About   Help   FAQ
Gene Expression Data
Assay Details
Assay
Reference: J:153498 Diez-Roux G, et al., A high-resolution anatomical atlas of the transcriptome in the mouse embryo. PLoS Biol. 2011;9(1):e1000582
Assay type: RNA in situ
MGI Accession ID: MGI:4824458
Gene symbol: Ebf3
Gene name: early B cell factor 3
Probe: IMAGE clone 1511771
Probe preparation: Antisense labelled with digoxigenin RNA
Visualized with: Alkaline phosphatase
Assay notes: Cryosections of fresh frozen material were fixed in 4% paraformaldehyde for 20 min. before further processing. A tyramide-biotin/streptavidin amplification step was included in the in situ hybridization procedure.
Results
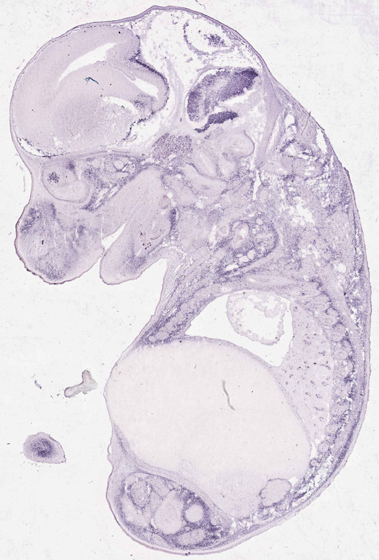
Specimen euxassay_005263_01: embryonic day 14.5 (more )
Structure Level Pattern Image Note
TS23: neural retina Strong Regionally restricted euxassay_005263_01
TS23: rest of cerebellum mantle layer Strong Uniform euxassay_005263_01
TS23: telencephalon meninges Moderate Regionally restricted euxassay_005263_01
TS23: lung Moderate Regionally restricted euxassay_005263_01
TS23: embryo mesenchyme Moderate Regionally restricted euxassay_005263_01

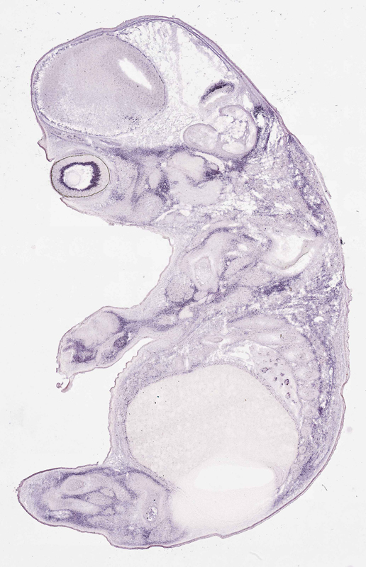
Specimen euxassay_005263_02: embryonic day 14.5 (more )
Structure Level Pattern Image Note
TS23: neural retina Strong Regionally restricted euxassay_005263_02
TS23: rest of cerebellum mantle layer Strong Uniform euxassay_005263_02
TS23: telencephalon meninges Moderate Regionally restricted euxassay_005263_02
TS23: trigeminal ganglion Moderate Regionally restricted euxassay_005263_02
TS23: hand Moderate Regionally restricted euxassay_005263_02
TS23: lung Weak Regionally restricted euxassay_005263_02
TS23: embryo mesenchyme Moderate Regionally restricted euxassay_005263_02

Specimen euxassay_005263_03: embryonic day 14.5 (more )
Structure Level Pattern Image Note
TS23: neural retina Strong Regionally restricted euxassay_005263_03
TS23: rest of cerebellum mantle layer Strong Uniform euxassay_005263_03
TS23: midbrain mantle layer Strong Uniform euxassay_005263_03
TS23: telencephalon meninges Strong Regionally restricted euxassay_005263_03
TS23: trigeminal ganglion Moderate Regionally restricted euxassay_005263_03
TS23: hand Moderate Regionally restricted euxassay_005263_03
TS23: lung Weak Regionally restricted euxassay_005263_03
TS23: embryo mesenchyme Moderate Regionally restricted euxassay_005263_03

