About   Help   FAQ
Gene Expression Data
Assay Details
Assay
Reference: J:153498 Diez-Roux G, et al., A high-resolution anatomical atlas of the transcriptome in the mouse embryo. PLoS Biol. 2011;9(1):e1000582
Assay type: RNA in situ
MGI Accession ID: MGI:4824429
Gene symbol: Dync1i2
Gene name: dynein cytoplasmic 1 intermediate chain 2
Probe: IMAGE clone 1531233
Probe preparation: Antisense labelled with digoxigenin RNA
Visualized with: Alkaline phosphatase
Assay notes: Cryosections of fresh frozen material were fixed in 4% paraformaldehyde for 20 min. before further processing. A tyramide-biotin/streptavidin amplification step was included in the in situ hybridization procedure.
Results
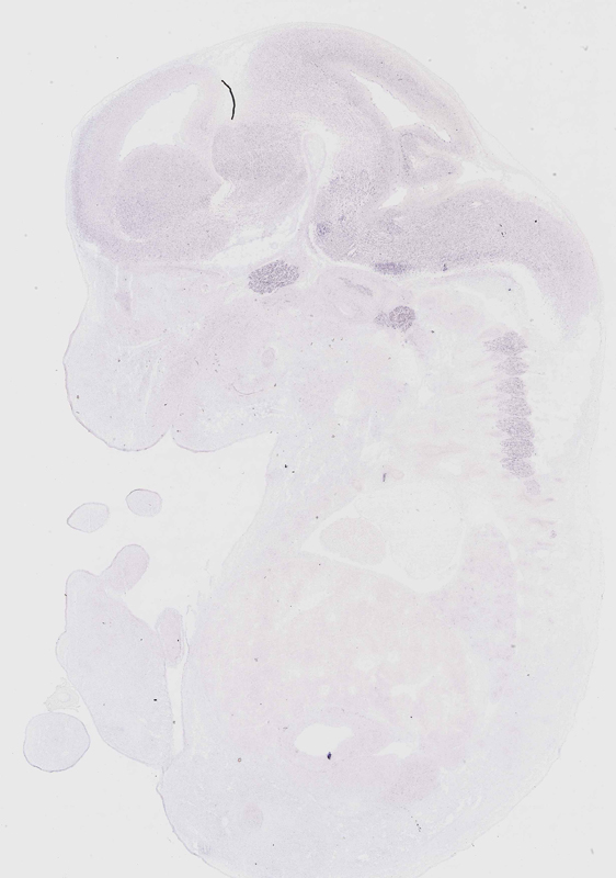
Specimen euxassay_005868_03: embryonic day 14.5 (more )
Structure Level Pattern Image Note
TS23: trigeminal ganglion Moderate Regionally restricted euxassay_005868_03

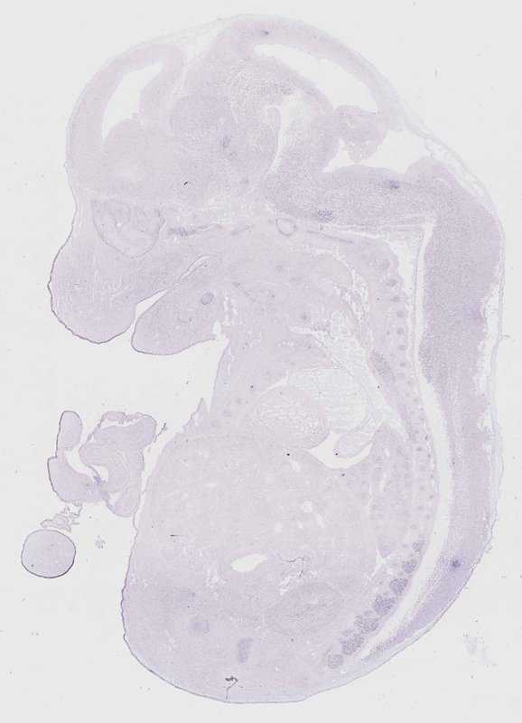
Specimen euxassay_005868_04: embryonic day 14.5 (more )
Structure Level Pattern Image Note
TS23: trigeminal ganglion Moderate Regionally restricted euxassay_005868_04
TS23: facial ganglion Moderate Regionally restricted euxassay_005868_04

Specimen euxassay_005868_05: embryonic day 14.5 (more )
Structure Level Pattern Image Note
TS23: trigeminal ganglion Moderate Regionally restricted euxassay_005868_05

