About   Help   FAQ
Gene Expression Data
Assay Details
Assay
Reference: J:153498 Diez-Roux G, et al., A high-resolution anatomical atlas of the transcriptome in the mouse embryo. PLoS Biol. 2011;9(1):e1000582
Assay type: RNA in situ
MGI Accession ID: MGI:4824455
Gene symbol: Washc5
Gene name: WASH complex subunit 5
Probe: MGC clone 91381
Probe preparation: Antisense labelled with digoxigenin RNA
Visualized with: Alkaline phosphatase
Assay notes: Cryosections of fresh frozen material were fixed in 4% paraformaldehyde for 20 min. before further processing. A tyramide-biotin/streptavidin amplification step was included in the in situ hybridization procedure.
Results
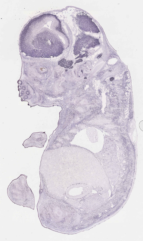
Specimen euxassay_005959_01: embryonic day 14.5 (more )
Structure Level Pattern Image Note
TS23: neural retina Moderate Regionally restricted euxassay_005959_01
TS23: telencephalon Strong Regionally restricted euxassay_005959_01
TS23: stomach Moderate Regionally restricted euxassay_005959_01

Specimen euxassay_005959_02: embryonic day 14.5 (more )
Structure Level Pattern Image Note
TS23: neural retina Moderate Regionally restricted euxassay_005959_02
TS23: cerebral cortex mantle layer Strong Regionally restricted euxassay_005959_02
TS23: cerebral cortex marginal layer Strong Regionally restricted euxassay_005959_02
TS23: telencephalon mantle layer Strong Regionally restricted euxassay_005959_02
TS23: telencephalon marginal layer Strong Regionally restricted euxassay_005959_02
TS23: stomach Moderate Regionally restricted euxassay_005959_02

Specimen euxassay_005959_03: embryonic day 14.5 (more )
Structure Level Pattern Image Note
TS23: neural retina Moderate Regionally restricted euxassay_005959_03
TS23: cerebral cortex mantle layer Strong Regionally restricted euxassay_005959_03
TS23: cerebral cortex marginal layer Strong Regionally restricted euxassay_005959_03
TS23: telencephalon mantle layer Strong Regionally restricted euxassay_005959_03
TS23: telencephalon marginal layer Strong Regionally restricted euxassay_005959_03
TS23: rest of cerebellum mantle layer Strong Regionally restricted euxassay_005959_03
TS23: trigeminal ganglion Strong Uniform euxassay_005959_03
TS23: stomach Moderate Regionally restricted euxassay_005959_03

Specimen euxassay_005959_04: embryonic day 14.5 (more )
Structure Level Pattern Image Note
TS23: neural retina Moderate Regionally restricted euxassay_005959_04
TS23: vibrissa Moderate Regionally restricted euxassay_005959_04
TS23: cerebral cortex mantle layer Strong Regionally restricted euxassay_005959_04
TS23: cerebral cortex marginal layer Strong Regionally restricted euxassay_005959_04
TS23: telencephalon mantle layer Strong Regionally restricted euxassay_005959_04
TS23: telencephalon marginal layer Strong Regionally restricted euxassay_005959_04
TS23: midbrain Strong Regionally restricted euxassay_005959_04
TS23: rest of cerebellum mantle layer Strong Regionally restricted euxassay_005959_04
TS23: rest of cerebellum marginal layer Strong Regionally restricted euxassay_005959_04
TS23: pons mantle layer Strong Regionally restricted euxassay_005959_04
TS23: pons marginal layer Strong Regionally restricted euxassay_005959_04
TS23: facial ganglion Strong Uniform euxassay_005959_04
TS23: trigeminal ganglion Strong Uniform euxassay_005959_04
TS23: stomach Moderate Regionally restricted euxassay_005959_04

Specimen euxassay_005959_05: embryonic day 14.5 (more )
Structure Level Pattern Image Note
TS23: vibrissa Moderate Regionally restricted euxassay_005959_05
TS23: dorsal root ganglion Strong Regionally restricted euxassay_005959_05
TS23: cerebral cortex mantle layer Strong Regionally restricted euxassay_005959_05
TS23: cerebral cortex marginal layer Strong Regionally restricted euxassay_005959_05
TS23: telencephalon mantle layer Strong Regionally restricted euxassay_005959_05
TS23: telencephalon marginal layer Strong Regionally restricted euxassay_005959_05
TS23: midbrain Strong Regionally restricted euxassay_005959_05
TS23: rest of cerebellum mantle layer Strong Regionally restricted euxassay_005959_05
TS23: rest of cerebellum marginal layer Strong Regionally restricted euxassay_005959_05
TS23: pons mantle layer Strong Regionally restricted euxassay_005959_05
TS23: pons marginal layer Strong Regionally restricted euxassay_005959_05
TS23: trigeminal ganglion Strong Uniform euxassay_005959_05
TS23: facial ganglion Strong Uniform euxassay_005959_05
TS23: vestibulo-cochlear ganglion Strong Uniform euxassay_005959_05
TS23: glossopharyngeal ganglion Strong Uniform euxassay_005959_05
TS23: stomach Weak Regionally restricted euxassay_005959_05

