About   Help   FAQ
Gene Expression Data
Assay Details
Assay
Reference: J:153498 Diez-Roux G, et al., A high-resolution anatomical atlas of the transcriptome in the mouse embryo. PLoS Biol. 2011;9(1):e1000582
Assay type: RNA in situ
MGI Accession ID: MGI:4824396
Gene symbol: Dsc2
Gene name: desmocollin 2
Probe: MGC clone 68027
Probe preparation: Antisense labelled with digoxigenin RNA
Visualized with: Alkaline phosphatase
Assay notes: Cryosections of fresh frozen material were fixed in 4% paraformaldehyde for 20 min. before further processing. A tyramide-biotin/streptavidin amplification step was included in the in situ hybridization procedure.
Results
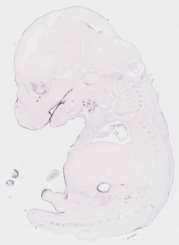
Specimen euxassay_004326_01: embryonic day 14.5 (more )
Structure Level Pattern Image Note
TS23: stomach Strong Regionally restricted euxassay_004326_01
TS23: epidermis Moderate Regionally restricted euxassay_004326_01
TS23: pharyngo-tympanic tube Moderate Regionally restricted euxassay_004326_01
TS23: cornea epithelium Strong Regionally restricted euxassay_004326_01

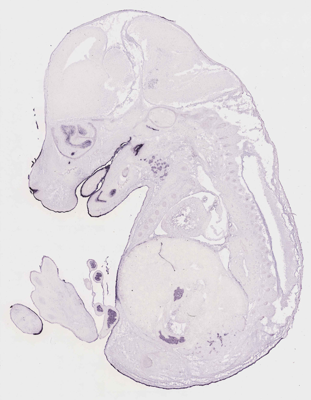
Specimen euxassay_004326_02: embryonic day 14.5 (more )
Structure Level Pattern Image Note
TS23: stomach Strong Regionally restricted euxassay_004326_02
TS23: epidermis Moderate Regionally restricted euxassay_004326_02
TS23: pharyngo-tympanic tube Moderate Regionally restricted euxassay_004326_02
TS23: cornea epithelium Strong Regionally restricted euxassay_004326_02

Specimen euxassay_004326_03: embryonic day 14.5 (more )
Structure Level Pattern Image Note
TS23: stomach Strong Regionally restricted euxassay_004326_03
TS23: epidermis Moderate Regionally restricted euxassay_004326_03
TS23: pharyngo-tympanic tube Moderate Regionally restricted euxassay_004326_03
TS23: cornea epithelium Strong Regionally restricted euxassay_004326_03

Specimen euxassay_004326_04: embryonic day 14.5 (more )
Structure Level Pattern Image Note
TS23: stomach Strong Regionally restricted euxassay_004326_04
TS23: epidermis Moderate Regionally restricted euxassay_004326_04
TS23: pharyngo-tympanic tube Moderate Regionally restricted euxassay_004326_04
TS23: vibrissa Weak Regionally restricted euxassay_004326_04

Specimen euxassay_004326_05: embryonic day 14.5 (more )
Structure Level Pattern Image Note
TS23: stomach Strong Regionally restricted euxassay_004326_05
TS23: epidermis Moderate Regionally restricted euxassay_004326_05
TS23: pharyngo-tympanic tube Moderate Regionally restricted euxassay_004326_05
TS23: vibrissa Weak Regionally restricted euxassay_004326_05
TS23: renal calyx Weak Regionally restricted euxassay_004326_05

Specimen euxassay_004326_06: embryonic day 14.5 (more )
Structure Level Pattern Image Note
TS23: stomach Strong Regionally restricted euxassay_004326_06
TS23: epidermis Moderate Regionally restricted euxassay_004326_06
TS23: pharyngo-tympanic tube Moderate Regionally restricted euxassay_004326_06
TS23: oral epithelium Strong Regionally restricted euxassay_004326_06
TS23: vibrissa Weak Regionally restricted euxassay_004326_06
TS23: submandibular gland primordium Moderate Regionally restricted euxassay_004326_06
TS23: renal calyx Weak Regionally restricted euxassay_004326_06

