About   Help   FAQ
Gene Expression Data
Assay Details
Assay
Reference: J:153498 Diez-Roux G, et al., A high-resolution anatomical atlas of the transcriptome in the mouse embryo. PLoS Biol. 2011;9(1):e1000582
Assay type: RNA in situ
MGI Accession ID: MGI:4824486
Gene symbol: Efnb1
Gene name: ephrin B1
Probe: MH548 probe 396
Probe preparation: Antisense labelled with digoxigenin RNA
Visualized with: Alkaline phosphatase
Assay notes: Cryosections of fresh frozen material were fixed in 4% paraformaldehyde for 20 min. before further processing. A tyramide-biotin/streptavidin amplification step was included in the in situ hybridization procedure.
Results
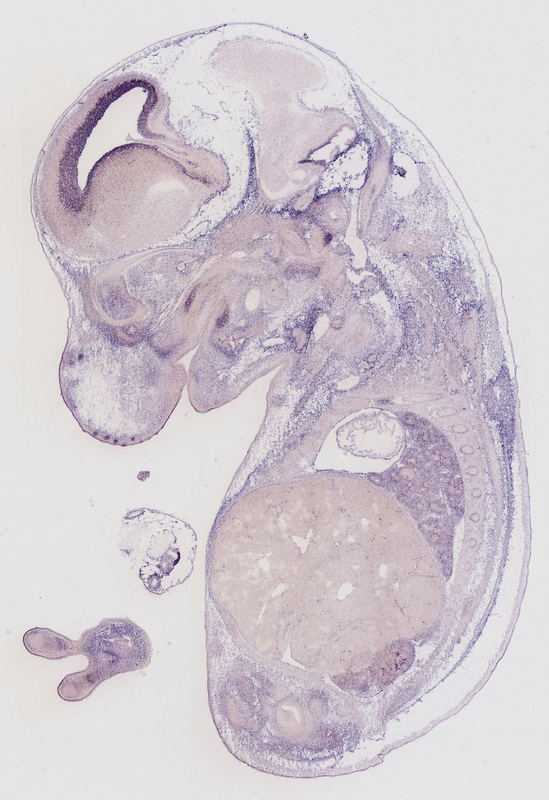
Specimen euxassay_018017_01: embryonic day 14.5 (more )
Structure Level Pattern Image Note
TS23: vibrissa Moderate Regionally restricted euxassay_018017_01
TS23: embryo mesenchyme Moderate Regionally restricted euxassay_018017_01
TS23: telencephalon ventricular layer Strong Uniform euxassay_018017_01
TS23: hindlimb digit 2 phalanx Moderate Regionally restricted euxassay_018017_01
TS23: hindlimb digit 3 phalanx Moderate Regionally restricted euxassay_018017_01
TS23: hindlimb digit 4 phalanx Moderate Regionally restricted euxassay_018017_01
TS23: hand mesenchyme Moderate Regionally restricted euxassay_018017_01
TS23: lung Weak Regionally restricted euxassay_018017_01

Specimen euxassay_018017_02: embryonic day 14.5 (more )
Structure Level Pattern Image Note
TS23: embryo mesenchyme Moderate Regionally restricted euxassay_018017_02
TS23: telencephalon ventricular layer Strong Uniform euxassay_018017_02
TS23: hindlimb digit 5 phalanx Weak Regionally restricted euxassay_018017_02
TS23: hindlimb digit 4 phalanx Weak Regionally restricted euxassay_018017_02
TS23: hindlimb digit 3 phalanx Weak Regionally restricted euxassay_018017_02
TS23: hand mesenchyme Weak Regionally restricted euxassay_018017_02
TS23: lung Weak Regionally restricted euxassay_018017_02

Specimen euxassay_018017_03: embryonic day 14.5 (more )
Structure Level Pattern Image Note
TS23: vibrissa Strong Regionally restricted euxassay_018017_03
TS23: embryo mesenchyme Weak Regionally restricted euxassay_018017_03
TS23: telencephalon ventricular layer Strong Uniform euxassay_018017_03
TS23: foot mesenchyme Weak Regionally restricted euxassay_018017_03
TS23: hindlimb digit 2 phalanx Weak Regionally restricted euxassay_018017_03
TS23: hindlimb digit 3 phalanx Weak Regionally restricted euxassay_018017_03
TS23: lung Weak Regionally restricted euxassay_018017_03