Specimen euxassay_005959_06: embryonic day 14.5 (more )
Structure Level Pattern Image Note
TS23: vibrissa Moderate Regionally restricted euxassay_005959_06
TS23: dorsal root ganglion Strong Regionally restricted euxassay_005959_06
TS23: cerebral cortex mantle layer Strong Regionally restricted euxassay_005959_06
TS23: cerebral cortex marginal layer Strong Regionally restricted euxassay_005959_06
TS23: telencephalon mantle layer Strong Regionally restricted euxassay_005959_06
TS23: telencephalon marginal layer Strong Regionally restricted euxassay_005959_06
TS23: midbrain mantle layer Strong Regionally restricted euxassay_005959_06
TS23: midbrain marginal layer Strong Regionally restricted euxassay_005959_06
TS23: medulla oblongata alar plate mantle layer Strong Regionally restricted euxassay_005959_06
TS23: medulla oblongata alar plate marginal layer Strong Regionally restricted euxassay_005959_06
TS23: medulla oblongata basal plate mantle layer Strong Regionally restricted euxassay_005959_06
TS23: medulla oblongata basal plate marginal layer Strong Regionally restricted euxassay_005959_06
TS23: rest of cerebellum mantle layer Strong Regionally restricted euxassay_005959_06
TS23: rest of cerebellum marginal layer Strong Regionally restricted euxassay_005959_06
TS23: pons mantle layer Strong Regionally restricted euxassay_005959_06
TS23: pons marginal layer Strong Regionally restricted euxassay_005959_06
TS23: facial ganglion Strong Uniform euxassay_005959_06
TS23: trigeminal ganglion Strong Uniform euxassay_005959_06
TS23: glossopharyngeal ganglion Strong Uniform euxassay_005959_06
TS23: vestibulo-cochlear ganglion Strong Uniform euxassay_005959_06
TS23: stomach Moderate Regionally restricted euxassay_005959_06

Specimen euxassay_005959_07: embryonic day 14.5 (more )
Structure Level Pattern Image Note
TS23: dorsal root ganglion Strong Regionally restricted euxassay_005959_07
TS23: cerebral cortex mantle layer Strong Regionally restricted euxassay_005959_07
TS23: cerebral cortex marginal layer Strong Regionally restricted euxassay_005959_07
TS23: telencephalon mantle layer Strong Regionally restricted euxassay_005959_07
TS23: telencephalon marginal layer Strong Regionally restricted euxassay_005959_07
TS23: midbrain mantle layer Strong Regionally restricted euxassay_005959_07
TS23: midbrain marginal layer Strong Regionally restricted euxassay_005959_07
TS23: medulla oblongata alar plate mantle layer Strong Regionally restricted euxassay_005959_07
TS23: medulla oblongata alar plate marginal layer Strong Regionally restricted euxassay_005959_07
TS23: medulla oblongata basal plate mantle layer Strong Regionally restricted euxassay_005959_07
TS23: medulla oblongata basal plate marginal layer Strong Regionally restricted euxassay_005959_07
TS23: rest of cerebellum mantle layer Strong Regionally restricted euxassay_005959_07
TS23: rest of cerebellum marginal layer Strong Regionally restricted euxassay_005959_07
TS23: pons mantle layer Strong Regionally restricted euxassay_005959_07
TS23: pons marginal layer Strong Regionally restricted euxassay_005959_07
TS23: spinal cord Strong Regionally restricted euxassay_005959_07
TS23: vagus ganglion Strong Uniform euxassay_005959_07
TS23: vestibulo-cochlear ganglion Strong Uniform euxassay_005959_07
TS23: glossopharyngeal ganglion Strong Uniform euxassay_005959_07
TS23: trigeminal ganglion Strong Uniform euxassay_005959_07
TS23: facial ganglion Strong Uniform euxassay_005959_07
TS23: cervical ganglion Strong Uniform euxassay_005959_07
TS23: stomach Moderate Regionally restricted euxassay_005959_07

