About   Help   FAQ
Gene Expression Data
Assay Details
Assay
Reference: J:153498 Diez-Roux G, et al., A high-resolution anatomical atlas of the transcriptome in the mouse embryo. PLoS Biol. 2011;9(1):e1000582
Assay type: RNA in situ
MGI Accession ID: MGI:4824468
Gene symbol: Ect2
Gene name: epithelial cell transforming 2
Probe: MGC clone 36104
Probe preparation: Antisense labelled with digoxigenin RNA
Visualized with: Alkaline phosphatase
Assay notes: Cryosections of fresh frozen material were fixed in 4% paraformaldehyde for 20 min. before further processing. A tyramide-biotin/streptavidin amplification step was included in the in situ hybridization procedure.
Results
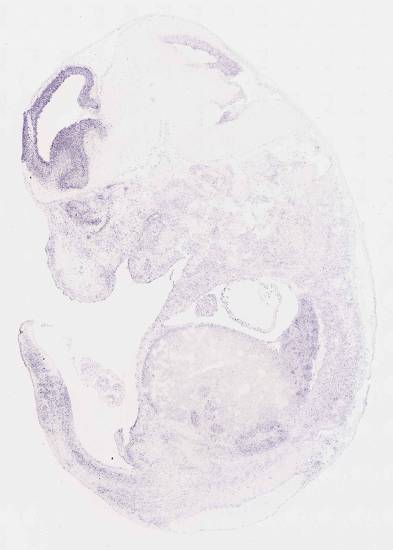
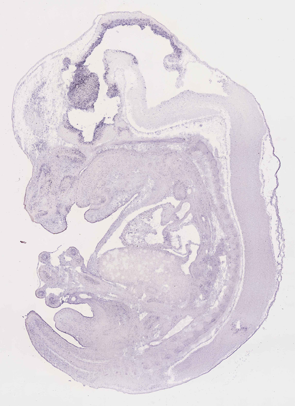
Specimen euxassay_004327_03: embryonic day 14.5 (more )
Structure Level Pattern Image Note
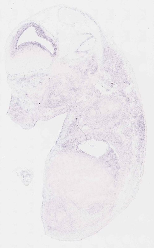
TS23: telencephalon ventricular layer Moderate Regionally restricted euxassay_004327_03