Specimen euxassay_018017_04: embryonic day 14.5 (more )
Structure Level Pattern Image Note
TS23: vibrissa Moderate Regionally restricted euxassay_018017_04
TS23: embryo mesenchyme Weak Regionally restricted euxassay_018017_04
TS23: telencephalon ventricular layer Strong Uniform euxassay_018017_04
TS23: rest of cerebellum ventricular layer Moderate Regionally restricted euxassay_018017_04
TS23: foot mesenchyme Moderate Regionally restricted euxassay_018017_04
TS23: lung Weak Regionally restricted euxassay_018017_04

Specimen euxassay_018017_05: embryonic day 14.5 (more )
Structure Level Pattern Image Note
TS23: vibrissa Moderate Regionally restricted euxassay_018017_05
TS23: embryo mesenchyme Weak Regionally restricted euxassay_018017_05
TS23: metanephros Moderate Regionally restricted euxassay_018017_05
TS23: telencephalon ventricular layer Strong Uniform euxassay_018017_05
TS23: rest of cerebellum ventricular layer Moderate Regionally restricted euxassay_018017_05
TS23: lower jaw molar Moderate Regionally restricted euxassay_018017_05
TS23: upper jaw molar Moderate Regionally restricted euxassay_018017_05
TS23: lung Weak Regionally restricted euxassay_018017_05

Specimen euxassay_018017_06: embryonic day 14.5 (more )
Structure Level Pattern Image Note
TS23: vibrissa Moderate Regionally restricted euxassay_018017_06
TS23: embryo mesenchyme Weak Regionally restricted euxassay_018017_06
TS23: metanephros Strong Regionally restricted euxassay_018017_06
TS23: telencephalon ventricular layer Strong Uniform euxassay_018017_06
TS23: pons ventricular layer Moderate Regionally restricted euxassay_018017_06
TS23: rest of cerebellum ventricular layer Moderate Regionally restricted euxassay_018017_06
TS23: upper jaw molar Moderate Regionally restricted euxassay_018017_06
TS23: lower jaw molar Moderate Regionally restricted euxassay_018017_06
TS23: lung Weak Regionally restricted euxassay_018017_06

Specimen euxassay_018017_07: embryonic day 14.5 (more )
Structure Level Pattern Image Note
TS23: embryo mesenchyme Weak Regionally restricted euxassay_018017_07
TS23: metanephros Moderate Regionally restricted euxassay_018017_07
TS23: adrenal cortex Weak Regionally restricted euxassay_018017_07
TS23: telencephalon ventricular layer Strong Uniform euxassay_018017_07
TS23: olfactory cortex ventricular layer Strong Uniform euxassay_018017_07
TS23: midbrain ventricular layer Moderate Regionally restricted euxassay_018017_07
TS23: pons ventricular layer Moderate Regionally restricted euxassay_018017_07
TS23: rest of cerebellum ventricular layer Moderate Regionally restricted euxassay_018017_07
TS23: palatal shelf Moderate Regionally restricted euxassay_018017_07
TS23: lung Weak Regionally restricted euxassay_018017_07

Specimen euxassay_018017_08: embryonic day 14.5 (more )
Structure Level Pattern Image Note
TS23: embryo mesenchyme Weak Regionally restricted euxassay_018017_08
TS23: metanephros Moderate Regionally restricted euxassay_018017_08
TS23: adrenal cortex Weak Regionally restricted euxassay_018017_08
TS23: telencephalon ventricular layer Strong Uniform euxassay_018017_08
TS23: olfactory cortex ventricular layer Strong Uniform euxassay_018017_08
TS23: pons ventricular layer Moderate Regionally restricted euxassay_018017_08
TS23: midbrain ventricular layer Moderate Regionally restricted euxassay_018017_08
TS23: palatal shelf Moderate Regionally restricted euxassay_018017_08
TS23: midgut Weak Regionally restricted euxassay_018017_08
TS23: lung Weak Regionally restricted euxassay_018017_08

Specimen euxassay_018017_09: embryonic day 14.5 (more )
Structure Level Pattern Image Note
TS23: embryo mesenchyme Weak Regionally restricted euxassay_018017_09
TS23: metanephros Moderate Regionally restricted euxassay_018017_09
TS23: adrenal cortex Weak Regionally restricted euxassay_018017_09
TS23: telencephalon ventricular layer Strong Uniform euxassay_018017_09
TS23: olfactory cortex ventricular layer Strong Uniform euxassay_018017_09
TS23: midbrain ventricular layer Strong Regionally restricted euxassay_018017_09
TS23: pons ventricular layer Strong Regionally restricted euxassay_018017_09
TS23: rest of cerebellum ventricular layer Moderate Regionally restricted euxassay_018017_09
TS23: medulla oblongata sulcus limitans Moderate Regionally restricted euxassay_018017_09
TS23: dorsal root ganglion Moderate Regionally restricted euxassay_018017_09
TS23: midgut Weak Regionally restricted euxassay_018017_09
TS23: lung Weak Regionally restricted euxassay_018017_09