Specimen euxassay_005959_08: embryonic day 14.5 (more )
Structure Level Pattern Image Note
TS23: dorsal root ganglion Strong Regionally restricted euxassay_005959_08
TS23: cerebral cortex mantle layer Strong Regionally restricted euxassay_005959_08
TS23: cerebral cortex marginal layer Strong Regionally restricted euxassay_005959_08
TS23: telencephalon mantle layer Strong Regionally restricted euxassay_005959_08
TS23: telencephalon marginal layer Strong Regionally restricted euxassay_005959_08
TS23: diencephalon lateral wall mantle layer Strong Regionally restricted euxassay_005959_08
TS23: diencephalon lateral wall marginal layer Strong Regionally restricted euxassay_005959_08
TS23: midbrain mantle layer Strong Regionally restricted euxassay_005959_08
TS23: midbrain marginal layer Strong Regionally restricted euxassay_005959_08
TS23: medulla oblongata alar plate mantle layer Strong Regionally restricted euxassay_005959_08
TS23: medulla oblongata alar plate marginal layer Strong Regionally restricted euxassay_005959_08
TS23: rest of cerebellum mantle layer Strong Regionally restricted euxassay_005959_08
TS23: rest of cerebellum marginal layer Strong Regionally restricted euxassay_005959_08
TS23: medulla oblongata basal plate marginal layer Strong Regionally restricted euxassay_005959_08
TS23: medulla oblongata basal plate mantle layer Strong Regionally restricted euxassay_005959_08
TS23: pons mantle layer Strong Regionally restricted euxassay_005959_08
TS23: pons marginal layer Strong Regionally restricted euxassay_005959_08
TS23: spinal cord mantle layer Strong Regionally restricted euxassay_005959_08
TS23: spinal cord marginal layer Strong Regionally restricted euxassay_005959_08
TS23: trigeminal ganglion Strong Uniform euxassay_005959_08
TS23: vestibulo-cochlear ganglion Strong Uniform euxassay_005959_08
TS23: cervical ganglion Strong Uniform euxassay_005959_08
TS23: cervico-thoracic ganglion Strong Uniform euxassay_005959_08
TS23: stomach Moderate Regionally restricted euxassay_005959_08
TS23: testis Weak Regionally restricted euxassay_005959_08

Specimen euxassay_005959_09: embryonic day 14.5 (more )
Structure Level Pattern Image Note
TS23: cerebral cortex mantle layer Strong Regionally restricted euxassay_005959_09
TS23: cerebral cortex marginal layer Strong Regionally restricted euxassay_005959_09
TS23: telencephalon mantle layer Strong Regionally restricted euxassay_005959_09
TS23: telencephalon marginal layer Strong Regionally restricted euxassay_005959_09
TS23: diencephalon lateral wall mantle layer Strong Regionally restricted euxassay_005959_09
TS23: diencephalon lateral wall marginal layer Strong Regionally restricted euxassay_005959_09
TS23: midbrain mantle layer Strong Regionally restricted euxassay_005959_09
TS23: midbrain marginal layer Strong Regionally restricted euxassay_005959_09
TS23: medulla oblongata alar plate mantle layer Strong Regionally restricted euxassay_005959_09
TS23: medulla oblongata alar plate marginal layer Strong Regionally restricted euxassay_005959_09
TS23: medulla oblongata basal plate mantle layer Strong Regionally restricted euxassay_005959_09
TS23: medulla oblongata basal plate marginal layer Strong Regionally restricted euxassay_005959_09
TS23: rest of cerebellum mantle layer Strong Regionally restricted euxassay_005959_09
TS23: rest of cerebellum marginal layer Strong Regionally restricted euxassay_005959_09
TS23: pons mantle layer Strong Regionally restricted euxassay_005959_09
TS23: pons marginal layer Strong Regionally restricted euxassay_005959_09
TS23: spinal cord mantle layer Strong Regionally restricted euxassay_005959_09
TS23: spinal cord marginal layer Strong Regionally restricted euxassay_005959_09
TS23: olfactory epithelium Moderate Regionally restricted euxassay_005959_09
TS23: trigeminal nerve Strong Uniform euxassay_005959_09
TS23: trigeminal ganglion Strong Uniform euxassay_005959_09
TS23: cervico-thoracic ganglion Strong Uniform euxassay_005959_09
TS23: thoracic ganglion Strong Uniform euxassay_005959_09
TS23: stomach Moderate Regionally restricted euxassay_005959_09
TS23: glans of male genital tubercle Moderate Regionally restricted euxassay_005959_09
TS23: testis Moderate Regionally restricted euxassay_005959_09