Specimen euxassay_005263_04: embryonic day 14.5 (more )
Structure Level Pattern Image Note
TS23: midbrain mantle layer Strong Uniform euxassay_005263_04
TS23: rest of cerebellum mantle layer Strong Uniform euxassay_005263_04
TS23: pons mantle layer Strong Uniform euxassay_005263_04
TS23: telencephalon meninges Moderate Regionally restricted euxassay_005263_04
TS23: trigeminal ganglion Moderate Regionally restricted euxassay_005263_04
TS23: hand Moderate Regionally restricted euxassay_005263_04
TS23: foot Moderate Regionally restricted euxassay_005263_04
TS23: lung Weak Regionally restricted euxassay_005263_04
TS23: embryo mesenchyme Moderate Regionally restricted euxassay_005263_04

Specimen euxassay_005263_05: embryonic day 14.5 (more )
Structure Level Pattern Image Note
TS23: vibrissa Strong Regionally restricted euxassay_005263_05
TS23: dorsal root ganglion Moderate Regionally restricted euxassay_005263_05
TS23: pons mantle layer Strong Uniform euxassay_005263_05
TS23: rest of cerebellum mantle layer Strong Uniform euxassay_005263_05
TS23: midbrain mantle layer Strong Uniform euxassay_005263_05
TS23: medulla oblongata alar plate mantle layer Strong Uniform euxassay_005263_05
TS23: medulla oblongata basal plate mantle layer Strong Uniform euxassay_005263_05
TS23: telencephalon meninges Moderate Regionally restricted euxassay_005263_05
TS23: trigeminal nerve Moderate Regionally restricted euxassay_005263_05
TS23: trigeminal ganglion Moderate Regionally restricted euxassay_005263_05
TS23: foot Moderate Regionally restricted euxassay_005263_05
TS23: lung Weak Regionally restricted euxassay_005263_05
TS23: embryo mesenchyme Moderate Regionally restricted euxassay_005263_05

Specimen euxassay_005263_06: embryonic day 14.5 (more )
Structure Level Pattern Image Note
TS23: vibrissa Strong Regionally restricted euxassay_005263_06
TS23: dorsal root ganglion Moderate Regionally restricted euxassay_005263_06
TS23: midbrain mantle layer Strong Uniform euxassay_005263_06
TS23: pons mantle layer Strong Uniform euxassay_005263_06
TS23: rest of cerebellum mantle layer Strong Uniform euxassay_005263_06
TS23: medulla oblongata basal plate mantle layer Strong Uniform euxassay_005263_06
TS23: medulla oblongata alar plate mantle layer Strong Uniform euxassay_005263_06
TS23: diencephalon lateral wall mantle layer Strong Regionally restricted euxassay_005263_06
TS23: telencephalon meninges Moderate Regionally restricted euxassay_005263_06
TS23: trigeminal nerve Moderate Regionally restricted euxassay_005263_06
TS23: trigeminal ganglion Moderate Regionally restricted euxassay_005263_06
TS23: foot Moderate Regionally restricted euxassay_005263_06
TS23: lung Weak Regionally restricted euxassay_005263_06
TS23: embryo mesenchyme Moderate Regionally restricted euxassay_005263_06