Specimen euxassay_018017_10: embryonic day 14.5 (more )
Structure Level Pattern Image Note
TS23: embryo mesenchyme Weak Regionally restricted euxassay_018017_10
TS23: telencephalon ventricular layer Strong Uniform euxassay_018017_10
TS23: midbrain ventricular layer Strong Regionally restricted euxassay_018017_10
TS23: medulla oblongata basal plate ventricular layer Moderate Regionally restricted euxassay_018017_10
TS23: dorsal root ganglion Weak Regionally restricted euxassay_018017_10
TS23: midgut Weak Regionally restricted euxassay_018017_10
TS23: lung Weak Regionally restricted euxassay_018017_10

Specimen euxassay_018017_11: embryonic day 14.5 (more )
Structure Level Pattern Image Note
TS23: embryo mesenchyme Weak Regionally restricted euxassay_018017_11
TS23: pons ventricular layer Weak Regionally restricted euxassay_018017_11
TS23: midbrain ventricular layer Moderate Regionally restricted euxassay_018017_11
TS23: rest of cerebellum ventricular layer Weak Regionally restricted euxassay_018017_11
TS23: diencephalon lateral wall ventricular layer Moderate Regionally restricted euxassay_018017_11
TS23: cerebral internal capsule Moderate Regionally restricted euxassay_018017_11
TS23: medulla oblongata basal plate ventricular layer Weak Regionally restricted euxassay_018017_11
TS23: nephric duct of male Weak Regionally restricted euxassay_018017_11
TS23: bladder Weak Regionally restricted euxassay_018017_11
TS23: midgut Weak Regionally restricted euxassay_018017_11
TS23: lung Weak Regionally restricted euxassay_018017_11

Specimen euxassay_018017_12: embryonic day 14.5 (more )
Structure Level Pattern Image Note
TS23: embryo mesenchyme Weak Regionally restricted euxassay_018017_12
TS23: telencephalon ventricular layer Strong Uniform euxassay_018017_12
TS23: hypothalamus ventricular layer Moderate Regionally restricted euxassay_018017_12
TS23: diencephalon lateral wall ventricular layer Moderate Regionally restricted euxassay_018017_12
TS23: midbrain ventricular layer Moderate Regionally restricted euxassay_018017_12
TS23: pons ventricular layer Moderate Regionally restricted euxassay_018017_12
TS23: medulla oblongata basal plate ventricular layer Weak Regionally restricted euxassay_018017_12
TS23: spinal cord ventricular layer Strong Regionally restricted euxassay_018017_12
TS23: bladder Weak Regionally restricted euxassay_018017_12
TS23: midgut Weak Regionally restricted euxassay_018017_12
TS23: lung Weak Regionally restricted euxassay_018017_12

Specimen euxassay_018017_13: embryonic day 14.5 (more )
Structure Level Pattern Image Note
TS23: embryo mesenchyme Weak Regionally restricted euxassay_018017_13
TS23: olfactory cortex ventricular layer Strong Uniform euxassay_018017_13
TS23: telencephalon ventricular layer Strong Uniform euxassay_018017_13
TS23: midbrain ventricular layer Strong Regionally restricted euxassay_018017_13
TS23: pons ventricular layer Strong Regionally restricted euxassay_018017_13
TS23: diencephalon lateral wall ventricular layer Moderate Regionally restricted euxassay_018017_13
TS23: hypothalamus ventricular layer Moderate Regionally restricted euxassay_018017_13
TS23: spinal cord ventricular layer Strong Regionally restricted euxassay_018017_13
TS23: palatal shelf Moderate Regionally restricted euxassay_018017_13
TS23: bladder Weak Regionally restricted euxassay_018017_13
TS23: upper jaw incisor Moderate Regionally restricted euxassay_018017_13
TS23: lower jaw incisor Moderate Regionally restricted euxassay_018017_13
TS23: midgut Weak Regionally restricted euxassay_018017_13
TS23: lung Weak Regionally restricted euxassay_018017_13