Specimen euxassay_005959_10: embryonic day 14.5 (more )
Structure Level Pattern Image Note
TS23: cerebral cortex mantle layer Strong Regionally restricted euxassay_005959_10
TS23: cerebral cortex marginal layer Strong Regionally restricted euxassay_005959_10
TS23: telencephalon mantle layer Strong Regionally restricted euxassay_005959_10
TS23: telencephalon marginal layer Strong Regionally restricted euxassay_005959_10
TS23: diencephalon lateral wall mantle layer Strong Regionally restricted euxassay_005959_10
TS23: diencephalon lateral wall marginal layer Strong Regionally restricted euxassay_005959_10
TS23: midbrain mantle layer Strong Regionally restricted euxassay_005959_10
TS23: midbrain marginal layer Strong Regionally restricted euxassay_005959_10
TS23: medulla oblongata alar plate mantle layer Strong Regionally restricted euxassay_005959_10
TS23: medulla oblongata alar plate marginal layer Strong Regionally restricted euxassay_005959_10
TS23: medulla oblongata basal plate mantle layer Strong Regionally restricted euxassay_005959_10
TS23: medulla oblongata basal plate marginal layer Strong Regionally restricted euxassay_005959_10
TS23: rest of cerebellum mantle layer Strong Regionally restricted euxassay_005959_10
TS23: rest of cerebellum marginal layer Strong Regionally restricted euxassay_005959_10
TS23: pons mantle layer Strong Regionally restricted euxassay_005959_10
TS23: pons marginal layer Strong Regionally restricted euxassay_005959_10
TS23: spinal cord mantle layer Strong Regionally restricted euxassay_005959_10
TS23: spinal cord marginal layer Strong Regionally restricted euxassay_005959_10
TS23: olfactory epithelium Strong Regionally restricted euxassay_005959_10
TS23: thoracic ganglion Moderate Regionally restricted euxassay_005959_10
TS23: tongue muscle Weak Regionally restricted euxassay_005959_10
TS23: glans of male genital tubercle Moderate Regionally restricted euxassay_005959_10

Specimen euxassay_005959_11: embryonic day 14.5 (more )
Structure Level Pattern Image Note
TS23: cerebral cortex mantle layer Strong Regionally restricted euxassay_005959_11
TS23: cerebral cortex marginal layer Strong Regionally restricted euxassay_005959_11
TS23: telencephalon mantle layer Strong Regionally restricted euxassay_005959_11
TS23: telencephalon marginal layer Strong Regionally restricted euxassay_005959_11
TS23: midbrain mantle layer Strong Regionally restricted euxassay_005959_11
TS23: midbrain marginal layer Strong Regionally restricted euxassay_005959_11
TS23: diencephalon lateral wall mantle layer Strong Regionally restricted euxassay_005959_11
TS23: diencephalon lateral wall marginal layer Strong Regionally restricted euxassay_005959_11
TS23: medulla oblongata alar plate mantle layer Strong Regionally restricted euxassay_005959_11
TS23: medulla oblongata alar plate marginal layer Strong Regionally restricted euxassay_005959_11
TS23: medulla oblongata basal plate mantle layer Strong Regionally restricted euxassay_005959_11
TS23: medulla oblongata basal plate marginal layer Strong Regionally restricted euxassay_005959_11
TS23: rest of cerebellum mantle layer Strong Regionally restricted euxassay_005959_11
TS23: rest of cerebellum marginal layer Strong Regionally restricted euxassay_005959_11
TS23: pons mantle layer Strong Regionally restricted euxassay_005959_11
TS23: pons marginal layer Strong Regionally restricted euxassay_005959_11
TS23: spinal cord mantle layer Strong Regionally restricted euxassay_005959_11
TS23: spinal cord marginal layer Strong Regionally restricted euxassay_005959_11
TS23: olfactory epithelium Moderate Regionally restricted euxassay_005959_11
TS23: thoracic ganglion Moderate Regionally restricted euxassay_005959_11
TS23: tongue muscle Weak Regionally restricted euxassay_005959_11
TS23: glans of male genital tubercle Moderate Regionally restricted euxassay_005959_11

