About   Help   FAQ
Gene Expression Data
Assay Details
Assay
Reference: J:153498 Diez-Roux G, et al., A high-resolution anatomical atlas of the transcriptome in the mouse embryo. PLoS Biol. 2011;9(1):e1000582
Assay type: RNA in situ
MGI Accession ID: MGI:4824443
Gene symbol: E030030I06Rik
Gene name: RIKEN cDNA E030030I06 gene
Probe: T37687
Probe preparation: Antisense labelled with digoxigenin RNA
Visualized with: Alkaline phosphatase
Assay notes: Cryosections of fresh frozen material were fixed in 4% paraformaldehyde for 20 min. before further processing. A tyramide-biotin/streptavidin amplification step was included in the in situ hybridization procedure.
Results
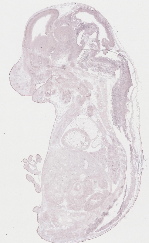
Specimen euxassay_011748_01: embryonic day 14.5 (more )
Structure Level Pattern Image Note
TS23: brain Moderate Regionally restricted euxassay_011748_01

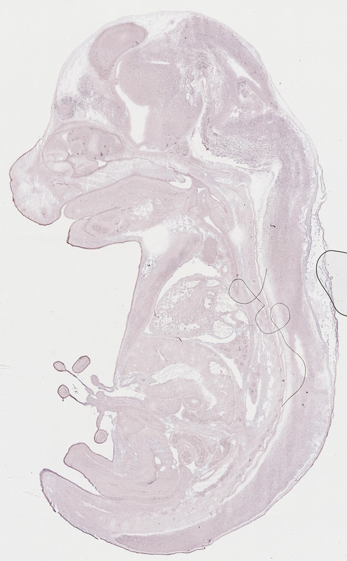
Specimen euxassay_011748_02: embryonic day 14.5 (more )
Structure Level Pattern Image Note
TS23: brain Moderate Regionally restricted euxassay_011748_02
TS23: neural retina Moderate Regionally restricted euxassay_011748_02

Specimen euxassay_011748_03: embryonic day 14.5 (more )
Structure Level Pattern Image Note
TS23: brain Moderate Regionally restricted euxassay_011748_03
TS23: neural retina Moderate Regionally restricted euxassay_011748_03

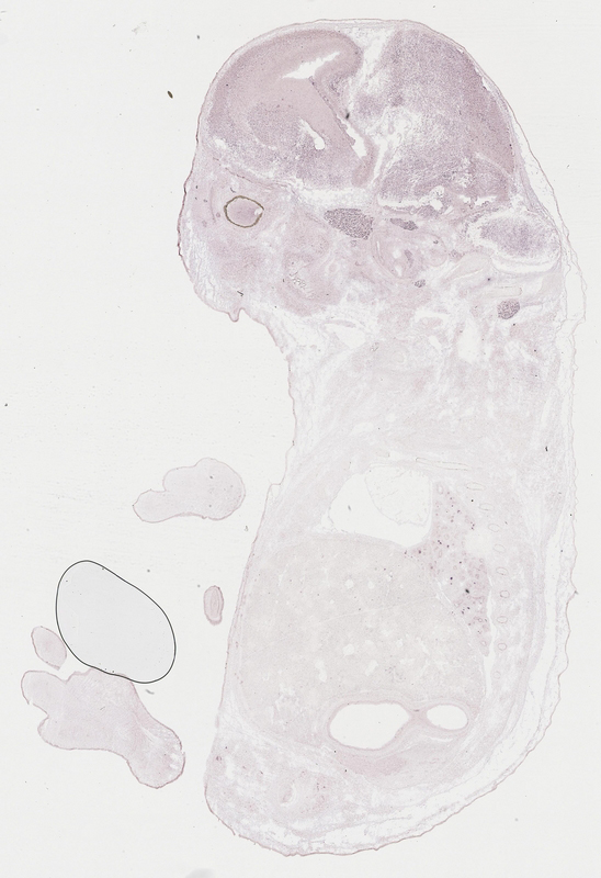
Specimen euxassay_011748_04: embryonic day 14.5 (more )
Structure Level Pattern Image Note
TS23: brain Moderate Regionally restricted euxassay_011748_04
TS23: trigeminal ganglion Moderate Uniform euxassay_011748_04
TS23: facial ganglion Moderate Uniform euxassay_011748_04
TS23: neural retina Moderate Regionally restricted euxassay_011748_04

