricted euxassay_003509_11
TS23: tongue muscle Strong Regionally restricted euxassay_003509_11
TS23: diaphragm Strong Regionally restricted euxassay_003509_11
TS23: tail mesenchyme Strong Regionally restricted euxassay_003509_11

Specimen euxassay_003509_12: embryonic day 14.5 (more )
Structure Level Pattern Image Note
TS23: vertebral axis musculature Strong Regionally restricted euxassay_003509_12
TS23: tongue muscle Strong Regionally restricted euxassay_003509_12
TS23: diaphragm Strong Regionally restricted euxassay_003509_12
TS23: tail mesenchyme Strong Regionally restricted euxassay_003509_12

Specimen euxassay_003509_13: embryonic day 14.5 (more )
Structure Level Pattern Image Note
TS23: tongue muscle Strong Regionally restricted euxassay_003509_13
TS23: diaphragm Strong Regionally restricted euxassay_003509_13
TS23: tail mesenchyme Strong Regionally restricted euxassay_003509_13

Specimen euxassay_003509_14: embryonic day 14.5 (more )
Structure Level Pattern Image Note
TS23: tongue muscle Strong Regionally restricted euxassay_003509_14
TS23: tail mesenchyme Strong Regionally restricted euxassay_003509_14

Specimen euxassay_003509_15: embryonic day 14.5 (more )
Structure Level Pattern Image Note
TS23: tongue muscle Strong Regionally restricted euxassay_003509_15
TS23: tail mesenchyme Strong Regionally restricted euxassay_003509_15

Specimen euxassay_003509_16: embryonic day 14.5 (more )
Structure Level Pattern Image Note
TS23: vertebral axis musculature Strong Regionally restricted euxassay_003509_16
TS23: tongue muscle Strong Regionally restricted euxassay_003509_16
TS23: tail mesenchyme Strong Regionally restricted euxassay_003509_16

Specimen euxassay_003509_17: embryonic day 14.5 (more )
Structure Level Pattern Image Note
TS23: vertebral axis musculature Strong Regionally restricted euxassay_003509_17
TS23: diaphragm Strong Regionally restricted euxassay_003509_17

Specimen euxassay_003509_18: embryonic day 14.5 (more )
Structure Level Pattern Image Note
TS23: vertebral axis musculature Strong Regionally restricted euxassay_003509_18
TS23: diaphragm Strong Regionally restricted euxassay_003509_18
TS23: upper leg mesenchyme Strong Regionally restricted euxassay_003509_18
TS23: lower leg mesenchyme Strong Regionally restricted euxassay_003509_18
TS23: knee mesenchyme Strong Regionally restricted euxassay_003509_18
TS23: hip mesenchyme Strong Regionally restricted euxassay_003509_18

Specimen euxassay_003509_19: embryonic day 14.5 (more )
Structure Level Pattern Image Note
TS23: vertebral axis musculature Strong Regionally restricted euxassay_003509_19
TS23: diaphragm Strong Regionally restricted euxassay_003509_19
TS23: upper leg mesenchyme Strong Regionally restricted euxassay_003509_19
TS23: lower leg mesenchyme Strong Regionally restricted euxassay_003509_19
TS23: knee mesenchyme Strong Regionally restricted euxassay_003509_19
TS23: hip mesenchyme Strong Regionally restricted euxassay_003509_19

Specimen euxassay_003509_20: embryonic day 14.5 (more )
Structure Level Pattern Image Note
TS23: vertebral axis musculature Strong Regionally restricted euxassay_003509_20
TS23: head mesenchyme Strong Regionally restricted euxassay_003509_20
TS23: diaphragm Strong Regionally restricted euxassay_003509_20
TS23: upper leg mesenchyme Strong Regionally restricted euxassay_003509_20
TS23: lower leg mesenchyme Strong Regionally restricted euxassay_003509_20
TS23: knee mesenchyme Strong Regionally restricted euxassay_003509_20
TS23: hip mesenchyme Strong Regionally restricted euxassay_003509_20
TS23: foot mesenchyme Strong Regionally restricted euxassay_003509_20

Specimen euxassay_003509_21: embryonic day 14.5 (more )
Structure Level Pattern Image Note
TS23: vertebral axis musculature Strong Regionally restricted euxassay_003509_21
TS23: head mesenchyme Strong Regionally restricted euxassay_003509_21
TS23: diaphragm Strong Regionally restricted euxassay_003509_21
TS23: upper leg mesenchyme Strong Regionally restricted euxassay_003509_21
TS23: lower leg mesenchyme Strong Regionally restricted euxassay_003509_21
TS23: knee mesenchyme Strong Regionally restricted euxassay_003509_21
TS23: hip mesenchyme Strong Regionally restricted euxassay_003509_21
TS23: foot mesenchyme Strong Regionally restricted euxassay_003509_21

Specimen euxassay_003509_22: embryonic day 14.5 (more )
Structure Level Pattern Image Note
TS23: vertebral axis musculature Strong Regionally restricted euxassay_003509_22
TS23: head mesenchyme Strong Regionally restricted euxassay_003509_22
TS23: diaphragm Strong Regionally restricted euxassay_003509_22
TS23: upper leg mesenchyme Strong Regionally restricted euxassay_003509_22
TS23: lower leg mesenchyme Strong Regionally restricted euxassay_003509_22
TS23: hip mesenchyme Strong Regionally restricted euxassay_003509_22
TS23: knee mesenchyme Strong Regionally restricted euxassay_003509_22

Specimen euxassay_003509_23: embryonic day 14.5 (more )
Structure Level Pattern Image Note
TS23: vertebral axis musculature Strong Regionally restricted euxassay_003509_23
TS23: head mesenchyme Strong Regionally restricted euxassay_003509_23
TS23: diaphragm Strong Regionally restricted euxassay_003509_23
TS23: upper leg mesenchyme Strong Regionally restricted euxassay_003509_23
TS23: lower leg mesenchyme Strong Regionally restricted euxassay_003509_23
TS23: knee mesenchyme Strong Regionally restricted euxassay_003509_23
TS23: hip mesenchyme Strong Regionally restricted euxassay_003509_23

Specimen euxassay_003509_24: embryonic day 14.5 (more )
Structure Level Pattern Image Note
TS23: vertebral axis musculature Strong Regionally restricted euxassay_003509_24
TS23: head mesenchyme Strong Regionally restricted euxassay_003509_24
TS23: diaphragm Strong Regionally restricted euxassay_003509_24
TS23: upper leg mesenchyme Strong Regionally restricted euxassay_003509_24
TS23: lower leg mesenchyme Strong Regionally restricted euxassay_003509_24
TS23: knee mesenchyme Strong Regionally restricted euxassay_003509_24
TS23: hip mesenchyme Strong Regionally restricted euxassay_003509_24
TS23: hand mesenchyme Strong Regionally restricted euxassay_003509_24


Contributing Projects:
Mouse Genome Database (MGD), Gene Expression Database (GXD), Mouse Models of Human Cancer database (MMHCdb) (formerly Mouse Tumor Biology (MTB)), Gene Ontology (GO)
Citing These Resources
Funding Information
Warranty Disclaimer, Privacy Notice, Licensing, & Copyright
Send questions and comments to User Support.
last database update
01/06/2026
MGI 6.24
The Jackson Laboratory