Specimen euxassay_018017_14: embryonic day 14.5 (more )
Structure Level Pattern Image Note
TS23: embryo mesenchyme Weak Regionally restricted euxassay_018017_14
TS23: telencephalon ventricular layer Strong Uniform euxassay_018017_14
TS23: olfactory cortex ventricular layer Strong Uniform euxassay_018017_14
TS23: rest of cerebellum ventricular layer Weak Regionally restricted euxassay_018017_14
TS23: pons ventricular layer Weak Regionally restricted euxassay_018017_14
TS23: midbrain ventricular layer Strong Regionally restricted euxassay_018017_14
TS23: nephric duct of male Weak Regionally restricted euxassay_018017_14
TS23: bladder Weak Regionally restricted euxassay_018017_14
TS23: upper jaw incisor Weak Regionally restricted euxassay_018017_14
TS23: lower jaw incisor Weak Regionally restricted euxassay_018017_14
TS23: midgut Weak Regionally restricted euxassay_018017_14
TS23: lung Weak Regionally restricted euxassay_018017_14

Specimen euxassay_018017_15: embryonic day 14.5 (more )
Structure Level Pattern Image Note
TS23: embryo mesenchyme Weak Regionally restricted euxassay_018017_15
TS23: telencephalon ventricular layer Strong Uniform euxassay_018017_15
TS23: olfactory cortex ventricular layer Strong Uniform euxassay_018017_15
TS23: midbrain ventricular layer Strong Regionally restricted euxassay_018017_15
TS23: pons ventricular layer Moderate Regionally restricted euxassay_018017_15
TS23: rest of cerebellum ventricular layer Moderate Regionally restricted euxassay_018017_15
TS23: dorsal root ganglion Weak Regionally restricted euxassay_018017_15
TS23: midgut Weak Regionally restricted euxassay_018017_15
TS23: lung Weak Regionally restricted euxassay_018017_15

Specimen euxassay_018017_16: embryonic day 14.5 (more )
Structure Level Pattern Image Note
TS23: embryo mesenchyme Weak Regionally restricted euxassay_018017_16
TS23: metanephros Moderate Regionally restricted euxassay_018017_16
TS23: adrenal cortex Weak Regionally restricted euxassay_018017_16
TS23: telencephalon ventricular layer Strong Uniform euxassay_018017_16
TS23: pons ventricular layer Moderate Regionally restricted euxassay_018017_16
TS23: midbrain ventricular layer Strong Regionally restricted euxassay_018017_16
TS23: rest of cerebellum ventricular layer Moderate Regionally restricted euxassay_018017_16
TS23: dorsal root ganglion Weak Regionally restricted euxassay_018017_16
TS23: midgut Weak Regionally restricted euxassay_018017_16
TS23: lung Weak Regionally restricted euxassay_018017_16

Specimen euxassay_018017_17: embryonic day 14.5 (more )
Structure Level Pattern Image Note
TS23: vibrissa Strong Regionally restricted euxassay_018017_17
TS23: embryo mesenchyme Weak Regionally restricted euxassay_018017_17
TS23: metanephros Strong Regionally restricted euxassay_018017_17
TS23: adrenal cortex Moderate Regionally restricted euxassay_018017_17
TS23: telencephalon ventricular layer Strong Uniform euxassay_018017_17
TS23: pons ventricular layer Strong Regionally restricted euxassay_018017_17
TS23: rest of cerebellum ventricular layer Moderate Regionally restricted euxassay_018017_17
TS23: midbrain ventricular layer Strong Regionally restricted euxassay_018017_17
TS23: dorsal root ganglion Moderate Regionally restricted euxassay_018017_17
TS23: upper jaw molar Moderate Regionally restricted euxassay_018017_17
TS23: lower jaw molar Moderate Regionally restricted euxassay_018017_17
TS23: midgut Weak Regionally restricted euxassay_018017_17
TS23: stomach Weak Regionally restricted euxassay_018017_17
TS23: lung Weak Regionally restricted euxassay_018017_17

Specimen euxassay_018017_18: embryonic day 14.5 (more )
Structure Level Pattern Image Note
TS23: vibrissa Strong Regionally restricted euxassay_018017_18
TS23: embryo mesenchyme Weak Regionally restricted euxassay_018017_18
TS23: metanephros Strong Regionally restricted euxassay_018017_18
TS23: adrenal cortex Weak Regionally restricted euxassay_018017_18
TS23: telencephalon ventricular layer Strong Uniform euxassay_018017_18
TS23: pons ventricular layer Strong Regionally restricted euxassay_018017_18
TS23: rest of cerebellum ventricular layer Moderate Regionally restricted euxassay_018017_18
TS23: dorsal root ganglion Weak Regionally restricted euxassay_018017_18
TS23: foot mesenchyme Moderate Regionally restricted euxassay_018017_18
TS23: upper jaw molar Moderate Regionally restricted euxassay_018017_18
TS23: lower jaw molar Moderate Regionally restricted euxassay_018017_18
TS23: stomach Weak Regionally restricted euxassay_018017_18
TS23: lung Weak Regionally restricted euxassay_018017_18

