About   Help   FAQ
Gene Expression Data
Assay Details
Assay
Reference: J:153498 Diez-Roux G, et al., A high-resolution anatomical atlas of the transcriptome in the mouse embryo. PLoS Biol. 2011;9(1):e1000582
Assay type: RNA in situ
MGI Accession ID: MGI:4824427
Gene symbol: Dync1h1
Gene name: dynein cytoplasmic 1 heavy chain 1
Probe: T36296
Probe preparation: Antisense labelled with digoxigenin RNA
Visualized with: Alkaline phosphatase
Assay notes: Cryosections of fresh frozen material were fixed in 4% paraformaldehyde for 20 min. before further processing. A tyramide-biotin/streptavidin amplification step was included in the in situ hybridization procedure.
Results
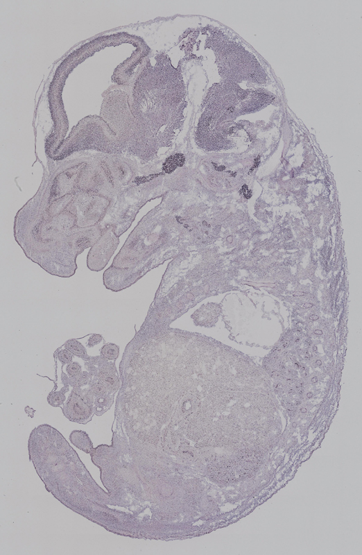
Specimen euxassay_008019_01: embryonic day 14.5 (more )
Structure Level Pattern Image Note
TS23: forebrain Moderate Uniform euxassay_008019_01

Specimen euxassay_008019_02: embryonic day 14.5 (more )
Structure Level Pattern Image Note
TS23: hindbrain Moderate Uniform euxassay_008019_02
TS23: forebrain Moderate Uniform euxassay_008019_02
TS23: neural retina Moderate Regionally restricted euxassay_008019_02

Specimen euxassay_008019_03: embryonic day 14.5 (more )
Structure Level Pattern Image Note
TS23: trigeminal ganglion Strong Regionally restricted euxassay_008019_03
TS23: hindbrain Moderate Uniform euxassay_008019_03
TS23: forebrain Moderate Uniform euxassay_008019_03
TS23: neural retina Moderate Regionally restricted euxassay_008019_03

Specimen euxassay_008019_04: embryonic day 14.5 (more )
Structure Level Pattern Image Note
TS23: trigeminal ganglion Strong Regionally restricted euxassay_008019_04
TS23: facial ganglion Strong Regionally restricted euxassay_008019_04
TS23: midbrain Moderate Uniform euxassay_008019_04
TS23: hindbrain Moderate Uniform euxassay_008019_04
TS23: forebrain Moderate Uniform euxassay_008019_04
TS23: neural retina Moderate Regionally restricted euxassay_008019_04

Specimen euxassay_008019_05: embryonic day 14.5 (more )
Structure Level Pattern Image Note
TS23: trigeminal ganglion Strong Regionally restricted euxassay_008019_05
TS23: facial ganglion Strong Regionally restricted euxassay_008019_05
TS23: midbrain Moderate Uniform euxassay_008019_05
TS23: hindbrain Moderate Uniform euxassay_008019_05
TS23: forebrain Moderate Uniform euxassay_008019_05
TS23: dorsal root ganglion Strong Regionally restricted euxassay_008019_05
TS23: neural retina Moderate Regionally restricted euxassay_008019_05

Specimen euxassay_008019_06: embryonic day 14.5 (more )
Structure Level Pattern Image Note
TS23: trigeminal ganglion Strong Regionally restricted euxassay_008019_06
TS23: glossopharyngeal ganglion Strong Regionally restricted euxassay_008019_06
TS23: vestibulo-cochlear ganglion Strong Regionally restricted euxassay_008019_06
TS23: spinal cord Moderate Uniform euxassay_008019_06
TS23: midbrain Moderate Uniform euxassay_008019_06
TS23: hindbrain Moderate Uniform euxassay_008019_06
TS23: forebrain Moderate Uniform euxassay_008019_06
TS23: dorsal root ganglion Strong Regionally restricted euxassay_008019_06