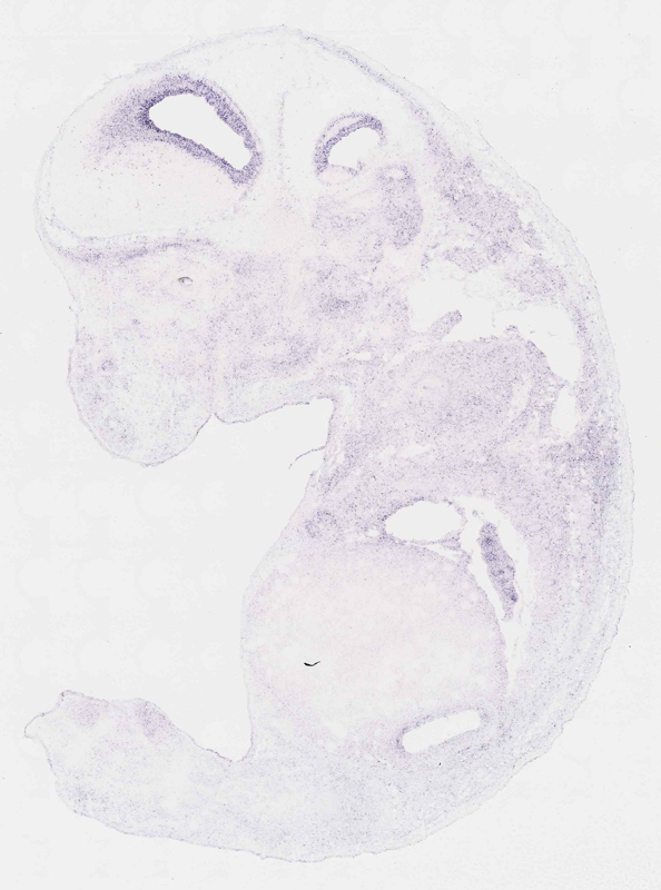
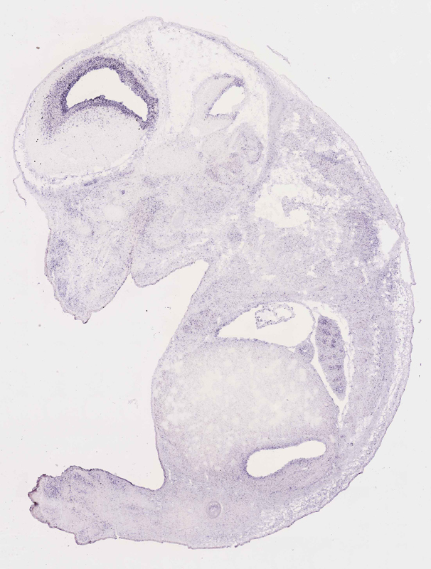
Specimen euxassay_004327_04: embryonic day 14.5 (more )
Structure Level Pattern Image Note
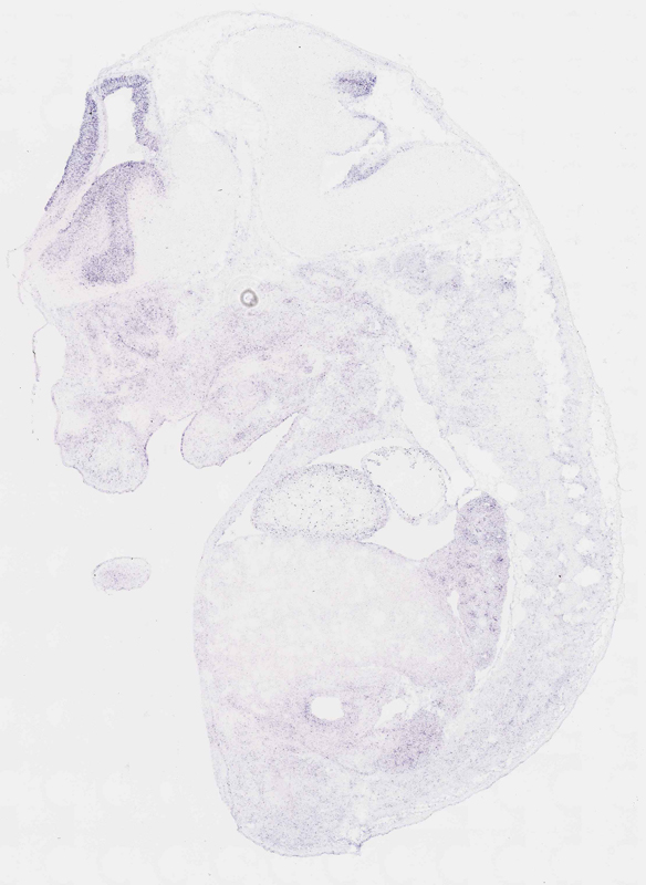
TS23: telencephalon ventricular layer Strong Regionally restricted euxassay_004327_04
TS23: rest of cerebellum marginal layer Moderate Regionally restricted euxassay_004327_04
TS23: rest of cerebellum ventricular layer Moderate Regionally restricted euxassay_004327_04

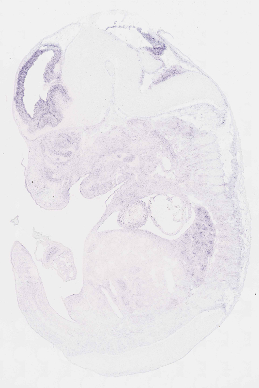
Specimen euxassay_004327_05: embryonic day 14.5 (more )
Structure Level Pattern Image Note
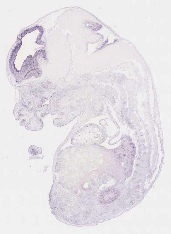
TS23: telencephalon ventricular layer Strong Regionally restricted euxassay_004327_05
TS23: rest of cerebellum ventricular layer Moderate Regionally restricted euxassay_004327_05
TS23: rest of cerebellum marginal layer Moderate Regionally restricted euxassay_004327_05

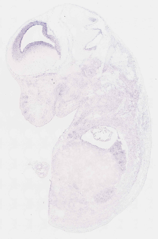
Specimen euxassay_004327_06: embryonic day 14.5 (more )
Structure Level Pattern Image Note
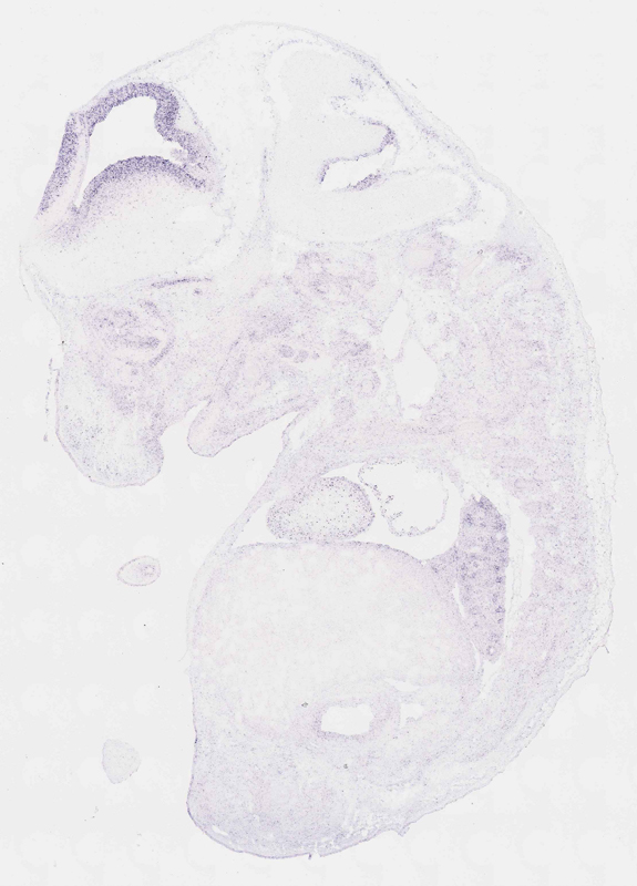
TS23: telencephalon ventricular layer Strong Regionally restricted euxassay_004327_06
TS23: rest of cerebellum ventricular layer Moderate Regionally restricted euxassay_004327_06
TS23: rest of cerebellum marginal layer Moderate Regionally restricted euxassay_004327_06

