About   Help   FAQ
Gene Expression Data
Assay Details
Assay
Reference: J:153498 Diez-Roux G, et al., A high-resolution anatomical atlas of the transcriptome in the mouse embryo. PLoS Biol. 2011;9(1):e1000582
Assay type: RNA in situ
MGI Accession ID: MGI:4824445
Gene symbol: E130008D07Rik
Gene name: RIKEN cDNA E130008D07 gene
Probe: T40130
Probe preparation: Antisense labelled with digoxigenin RNA
Visualized with: Alkaline phosphatase
Assay notes: Cryosections of fresh frozen material were fixed in 4% paraformaldehyde for 20 min. before further processing. A tyramide-biotin/streptavidin amplification step was included in the in situ hybridization procedure.
Results
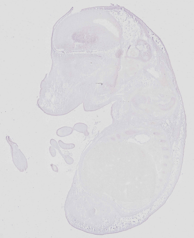
Specimen euxassay_014152_01: embryonic day 14.5 (more )
Structure Level Pattern Image Note
TS23: rest of cerebellum mantle layer Weak Regionally restricted euxassay_014152_01

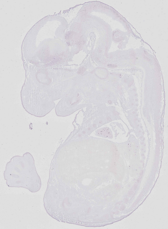
Specimen euxassay_014152_02: embryonic day 14.5 (more )
Structure Level Pattern Image Note
TS23: rest of cerebellum mantle layer Weak Regionally restricted euxassay_014152_02
TS23: pons mantle layer Weak Regionally restricted euxassay_014152_02

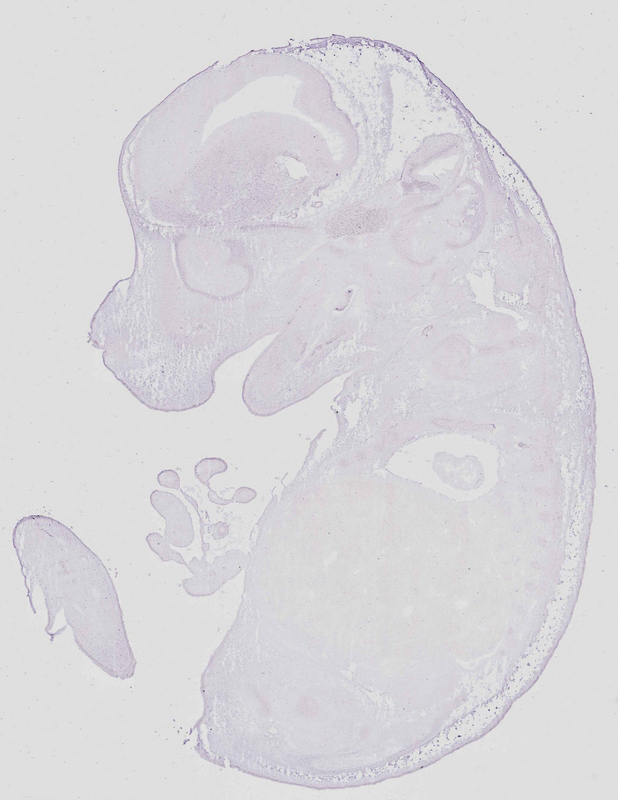
Specimen euxassay_014152_03: embryonic day 14.5 (more )
Structure Level Pattern Image Note
TS23: telencephalon mantle layer Weak Regionally restricted euxassay_014152_03
TS23: rest of cerebellum mantle layer Weak Regionally restricted euxassay_014152_03
TS23: pons mantle layer Weak Regionally restricted euxassay_014152_03

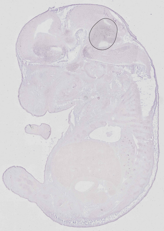
Specimen euxassay_014152_04: embryonic day 14.5 (more )
Structure Level Pattern Image Note
TS23: telencephalon mantle layer Weak Regionally restricted euxassay_014152_04
TS23: pons mantle layer Weak Regionally restricted euxassay_014152_04
TS23: rest of cerebellum mantle layer Weak Regionally restricted euxassay_014152_04

Specimen euxassay_014152_05: embryonic day 14.5 (more )
Structure Level Pattern Image Note
TS23: diencephalon lateral wall mantle layer Weak Regionally restricted euxassay_014152_05
TS23: telencephalon mantle layer Weak Regionally restricted euxassay_014152_05
TS23: medulla oblongata alar plate mantle layer Weak Regionally restricted euxassay_014152_05
TS23: medulla oblongata basal plate mantle layer Weak Regionally restricted euxassay_014152_05
TS23: rest of cerebellum mantle layer Weak Regionally restricted euxassay_014152_05
TS23: pons mantle layer Weak Regionally restricted euxassay_014152_05

