About   Help   FAQ
Gene Expression Data
Assay Details
Assay
Reference: J:153498 Diez-Roux G, et al., A high-resolution anatomical atlas of the transcriptome in the mouse embryo. PLoS Biol. 2011;9(1):e1000582
Assay type: RNA in situ
MGI Accession ID: MGI:4824348
Gene symbol: Dnajb6
Gene name: DnaJ heat shock protein family (Hsp40) member B6
Probe: IMAGE clone 1531903
Probe preparation: Antisense labelled with digoxigenin RNA
Visualized with: Alkaline phosphatase
Assay notes: Cryosections of fresh frozen material were fixed in 4% paraformaldehyde for 20 min. before further processing. A tyramide-biotin/streptavidin amplification step was included in the in situ hybridization procedure.
Results
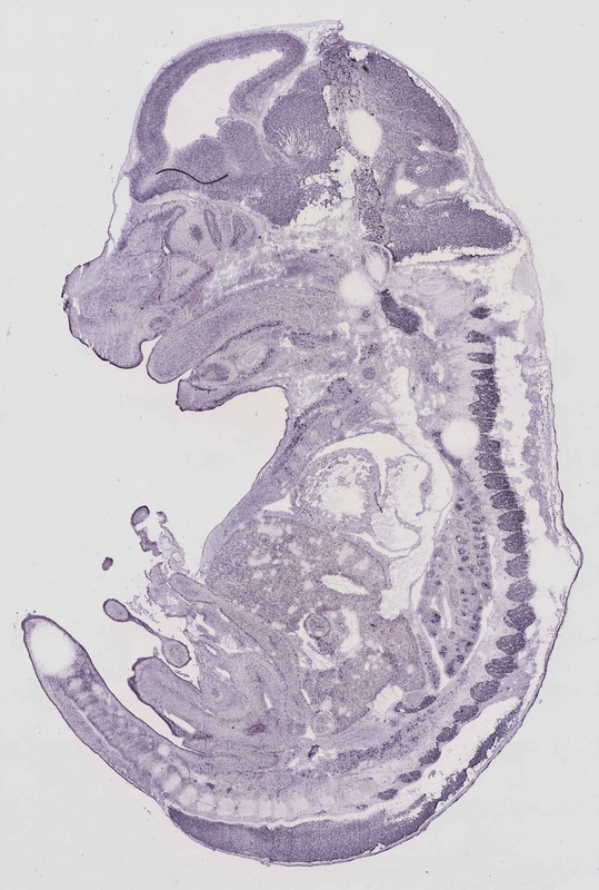
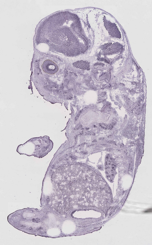
Specimen euxassay_001462_01: embryonic day 14.5 (more )
Structure Level Pattern Image Note
TS23: brain Moderate Uniform euxassay_001462_01

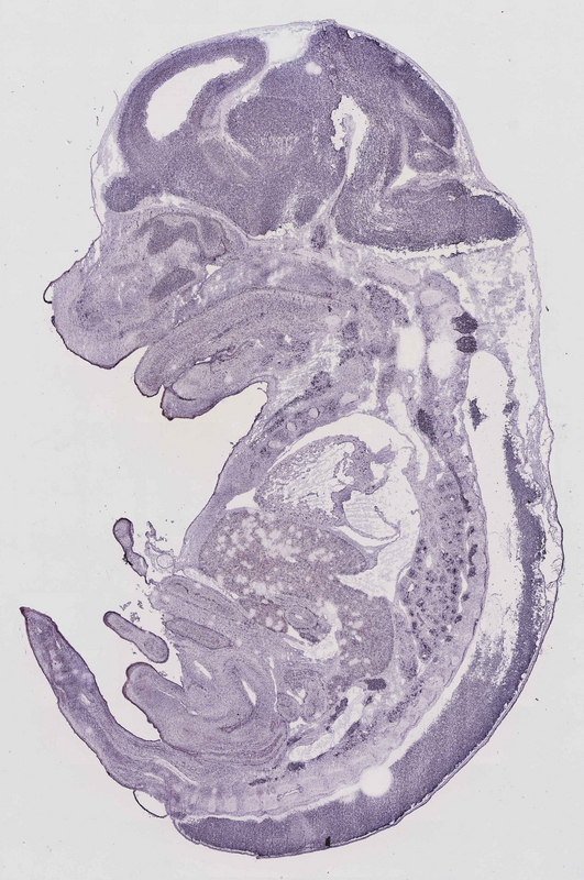
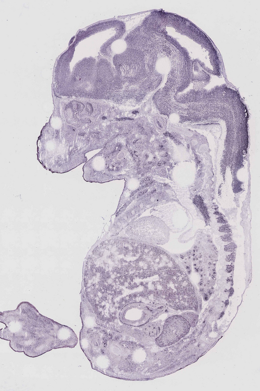
Specimen euxassay_001462_02: embryonic day 14.5 (more )
Structure Level Pattern Image Note
TS23: trigeminal ganglion Moderate Uniform euxassay_001462_02
TS23: brain Moderate Uniform euxassay_001462_02