Specimen euxassay_004327_07: embryonic day 14.5 (more )
Structure Level Pattern Image Note
TS23: telencephalon ventricular layer Strong Regionally restricted euxassay_004327_07
TS23: rest of cerebellum ventricular layer Moderate Regionally restricted euxassay_004327_07
TS23: rest of cerebellum marginal layer Moderate Regionally restricted euxassay_004327_07

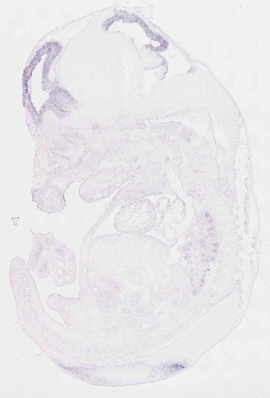
Specimen euxassay_004327_08: embryonic day 14.5 (more )
Structure Level Pattern Image Note
TS23: telencephalon ventricular layer Strong Regionally restricted euxassay_004327_08
TS23: rest of cerebellum ventricular layer Moderate Regionally restricted euxassay_004327_08
TS23: rest of cerebellum marginal layer Moderate Regionally restricted euxassay_004327_08
TS23: midbrain ventricular layer Strong Regionally restricted euxassay_004327_08

Specimen euxassay_004327_09: embryonic day 14.5 (more )
Structure Level Pattern Image Note
TS23: telencephalon ventricular layer Strong Regionally restricted euxassay_004327_09
TS23: olfactory cortex ventricular layer Strong Regionally restricted euxassay_004327_09
TS23: rest of cerebellum ventricular layer Moderate Regionally restricted euxassay_004327_09
TS23: rest of cerebellum marginal layer Moderate Regionally restricted euxassay_004327_09
TS23: midbrain ventricular layer Strong Regionally restricted euxassay_004327_09

Specimen euxassay_004327_10: embryonic day 14.5 (more )
Structure Level Pattern Image Note
TS23: olfactory cortex ventricular layer Strong Regionally restricted euxassay_004327_10
TS23: telencephalon ventricular layer Strong Regionally restricted euxassay_004327_10
TS23: midbrain ventricular layer Strong Regionally restricted euxassay_004327_10

Specimen euxassay_004327_11: embryonic day 14.5 (more )
Structure Level Pattern Image Note
TS23: telencephalon ventricular layer Strong Regionally restricted euxassay_004327_11
TS23: midbrain ventricular layer Strong Regionally restricted euxassay_004327_11
TS23: hypothalamus ventricular layer Strong Regionally restricted euxassay_004327_11

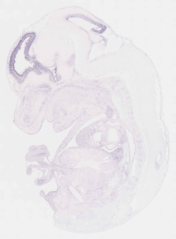
Specimen euxassay_004327_12: embryonic day 14.5 (more )
Structure Level Pattern Image Note
TS23: telencephalon ventricular layer Strong Regionally restricted euxassay_004327_12
TS23: hypothalamus ventricular layer Strong Regionally restricted euxassay_004327_12
TS23: diencephalon lateral wall ventricular layer Strong Regionally restricted euxassay_004327_12
TS23: midbrain ventricular layer Strong Regionally restricted euxassay_004327_12

Specimen euxassay_004327_13: embryonic day 14.5 (more )
Structure Level Pattern Image Note
TS23: hypothalamus ventricular layer Strong Regionally restricted euxassay_004327_13
TS23: diencephalon lateral wall ventricular layer Strong Regionally restricted euxassay_004327_13
TS23: midbrain ventricular layer Strong Regionally restricted euxassay_004327_13