Specimen euxassay_014152_06: embryonic day 14.5 (more )
Structure Level Pattern Image Note
TS23: diencephalon lateral wall mantle layer Weak Regionally restricted euxassay_014152_06
TS23: telencephalon mantle layer Weak Regionally restricted euxassay_014152_06
TS23: medulla oblongata alar plate mantle layer Weak Regionally restricted euxassay_014152_06
TS23: medulla oblongata basal plate mantle layer Weak Regionally restricted euxassay_014152_06
TS23: rest of cerebellum mantle layer Weak Regionally restricted euxassay_014152_06
TS23: pons mantle layer Weak Regionally restricted euxassay_014152_06

Specimen euxassay_014152_07: embryonic day 14.5 (more )
Structure Level Pattern Image Note
TS23: telencephalon mantle layer Weak Regionally restricted euxassay_014152_07
TS23: midbrain mantle layer Weak Regionally restricted euxassay_014152_07
TS23: diencephalon lateral wall mantle layer Weak Regionally restricted euxassay_014152_07
TS23: medulla oblongata alar plate mantle layer Weak Regionally restricted euxassay_014152_07
TS23: medulla oblongata basal plate mantle layer Weak Regionally restricted euxassay_014152_07
TS23: rest of cerebellum mantle layer Weak Regionally restricted euxassay_014152_07
TS23: pons mantle layer Weak Regionally restricted euxassay_014152_07

Specimen euxassay_014152_08: embryonic day 14.5 (more )
Structure Level Pattern Image Note
TS23: telencephalon mantle layer Weak Regionally restricted euxassay_014152_08
TS23: midbrain mantle layer Weak Regionally restricted euxassay_014152_08
TS23: diencephalon lateral wall mantle layer Weak Regionally restricted euxassay_014152_08
TS23: medulla oblongata alar plate mantle layer Weak Regionally restricted euxassay_014152_08
TS23: medulla oblongata basal plate mantle layer Weak Regionally restricted euxassay_014152_08
TS23: rest of cerebellum mantle layer Weak Regionally restricted euxassay_014152_08
TS23: pons mantle layer Weak Regionally restricted euxassay_014152_08

Specimen euxassay_014152_09: embryonic day 14.5 (more )
Structure Level Pattern Image Note
TS23: diencephalon lateral wall mantle layer Weak Regionally restricted euxassay_014152_09
TS23: telencephalon mantle layer Weak Regionally restricted euxassay_014152_09
TS23: midbrain mantle layer Weak Regionally restricted euxassay_014152_09
TS23: medulla oblongata alar plate mantle layer Weak Regionally restricted euxassay_014152_09
TS23: medulla oblongata basal plate mantle layer Weak Regionally restricted euxassay_014152_09
TS23: rest of cerebellum mantle layer Weak Regionally restricted euxassay_014152_09
TS23: pons mantle layer Weak Regionally restricted euxassay_014152_09

Specimen euxassay_014152_10: embryonic day 14.5 (more )
Structure Level Pattern Image Note
TS23: diencephalon lateral wall mantle layer Weak Regionally restricted euxassay_014152_10
TS23: telencephalon mantle layer Weak Regionally restricted euxassay_014152_10
TS23: midbrain mantle layer Weak Regionally restricted euxassay_014152_10
TS23: medulla oblongata alar plate mantle layer Weak Regionally restricted euxassay_014152_10
TS23: medulla oblongata basal plate mantle layer Weak Regionally restricted euxassay_014152_10
TS23: rest of cerebellum mantle layer Weak Regionally restricted euxassay_014152_10
TS23: pons mantle layer Weak Regionally restricted euxassay_014152_10

Specimen euxassay_014152_11: embryonic day 14.5 (more )
Structure Level Pattern Image Note
TS23: diencephalon lateral wall mantle layer Weak Regionally restricted euxassay_014152_11
TS23: telencephalon mantle layer Weak Regionally restricted euxassay_014152_11
TS23: midbrain mantle layer Weak Regionally restricted euxassay_014152_11
TS23: medulla oblongata alar plate mantle layer Weak Regionally restricted euxassay_014152_11
TS23: medulla oblongata basal plate mantle layer Weak Regionally restricted euxassay_014152_11
TS23: rest of cerebellum mantle layer Weak Regionally restricted euxassay_014152_11
TS23: pons mantle layer Weak Regionally restricted euxassay_014152_11