Specimen euxassay_005959_12: embryonic day 14.5 (more )
Structure Level Pattern Image Note
TS23: dorsal root ganglion Strong Regionally restricted euxassay_005959_12
TS23: cerebral cortex mantle layer Strong Regionally restricted euxassay_005959_12
TS23: cerebral cortex marginal layer Strong Regionally restricted euxassay_005959_12
TS23: telencephalon mantle layer Strong Regionally restricted euxassay_005959_12
TS23: telencephalon marginal layer Strong Regionally restricted euxassay_005959_12
TS23: diencephalon lateral wall mantle layer Strong Regionally restricted euxassay_005959_12
TS23: diencephalon lateral wall marginal layer Strong Regionally restricted euxassay_005959_12
TS23: midbrain mantle layer Strong Regionally restricted euxassay_005959_12
TS23: midbrain marginal layer Strong Regionally restricted euxassay_005959_12
TS23: medulla oblongata alar plate mantle layer Strong Regionally restricted euxassay_005959_12
TS23: medulla oblongata alar plate marginal layer Strong Regionally restricted euxassay_005959_12
TS23: medulla oblongata basal plate mantle layer Strong Regionally restricted euxassay_005959_12
TS23: medulla oblongata basal plate marginal layer Strong Regionally restricted euxassay_005959_12
TS23: rest of cerebellum mantle layer Strong Regionally restricted euxassay_005959_12
TS23: rest of cerebellum marginal layer Strong Regionally restricted euxassay_005959_12
TS23: pons mantle layer Strong Regionally restricted euxassay_005959_12
TS23: pons marginal layer Strong Regionally restricted euxassay_005959_12
TS23: spinal cord mantle layer Strong Regionally restricted euxassay_005959_12
TS23: spinal cord marginal layer Strong Regionally restricted euxassay_005959_12
TS23: olfactory epithelium Moderate Regionally restricted euxassay_005959_12
TS23: nasal septum Moderate Regionally restricted euxassay_005959_12
TS23: cervico-thoracic ganglion Moderate Regionally restricted euxassay_005959_12
TS23: tongue muscle Weak Regionally restricted euxassay_005959_12
TS23: glans of male genital tubercle Moderate Regionally restricted euxassay_005959_12

Specimen euxassay_005959_13: embryonic day 14.5 (more )
Structure Level Pattern Image Note
TS23: dorsal root ganglion Strong Regionally restricted euxassay_005959_13
TS23: cerebral cortex mantle layer Strong Regionally restricted euxassay_005959_13
TS23: cerebral cortex marginal layer Strong Regionally restricted euxassay_005959_13
TS23: telencephalon mantle layer Strong Regionally restricted euxassay_005959_13
TS23: telencephalon marginal layer Strong Regionally restricted euxassay_005959_13
TS23: diencephalon lateral wall mantle layer Strong Regionally restricted euxassay_005959_13
TS23: diencephalon lateral wall marginal layer Strong Regionally restricted euxassay_005959_13
TS23: midbrain mantle layer Strong Regionally restricted euxassay_005959_13
TS23: midbrain marginal layer Strong Regionally restricted euxassay_005959_13
TS23: medulla oblongata alar plate mantle layer Strong Regionally restricted euxassay_005959_13
TS23: medulla oblongata alar plate marginal layer Strong Regionally restricted euxassay_005959_13
TS23: medulla oblongata basal plate mantle layer Strong Regionally restricted euxassay_005959_13
TS23: medulla oblongata basal plate marginal layer Strong Regionally restricted euxassay_005959_13
TS23: rest of cerebellum mantle layer Strong Regionally restricted euxassay_005959_13
TS23: rest of cerebellum marginal layer Strong Regionally restricted euxassay_005959_13
TS23: pons mantle layer Strong Regionally restricted euxassay_005959_13
TS23: pons marginal layer Strong Regionally restricted euxassay_005959_13
TS23: spinal cord mantle layer Strong Regionally restricted euxassay_005959_13
TS23: spinal cord marginal layer Strong Regionally restricted euxassay_005959_13
TS23: cervico-thoracic ganglion Moderate Regionally restricted euxassay_005959_13
TS23: tongue muscle Moderate Regionally restricted euxassay_005959_13
TS23: glans of male genital tubercle Moderate Regionally restricted euxassay_005959_13