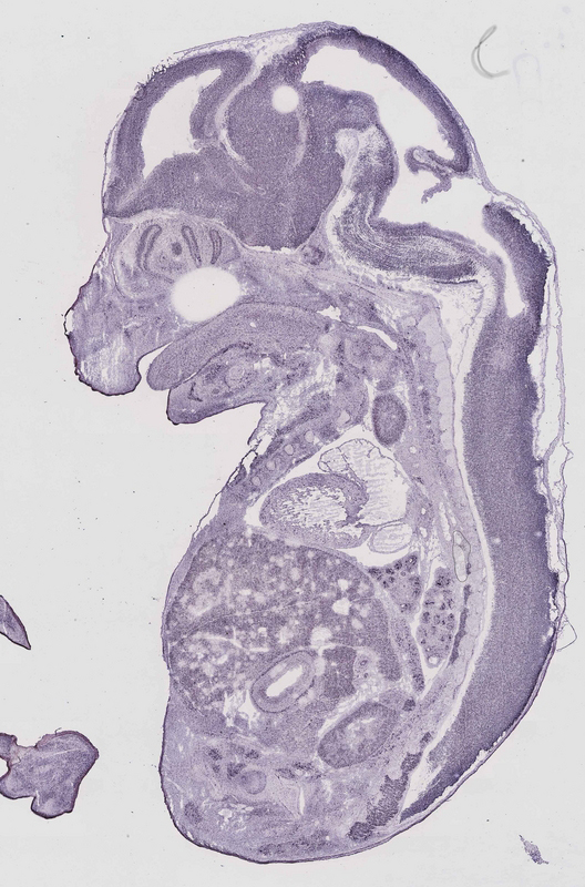
Specimen euxassay_001462_03: embryonic day 14.5 (more )
Structure Level Pattern Image Note
TS23: trigeminal ganglion Moderate Uniform euxassay_001462_03
TS23: brain Moderate Uniform euxassay_001462_03

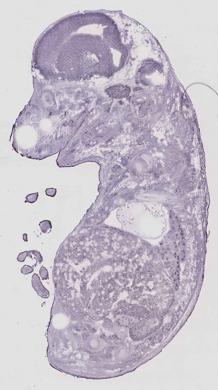
Specimen euxassay_001462_04: embryonic day 14.5 (more )
Structure Level Pattern Image Note
TS23: trigeminal ganglion Moderate Uniform euxassay_001462_04
TS23: glossopharyngeal ganglion Moderate Uniform euxassay_001462_04
TS23: tail dorsal root ganglion Moderate Regionally restricted euxassay_001462_04
TS23: brain Moderate Uniform euxassay_001462_04

Specimen euxassay_001462_05: embryonic day 14.5 (more )
Structure Level Pattern Image Note
TS23: glossopharyngeal ganglion Moderate Uniform euxassay_001462_05
TS23: trigeminal ganglion Moderate Uniform euxassay_001462_05
TS23: tail dorsal root ganglion Moderate Regionally restricted euxassay_001462_05
TS23: brain Moderate Uniform euxassay_001462_05

Specimen euxassay_001462_06: embryonic day 14.5 (more )
Structure Level Pattern Image Note
TS23: trigeminal ganglion Moderate Uniform euxassay_001462_06
TS23: tail dorsal root ganglion Moderate Regionally restricted euxassay_001462_06
TS23: cervical ganglion Moderate Regionally restricted euxassay_001462_06
TS23: brain Moderate Uniform euxassay_001462_06
TS23: spinal cord Moderate Uniform euxassay_001462_06

