About   Help   FAQ
Gene Expression Data
Assay Details
Assay
Reference: J:153498 Diez-Roux G, et al., A high-resolution anatomical atlas of the transcriptome in the mouse embryo. PLoS Biol. 2011;9(1):e1000582
Assay type: RNA in situ
MGI Accession ID: MGI:4824357
Gene symbol: Dnajc9
Gene name: DnaJ heat shock protein family (Hsp40) member C9
Probe: MGC clone 25657
Probe preparation: Antisense labelled with digoxigenin RNA
Visualized with: Alkaline phosphatase
Assay notes: Cryosections of fresh frozen material were fixed in 4% paraformaldehyde for 20 min. before further processing. A tyramide-biotin/streptavidin amplification step was included in the in situ hybridization procedure.
Results
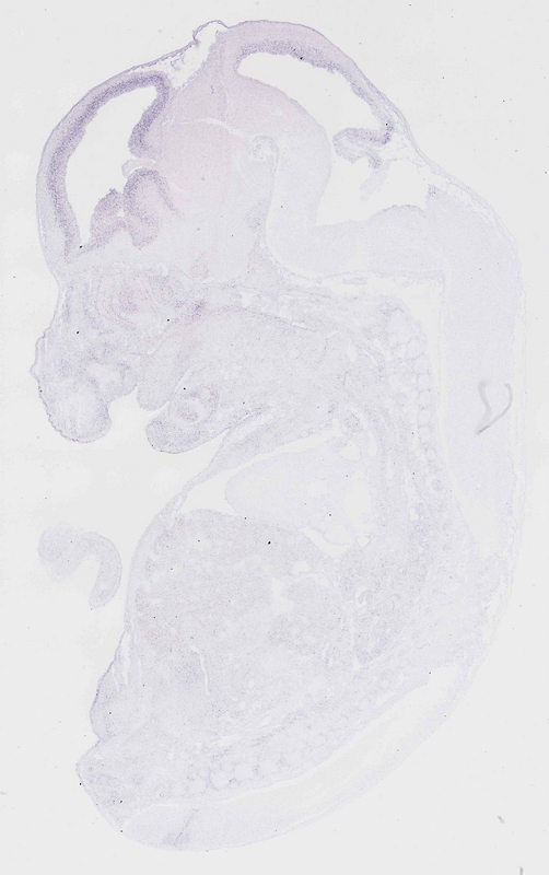
Specimen euxassay_001729_02: embryonic day 14.5 (more )
Structure Level Pattern Image Note
TS23: telencephalon ventricular layer Moderate Regionally restricted euxassay_001729_02

Specimen euxassay_001729_03: embryonic day 14.5 (more )
Structure Level Pattern Image Note
TS23: telencephalon ventricular layer Moderate Regionally restricted euxassay_001729_03

Specimen euxassay_001729_04: embryonic day 14.5 (more )
Structure Level Pattern Image Note
TS23: telencephalon ventricular layer Moderate Regionally restricted euxassay_001729_04

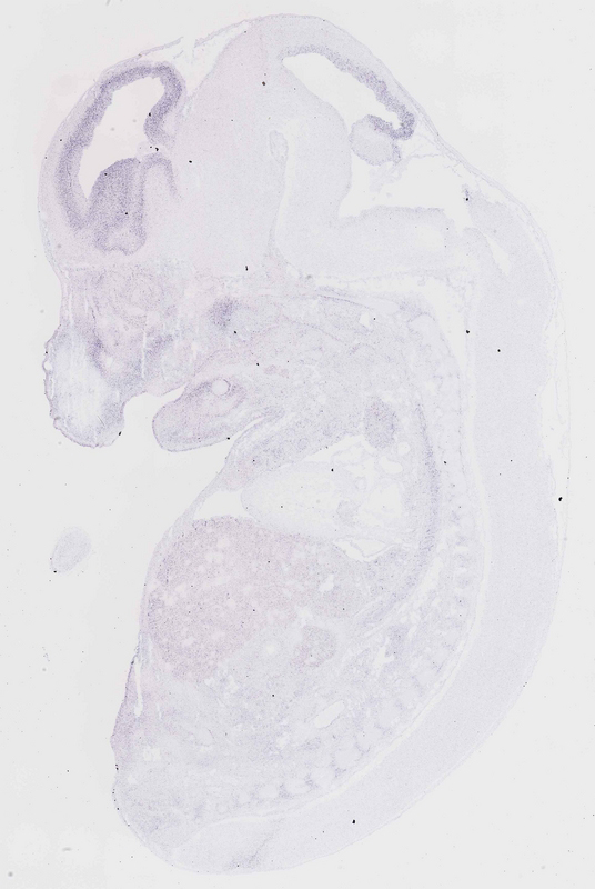
Specimen euxassay_001729_05: embryonic day 14.5 (more )
Structure Level Pattern Image Note
TS23: telencephalon ventricular layer Moderate Regionally restricted euxassay_001729_05
TS23: midbrain ventricular layer Moderate Regionally restricted euxassay_001729_05