Specimen euxassay_005263_07: embryonic day 14.5 (more )
Structure Level Pattern Image Note
TS23: vibrissa Moderate Regionally restricted euxassay_005263_07
TS23: olfactory epithelium Strong Regionally restricted euxassay_005263_07
TS23: dorsal root ganglion Strong Regionally restricted euxassay_005263_07
TS23: midbrain mantle layer Strong Uniform euxassay_005263_07
TS23: pons mantle layer Strong Uniform euxassay_005263_07
TS23: rest of cerebellum mantle layer Strong Uniform euxassay_005263_07
TS23: spinal cord mantle layer Strong Uniform euxassay_005263_07
TS23: medulla oblongata basal plate mantle layer Strong Uniform euxassay_005263_07
TS23: medulla oblongata alar plate mantle layer Strong Uniform euxassay_005263_07
TS23: diencephalon lateral wall mantle layer Strong Regionally restricted euxassay_005263_07
TS23: hypothalamus mantle layer Strong Regionally restricted euxassay_005263_07
TS23: telencephalon meninges Moderate Regionally restricted euxassay_005263_07
TS23: sternum Moderate Regionally restricted euxassay_005263_07
TS23: trigeminal ganglion Moderate Regionally restricted euxassay_005263_07
TS23: trigeminal nerve Moderate Regionally restricted euxassay_005263_07
TS23: foot Moderate Regionally restricted euxassay_005263_07
TS23: lung Weak Regionally restricted euxassay_005263_07
TS23: embryo mesenchyme Moderate Regionally restricted euxassay_005263_07

Specimen euxassay_005263_08: embryonic day 14.5 (more )
Structure Level Pattern Image Note
TS23: olfactory epithelium Strong Regionally restricted euxassay_005263_08
TS23: dorsal root ganglion Moderate Regionally restricted euxassay_005263_08
TS23: midbrain mantle layer Strong Uniform euxassay_005263_08
TS23: pons mantle layer Strong Uniform euxassay_005263_08
TS23: rest of cerebellum mantle layer Strong Uniform euxassay_005263_08
TS23: spinal cord mantle layer Strong Uniform euxassay_005263_08
TS23: medulla oblongata basal plate mantle layer Strong Uniform euxassay_005263_08
TS23: medulla oblongata alar plate mantle layer Strong Uniform euxassay_005263_08
TS23: diencephalon lateral wall mantle layer Strong Regionally restricted euxassay_005263_08
TS23: hypothalamus mantle layer Strong Regionally restricted euxassay_005263_08
TS23: telencephalon meninges Moderate Regionally restricted euxassay_005263_08
TS23: sternum Moderate Regionally restricted euxassay_005263_08
TS23: lung Weak Regionally restricted euxassay_005263_08

Specimen euxassay_005263_09: embryonic day 14.5 (more )
Structure Level Pattern Image Note
TS23: olfactory epithelium Strong Regionally restricted euxassay_005263_09
TS23: dorsal root ganglion Moderate Regionally restricted euxassay_005263_09
TS23: midbrain mantle layer Strong Uniform euxassay_005263_09
TS23: pons mantle layer Strong Uniform euxassay_005263_09
TS23: rest of cerebellum mantle layer Strong Uniform euxassay_005263_09
TS23: spinal cord mantle layer Strong Uniform euxassay_005263_09
TS23: medulla oblongata basal plate mantle layer Strong Uniform euxassay_005263_09
TS23: medulla oblongata alar plate mantle layer Strong Uniform euxassay_005263_09
TS23: diencephalon lateral wall mantle layer Strong Regionally restricted euxassay_005263_09
TS23: hypothalamus mantle layer Strong Regionally restricted euxassay_005263_09
TS23: telencephalon meninges Moderate Regionally restricted euxassay_005263_09
TS23: sternum Moderate Regionally restricted euxassay_005263_09
TS23: lung Weak Regionally restricted euxassay_005263_09

Specimen euxassay_005263_10: embryonic day 14.5 (more )
Structure Level Pattern Image Note
TS23: olfactory epithelium Strong Regionally restricted euxassay_005263_10
TS23: midbrain mantle layer Strong Uniform euxassay_005263_10
TS23: pons mantle layer Strong Uniform euxassay_005263_10
TS23: rest of cerebellum mantle layer Strong Uniform euxassay_005263_10
TS23: spinal cord mantle layer Strong Uniform euxassay_005263_10
TS23: medulla oblongata basal plate mantle layer Strong Uniform euxassay_005263_10
TS23: medulla oblongata alar plate mantle layer Strong Uniform euxassay_005263_10
TS23: diencephalon lateral wall mantle layer Strong Regionally restricted euxassay_005263_10
TS23: hypothalamus mantle layer Strong Regionally restricted euxassay_005263_10
TS23: telencephalon meninges Moderate Regionally restricted euxassay_005263_10
TS23: sternum Moderate Regionally restricted euxassay_005263_10
TS23: lung Weak Regionally restricted euxassay_005263_10