Specimen euxassay_018017_19: embryonic day 14.5 (more )
Structure Level Pattern Image Note
TS23: vibrissa Strong Regionally restricted euxassay_018017_19
TS23: embryo mesenchyme Weak Regionally restricted euxassay_018017_19
TS23: metanephros Moderate Regionally restricted euxassay_018017_19
TS23: adrenal cortex Weak Regionally restricted euxassay_018017_19
TS23: telencephalon ventricular layer Strong Uniform euxassay_018017_19
TS23: rest of cerebellum ventricular layer Moderate Regionally restricted euxassay_018017_19
TS23: pons ventricular layer Moderate Regionally restricted euxassay_018017_19
TS23: foot mesenchyme Moderate Regionally restricted euxassay_018017_19
TS23: stomach Weak Regionally restricted euxassay_018017_19
TS23: lung Weak Regionally restricted euxassay_018017_19

Specimen euxassay_018017_20: embryonic day 14.5 (more )
Structure Level Pattern Image Note
TS23: vibrissa Strong Regionally restricted euxassay_018017_20
TS23: embryo mesenchyme Weak Regionally restricted euxassay_018017_20
TS23: telencephalon ventricular layer Strong Uniform euxassay_018017_20
TS23: hindlimb digit 1 phalanx Weak Regionally restricted euxassay_018017_20
TS23: hindlimb digit 2 phalanx Weak Regionally restricted euxassay_018017_20
TS23: hindlimb digit 4 phalanx Moderate Regionally restricted euxassay_018017_20
TS23: hindlimb digit 5 phalanx Moderate Regionally restricted euxassay_018017_20
TS23: stomach Weak Regionally restricted euxassay_018017_20
TS23: lung Weak Regionally restricted euxassay_018017_20

Specimen euxassay_018017_21: embryonic day 14.5 (more )
Structure Level Pattern Image Note
TS23: vibrissa Moderate Regionally restricted euxassay_018017_21
TS23: embryo mesenchyme Weak Regionally restricted euxassay_018017_21
TS23: telencephalon ventricular layer Strong Uniform euxassay_018017_21
TS23: hindlimb digit 3 phalanx Moderate Regionally restricted euxassay_018017_21
TS23: hindlimb digit 4 phalanx Moderate Regionally restricted euxassay_018017_21
TS23: stomach Weak Regionally restricted euxassay_018017_21
TS23: lung Weak Regionally restricted euxassay_018017_21

Specimen euxassay_018017_22: embryonic day 14.5 (more )
Structure Level Pattern Image Note
TS23: embryo mesenchyme Weak Regionally restricted euxassay_018017_22
TS23: telencephalon ventricular layer Strong Uniform euxassay_018017_22
TS23: hindlimb digit 2 phalanx Moderate Regionally restricted euxassay_018017_22
TS23: hindlimb digit 3 phalanx Moderate Regionally restricted euxassay_018017_22
TS23: hindlimb digit 4 phalanx Moderate Regionally restricted euxassay_018017_22
TS23: stomach Weak Regionally restricted euxassay_018017_22
TS23: lung Weak Regionally restricted euxassay_018017_22

Specimen euxassay_018017_23: embryonic day 14.5 (more )
Structure Level Pattern Image Note
TS23: embryo mesenchyme Weak Regionally restricted euxassay_018017_23
TS23: telencephalon ventricular layer Strong Uniform euxassay_018017_23
TS23: hand mesenchyme Moderate Regionally restricted euxassay_018017_23
TS23: stomach Weak Regionally restricted euxassay_018017_23
TS23: lung Weak Regionally restricted euxassay_018017_23

Specimen euxassay_018017_24: embryonic day 14.5 (more )
Structure Level Pattern Image Note
TS23: embryo mesenchyme Weak Regionally restricted euxassay_018017_24
TS23: telencephalon ventricular layer Strong Uniform euxassay_018017_24
TS23: hand mesenchyme Moderate Regionally restricted euxassay_018017_24
TS23: stomach Weak Regionally restricted euxassay_018017_24


Contributing Projects:
Mouse Genome Database (MGD), Gene Expression Database (GXD), Mouse Models of Human Cancer database (MMHCdb) (formerly Mouse Tumor Biology (MTB)), Gene Ontology (GO)
Citing These Resources
Funding Information
Warranty Disclaimer, Privacy Notice, Licensing, & Copyright
Send questions and comments to User Support.
last database update
01/28/2026
MGI 6.24
The Jackson Laboratory