Specimen euxassay_001729_06: embryonic day 14.5 (more )
Structure Level Pattern Image Note
TS23: telencephalon ventricular layer Moderate Regionally restricted euxassay_001729_06
TS23: midbrain ventricular layer Moderate Regionally restricted euxassay_001729_06

Specimen euxassay_001729_07: embryonic day 14.5 (more )
Structure Level Pattern Image Note
TS23: telencephalon ventricular layer Moderate Regionally restricted euxassay_001729_07
TS23: midbrain ventricular layer Moderate Regionally restricted euxassay_001729_07

Specimen euxassay_001729_08: embryonic day 14.5 (more )
Structure Level Pattern Image Note
TS23: telencephalon ventricular layer Moderate Regionally restricted euxassay_001729_08
TS23: midbrain ventricular layer Moderate Regionally restricted euxassay_001729_08

Specimen euxassay_001729_09: embryonic day 14.5 (more )
Structure Level Pattern Image Note
TS23: telencephalon ventricular layer Moderate Regionally restricted euxassay_001729_09
TS23: midbrain ventricular layer Moderate Regionally restricted euxassay_001729_09

Specimen euxassay_001729_10: embryonic day 14.5 (more )
Structure Level Pattern Image Note
TS23: telencephalon ventricular layer Moderate Regionally restricted euxassay_001729_10
TS23: midbrain ventricular layer Moderate Regionally restricted euxassay_001729_10

Specimen euxassay_001729_11: embryonic day 14.5 (more )
Structure Level Pattern Image Note
TS23: telencephalon ventricular layer Moderate Regionally restricted euxassay_001729_11
TS23: midbrain ventricular layer Moderate Regionally restricted euxassay_001729_11

Specimen euxassay_001729_12: embryonic day 14.5 (more )
Structure Level Pattern Image Note
TS23: telencephalon ventricular layer Moderate Regionally restricted euxassay_001729_12
TS23: midbrain ventricular layer Moderate Regionally restricted euxassay_001729_12

Specimen euxassay_001729_13: embryonic day 14.5 (more )
Structure Level Pattern Image Note
TS23: telencephalon ventricular layer Moderate Regionally restricted euxassay_001729_13
TS23: midbrain ventricular layer Moderate Regionally restricted euxassay_001729_13

Specimen euxassay_001729_14: embryonic day 14.5 (more )
Structure Level Pattern Image Note
TS23: telencephalon ventricular layer Moderate Regionally restricted euxassay_001729_14
TS23: midbrain ventricular layer Moderate Regionally restricted euxassay_001729_14

Specimen euxassay_001729_15: embryonic day 14.5 (more )
Structure Level Pattern Image Note
TS23: telencephalon ventricular layer Moderate Regionally restricted euxassay_001729_15
TS23: midbrain ventricular layer Moderate Regionally restricted euxassay_001729_15

Specimen euxassay_001729_16: embryonic day 14.5 (more )
Structure Level Pattern Image Note
TS23: telencephalon ventricular layer Moderate Regionally restricted euxassay_001729_16

Specimen euxassay_001729_17: embryonic day 14.5 (more )
Structure Level Pattern Image Note
TS23: telencephalon ventricular layer Moderate Regionally restricted euxassay_001729_17

Specimen euxassay_001729_18: embryonic day 14.5 (more )
Structure Level Pattern Image Note
TS23: telencephalon ventricular layer Moderate Regionally restricted euxassay_001729_18

Specimen euxassay_001729_19: embryonic day 14.5 (more )
Structure Level Pattern Image Note
TS23: telencephalon ventricular layer Moderate Regionally restricted euxassay_001729_19

Specimen euxassay_001729_20: embryonic day 14.5 (more )
Structure Level Pattern Image Note
TS23: telencephalon ventricular layer Moderate Regionally restricted euxassay_001729_20


Contributing Projects:
Mouse Genome Database (MGD), Gene Expression Database (GXD), Mouse Models of Human Cancer database (MMHCdb) (formerly Mouse Tumor Biology (MTB)), Gene Ontology (GO)
Citing These Resources
Funding Information
Warranty Disclaimer, Privacy Notice, Licensing, & Copyright
Send questions and comments to User Support.
last database update
01/20/2026
MGI 6.24
The Jackson Laboratory