Specimen euxassay_004327_14: embryonic day 14.5 (more )
Structure Level Pattern Image Note
TS23: olfactory cortex ventricular layer Strong Regionally restricted euxassay_004327_14
TS23: telencephalon ventricular layer Strong Regionally restricted euxassay_004327_14
TS23: rest of cerebellum marginal layer Moderate Regionally restricted euxassay_004327_14
TS23: midbrain ventricular layer Moderate Regionally restricted euxassay_004327_14
TS23: diencephalon lateral wall ventricular layer Moderate Regionally restricted euxassay_004327_14
TS23: hypothalamus ventricular layer Moderate Regionally restricted euxassay_004327_14

Specimen euxassay_004327_15: embryonic day 14.5 (more )
Structure Level Pattern Image Note
TS23: olfactory cortex ventricular layer Strong Regionally restricted euxassay_004327_15
TS23: telencephalon ventricular layer Strong Regionally restricted euxassay_004327_15
TS23: rest of cerebellum ventricular layer Moderate Regionally restricted euxassay_004327_15
TS23: rest of cerebellum marginal layer Moderate Regionally restricted euxassay_004327_15
TS23: midbrain ventricular layer Strong Regionally restricted euxassay_004327_15

Specimen euxassay_004327_16: embryonic day 14.5 (more )
Structure Level Pattern Image Note
TS23: olfactory cortex ventricular layer Strong Regionally restricted euxassay_004327_16
TS23: telencephalon ventricular layer Strong Regionally restricted euxassay_004327_16
TS23: rest of cerebellum ventricular layer Moderate Regionally restricted euxassay_004327_16
TS23: rest of cerebellum marginal layer Moderate Regionally restricted euxassay_004327_16
TS23: midbrain ventricular layer Strong Regionally restricted euxassay_004327_16

Specimen euxassay_004327_17: embryonic day 14.5 (more )
Structure Level Pattern Image Note
TS23: telencephalon ventricular layer Strong Regionally restricted euxassay_004327_17
TS23: rest of cerebellum ventricular layer Moderate Regionally restricted euxassay_004327_17
TS23: rest of cerebellum marginal layer Moderate Regionally restricted euxassay_004327_17
TS23: midbrain ventricular layer Moderate Regionally restricted euxassay_004327_17

Specimen euxassay_004327_18: embryonic day 14.5 (more )
Structure Level Pattern Image Note
TS23: telencephalon ventricular layer Strong Regionally restricted euxassay_004327_18
TS23: rest of cerebellum ventricular layer Moderate Regionally restricted euxassay_004327_18
TS23: rest of cerebellum marginal layer Moderate Regionally restricted euxassay_004327_18
TS23: midbrain ventricular layer Moderate Regionally restricted euxassay_004327_18

Specimen euxassay_004327_19: embryonic day 14.5 (more )
Structure Level Pattern Image Note
TS23: telencephalon ventricular layer Strong Regionally restricted euxassay_004327_19
TS23: rest of cerebellum marginal layer Moderate Regionally restricted euxassay_004327_19
TS23: rest of cerebellum ventricular layer Moderate Regionally restricted euxassay_004327_19
TS23: midbrain ventricular layer Moderate Regionally restricted euxassay_004327_19

Specimen euxassay_004327_20: embryonic day 14.5 (more )
Structure Level Pattern Image Note
TS23: telencephalon ventricular layer Strong Regionally restricted euxassay_004327_20
TS23: rest of cerebellum ventricular layer Moderate Regionally restricted euxassay_004327_20
TS23: rest of cerebellum marginal layer Moderate Regionally restricted euxassay_004327_20

Specimen euxassay_004327_21: embryonic day 14.5 (more )
Structure Level Pattern Image Note
TS23: telencephalon ventricular layer Strong Regionally restricted euxassay_004327_21
TS23: rest of cerebellum ventricular layer Moderate Regionally restricted euxassay_004327_21

Specimen euxassay_004327_22: embryonic day 14.5 (more )
Structure Level Pattern Image Note
TS23: telencephalon ventricular layer Strong Regionally restricted euxassay_004327_22

Specimen euxassay_004327_23: embryonic day 14.5 (more )
Structure Level Pattern Image Note
TS23: telencephalon ventricular layer Strong Regionally restricted euxassay_004327_23


Contributing Projects:
Mouse Genome Database (MGD), Gene Expression Database (GXD), Mouse Models of Human Cancer database (MMHCdb) (formerly Mouse Tumor Biology (MTB)), Gene Ontology (GO)
Citing These Resources
Funding Information
Warranty Disclaimer, Privacy Notice, Licensing, & Copyright
Send questions and comments to User Support.
last database update
12/30/2025
MGI 6.24
The Jackson Laboratory