Specimen euxassay_005263_11: embryonic day 14.5 (more )
Structure Level Pattern Image Note
TS23: olfactory epithelium Strong Regionally restricted euxassay_005263_11
TS23: vomeronasal organ Strong Regionally restricted euxassay_005263_11
TS23: midbrain mantle layer Strong Uniform euxassay_005263_11
TS23: pons mantle layer Strong Uniform euxassay_005263_11
TS23: rest of cerebellum mantle layer Strong Uniform euxassay_005263_11
TS23: spinal cord mantle layer Strong Uniform euxassay_005263_11
TS23: medulla oblongata basal plate mantle layer Strong Uniform euxassay_005263_11
TS23: medulla oblongata alar plate mantle layer Strong Uniform euxassay_005263_11
TS23: diencephalon lateral wall mantle layer Strong Regionally restricted euxassay_005263_11
TS23: hypothalamus mantle layer Strong Regionally restricted euxassay_005263_11
TS23: telencephalon meninges Moderate Regionally restricted euxassay_005263_11
TS23: sternum Moderate Regionally restricted euxassay_005263_11
TS23: lung Weak Regionally restricted euxassay_005263_11
TS23: tongue muscle Weak Regionally restricted euxassay_005263_11

Specimen euxassay_005263_12: embryonic day 14.5 (more )
Structure Level Pattern Image Note
TS23: midbrain mantle layer Strong Uniform euxassay_005263_12
TS23: pons mantle layer Strong Uniform euxassay_005263_12
TS23: rest of cerebellum mantle layer Strong Uniform euxassay_005263_12
TS23: spinal cord mantle layer Strong Uniform euxassay_005263_12
TS23: medulla oblongata basal plate mantle layer Strong Uniform euxassay_005263_12
TS23: medulla oblongata alar plate mantle layer Strong Uniform euxassay_005263_12
TS23: diencephalon lateral wall mantle layer Strong Regionally restricted euxassay_005263_12
TS23: hypothalamus mantle layer Strong Regionally restricted euxassay_005263_12
TS23: telencephalon meninges Moderate Regionally restricted euxassay_005263_12
TS23: lung Weak Regionally restricted euxassay_005263_12
TS23: embryo mesenchyme Moderate Regionally restricted euxassay_005263_12
TS23: tongue muscle Weak Regionally restricted euxassay_005263_12

Specimen euxassay_005263_13: embryonic day 14.5 (more )
Structure Level Pattern Image Note
TS23: olfactory epithelium Strong Regionally restricted euxassay_005263_13
TS23: dorsal root ganglion Moderate Regionally restricted euxassay_005263_13
TS23: midbrain mantle layer Strong Uniform euxassay_005263_13
TS23: pons mantle layer Strong Uniform euxassay_005263_13
TS23: rest of cerebellum mantle layer Strong Uniform euxassay_005263_13
TS23: spinal cord mantle layer Strong Uniform euxassay_005263_13
TS23: medulla oblongata basal plate mantle layer Strong Uniform euxassay_005263_13
TS23: medulla oblongata alar plate mantle layer Strong Uniform euxassay_005263_13
TS23: diencephalon lateral wall mantle layer Strong Regionally restricted euxassay_005263_13
TS23: hypothalamus mantle layer Strong Regionally restricted euxassay_005263_13
TS23: telencephalon meninges Moderate Regionally restricted euxassay_005263_13
TS23: sternum Moderate Regionally restricted euxassay_005263_13
TS23: lung Weak Regionally restricted euxassay_005263_13
TS23: embryo mesenchyme Moderate Regionally restricted euxassay_005263_13
TS23: tongue muscle Weak Regionally restricted euxassay_005263_13