Specimen euxassay_005959_14: embryonic day 14.5 (more )
Structure Level Pattern Image Note
TS23: dorsal root ganglion Strong Regionally restricted euxassay_005959_14
TS23: telencephalon mantle layer Strong Regionally restricted euxassay_005959_14
TS23: telencephalon marginal layer Strong Regionally restricted euxassay_005959_14
TS23: cerebral cortex mantle layer Strong Regionally restricted euxassay_005959_14
TS23: cerebral cortex marginal layer Strong Regionally restricted euxassay_005959_14
TS23: diencephalon lateral wall mantle layer Strong Regionally restricted euxassay_005959_14
TS23: diencephalon lateral wall marginal layer Strong Regionally restricted euxassay_005959_14
TS23: midbrain mantle layer Strong Regionally restricted euxassay_005959_14
TS23: midbrain marginal layer Strong Regionally restricted euxassay_005959_14
TS23: medulla oblongata alar plate mantle layer Strong Regionally restricted euxassay_005959_14
TS23: medulla oblongata alar plate marginal layer Strong Regionally restricted euxassay_005959_14
TS23: medulla oblongata basal plate mantle layer Strong Regionally restricted euxassay_005959_14
TS23: medulla oblongata basal plate marginal layer Strong Regionally restricted euxassay_005959_14
TS23: rest of cerebellum mantle layer Strong Regionally restricted euxassay_005959_14
TS23: rest of cerebellum marginal layer Strong Regionally restricted euxassay_005959_14
TS23: pons mantle layer Strong Regionally restricted euxassay_005959_14
TS23: pons marginal layer Strong Regionally restricted euxassay_005959_14
TS23: spinal cord mantle layer Strong Regionally restricted euxassay_005959_14
TS23: spinal cord marginal layer Strong Regionally restricted euxassay_005959_14
TS23: olfactory epithelium Moderate Regionally restricted euxassay_005959_14
TS23: cervico-thoracic ganglion Moderate Regionally restricted euxassay_005959_14
TS23: tongue muscle Moderate Regionally restricted euxassay_005959_14

Specimen euxassay_005959_15: embryonic day 14.5 (more )
Structure Level Pattern Image Note
TS23: dorsal root ganglion Strong Regionally restricted euxassay_005959_15
TS23: cerebral cortex mantle layer Strong Regionally restricted euxassay_005959_15
TS23: cerebral cortex marginal layer Strong Regionally restricted euxassay_005959_15
TS23: telencephalon mantle layer Strong Regionally restricted euxassay_005959_15
TS23: telencephalon marginal layer Strong Regionally restricted euxassay_005959_15
TS23: diencephalon lateral wall mantle layer Strong Regionally restricted euxassay_005959_15
TS23: diencephalon lateral wall marginal layer Strong Regionally restricted euxassay_005959_15
TS23: midbrain mantle layer Strong Regionally restricted euxassay_005959_15
TS23: midbrain marginal layer Strong Regionally restricted euxassay_005959_15
TS23: medulla oblongata alar plate mantle layer Strong Regionally restricted euxassay_005959_15
TS23: medulla oblongata alar plate marginal layer Strong Regionally restricted euxassay_005959_15
TS23: medulla oblongata basal plate mantle layer Strong Regionally restricted euxassay_005959_15
TS23: medulla oblongata basal plate marginal layer Strong Regionally restricted euxassay_005959_15
TS23: rest of cerebellum mantle layer Strong Regionally restricted euxassay_005959_15
TS23: rest of cerebellum marginal layer Strong Regionally restricted euxassay_005959_15
TS23: pons mantle layer Strong Regionally restricted euxassay_005959_15
TS23: pons marginal layer Strong Regionally restricted euxassay_005959_15
TS23: spinal cord mantle layer Strong Regionally restricted euxassay_005959_15
TS23: spinal cord marginal layer Strong Regionally restricted euxassay_005959_15
TS23: olfactory epithelium Moderate Regionally restricted euxassay_005959_15
TS23: nasal septum Moderate Regionally restricted euxassay_005959_15
TS23: cervico-thoracic ganglion Moderate Regionally restricted euxassay_005959_15
TS23: tongue muscle Moderate Regionally restricted euxassay_005959_15

Specimen euxassay_005959_16: embryonic day 14.5 (more )
Structure Level Pattern Image Note
TS23: dorsal root ganglion Strong Regionally restricted euxassay_005959_16
TS23: cerebral cortex mantle layer Strong Regionally restricted euxassay_005959_16
TS23: cerebral cortex marginal layer Strong Regionally restricted euxassay_005959_16
TS23: telencephalon mantle layer Strong Regionally restricted euxassay_005959_16
TS23: telencephalon marginal layer Strong Regionally restricted euxassay_005959_16
TS23: diencephalon lateral wall mantle layer Strong Regionally restricted euxassay_005959_16
TS23: diencephalon lateral wall marginal layer Strong Regionally restricted euxassay_005959_16
TS23: midbrain mantle layer Strong Regionally restricted euxassay_005959_16
TS23: midbrain marginal layer Strong Regionally restricted euxassay_005959_16
TS23: medulla oblongata basal plate mantle layer Strong Regionally restricted euxassay_005959_16
TS23: medulla oblongata basal plate marginal layer Strong Regionally restricted euxassay_005959_16
TS23: rest of cerebellum mantle layer Strong Regionally restricted euxassay_005959_16
TS23: rest of cerebellum marginal layer Strong Regionally restricted euxassay_005959_16
TS23: pons mantle layer Strong Regionally restricted euxassay_005959_16
TS23: pons marginal layer Strong Regionally restricted euxassay_005959_16
TS23: medulla oblongata alar plate mantle layer Strong Regionally restricted euxassay_005959_16
TS23: medulla oblongata alar plate marginal layer Strong Regionally restricted euxassay_005959_16
TS23: nasal septum Moderate Regionally restricted euxassay_005959_16
TS23: olfactory epithelium Moderate Regionally restricted euxassay_005959_16
TS23: cervical ganglion Strong Regionally restricted euxassay_005959_16
TS23: tongue muscle Weak Regionally restricted euxassay_005959_16