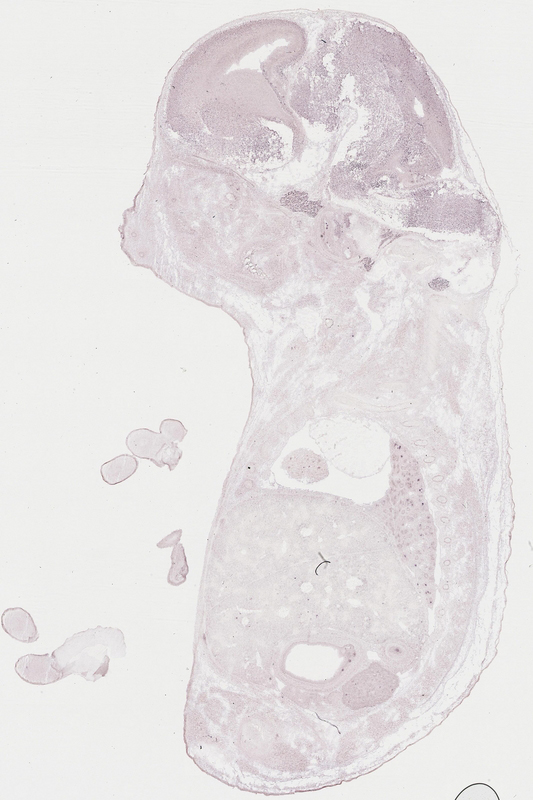
Specimen euxassay_011748_05: embryonic day 14.5 (more )
Structure Level Pattern Image Note
TS23: brain Moderate Regionally restricted euxassay_011748_05
TS23: trigeminal ganglion Moderate Uniform euxassay_011748_05
TS23: facial ganglion Moderate Uniform euxassay_011748_05
TS23: neural retina Moderate Regionally restricted euxassay_011748_05

Specimen euxassay_011748_06: embryonic day 14.5 (more )
Structure Level Pattern Image Note
TS23: brain Moderate Regionally restricted euxassay_011748_06
TS23: trigeminal ganglion Moderate Uniform euxassay_011748_06
TS23: glossopharyngeal ganglion Moderate Uniform euxassay_011748_06
TS23: vestibulo-cochlear ganglion Moderate Uniform euxassay_011748_06

Specimen euxassay_011748_07: embryonic day 14.5 (more )
Structure Level Pattern Image Note
TS23: brain Moderate Regionally restricted euxassay_011748_07
TS23: trigeminal ganglion Moderate Uniform euxassay_011748_07
TS23: glossopharyngeal ganglion Moderate Uniform euxassay_011748_07
TS23: vestibulo-cochlear ganglion Moderate Uniform euxassay_011748_07
TS23: dorsal root ganglion Moderate Regionally restricted euxassay_011748_07

Specimen euxassay_011748_08: embryonic day 14.5 (more )
Structure Level Pattern Image Note
TS23: brain Moderate Regionally restricted euxassay_011748_08
TS23: vagus ganglion Moderate Uniform euxassay_011748_08
TS23: trigeminal ganglion Moderate Uniform euxassay_011748_08
TS23: dorsal root ganglion Moderate Regionally restricted euxassay_011748_08

Specimen euxassay_011748_09: embryonic day 14.5 (more )
Structure Level Pattern Image Note
TS23: brain Moderate Regionally restricted euxassay_011748_09
TS23: spinal cord Moderate Regionally restricted euxassay_011748_09
TS23: vagus ganglion Moderate Uniform euxassay_011748_09
TS23: trigeminal ganglion Moderate Uniform euxassay_011748_09
TS23: cervical ganglion Moderate Regionally restricted euxassay_011748_09
TS23: dorsal root ganglion Moderate Regionally restricted euxassay_011748_09

Specimen euxassay_011748_10: embryonic day 14.5 (more )
Structure Level Pattern Image Note
TS23: brain Moderate Regionally restricted euxassay_011748_10
TS23: spinal cord Moderate Regionally restricted euxassay_011748_10
TS23: trigeminal ganglion Moderate Uniform euxassay_011748_10
TS23: vagus ganglion Moderate Uniform euxassay_011748_10
TS23: cervico-thoracic ganglion Moderate Regionally restricted euxassay_011748_10
TS23: dorsal root ganglion Moderate Regionally restricted euxassay_011748_10

Specimen euxassay_011748_11: embryonic day 14.5 (more )
Structure Level Pattern Image Note
TS23: brain Moderate Regionally restricted euxassay_011748_11
TS23: spinal cord Moderate Regionally restricted euxassay_011748_11
TS23: trigeminal ganglion Moderate Uniform euxassay_011748_11
TS23: dorsal root ganglion Moderate Regionally restricted euxassay_011748_11