Specimen euxassay_001462_07: embryonic day 14.5 (more )
Structure Level Pattern Image Note
TS23: tail dorsal root ganglion Moderate Regionally restricted euxassay_001462_07
TS23: cervico-thoracic ganglion Moderate Regionally restricted euxassay_001462_07
TS23: brain Moderate Uniform euxassay_001462_07
TS23: spinal cord Moderate Uniform euxassay_001462_07

Specimen euxassay_001462_08: embryonic day 14.5 (more )
Structure Level Pattern Image Note
TS23: tail dorsal root ganglion Moderate Regionally restricted euxassay_001462_08
TS23: cervico-thoracic ganglion Moderate Regionally restricted euxassay_001462_08
TS23: brain Moderate Uniform euxassay_001462_08
TS23: spinal cord Moderate Uniform euxassay_001462_08

Specimen euxassay_001462_09: embryonic day 14.5 (more )
Structure Level Pattern Image Note
TS23: tail dorsal root ganglion Moderate Regionally restricted euxassay_001462_09
TS23: thoracic ganglion Moderate Regionally restricted euxassay_001462_09
TS23: brain Moderate Uniform euxassay_001462_09
TS23: spinal cord Moderate Uniform euxassay_001462_09

Specimen euxassay_001462_10: embryonic day 14.5 (more )
Structure Level Pattern Image Note
TS23: thoracic ganglion Moderate Regionally restricted euxassay_001462_10
TS23: brain Moderate Uniform euxassay_001462_10
TS23: spinal cord Moderate Uniform euxassay_001462_10

Specimen euxassay_001462_11: embryonic day 14.5 (more )
Structure Level Pattern Image Note
TS23: tail dorsal root ganglion Moderate Regionally restricted euxassay_001462_11
TS23: thoracic ganglion Moderate Regionally restricted euxassay_001462_11
TS23: cervico-thoracic ganglion Moderate Regionally restricted euxassay_001462_11
TS23: brain Moderate Uniform euxassay_001462_11
TS23: spinal cord Moderate Uniform euxassay_001462_11

Specimen euxassay_001462_12: embryonic day 14.5 (more )
Structure Level Pattern Image Note
TS23: tail dorsal root ganglion Moderate Regionally restricted euxassay_001462_12
TS23: cervical ganglion Moderate Regionally restricted euxassay_001462_12
TS23: cervico-thoracic ganglion Moderate Regionally restricted euxassay_001462_12
TS23: brain Moderate Uniform euxassay_001462_12
TS23: spinal cord Moderate Uniform euxassay_001462_12

Specimen euxassay_001462_13: embryonic day 14.5 (more )
Structure Level Pattern Image Note
TS23: trigeminal ganglion Moderate Uniform euxassay_001462_13
TS23: glossopharyngeal ganglion Moderate Uniform euxassay_001462_13
TS23: tail dorsal root ganglion Moderate Regionally restricted euxassay_001462_13
TS23: brain Moderate Uniform euxassay_001462_13
TS23: spinal cord Moderate Uniform euxassay_001462_13

Specimen euxassay_001462_14: embryonic day 14.5 (more )
Structure Level Pattern Image Note
TS23: trigeminal ganglion Moderate Uniform euxassay_001462_14
TS23: brain Moderate Uniform euxassay_001462_14

Specimen euxassay_001462_15: embryonic day 14.5 (more )
Structure Level Pattern Image Note
TS23: trigeminal ganglion Moderate Uniform euxassay_001462_15
TS23: brain Moderate Uniform euxassay_001462_15

Specimen euxassay_001462_16: embryonic day 14.5 (more )
Structure Level Pattern Image Note
TS23: trigeminal ganglion Moderate Uniform euxassay_001462_16
TS23: brain Moderate Uniform euxassay_001462_16

Specimen euxassay_001462_17: embryonic day 14.5 (more )
Structure Level Pattern Image Note
TS23: brain Moderate Uniform euxassay_001462_17

Specimen euxassay_001462_18: embryonic day 14.5 (more )
Structure Level Pattern Image Note
TS23: brain Moderate Uniform euxassay_001462_18


Contributing Projects:
Mouse Genome Database (MGD), Gene Expression Database (GXD), Mouse Models of Human Cancer database (MMHCdb) (formerly Mouse Tumor Biology (MTB)), Gene Ontology (GO)
Citing These Resources
Funding Information
Warranty Disclaimer, Privacy Notice, Licensing, & Copyright
Send questions and comments to User Support.
last database update
03/31/2026
MGI 6.24
The Jackson Laboratory