Specimen euxassay_004326_07: embryonic day 14.5 (more )
Structure Level Pattern Image Note
TS23: stomach Strong Regionally restricted euxassay_004326_07
TS23: epidermis Strong Regionally restricted euxassay_004326_07
TS23: lower jaw molar Strong Regionally restricted euxassay_004326_07
TS23: oral epithelium Strong Regionally restricted euxassay_004326_07
TS23: upper jaw molar Strong Regionally restricted euxassay_004326_07
TS23: vibrissa Weak Regionally restricted euxassay_004326_07
TS23: submandibular gland primordium Moderate Regionally restricted euxassay_004326_07
TS23: olfactory epithelium Weak Regionally restricted euxassay_004326_07
TS23: renal calyx Weak Regionally restricted euxassay_004326_07
TS23: midbrain ventricular layer Moderate Regionally restricted euxassay_004326_07

Specimen euxassay_004326_08: embryonic day 14.5 (more )
Structure Level Pattern Image Note
TS23: stomach Strong Regionally restricted euxassay_004326_08
TS23: epidermis Strong Regionally restricted euxassay_004326_08
TS23: oral epithelium Strong Regionally restricted euxassay_004326_08
TS23: submandibular gland primordium Moderate Regionally restricted euxassay_004326_08
TS23: olfactory epithelium Weak Regionally restricted euxassay_004326_08
TS23: renal calyx Moderate Regionally restricted euxassay_004326_08
TS23: midbrain ventricular layer Moderate Regionally restricted euxassay_004326_08

Specimen euxassay_004326_09: embryonic day 14.5 (more )
Structure Level Pattern Image Note
TS23: stomach Strong Regionally restricted euxassay_004326_09
TS23: rectum Strong Regionally restricted euxassay_004326_09
TS23: epidermis Strong Regionally restricted euxassay_004326_09
TS23: oral epithelium Strong Regionally restricted euxassay_004326_09
TS23: lower jaw molar Strong Regionally restricted euxassay_004326_09
TS23: submandibular gland primordium Moderate Regionally restricted euxassay_004326_09
TS23: olfactory epithelium Moderate Regionally restricted euxassay_004326_09
TS23: midbrain ventricular layer Moderate Regionally restricted euxassay_004326_09

Specimen euxassay_004326_10: embryonic day 14.5 (more )
Structure Level Pattern Image Note
TS23: stomach Moderate Regionally restricted euxassay_004326_10
TS23: midgut loop Moderate Regionally restricted euxassay_004326_10
TS23: epidermis Strong Regionally restricted euxassay_004326_10
TS23: oral epithelium Strong Regionally restricted euxassay_004326_10
TS23: olfactory epithelium Weak Regionally restricted euxassay_004326_10
TS23: midbrain ventricular layer Moderate Regionally restricted euxassay_004326_10

Specimen euxassay_004326_11: embryonic day 14.5 (more )
Structure Level Pattern Image Note
TS23: midgut loop Moderate Regionally restricted euxassay_004326_11
TS23: epidermis Strong Regionally restricted euxassay_004326_11
TS23: lower jaw incisor Strong Regionally restricted euxassay_004326_11
TS23: upper jaw incisor Strong Regionally restricted euxassay_004326_11
TS23: oral epithelium Strong Regionally restricted euxassay_004326_11
TS23: thymus primordium Strong Regionally restricted euxassay_004326_11
TS23: nasal cavity respiratory epithelium Moderate Regionally restricted euxassay_004326_11
TS23: olfactory epithelium Moderate Regionally restricted euxassay_004326_11
TS23: naris Moderate Regionally restricted euxassay_004326_11
TS23: bladder Weak Regionally restricted euxassay_004326_11
TS23: midbrain ventricular layer Moderate Regionally restricted euxassay_004326_11

Specimen euxassay_004326_12: embryonic day 14.5 (more )
Structure Level Pattern Image Note
TS23: midgut Moderate Regionally restricted euxassay_004326_12
TS23: midgut loop Moderate Regionally restricted euxassay_004326_12
TS23: epidermis Strong Regionally restricted euxassay_004326_12
TS23: lower jaw incisor Strong Regionally restricted euxassay_004326_12
TS23: oral epithelium Strong Regionally restricted euxassay_004326_12
TS23: upper jaw incisor Strong Regionally restricted euxassay_004326_12
TS23: thymus primordium Strong Regionally restricted euxassay_004326_12
TS23: naris Moderate Regionally restricted euxassay_004326_12
TS23: nasal cavity respiratory epithelium Moderate Regionally restricted euxassay_004326_12
TS23: bladder Weak Regionally restricted euxassay_004326_12
TS23: midbrain ventricular layer Moderate Regionally restricted euxassay_004326_12