Specimen euxassay_005959_17: embryonic day 14.5 (more )
Structure Level Pattern Image Note
TS23: dorsal root ganglion Strong Regionally restricted euxassay_005959_17
TS23: cerebral cortex mantle layer Strong Regionally restricted euxassay_005959_17
TS23: cerebral cortex marginal layer Strong Regionally restricted euxassay_005959_17
TS23: telencephalon mantle layer Strong Regionally restricted euxassay_005959_17
TS23: telencephalon marginal layer Strong Regionally restricted euxassay_005959_17
TS23: diencephalon lateral wall mantle layer Strong Regionally restricted euxassay_005959_17
TS23: diencephalon lateral wall marginal layer Strong Regionally restricted euxassay_005959_17
TS23: midbrain mantle layer Strong Regionally restricted euxassay_005959_17
TS23: midbrain marginal layer Strong Regionally restricted euxassay_005959_17
TS23: medulla oblongata basal plate mantle layer Strong Regionally restricted euxassay_005959_17
TS23: medulla oblongata basal plate marginal layer Strong Regionally restricted euxassay_005959_17
TS23: rest of cerebellum mantle layer Strong Regionally restricted euxassay_005959_17
TS23: rest of cerebellum marginal layer Strong Regionally restricted euxassay_005959_17
TS23: pons mantle layer Strong Regionally restricted euxassay_005959_17
TS23: pons marginal layer Strong Regionally restricted euxassay_005959_17
TS23: medulla oblongata alar plate mantle layer Strong Regionally restricted euxassay_005959_17
TS23: medulla oblongata alar plate marginal layer Strong Regionally restricted euxassay_005959_17
TS23: olfactory epithelium Moderate Regionally restricted euxassay_005959_17
TS23: vestibulo-cochlear ganglion Strong Uniform euxassay_005959_17
TS23: trigeminal ganglion Strong Uniform euxassay_005959_17
TS23: glossopharyngeal ganglion Strong Uniform euxassay_005959_17
TS23: vagus ganglion Strong Uniform euxassay_005959_17
TS23: trigeminal nerve Strong Uniform euxassay_005959_17
TS23: cervical ganglion Strong Regionally restricted euxassay_005959_17

Specimen euxassay_005959_18: embryonic day 14.5 (more )
Structure Level Pattern Image Note
TS23: cerebral cortex mantle layer Strong Regionally restricted euxassay_005959_18
TS23: cerebral cortex marginal layer Strong Regionally restricted euxassay_005959_18
TS23: telencephalon mantle layer Strong Regionally restricted euxassay_005959_18
TS23: telencephalon marginal layer Strong Regionally restricted euxassay_005959_18
TS23: diencephalon lateral wall mantle layer Strong Regionally restricted euxassay_005959_18
TS23: diencephalon lateral wall marginal layer Strong Regionally restricted euxassay_005959_18
TS23: midbrain mantle layer Strong Regionally restricted euxassay_005959_18
TS23: midbrain marginal layer Strong Regionally restricted euxassay_005959_18
TS23: rest of cerebellum mantle layer Strong Regionally restricted euxassay_005959_18
TS23: rest of cerebellum marginal layer Strong Regionally restricted euxassay_005959_18
TS23: pons mantle layer Strong Regionally restricted euxassay_005959_18
TS23: pons marginal layer Strong Regionally restricted euxassay_005959_18
TS23: medulla oblongata basal plate mantle layer Strong Regionally restricted euxassay_005959_18
TS23: medulla oblongata basal plate marginal layer Strong Regionally restricted euxassay_005959_18
TS23: olfactory epithelium Moderate Regionally restricted euxassay_005959_18
TS23: trigeminal ganglion Strong Uniform euxassay_005959_18
TS23: vestibulo-cochlear ganglion Strong Uniform euxassay_005959_18
TS23: glossopharyngeal ganglion Strong Uniform euxassay_005959_18