Specimen euxassay_008019_07: embryonic day 14.5 (more )
Structure Level Pattern Image Note
TS23: trigeminal ganglion Strong Regionally restricted euxassay_008019_07
TS23: vestibulo-cochlear ganglion Strong Regionally restricted euxassay_008019_07
TS23: vagus ganglion Strong Regionally restricted euxassay_008019_07
TS23: spinal cord Moderate Uniform euxassay_008019_07
TS23: midbrain Moderate Uniform euxassay_008019_07
TS23: hindbrain Moderate Uniform euxassay_008019_07
TS23: forebrain Moderate Uniform euxassay_008019_07
TS23: dorsal root ganglion Strong Regionally restricted euxassay_008019_07

Specimen euxassay_008019_08: embryonic day 14.5 (more )
Structure Level Pattern Image Note
TS23: trigeminal ganglion Strong Regionally restricted euxassay_008019_08
TS23: spinal cord Moderate Uniform euxassay_008019_08
TS23: midbrain Moderate Uniform euxassay_008019_08
TS23: hindbrain Moderate Uniform euxassay_008019_08
TS23: forebrain Moderate Uniform euxassay_008019_08
TS23: dorsal root ganglion Strong Regionally restricted euxassay_008019_08

Specimen euxassay_008019_09: embryonic day 14.5 (more )
Structure Level Pattern Image Note
TS23: trigeminal ganglion Strong Regionally restricted euxassay_008019_09
TS23: spinal cord Moderate Uniform euxassay_008019_09
TS23: midbrain Moderate Uniform euxassay_008019_09
TS23: hindbrain Moderate Uniform euxassay_008019_09
TS23: forebrain Moderate Uniform euxassay_008019_09
TS23: dorsal root ganglion Strong Regionally restricted euxassay_008019_09

Specimen euxassay_008019_10: embryonic day 14.5 (more )
Structure Level Pattern Image Note
TS23: trigeminal nerve Moderate Regionally restricted euxassay_008019_10
TS23: spinal cord Moderate Uniform euxassay_008019_10
TS23: midbrain Moderate Uniform euxassay_008019_10
TS23: hindbrain Moderate Uniform euxassay_008019_10
TS23: forebrain Moderate Uniform euxassay_008019_10
TS23: dorsal root ganglion Strong Regionally restricted euxassay_008019_10

Specimen euxassay_008019_11: embryonic day 14.5 (more )
Structure Level Pattern Image Note
TS23: forebrain Moderate Uniform euxassay_008019_11
TS23: hindbrain Moderate Uniform euxassay_008019_11
TS23: midbrain Moderate Uniform euxassay_008019_11
TS23: spinal cord Moderate Uniform euxassay_008019_11

Specimen euxassay_008019_12: embryonic day 14.5 (more )
Structure Level Pattern Image Note
TS23: spinal cord Moderate Uniform euxassay_008019_12
TS23: midbrain Moderate Uniform euxassay_008019_12
TS23: hindbrain Moderate Uniform euxassay_008019_12
TS23: forebrain Moderate Uniform euxassay_008019_12

Specimen euxassay_008019_13: embryonic day 14.5 (more )
Structure Level Pattern Image Note
TS23: midbrain Moderate Uniform euxassay_008019_13
TS23: hindbrain Moderate Uniform euxassay_008019_13
TS23: forebrain Moderate Uniform euxassay_008019_13
TS23: spinal cord Moderate Uniform euxassay_008019_13
TS23: dorsal root ganglion Strong Regionally restricted euxassay_008019_13

Specimen euxassay_008019_14: embryonic day 14.5 (more )
Structure Level Pattern Image Note
TS23: midbrain Moderate Uniform euxassay_008019_14
TS23: hindbrain Moderate Uniform euxassay_008019_14
TS23: forebrain Moderate Uniform euxassay_008019_14
TS23: dorsal root ganglion Strong Regionally restricted euxassay_008019_14