Specimen euxassay_005263_14: embryonic day 14.5 (more )
Structure Level Pattern Image Note
TS23: olfactory epithelium Strong Regionally restricted euxassay_005263_14
TS23: vomeronasal organ Strong Regionally restricted euxassay_005263_14
TS23: dorsal root ganglion Moderate Regionally restricted euxassay_005263_14
TS23: midbrain mantle layer Strong Uniform euxassay_005263_14
TS23: pons mantle layer Strong Uniform euxassay_005263_14
TS23: rest of cerebellum mantle layer Strong Uniform euxassay_005263_14
TS23: medulla oblongata basal plate mantle layer Strong Uniform euxassay_005263_14
TS23: medulla oblongata alar plate mantle layer Strong Uniform euxassay_005263_14
TS23: spinal cord mantle layer Strong Uniform euxassay_005263_14
TS23: diencephalon lateral wall mantle layer Strong Regionally restricted euxassay_005263_14
TS23: hypothalamus mantle layer Strong Regionally restricted euxassay_005263_14
TS23: telencephalon meninges Moderate Regionally restricted euxassay_005263_14
TS23: sternum Moderate Regionally restricted euxassay_005263_14
TS23: lung Weak Regionally restricted euxassay_005263_14
TS23: embryo mesenchyme Moderate Regionally restricted euxassay_005263_14
TS23: tongue muscle Weak Regionally restricted euxassay_005263_14

Specimen euxassay_005263_15: embryonic day 14.5 (more )
Structure Level Pattern Image Note
TS23: olfactory epithelium Strong Regionally restricted euxassay_005263_15
TS23: dorsal root ganglion Moderate Regionally restricted euxassay_005263_15
TS23: midbrain mantle layer Strong Uniform euxassay_005263_15
TS23: pons mantle layer Strong Uniform euxassay_005263_15
TS23: rest of cerebellum mantle layer Strong Uniform euxassay_005263_15
TS23: medulla oblongata alar plate mantle layer Strong Uniform euxassay_005263_15
TS23: medulla oblongata basal plate mantle layer Strong Uniform euxassay_005263_15
TS23: telencephalon meninges Moderate Regionally restricted euxassay_005263_15
TS23: sternum Moderate Regionally restricted euxassay_005263_15
TS23: trigeminal ganglion Moderate Regionally restricted euxassay_005263_15
TS23: lung Weak Regionally restricted euxassay_005263_15
TS23: embryo mesenchyme Moderate Regionally restricted euxassay_005263_15

Specimen euxassay_005263_16: embryonic day 14.5 (more )
Structure Level Pattern Image Note
TS23: olfactory epithelium Strong Regionally restricted euxassay_005263_16
TS23: midbrain mantle layer Strong Uniform euxassay_005263_16
TS23: pons mantle layer Strong Uniform euxassay_005263_16
TS23: rest of cerebellum mantle layer Strong Uniform euxassay_005263_16
TS23: telencephalon meninges Moderate Regionally restricted euxassay_005263_16
TS23: trigeminal ganglion Moderate Regionally restricted euxassay_005263_16
TS23: lung Weak Regionally restricted euxassay_005263_16
TS23: embryo mesenchyme Moderate Regionally restricted euxassay_005263_16

Specimen euxassay_005263_17: embryonic day 14.5 (more )
Structure Level Pattern Image Note
TS23: vibrissa Moderate Regionally restricted euxassay_005263_17
TS23: olfactory epithelium Strong Regionally restricted euxassay_005263_17
TS23: pons mantle layer Strong Uniform euxassay_005263_17
TS23: rest of cerebellum mantle layer Strong Uniform euxassay_005263_17
TS23: telencephalon meninges Moderate Regionally restricted euxassay_005263_17
TS23: trigeminal ganglion Moderate Regionally restricted euxassay_005263_17
TS23: lung Weak Regionally restricted euxassay_005263_17
TS23: embryo mesenchyme Moderate Regionally restricted euxassay_005263_17