Specimen euxassay_005959_19: embryonic day 14.5 (more )
Structure Level Pattern Image Note
TS23: cerebral cortex mantle layer Strong Regionally restricted euxassay_005959_19
TS23: cerebral cortex marginal layer Strong Regionally restricted euxassay_005959_19
TS23: telencephalon mantle layer Strong Regionally restricted euxassay_005959_19
TS23: telencephalon marginal layer Strong Regionally restricted euxassay_005959_19
TS23: midbrain Strong Regionally restricted euxassay_005959_19
TS23: rest of cerebellum mantle layer Strong Regionally restricted euxassay_005959_19
TS23: rest of cerebellum marginal layer Strong Regionally restricted euxassay_005959_19
TS23: pons mantle layer Strong Regionally restricted euxassay_005959_19
TS23: pons marginal layer Strong Regionally restricted euxassay_005959_19
TS23: trigeminal ganglion Strong Uniform euxassay_005959_19
TS23: facial ganglion Strong Uniform euxassay_005959_19
TS23: glossopharyngeal ganglion Strong Uniform euxassay_005959_19

Specimen euxassay_005959_20: embryonic day 14.5 (more )
Structure Level Pattern Image Note
TS23: cerebral cortex mantle layer Strong Regionally restricted euxassay_005959_20
TS23: cerebral cortex marginal layer Strong Regionally restricted euxassay_005959_20
TS23: telencephalon mantle layer Strong Regionally restricted euxassay_005959_20
TS23: telencephalon marginal layer Strong Regionally restricted euxassay_005959_20
TS23: rest of cerebellum mantle layer Strong Regionally restricted euxassay_005959_20
TS23: rest of cerebellum marginal layer Strong Regionally restricted euxassay_005959_20
TS23: trigeminal ganglion Strong Uniform euxassay_005959_20
TS23: facial ganglion Strong Uniform euxassay_005959_20

Specimen euxassay_005959_21: embryonic day 14.5 (more )
Structure Level Pattern Image Note
TS23: cerebral cortex mantle layer Strong Regionally restricted euxassay_005959_21
TS23: cerebral cortex marginal layer Strong Regionally restricted euxassay_005959_21
TS23: telencephalon mantle layer Strong Regionally restricted euxassay_005959_21
TS23: telencephalon marginal layer Strong Regionally restricted euxassay_005959_21
TS23: rest of cerebellum mantle layer Strong Regionally restricted euxassay_005959_21
TS23: trigeminal ganglion Strong Uniform euxassay_005959_21
TS23: facial ganglion Strong Uniform euxassay_005959_21

Specimen euxassay_005959_22: embryonic day 14.5 (more )
Structure Level Pattern Image Note
TS23: vibrissa Moderate Regionally restricted euxassay_005959_22
TS23: cerebral cortex mantle layer Strong Regionally restricted euxassay_005959_22
TS23: cerebral cortex marginal layer Strong Regionally restricted euxassay_005959_22
TS23: telencephalon mantle layer Strong Regionally restricted euxassay_005959_22
TS23: telencephalon marginal layer Strong Regionally restricted euxassay_005959_22
TS23: trigeminal ganglion Strong Uniform euxassay_005959_22

Specimen euxassay_005959_23: embryonic day 14.5 (more )
Structure Level Pattern Image Note
TS23: neural retina Strong Regionally restricted euxassay_005959_23
TS23: vibrissa Moderate Regionally restricted euxassay_005959_23
TS23: cerebral cortex mantle layer Strong Regionally restricted euxassay_005959_23
TS23: cerebral cortex marginal layer Strong Regionally restricted euxassay_005959_23
TS23: telencephalon mantle layer Strong Regionally restricted euxassay_005959_23
TS23: telencephalon marginal layer Strong Regionally restricted euxassay_005959_23

Specimen euxassay_005959_24: embryonic day 14.5 (more )
Structure Level Pattern Image Note
TS23: neural retina Strong Regionally restricted euxassay_005959_24
TS23: telencephalon Strong Regionally restricted euxassay_005959_24


Contributing Projects:
Mouse Genome Database (MGD), Gene Expression Database (GXD), Mouse Models of Human Cancer database (MMHCdb) (formerly Mouse Tumor Biology (MTB)), Gene Ontology (GO)
Citing These Resources
Funding Information
Warranty Disclaimer, Privacy Notice, Licensing, & Copyright
Send questions and comments to User Support.
last database update
05/12/2026
MGI 6.24
The Jackson Laboratory