About   Help   FAQ
Gene Expression Data
Assay Details
Assay
Reference: J:153498 Diez-Roux G, et al., A high-resolution anatomical atlas of the transcriptome in the mouse embryo. PLoS Biol. 2011;9(1):e1000582
Assay type: RNA in situ
MGI Accession ID: MGI:4824465
Gene symbol: Echs1
Gene name: enoyl Coenzyme A hydratase, short chain, 1, mitochondrial
Probe: IMAGE clone 1887728
Probe preparation: Antisense labelled with digoxigenin RNA
Visualized with: Alkaline phosphatase
Assay notes: Cryosections of fresh frozen material were fixed in 4% paraformaldehyde for 20 min. before further processing. A tyramide-biotin/streptavidin amplification step was included in the in situ hybridization procedure.
Results
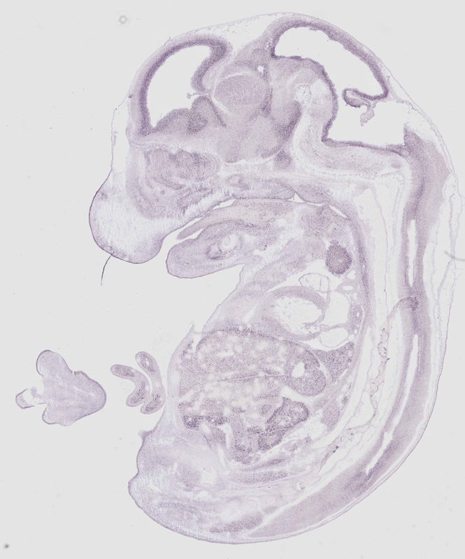
Specimen euxassay_006215_01: embryonic day 14.5 (more )
Structure Level Pattern Image Note
TS23: telencephalon ventricular layer Moderate Uniform euxassay_006215_01
TS23: axial musculature Moderate Regionally restricted euxassay_006215_01

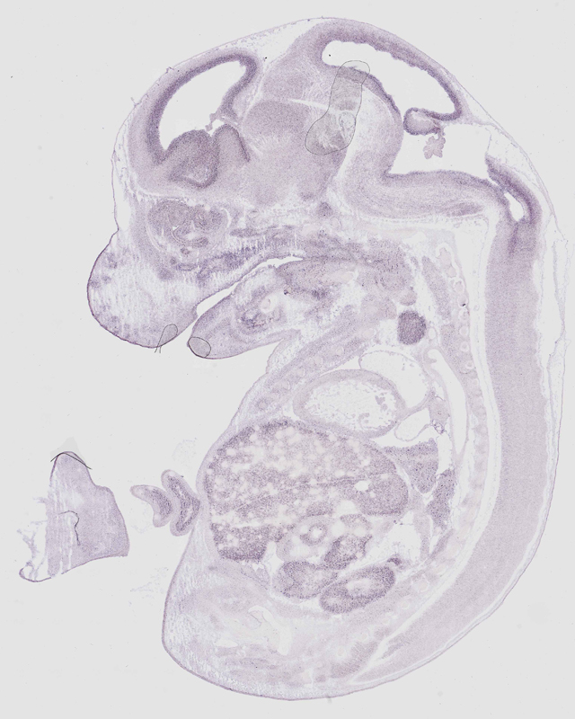
Specimen euxassay_006215_02: embryonic day 14.5 (more )
Structure Level Pattern Image Note
TS23: telencephalon ventricular layer Moderate Uniform euxassay_006215_02
TS23: axial musculature Moderate Regionally restricted euxassay_006215_02

Specimen euxassay_006215_03: embryonic day 14.5 (more )
Structure Level Pattern Image Note
TS23: telencephalon ventricular layer Moderate Uniform euxassay_006215_03
TS23: axial musculature Moderate Regionally restricted euxassay_006215_03

Specimen euxassay_006215_04: embryonic day 14.5 (more )
Structure Level Pattern Image Note
TS23: telencephalon ventricular layer Moderate Uniform euxassay_006215_04

Specimen euxassay_006215_05: embryonic day 14.5 (more )
Structure Level Pattern Image Note
TS23: telencephalon ventricular layer Moderate Uniform euxassay_006215_05
TS23: midbrain ventricular layer Moderate Uniform euxassay_006215_05