Specimen euxassay_011748_12: embryonic day 14.5 (more )
Structure Level Pattern Image Note
TS23: brain Moderate Regionally restricted euxassay_011748_12
TS23: spinal cord Moderate Regionally restricted euxassay_011748_12
TS23: dorsal root ganglion Moderate Regionally restricted euxassay_011748_12

Specimen euxassay_011748_13: embryonic day 14.5 (more )
Structure Level Pattern Image Note
TS23: brain Moderate Regionally restricted euxassay_011748_13
TS23: spinal cord Moderate Regionally restricted euxassay_011748_13
TS23: dorsal root ganglion Moderate Regionally restricted euxassay_011748_13

Specimen euxassay_011748_14: embryonic day 14.5 (more )
Structure Level Pattern Image Note
TS23: brain Moderate Regionally restricted euxassay_011748_14
TS23: spinal cord Moderate Regionally restricted euxassay_011748_14

Specimen euxassay_011748_15: embryonic day 14.5 (more )
Structure Level Pattern Image Note
TS23: brain Moderate Regionally restricted euxassay_011748_15
TS23: spinal cord Moderate Regionally restricted euxassay_011748_15

Specimen euxassay_011748_16: embryonic day 14.5 (more )
Structure Level Pattern Image Note
TS23: brain Moderate Regionally restricted euxassay_011748_16
TS23: spinal cord Moderate Regionally restricted euxassay_011748_16
TS23: thoracic ganglion Moderate Regionally restricted euxassay_011748_16
TS23: dorsal root ganglion Moderate Regionally restricted euxassay_011748_16

Specimen euxassay_011748_17: embryonic day 14.5 (more )
Structure Level Pattern Image Note
TS23: brain Moderate Regionally restricted euxassay_011748_17
TS23: cervico-thoracic ganglion Moderate Regionally restricted euxassay_011748_17
TS23: dorsal root ganglion Moderate Regionally restricted euxassay_011748_17

Specimen euxassay_011748_18: embryonic day 14.5 (more )
Structure Level Pattern Image Note
TS23: brain Moderate Regionally restricted euxassay_011748_18
TS23: cervical ganglion Moderate Regionally restricted euxassay_011748_18
TS23: dorsal root ganglion Moderate Regionally restricted euxassay_011748_18

Specimen euxassay_011748_19: embryonic day 14.5 (more )
Structure Level Pattern Image Note
TS23: brain Moderate Regionally restricted euxassay_011748_19
TS23: trigeminal ganglion Moderate Uniform euxassay_011748_19
TS23: glossopharyngeal ganglion Moderate Uniform euxassay_011748_19

Specimen euxassay_011748_20: embryonic day 14.5 (more )
Structure Level Pattern Image Note
TS23: brain Moderate Regionally restricted euxassay_011748_20
TS23: trigeminal ganglion Moderate Uniform euxassay_011748_20
TS23: facial ganglion Moderate Uniform euxassay_011748_20
TS23: glossopharyngeal ganglion Moderate Uniform euxassay_011748_20

Specimen euxassay_011748_21: embryonic day 14.5 (more )
Structure Level Pattern Image Note
TS23: brain Moderate Regionally restricted euxassay_011748_21
TS23: trigeminal ganglion Moderate Uniform euxassay_011748_21
TS23: facial ganglion Moderate Uniform euxassay_011748_21

Specimen euxassay_011748_22: embryonic day 14.5 (more )
Structure Level Pattern Image Note
TS23: brain Moderate Regionally restricted euxassay_011748_22
TS23: trigeminal ganglion Moderate Uniform euxassay_011748_22
TS23: facial ganglion Moderate Uniform euxassay_011748_22

Specimen euxassay_011748_23: embryonic day 14.5 (more )
Structure Level Pattern Image Note
TS23: brain Moderate Regionally restricted euxassay_011748_23
TS23: trigeminal ganglion Moderate Uniform euxassay_011748_23

Specimen euxassay_011748_24: embryonic day 14.5 (more )
Structure Level Pattern Image Note
TS23: brain Moderate Regionally restricted euxassay_011748_24


Contributing Projects:
Mouse Genome Database (MGD), Gene Expression Database (GXD), Mouse Models of Human Cancer database (MMHCdb) (formerly Mouse Tumor Biology (MTB)), Gene Ontology (GO)
Citing These Resources
Funding Information
Warranty Disclaimer, Privacy Notice, Licensing, & Copyright
Send questions and comments to User Support.
last database update
12/30/2025
MGI 6.24
The Jackson Laboratory