Specimen euxassay_004326_13: embryonic day 14.5 (more )
Structure Level Pattern Image Note
TS23: midgut loop Moderate Regionally restricted euxassay_004326_13
TS23: midgut Moderate Regionally restricted euxassay_004326_13
TS23: hindgut Moderate Regionally restricted euxassay_004326_13
TS23: epidermis Strong Regionally restricted euxassay_004326_13
TS23: esophagus Strong Regionally restricted euxassay_004326_13
TS23: oral epithelium Strong Regionally restricted euxassay_004326_13
TS23: thymus primordium Strong Regionally restricted euxassay_004326_13
TS23: naris Moderate Regionally restricted euxassay_004326_13
TS23: larynx Moderate Regionally restricted euxassay_004326_13
TS23: midbrain ventricular layer Moderate Regionally restricted euxassay_004326_13

Specimen euxassay_004326_14: embryonic day 14.5 (more )
Structure Level Pattern Image Note
TS23: midgut Moderate Regionally restricted euxassay_004326_14
TS23: midgut loop Moderate Regionally restricted euxassay_004326_14
TS23: hindgut Moderate Regionally restricted euxassay_004326_14
TS23: epidermis Strong Regionally restricted euxassay_004326_14
TS23: oral epithelium Strong Regionally restricted euxassay_004326_14
TS23: thymus primordium Strong Regionally restricted euxassay_004326_14
TS23: naris Moderate Regionally restricted euxassay_004326_14
TS23: nasal cavity respiratory epithelium Moderate Regionally restricted euxassay_004326_14
TS23: olfactory epithelium Moderate Regionally restricted euxassay_004326_14
TS23: larynx Moderate Regionally restricted euxassay_004326_14
TS23: midbrain ventricular layer Moderate Regionally restricted euxassay_004326_14

Specimen euxassay_004326_15: embryonic day 14.5 (more )
Structure Level Pattern Image Note
TS23: midgut loop Moderate Regionally restricted euxassay_004326_15
TS23: midgut Moderate Regionally restricted euxassay_004326_15
TS23: hindgut Moderate Regionally restricted euxassay_004326_15
TS23: epidermis Strong Regionally restricted euxassay_004326_15
TS23: oral epithelium Strong Regionally restricted euxassay_004326_15
TS23: thymus primordium Strong Regionally restricted euxassay_004326_15
TS23: nasal cavity respiratory epithelium Moderate Regionally restricted euxassay_004326_15
TS23: olfactory epithelium Moderate Regionally restricted euxassay_004326_15
TS23: naris Moderate Regionally restricted euxassay_004326_15
TS23: midbrain ventricular layer Moderate Regionally restricted euxassay_004326_15

Specimen euxassay_004326_16: embryonic day 14.5 (more )
Structure Level Pattern Image Note
TS23: hindgut Moderate Regionally restricted euxassay_004326_16
TS23: midgut Moderate Regionally restricted euxassay_004326_16
TS23: epidermis Strong Regionally restricted euxassay_004326_16
TS23: upper jaw incisor Strong Regionally restricted euxassay_004326_16
TS23: oral epithelium Strong Regionally restricted euxassay_004326_16
TS23: lower jaw incisor Strong Regionally restricted euxassay_004326_16
TS23: thymus primordium Strong Regionally restricted euxassay_004326_16
TS23: olfactory epithelium Moderate Regionally restricted euxassay_004326_16
TS23: nasal cavity respiratory epithelium Moderate Regionally restricted euxassay_004326_16
TS23: naris Moderate Regionally restricted euxassay_004326_16
TS23: renal calyx Moderate Regionally restricted euxassay_004326_16

