About   Help   FAQ
Gene Expression Data
Assay Details
Assay
Reference: J:153498 Diez-Roux G, et al., A high-resolution anatomical atlas of the transcriptome in the mouse embryo. PLoS Biol. 2011;9(1):e1000582
Assay type: RNA in situ
MGI Accession ID: MGI:4824496
Gene symbol: Ehbp1l1
Gene name: EH domain binding protein 1-like 1
Probe: T30186
Probe preparation: Antisense labelled with digoxigenin RNA
Visualized with: Alkaline phosphatase
Assay notes: Cryosections of fresh frozen material were fixed in 4% paraformaldehyde for 20 min. before further processing. A tyramide-biotin/streptavidin amplification step was included in the in situ hybridization procedure.
Results
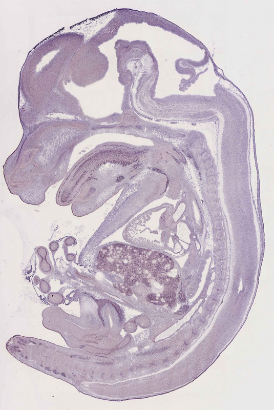
Specimen euxassay_011445_01: embryonic day 14.5 (more )
Structure Level Pattern Image Note
TS23: vertebral axis musculature Moderate Regionally restricted euxassay_011445_01
TS23: liver lobe Weak Regionally restricted euxassay_011445_01

Specimen euxassay_011445_02: embryonic day 14.5 (more )
Note: Additional information for this specimen was included in the Eurexpress data submission file.
Structure Level Pattern Image Note
TS23: vertebral axis musculature Moderate Regionally restricted euxassay_011445_02
TS23: liver lobe Weak Regionally restricted euxassay_011445_02
TS23: stomach Weak Regionally restricted euxassay_011445_02 smooth muscle
TS23: smooth muscle tissue Present euxassay_011445_02

Specimen euxassay_011445_03: embryonic day 14.5 (more )
Note: Additional information for this specimen was included in the Eurexpress data submission file.
Structure Level Pattern Image Note
TS23: vertebral axis musculature Moderate Regionally restricted euxassay_011445_03
TS23: liver lobe Weak Regionally restricted euxassay_011445_03
TS23: stomach Weak Regionally restricted euxassay_011445_03 smooth muscle
TS23: smooth muscle tissue Present euxassay_011445_03

Specimen euxassay_011445_04: embryonic day 14.5 (more )
Note: Additional information for this specimen was included in the Eurexpress data submission file.
Structure Level Pattern Image Note
TS23: vertebral axis musculature Moderate Regionally restricted euxassay_011445_04
TS23: liver lobe Weak Regionally restricted euxassay_011445_04
TS23: stomach Moderate Regionally restricted euxassay_011445_04 smooth muscle
TS23: smooth muscle tissue Present euxassay_011445_04

Specimen euxassay_011445_05: embryonic day 14.5 (more )
Note: Additional information for this specimen was included in the Eurexpress data submission file.
Structure Level Pattern Image Note
TS23: vertebral axis musculature Moderate Regionally restricted euxassay_011445_05
TS23: liver lobe Weak Regionally restricted euxassay_011445_05
TS23: stomach Moderate Regionally restricted euxassay_011445_05 smooth muscle
TS23: smooth muscle tissue Present euxassay_011445_05

Specimen euxassay_011445_06: embryonic day 14.5 (more )
Note: Additional information for this specimen was included in the Eurexpress data submission file.
Structure Level Pattern Image Note
TS23: vertebral axis musculature Moderate Regionally restricted euxassay_011445_06
TS23: liver lobe Moderate Regionally restricted euxassay_011445_06
TS23: stomach Moderate Regionally restricted euxassay_011445_06 smooth muscle
TS23: smooth muscle tissue Present euxassay_011445_06

Specimen euxassay_011445_07: embryonic day 14.5 (more )
Note: Additional information for this specimen was included in the Eurexpress data submission file.
Structure Level Pattern Image Note
TS23: vertebral axis musculature Moderate Regionally restricted euxassay_011445_07
TS23: liver lobe Moderate Regionally restricted euxassay_011445_07
TS23: stomach Moderate Regionally restricted euxassay_011445_07 smooth muscle
TS23: smooth muscle tissue Present euxassay_011445_07
TS23: midgut Moderate Regionally restricted euxassay_011445_07 smooth muscle