Specimen euxassay_014152_12: embryonic day 14.5 (more )
Structure Level Pattern Image Note
TS23: diencephalon lateral wall mantle layer Weak Regionally restricted euxassay_014152_12
TS23: telencephalon mantle layer Weak Regionally restricted euxassay_014152_12
TS23: midbrain mantle layer Weak Regionally restricted euxassay_014152_12
TS23: medulla oblongata alar plate mantle layer Weak Regionally restricted euxassay_014152_12
TS23: medulla oblongata basal plate mantle layer Weak Regionally restricted euxassay_014152_12
TS23: rest of cerebellum mantle layer Weak Regionally restricted euxassay_014152_12
TS23: pons mantle layer Weak Regionally restricted euxassay_014152_12

Specimen euxassay_014152_13: embryonic day 14.5 (more )
Structure Level Pattern Image Note
TS23: diencephalon lateral wall mantle layer Weak Regionally restricted euxassay_014152_13
TS23: telencephalon mantle layer Weak Regionally restricted euxassay_014152_13
TS23: midbrain mantle layer Weak Regionally restricted euxassay_014152_13
TS23: medulla oblongata alar plate mantle layer Weak Regionally restricted euxassay_014152_13
TS23: medulla oblongata basal plate mantle layer Weak Regionally restricted euxassay_014152_13
TS23: rest of cerebellum mantle layer Weak Regionally restricted euxassay_014152_13
TS23: pons mantle layer Weak Regionally restricted euxassay_014152_13

Specimen euxassay_014152_14: embryonic day 14.5 (more )
Structure Level Pattern Image Note
TS23: diencephalon lateral wall mantle layer Weak Regionally restricted euxassay_014152_14
TS23: telencephalon mantle layer Weak Regionally restricted euxassay_014152_14
TS23: midbrain mantle layer Weak Regionally restricted euxassay_014152_14
TS23: medulla oblongata alar plate mantle layer Weak Regionally restricted euxassay_014152_14
TS23: medulla oblongata basal plate mantle layer Weak Regionally restricted euxassay_014152_14
TS23: rest of cerebellum mantle layer Weak Regionally restricted euxassay_014152_14
TS23: pons mantle layer Weak Regionally restricted euxassay_014152_14

Specimen euxassay_014152_15: embryonic day 14.5 (more )
Structure Level Pattern Image Note
TS23: telencephalon mantle layer Weak Regionally restricted euxassay_014152_15
TS23: diencephalon lateral wall mantle layer Weak Regionally restricted euxassay_014152_15
TS23: pons mantle layer Weak Regionally restricted euxassay_014152_15
TS23: rest of cerebellum mantle layer Weak Regionally restricted euxassay_014152_15
TS23: medulla oblongata basal plate mantle layer Weak Regionally restricted euxassay_014152_15
TS23: medulla oblongata alar plate mantle layer Weak Regionally restricted euxassay_014152_15

Specimen euxassay_014152_16: embryonic day 14.5 (more )
Structure Level Pattern Image Note
TS23: diencephalon lateral wall mantle layer Weak Regionally restricted euxassay_014152_16
TS23: telencephalon mantle layer Weak Regionally restricted euxassay_014152_16
TS23: pons mantle layer Weak Regionally restricted euxassay_014152_16

Specimen euxassay_014152_17: embryonic day 14.5 (more )
Structure Level Pattern Image Note
TS23: telencephalon mantle layer Weak Regionally restricted euxassay_014152_17
TS23: pons mantle layer Weak Regionally restricted euxassay_014152_17
TS23: rest of cerebellum mantle layer Weak Regionally restricted euxassay_014152_17

Specimen euxassay_014152_18: embryonic day 14.5 (more )
Structure Level Pattern Image Note
TS23: telencephalon mantle layer Weak Regionally restricted euxassay_014152_18
TS23: pons mantle layer Weak Regionally restricted euxassay_014152_18
TS23: rest of cerebellum mantle layer Weak Regionally restricted euxassay_014152_18

Specimen euxassay_014152_19: embryonic day 14.5 (more )
Structure Level Pattern Image Note
TS23: telencephalon mantle layer Weak Regionally restricted euxassay_014152_19

Specimen euxassay_014152_20: embryonic day 14.5 (more )
Structure Level Pattern Image Note
TS23: telencephalon mantle layer Weak Regionally restricted euxassay_014152_20


Contributing Projects:
Mouse Genome Database (MGD), Gene Expression Database (GXD), Mouse Models of Human Cancer database (MMHCdb) (formerly Mouse Tumor Biology (MTB)), Gene Ontology (GO)
Citing These Resources
Funding Information
Warranty Disclaimer, Privacy Notice, Licensing, & Copyright
Send questions and comments to User Support.
last database update
12/30/2025
MGI 6.24
The Jackson Laboratory