Specimen euxassay_008019_15: embryonic day 14.5 (more )
Structure Level Pattern Image Note
TS23: midbrain Moderate Uniform euxassay_008019_15
TS23: hindbrain Moderate Uniform euxassay_008019_15
TS23: forebrain Moderate Uniform euxassay_008019_15
TS23: dorsal root ganglion Strong Regionally restricted euxassay_008019_15

Specimen euxassay_008019_16: embryonic day 14.5 (more )
Structure Level Pattern Image Note
TS23: glossopharyngeal ganglion Moderate Regionally restricted euxassay_008019_16
TS23: midbrain Moderate Uniform euxassay_008019_16
TS23: hindbrain Moderate Uniform euxassay_008019_16
TS23: forebrain Moderate Uniform euxassay_008019_16

Specimen euxassay_008019_17: embryonic day 14.5 (more )
Structure Level Pattern Image Note
TS23: glossopharyngeal ganglion Strong Regionally restricted euxassay_008019_17
TS23: vestibulo-cochlear ganglion Strong Regionally restricted euxassay_008019_17
TS23: trigeminal ganglion Strong Regionally restricted euxassay_008019_17
TS23: trigeminal nerve Strong Regionally restricted euxassay_008019_17
TS23: hindbrain Moderate Uniform euxassay_008019_17
TS23: forebrain Moderate Uniform euxassay_008019_17
TS23: midbrain Moderate Uniform euxassay_008019_17

Specimen euxassay_008019_18: embryonic day 14.5 (more )
Structure Level Pattern Image Note
TS23: trigeminal ganglion Strong Regionally restricted euxassay_008019_18
TS23: vestibulo-cochlear ganglion Moderate Regionally restricted euxassay_008019_18
TS23: hindbrain Moderate Uniform euxassay_008019_18
TS23: midbrain Moderate Uniform euxassay_008019_18
TS23: forebrain Moderate Uniform euxassay_008019_18

Specimen euxassay_008019_19: embryonic day 14.5 (more )
Structure Level Pattern Image Note
TS23: trigeminal ganglion Strong Regionally restricted euxassay_008019_19
TS23: facial ganglion Strong Regionally restricted euxassay_008019_19
TS23: hindbrain Moderate Uniform euxassay_008019_19
TS23: forebrain Moderate Uniform euxassay_008019_19

Specimen euxassay_008019_20: embryonic day 14.5 (more )
Structure Level Pattern Image Note
TS23: trigeminal ganglion Strong Regionally restricted euxassay_008019_20
TS23: facial ganglion Strong Regionally restricted euxassay_008019_20
TS23: forebrain Moderate Uniform euxassay_008019_20

Specimen euxassay_008019_21: embryonic day 14.5 (more )
Structure Level Pattern Image Note
TS23: trigeminal ganglion Strong Regionally restricted euxassay_008019_21
TS23: forebrain Moderate Uniform euxassay_008019_21

Specimen euxassay_008019_22: embryonic day 14.5 (more )
Structure Level Pattern Image Note
TS23: trigeminal ganglion Strong Regionally restricted euxassay_008019_22
TS23: forebrain Moderate Uniform euxassay_008019_22

Specimen euxassay_008019_23: embryonic day 14.5 (more )
Structure Level Pattern Image Note
TS23: forebrain Moderate Uniform euxassay_008019_23
TS23: neural retina Moderate Regionally restricted euxassay_008019_23

Specimen euxassay_008019_24: embryonic day 14.5 (more )
Structure Level Pattern Image Note
TS23: forebrain Moderate Uniform euxassay_008019_24
TS23: neural retina Moderate Regionally restricted euxassay_008019_24


Contributing Projects:
Mouse Genome Database (MGD), Gene Expression Database (GXD), Mouse Models of Human Cancer database (MMHCdb) (formerly Mouse Tumor Biology (MTB)), Gene Ontology (GO)
Citing These Resources
Funding Information
Warranty Disclaimer, Privacy Notice, Licensing, & Copyright
Send questions and comments to User Support.
last database update
12/30/2025
MGI 6.24
The Jackson Laboratory