Specimen euxassay_011445_08: embryonic day 14.5 (more )
Note: Additional information for this specimen was included in the Eurexpress data submission file.
Structure Level Pattern Image Note
TS23: vertebral axis musculature Moderate Regionally restricted euxassay_011445_08
TS23: liver lobe Moderate Regionally restricted euxassay_011445_08
TS23: stomach Moderate Regionally restricted euxassay_011445_08 smooth muscle
TS23: smooth muscle tissue Present euxassay_011445_08
TS23: midgut Moderate Regionally restricted euxassay_011445_08 smooth muscle

Specimen euxassay_011445_09: embryonic day 14.5 (more )
Note: Additional information for this specimen was included in the Eurexpress data submission file.
Structure Level Pattern Image Note
TS23: vertebral axis musculature Moderate Regionally restricted euxassay_011445_09
TS23: liver lobe Moderate Regionally restricted euxassay_011445_09
TS23: tail mesenchyme Weak Regionally restricted euxassay_011445_09
TS23: stomach Moderate Regionally restricted euxassay_011445_09 smooth muscle
TS23: smooth muscle tissue Present euxassay_011445_09
TS23: midgut Moderate Regionally restricted euxassay_011445_09 smooth muscle

Specimen euxassay_011445_10: embryonic day 14.5 (more )
Note: Additional information for this specimen was included in the Eurexpress data submission file.
Structure Level Pattern Image Note
TS23: vertebral axis musculature Moderate Regionally restricted euxassay_011445_10
TS23: liver lobe Moderate Regionally restricted euxassay_011445_10
TS23: tongue muscle Moderate Regionally restricted euxassay_011445_10
TS23: tail mesenchyme Weak Regionally restricted euxassay_011445_10
TS23: stomach Weak Regionally restricted euxassay_011445_10 smooth muscle
TS23: smooth muscle tissue Present euxassay_011445_10
TS23: midgut Weak Regionally restricted euxassay_011445_10 smooth muscle

Specimen euxassay_011445_11: embryonic day 14.5 (more )
Note: Additional information for this specimen was included in the Eurexpress data submission file.
Structure Level Pattern Image Note
TS23: vertebral axis musculature Moderate Regionally restricted euxassay_011445_11
TS23: liver lobe Moderate Regionally restricted euxassay_011445_11
TS23: tongue muscle Moderate Regionally restricted euxassay_011445_11
TS23: bladder wall Moderate Regionally restricted euxassay_011445_11
TS23: tail mesenchyme Moderate Regionally restricted euxassay_011445_11
TS23: midgut Weak Regionally restricted euxassay_011445_11 smooth muscle
TS23: smooth muscle tissue Present euxassay_011445_11

Specimen euxassay_011445_12: embryonic day 14.5 (more )
Note: Additional information for this specimen was included in the Eurexpress data submission file.
Structure Level Pattern Image Note
TS23: vertebral axis musculature Moderate Regionally restricted euxassay_011445_12
TS23: liver lobe Moderate Regionally restricted euxassay_011445_12
TS23: tongue muscle Moderate Regionally restricted euxassay_011445_12
TS23: bladder wall Moderate Regionally restricted euxassay_011445_12
TS23: tail mesenchyme Moderate Regionally restricted euxassay_011445_12
TS23: midgut Weak Regionally restricted euxassay_011445_12 smooth muscle
TS23: smooth muscle tissue Present euxassay_011445_12

Specimen euxassay_011445_13: embryonic day 14.5 (more )
Note: Additional information for this specimen was included in the Eurexpress data submission file.
Structure Level Pattern Image Note
TS23: vertebral axis musculature Moderate Regionally restricted euxassay_011445_13
TS23: liver lobe Moderate Regionally restricted euxassay_011445_13
TS23: tongue muscle Moderate Regionally restricted euxassay_011445_13
TS23: bladder wall Moderate Regionally restricted euxassay_011445_13
TS23: tail mesenchyme Moderate Regionally restricted euxassay_011445_13
TS23: midgut Weak Regionally restricted euxassay_011445_13 smooth muscle
TS23: hindgut Weak Regionally restricted euxassay_011445_13 smooth muscle
TS23: smooth muscle tissue Present euxassay_011445_13

