About   Help   FAQ
Gene Expression Data
Assay Details
Assay
Reference: J:153498 Diez-Roux G, et al., A high-resolution anatomical atlas of the transcriptome in the mouse embryo. PLoS Biol. 2011;9(1):e1000582
Assay type: RNA in situ
MGI Accession ID: MGI:4824466
Gene symbol: Echs1
Gene name: enoyl Coenzyme A hydratase, short chain, 1, mitochondrial
Probe: IMAGE clone 1887728
Probe preparation: Antisense labelled with digoxigenin RNA
Visualized with: Alkaline phosphatase
Assay notes: Cryosections of fresh frozen material were fixed in 4% paraformaldehyde for 20 min. before further processing. A tyramide-biotin/streptavidin amplification step was included in the in situ hybridization procedure.
Results
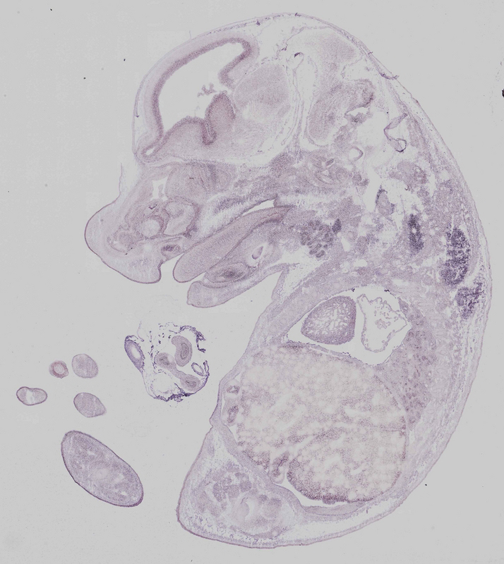
Specimen euxassay_001897_01: embryonic day 14.5 (more )
Structure Level Pattern Image Note
TS23: telencephalon ventricular layer Strong Uniform euxassay_001897_01

Specimen euxassay_001897_02: embryonic day 14.5 (more )
Structure Level Pattern Image Note
TS23: telencephalon ventricular layer Strong Uniform euxassay_001897_02

Specimen euxassay_001897_03: embryonic day 14.5 (more )
Structure Level Pattern Image Note
TS23: telencephalon ventricular layer Strong Uniform euxassay_001897_03
TS23: adrenal gland Moderate Regionally restricted euxassay_001897_03

Specimen euxassay_001897_04: embryonic day 14.5 (more )
Structure Level Pattern Image Note
TS23: telencephalon ventricular layer Strong Uniform euxassay_001897_04
TS23: adrenal gland Moderate Regionally restricted euxassay_001897_04

Specimen euxassay_001897_05: embryonic day 14.5 (more )
Structure Level Pattern Image Note
TS23: telencephalon ventricular layer Strong Uniform euxassay_001897_05
TS23: adrenal gland Moderate Regionally restricted euxassay_001897_05

Specimen euxassay_001897_06: embryonic day 14.5 (more )
Structure Level Pattern Image Note
TS23: telencephalon ventricular layer Strong Uniform euxassay_001897_06

Specimen euxassay_001897_07: embryonic day 14.5 (more )
Structure Level Pattern Image Note
TS23: telencephalon ventricular layer Strong Uniform euxassay_001897_07

Specimen euxassay_001897_08: embryonic day 14.5 (more )
Structure Level Pattern Image Note
TS23: telencephalon ventricular layer Strong Uniform euxassay_001897_08

Specimen euxassay_001897_09: embryonic day 14.5 (more )
Structure Level Pattern Image Note
TS23: telencephalon ventricular layer Strong Uniform euxassay_001897_09

Specimen euxassay_001897_10: embryonic day 14.5 (more )
Structure Level Pattern Image Note
TS23: telencephalon ventricular layer Strong Uniform euxassay_001897_10
TS23: olfactory cortex ventricular layer Strong Uniform euxassay_001897_10
TS23: adrenal gland Moderate Regionally restricted euxassay_001897_10

Specimen euxassay_001897_11: embryonic day 14.5 (more )
Structure Level Pattern Image Note
TS23: olfactory cortex ventricular layer Strong Uniform euxassay_001897_11
TS23: telencephalon ventricular layer Strong Uniform euxassay_001897_11
TS23: adrenal gland Moderate Regionally restricted euxassay_001897_11

Specimen euxassay_001897_13: embryonic day 14.5 (more )
Structure Level Pattern Image Note
TS23: telencephalon ventricular layer Strong Uniform euxassay_001897_13

Specimen euxassay_001897_14: embryonic day 14.5 (more )
Structure Level Pattern Image Note
TS23: telencephalon ventricular layer Strong Uniform euxassay_001897_14

Specimen euxassay_001897_15: embryonic day 14.5 (more )
Structure Level Pattern Image Note
TS23: olfactory cortex ventricular layer Strong Uniform euxassay_001897_15
TS23: telencephalon ventricular layer Strong Uniform euxassay_001897_15

Specimen euxassay_001897_16: embryonic day 14.5 (more )
Structure Level Pattern Image Note
TS23: olfactory cortex ventricular layer Strong Uniform euxassay_001897_16
TS23: telencephalon ventricular layer Strong Uniform euxassay_001897_16

Specimen euxassay_001897_17: embryonic day 14.5 (more )
Structure Level Pattern Image Note
TS23: telencephalon ventricular layer Strong Uniform euxassay_001897_17

Specimen euxassay_001897_18: embryonic day 14.5 (more )
Structure Level Pattern Image Note
TS23: telencephalon ventricular layer Strong Uniform euxassay_001897_18

Specimen euxassay_001897_19: embryonic day 14.5 (more )
Structure Level Pattern Image Note
TS23: telencephalon ventricular layer Strong Uniform euxassay_001897_19

Specimen euxassay_001897_20: embryonic day 14.5 (more )
Structure Level Pattern Image Note
TS23: telencephalon ventricular layer Strong Uniform euxassay_001897_20


Contributing Projects:
Mouse Genome Database (MGD), Gene Expression Database (GXD), Mouse Models of Human Cancer database (MMHCdb) (formerly Mouse Tumor Biology (MTB)), Gene Ontology (GO)
Citing These Resources
Funding Information
Warranty Disclaimer, Privacy Notice, Licensing, & Copyright
Send questions and comments to User Support.
last database update
12/30/2025
MGI 6.24
The Jackson Laboratory