Specimen euxassay_006215_06: embryonic day 14.5 (more )
Structure Level Pattern Image Note
TS23: telencephalon ventricular layer Moderate Uniform euxassay_006215_06
TS23: midbrain ventricular layer Moderate Uniform euxassay_006215_06
TS23: submandibular gland primordium Moderate Regionally restricted euxassay_006215_06
TS23: renal cortex Moderate Regionally restricted euxassay_006215_06

Specimen euxassay_006215_07: embryonic day 14.5 (more )
Structure Level Pattern Image Note
TS23: telencephalon ventricular layer Moderate Uniform euxassay_006215_07
TS23: midbrain ventricular layer Moderate Uniform euxassay_006215_07
TS23: submandibular gland primordium Moderate Regionally restricted euxassay_006215_07
TS23: renal cortex Moderate Regionally restricted euxassay_006215_07
TS23: adrenal gland Moderate Regionally restricted euxassay_006215_07

Specimen euxassay_006215_08: embryonic day 14.5 (more )
Structure Level Pattern Image Note
TS23: telencephalon ventricular layer Moderate Uniform euxassay_006215_08
TS23: midbrain ventricular layer Moderate Uniform euxassay_006215_08
TS23: submandibular gland primordium Moderate Regionally restricted euxassay_006215_08
TS23: renal cortex Moderate Regionally restricted euxassay_006215_08
TS23: adrenal gland Moderate Regionally restricted euxassay_006215_08

Specimen euxassay_006215_09: embryonic day 14.5 (more )
Structure Level Pattern Image Note
TS23: telencephalon ventricular layer Moderate Uniform euxassay_006215_09
TS23: midbrain ventricular layer Moderate Uniform euxassay_006215_09
TS23: submandibular gland primordium Moderate Regionally restricted euxassay_006215_09
TS23: renal cortex Moderate Regionally restricted euxassay_006215_09
TS23: adrenal gland Moderate Regionally restricted euxassay_006215_09

Specimen euxassay_006215_10: embryonic day 14.5 (more )
Structure Level Pattern Image Note
TS23: telencephalon ventricular layer Moderate Uniform euxassay_006215_10
TS23: midbrain ventricular layer Moderate Uniform euxassay_006215_10
TS23: thymus primordium Moderate Uniform euxassay_006215_10
TS23: renal cortex Moderate Regionally restricted euxassay_006215_10

Specimen euxassay_006215_11: embryonic day 14.5 (more )
Structure Level Pattern Image Note
TS23: telencephalon ventricular layer Moderate Uniform euxassay_006215_11
TS23: olfactory cortex ventricular layer Moderate Uniform euxassay_006215_11
TS23: diencephalon lateral wall ventricular layer Moderate Uniform euxassay_006215_11
TS23: midbrain ventricular layer Moderate Uniform euxassay_006215_11
TS23: thymus primordium Moderate Uniform euxassay_006215_11

Specimen euxassay_006215_12: embryonic day 14.5 (more )
Structure Level Pattern Image Note
TS23: olfactory cortex ventricular layer Moderate Uniform euxassay_006215_12
TS23: telencephalon ventricular layer Moderate Uniform euxassay_006215_12
TS23: hypothalamus ventricular layer Moderate Uniform euxassay_006215_12
TS23: diencephalon lateral wall ventricular layer Moderate Uniform euxassay_006215_12
TS23: midbrain ventricular layer Moderate Uniform euxassay_006215_12
TS23: thymus primordium Moderate Uniform euxassay_006215_12

Specimen euxassay_006215_13: embryonic day 14.5 (more )
Structure Level Pattern Image Note
TS23: olfactory cortex ventricular layer Moderate Uniform euxassay_006215_13
TS23: telencephalon ventricular layer Moderate Uniform euxassay_006215_13
TS23: diencephalon lateral wall ventricular layer Moderate Uniform euxassay_006215_13
TS23: hypothalamus ventricular layer Moderate Uniform euxassay_006215_13
TS23: midbrain ventricular layer Moderate Uniform euxassay_006215_13
TS23: thymus primordium Moderate Uniform euxassay_006215_13