Specimen euxassay_011445_14: embryonic day 14.5 (more )
Note: Additional information for this specimen was included in the Eurexpress data submission file.
Structure Level Pattern Image Note
TS23: vertebral axis musculature Moderate Regionally restricted euxassay_011445_14
TS23: liver lobe Moderate Regionally restricted euxassay_011445_14
TS23: tongue muscle Moderate Regionally restricted euxassay_011445_14
TS23: bladder wall Moderate Regionally restricted euxassay_011445_14
TS23: tail mesenchyme Moderate Regionally restricted euxassay_011445_14
TS23: midgut Weak Regionally restricted euxassay_011445_14 smooth muscle
TS23: hindgut Weak Regionally restricted euxassay_011445_14 smooth muscle
TS23: smooth muscle tissue Present euxassay_011445_14

Specimen euxassay_011445_15: embryonic day 14.5 (more )
Note: Additional information for this specimen was included in the Eurexpress data submission file.
Structure Level Pattern Image Note
TS23: vertebral axis musculature Moderate Regionally restricted euxassay_011445_15
TS23: liver lobe Moderate Regionally restricted euxassay_011445_15
TS23: tongue muscle Moderate Regionally restricted euxassay_011445_15
TS23: bladder wall Moderate Regionally restricted euxassay_011445_15
TS23: tail mesenchyme Moderate Regionally restricted euxassay_011445_15
TS23: midgut Weak Regionally restricted euxassay_011445_15 smooth muscle
TS23: hindgut Weak Regionally restricted euxassay_011445_15 smooth muscle
TS23: smooth muscle tissue Present euxassay_011445_15

Specimen euxassay_011445_16: embryonic day 14.5 (more )
Note: Additional information for this specimen was included in the Eurexpress data submission file.
Structure Level Pattern Image Note
TS23: vertebral axis musculature Moderate Regionally restricted euxassay_011445_16
TS23: liver lobe Moderate Regionally restricted euxassay_011445_16
TS23: tongue muscle Moderate Regionally restricted euxassay_011445_16
TS23: midgut Weak Regionally restricted euxassay_011445_16 smooth muscle
TS23: smooth muscle tissue Present euxassay_011445_16

Specimen euxassay_011445_17: embryonic day 14.5 (more )
Note: Additional information for this specimen was included in the Eurexpress data submission file.
Structure Level Pattern Image Note
TS23: vertebral axis musculature Moderate Regionally restricted euxassay_011445_17
TS23: liver lobe Weak Regionally restricted euxassay_011445_17
TS23: midgut Weak Regionally restricted euxassay_011445_17 smooth muscle
TS23: smooth muscle tissue Present euxassay_011445_17

Specimen euxassay_011445_18: embryonic day 14.5 (more )
Structure Level Pattern Image Note
TS23: vertebral axis musculature Moderate Regionally restricted euxassay_011445_18
TS23: liver lobe Weak Regionally restricted euxassay_011445_18

Specimen euxassay_011445_19: embryonic day 14.5 (more )
Structure Level Pattern Image Note
TS23: vertebral axis musculature Moderate Regionally restricted euxassay_011445_19
TS23: liver lobe Weak Regionally restricted euxassay_011445_19

Specimen euxassay_011445_20: embryonic day 14.5 (more )
Structure Level Pattern Image Note
TS23: vertebral axis musculature Moderate Regionally restricted euxassay_011445_20
TS23: liver lobe Weak Regionally restricted euxassay_011445_20

Specimen euxassay_011445_21: embryonic day 14.5 (more )
Structure Level Pattern Image Note
TS23: vertebral axis musculature Weak Regionally restricted euxassay_011445_21
TS23: liver lobe Weak Regionally restricted euxassay_011445_21

Specimen euxassay_011445_22: embryonic day 14.5 (more )
Structure Level Pattern Image Note
TS23: vertebral axis musculature Moderate Regionally restricted euxassay_011445_22
TS23: liver lobe Weak Regionally restricted euxassay_011445_22


Contributing Projects:
Mouse Genome Database (MGD), Gene Expression Database (GXD), Mouse Models of Human Cancer database (MMHCdb) (formerly Mouse Tumor Biology (MTB)), Gene Ontology (GO)
Citing These Resources
Funding Information
Warranty Disclaimer, Privacy Notice, Licensing, & Copyright
Send questions and comments to User Support.
last database update
03/24/2026
MGI 6.24
The Jackson Laboratory