Specimen euxassay_004326_17: embryonic day 14.5 (more )
Structure Level Pattern Image Note
TS23: midgut loop Moderate Regionally restricted euxassay_004326_17
TS23: midgut Moderate Regionally restricted euxassay_004326_17
TS23: epidermis Strong Regionally restricted euxassay_004326_17
TS23: lower jaw incisor Strong Regionally restricted euxassay_004326_17
TS23: lower jaw molar Strong Regionally restricted euxassay_004326_17
TS23: oral epithelium Strong Regionally restricted euxassay_004326_17
TS23: submandibular gland primordium Moderate Regionally restricted euxassay_004326_17
TS23: olfactory epithelium Moderate Regionally restricted euxassay_004326_17
TS23: renal calyx Moderate Regionally restricted euxassay_004326_17

Specimen euxassay_004326_18: embryonic day 14.5 (more )
Structure Level Pattern Image Note
TS23: midgut loop Moderate Regionally restricted euxassay_004326_18
TS23: midgut Moderate Regionally restricted euxassay_004326_18
TS23: epidermis Strong Regionally restricted euxassay_004326_18
TS23: lower jaw molar Strong Regionally restricted euxassay_004326_18
TS23: oral epithelium Strong Regionally restricted euxassay_004326_18
TS23: submandibular gland primordium Moderate Regionally restricted euxassay_004326_18
TS23: olfactory epithelium Moderate Regionally restricted euxassay_004326_18

Specimen euxassay_004326_19: embryonic day 14.5 (more )
Structure Level Pattern Image Note
TS23: midgut loop Moderate Regionally restricted euxassay_004326_19
TS23: epidermis Strong Regionally restricted euxassay_004326_19
TS23: oral epithelium Strong Regionally restricted euxassay_004326_19
TS23: lower jaw molar Strong Regionally restricted euxassay_004326_19
TS23: upper jaw molar Strong Regionally restricted euxassay_004326_19
TS23: submandibular gland primordium Moderate Regionally restricted euxassay_004326_19

Specimen euxassay_004326_20: embryonic day 14.5 (more )
Structure Level Pattern Image Note
TS23: epidermis Strong Regionally restricted euxassay_004326_20
TS23: pharyngo-tympanic tube Moderate Regionally restricted euxassay_004326_20
TS23: oral epithelium Strong Regionally restricted euxassay_004326_20
TS23: vibrissa Weak Regionally restricted euxassay_004326_20
TS23: submandibular gland primordium Moderate Regionally restricted euxassay_004326_20

Specimen euxassay_004326_21: embryonic day 14.5 (more )
Structure Level Pattern Image Note
TS23: epidermis Strong Regionally restricted euxassay_004326_21
TS23: pharyngo-tympanic tube Moderate Regionally restricted euxassay_004326_21
TS23: vibrissa Weak Regionally restricted euxassay_004326_21

Specimen euxassay_004326_22: embryonic day 14.5 (more )
Structure Level Pattern Image Note
TS23: epidermis Strong Regionally restricted euxassay_004326_22
TS23: pharyngo-tympanic tube Moderate Regionally restricted euxassay_004326_22
TS23: vibrissa Weak Regionally restricted euxassay_004326_22
TS23: cornea epithelium Strong Regionally restricted euxassay_004326_22

Specimen euxassay_004326_23: embryonic day 14.5 (more )
Structure Level Pattern Image Note
TS23: epidermis Strong Regionally restricted euxassay_004326_23
TS23: pharyngo-tympanic tube Moderate Regionally restricted euxassay_004326_23
TS23: cornea epithelium Strong Regionally restricted euxassay_004326_23

Specimen euxassay_004326_24: embryonic day 14.5 (more )
Structure Level Pattern Image Note
TS23: epidermis Strong Regionally restricted euxassay_004326_24
TS23: pharyngo-tympanic tube Moderate Regionally restricted euxassay_004326_24
TS23: cornea epithelium Strong Regionally restricted euxassay_004326_24


Contributing Projects:
Mouse Genome Database (MGD), Gene Expression Database (GXD), Mouse Models of Human Cancer database (MMHCdb) (formerly Mouse Tumor Biology (MTB)), Gene Ontology (GO)
Citing These Resources
Funding Information
Warranty Disclaimer, Privacy Notice, Licensing, & Copyright
Send questions and comments to User Support.
last database update
03/31/2026
MGI 6.24
The Jackson Laboratory