Specimen euxassay_006215_14: embryonic day 14.5 (more )
Structure Level Pattern Image Note
TS23: hypothalamus ventricular layer Moderate Uniform euxassay_006215_14
TS23: diencephalon lateral wall ventricular layer Moderate Uniform euxassay_006215_14
TS23: midbrain ventricular layer Moderate Uniform euxassay_006215_14
TS23: thymus primordium Moderate Uniform euxassay_006215_14

Specimen euxassay_006215_15: embryonic day 14.5 (more )
Structure Level Pattern Image Note
TS23: telencephalon ventricular layer Moderate Uniform euxassay_006215_15
TS23: thymus primordium Moderate Uniform euxassay_006215_15
TS23: adrenal gland Moderate Regionally restricted euxassay_006215_15

Specimen euxassay_006215_16: embryonic day 14.5 (more )
Structure Level Pattern Image Note
TS23: telencephalon ventricular layer Moderate Uniform euxassay_006215_16
TS23: renal cortex Moderate Regionally restricted euxassay_006215_16
TS23: adrenal gland Moderate Regionally restricted euxassay_006215_16

Specimen euxassay_006215_17: embryonic day 14.5 (more )
Structure Level Pattern Image Note
TS23: telencephalon ventricular layer Moderate Uniform euxassay_006215_17
TS23: olfactory cortex ventricular layer Moderate Uniform euxassay_006215_17
TS23: submandibular gland primordium Moderate Regionally restricted euxassay_006215_17
TS23: renal cortex Moderate Regionally restricted euxassay_006215_17
TS23: adrenal gland Moderate Regionally restricted euxassay_006215_17

Specimen euxassay_006215_18: embryonic day 14.5 (more )
Structure Level Pattern Image Note
TS23: olfactory cortex ventricular layer Moderate Uniform euxassay_006215_18
TS23: telencephalon ventricular layer Moderate Uniform euxassay_006215_18
TS23: submandibular gland primordium Moderate Regionally restricted euxassay_006215_18
TS23: renal cortex Moderate Regionally restricted euxassay_006215_18
TS23: axial musculature Moderate Regionally restricted euxassay_006215_18

Specimen euxassay_006215_19: embryonic day 14.5 (more )
Structure Level Pattern Image Note
TS23: telencephalon ventricular layer Moderate Uniform euxassay_006215_19
TS23: olfactory cortex ventricular layer Moderate Uniform euxassay_006215_19
TS23: submandibular gland primordium Moderate Regionally restricted euxassay_006215_19
TS23: renal cortex Moderate Regionally restricted euxassay_006215_19
TS23: axial musculature Moderate Regionally restricted euxassay_006215_19

Specimen euxassay_006215_20: embryonic day 14.5 (more )
Structure Level Pattern Image Note
TS23: telencephalon ventricular layer Moderate Uniform euxassay_006215_20
TS23: submandibular gland primordium Moderate Regionally restricted euxassay_006215_20
TS23: renal cortex Moderate Regionally restricted euxassay_006215_20
TS23: axial musculature Moderate Regionally restricted euxassay_006215_20

Specimen euxassay_006215_21: embryonic day 14.5 (more )
Structure Level Pattern Image Note
TS23: telencephalon ventricular layer Moderate Uniform euxassay_006215_21
TS23: axial musculature Moderate Regionally restricted euxassay_006215_21

Specimen euxassay_006215_22: embryonic day 14.5 (more )
Structure Level Pattern Image Note
TS23: telencephalon ventricular layer Moderate Uniform euxassay_006215_22

Specimen euxassay_006215_23: embryonic day 14.5 (more )
Structure Level Pattern Image Note
TS23: telencephalon ventricular layer Moderate Uniform euxassay_006215_23


Contributing Projects:
Mouse Genome Database (MGD), Gene Expression Database (GXD), Mouse Models of Human Cancer database (MMHCdb) (formerly Mouse Tumor Biology (MTB)), Gene Ontology (GO)
Citing These Resources
Funding Information
Warranty Disclaimer, Privacy Notice, Licensing, & Copyright
Send questions and comments to User Support.
last database update
05/12/2026
MGI 6.24
The Jackson Laboratory