Specimen euxassay_005263_18: embryonic day 14.5 (more )
Structure Level Pattern Image Note
TS23: vibrissa Strong Regionally restricted euxassay_005263_18
TS23: rest of cerebellum mantle layer Strong Uniform euxassay_005263_18
TS23: telencephalon meninges Moderate Regionally restricted euxassay_005263_18
TS23: trigeminal ganglion Moderate Regionally restricted euxassay_005263_18
TS23: trigeminal nerve Moderate Regionally restricted euxassay_005263_18
TS23: foot Moderate Regionally restricted euxassay_005263_18
TS23: lung Weak Regionally restricted euxassay_005263_18
TS23: embryo mesenchyme Moderate Regionally restricted euxassay_005263_18

Specimen euxassay_005263_19: embryonic day 14.5 (more )
Structure Level Pattern Image Note
TS23: vibrissa Strong Regionally restricted euxassay_005263_19
TS23: rest of cerebellum mantle layer Strong Uniform euxassay_005263_19
TS23: telencephalon meninges Moderate Regionally restricted euxassay_005263_19
TS23: trigeminal ganglion Moderate Regionally restricted euxassay_005263_19
TS23: foot Moderate Regionally restricted euxassay_005263_19
TS23: lung Weak Regionally restricted euxassay_005263_19
TS23: embryo mesenchyme Moderate Regionally restricted euxassay_005263_19

Specimen euxassay_005263_20: embryonic day 14.5 (more )
Structure Level Pattern Image Note
TS23: neural retina Strong Regionally restricted euxassay_005263_20
TS23: vibrissa Strong Regionally restricted euxassay_005263_20
TS23: telencephalon meninges Strong Regionally restricted euxassay_005263_20
TS23: trigeminal ganglion Moderate Regionally restricted euxassay_005263_20
TS23: foot Moderate Regionally restricted euxassay_005263_20
TS23: upper leg rest of mesenchyme Moderate Regionally restricted euxassay_005263_20
TS23: lung Weak Regionally restricted euxassay_005263_20
TS23: embryo mesenchyme Moderate Regionally restricted euxassay_005263_20

Specimen euxassay_005263_21: embryonic day 14.5 (more )
Structure Level Pattern Image Note
TS23: neural retina Strong Regionally restricted euxassay_005263_21
TS23: telencephalon meninges Strong Regionally restricted euxassay_005263_21
TS23: foot Moderate Regionally restricted euxassay_005263_21
TS23: upper leg rest of mesenchyme Moderate Regionally restricted euxassay_005263_21
TS23: lung Weak Regionally restricted euxassay_005263_21
TS23: embryo mesenchyme Moderate Regionally restricted euxassay_005263_21

Specimen euxassay_005263_22: embryonic day 14.5 (more )
Structure Level Pattern Image Note
TS23: neural retina Strong Regionally restricted euxassay_005263_22
TS23: telencephalon meninges Strong Regionally restricted euxassay_005263_22
TS23: hand Moderate Regionally restricted euxassay_005263_22
TS23: upper leg rest of mesenchyme Moderate Regionally restricted euxassay_005263_22
TS23: embryo mesenchyme Moderate Regionally restricted euxassay_005263_22

Specimen euxassay_005263_23: embryonic day 14.5 (more )
Structure Level Pattern Image Note
TS23: neural retina Strong Regionally restricted euxassay_005263_23
TS23: hand Moderate Regionally restricted euxassay_005263_23
TS23: upper leg rest of mesenchyme Moderate Regionally restricted euxassay_005263_23
TS23: embryo mesenchyme Moderate Regionally restricted euxassay_005263_23


Contributing Projects:
Mouse Genome Database (MGD), Gene Expression Database (GXD), Mouse Models of Human Cancer database (MMHCdb) (formerly Mouse Tumor Biology (MTB)), Gene Ontology (GO)
Citing These Resources
Funding Information
Warranty Disclaimer, Privacy Notice, Licensing, & Copyright
Send questions and comments to User Support.
last database update
12/30/2025
MGI 6.24
The Jackson Laboratory