Specimen euxassay_005868_06: embryonic day 14.5 (more )
Structure Level Pattern Image Note
TS23: trigeminal ganglion Moderate Regionally restricted euxassay_005868_06
TS23: glossopharyngeal ganglion Moderate Regionally restricted euxassay_005868_06
TS23: dorsal root ganglion Moderate Regionally restricted euxassay_005868_06

Specimen euxassay_005868_07: embryonic day 14.5 (more )
Structure Level Pattern Image Note
TS23: trigeminal ganglion Moderate Regionally restricted euxassay_005868_07
TS23: glossopharyngeal ganglion Moderate Regionally restricted euxassay_005868_07
TS23: vestibulo-cochlear ganglion Moderate Regionally restricted euxassay_005868_07
TS23: dorsal root ganglion Moderate Regionally restricted euxassay_005868_07

Specimen euxassay_005868_08: embryonic day 14.5 (more )
Structure Level Pattern Image Note
TS23: vestibulo-cochlear ganglion Moderate Regionally restricted euxassay_005868_08
TS23: trigeminal ganglion Moderate Regionally restricted euxassay_005868_08
TS23: vagus ganglion Moderate Regionally restricted euxassay_005868_08
TS23: dorsal root ganglion Moderate Regionally restricted euxassay_005868_08

Specimen euxassay_005868_09: embryonic day 14.5 (more )
Structure Level Pattern Image Note
TS23: trigeminal ganglion Moderate Regionally restricted euxassay_005868_09
TS23: vagus ganglion Moderate Regionally restricted euxassay_005868_09
TS23: dorsal root ganglion Moderate Regionally restricted euxassay_005868_09

Specimen euxassay_005868_10: embryonic day 14.5 (more )
Structure Level Pattern Image Note
TS23: dorsal root ganglion Moderate Regionally restricted euxassay_005868_10

Specimen euxassay_005868_11: embryonic day 14.5 (more )
Structure Level Pattern Image Note
TS23: dorsal root ganglion Moderate Regionally restricted euxassay_005868_11

Specimen euxassay_005868_12: embryonic day 14.5 (more )
Structure Level Pattern Image Note
TS23: dorsal root ganglion Moderate Regionally restricted euxassay_005868_12

Specimen euxassay_005868_16: embryonic day 14.5 (more )
Structure Level Pattern Image Note
TS23: dorsal root ganglion Moderate Regionally restricted euxassay_005868_16

Specimen euxassay_005868_17: embryonic day 14.5 (more )
Structure Level Pattern Image Note
TS23: vagus ganglion Moderate Regionally restricted euxassay_005868_17
TS23: dorsal root ganglion Moderate Regionally restricted euxassay_005868_17

Specimen euxassay_005868_18: embryonic day 14.5 (more )
Structure Level Pattern Image Note
TS23: glossopharyngeal ganglion Moderate Regionally restricted euxassay_005868_18
TS23: trigeminal ganglion Moderate Regionally restricted euxassay_005868_18

Specimen euxassay_005868_19: embryonic day 14.5 (more )
Structure Level Pattern Image Note
TS23: trigeminal ganglion Moderate Regionally restricted euxassay_005868_19
TS23: glossopharyngeal ganglion Moderate Regionally restricted euxassay_005868_19
TS23: vestibulo-cochlear ganglion Moderate Regionally restricted euxassay_005868_19

Specimen euxassay_005868_20: embryonic day 14.5 (more )
Structure Level Pattern Image Note
TS23: trigeminal ganglion Moderate Regionally restricted euxassay_005868_20

Specimen euxassay_005868_21: embryonic day 14.5 (more )
Structure Level Pattern Image Note
TS23: trigeminal ganglion Moderate Regionally restricted euxassay_005868_21
TS23: facial ganglion Moderate Regionally restricted euxassay_005868_21

Specimen euxassay_005868_22: embryonic day 14.5 (more )
Structure Level Pattern Image Note
TS23: trigeminal ganglion Moderate Regionally restricted euxassay_005868_22
TS23: facial ganglion Moderate Regionally restricted euxassay_005868_22


Contributing Projects:
Mouse Genome Database (MGD), Gene Expression Database (GXD), Mouse Models of Human Cancer database (MMHCdb) (formerly Mouse Tumor Biology (MTB)), Gene Ontology (GO)
Citing These Resources
Funding Information
Warranty Disclaimer, Privacy Notice, Licensing, & Copyright
Send questions and comments to User Support.
last database update
01/06/2026
MGI 6.24
The Jackson Laboratory