About   Help   FAQ
Gene Expression Data
Assay Details
Assay
Reference: J:153498 Diez-Roux G, et al., A high-resolution anatomical atlas of the transcriptome in the mouse embryo. PLoS Biol. 2011;9(1):e1000582
Assay type: RNA in situ
MGI Accession ID: MGI:4824347
Gene symbol: Dnajb5
Gene name: DnaJ heat shock protein family (Hsp40) member B5
Probe: IMAGE clone 761063
Probe preparation: Antisense labelled with digoxigenin RNA
Visualized with: Alkaline phosphatase
Assay notes: Cryosections of fresh frozen material were fixed in 4% paraformaldehyde for 20 min. before further processing. A tyramide-biotin/streptavidin amplification step was included in the in situ hybridization procedure.
Results
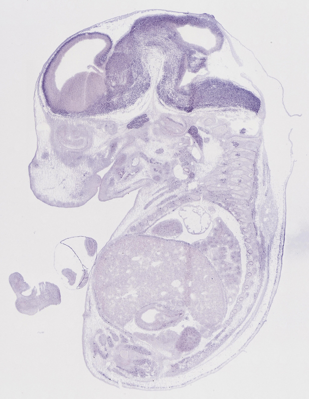
Specimen euxassay_000077_01: embryonic day 14.5 (more )
Structure Level Pattern Image Note
TS23: vagus ganglion Weak Single cells euxassay_000077_01
TS23: central nervous system Strong Regionally restricted euxassay_000077_01
TS23: telencephalon Strong Regionally restricted euxassay_000077_01
TS23: cerebral cortex Strong Regionally restricted euxassay_000077_01
TS23: cerebral cortex marginal layer Strong Regionally restricted euxassay_000077_01

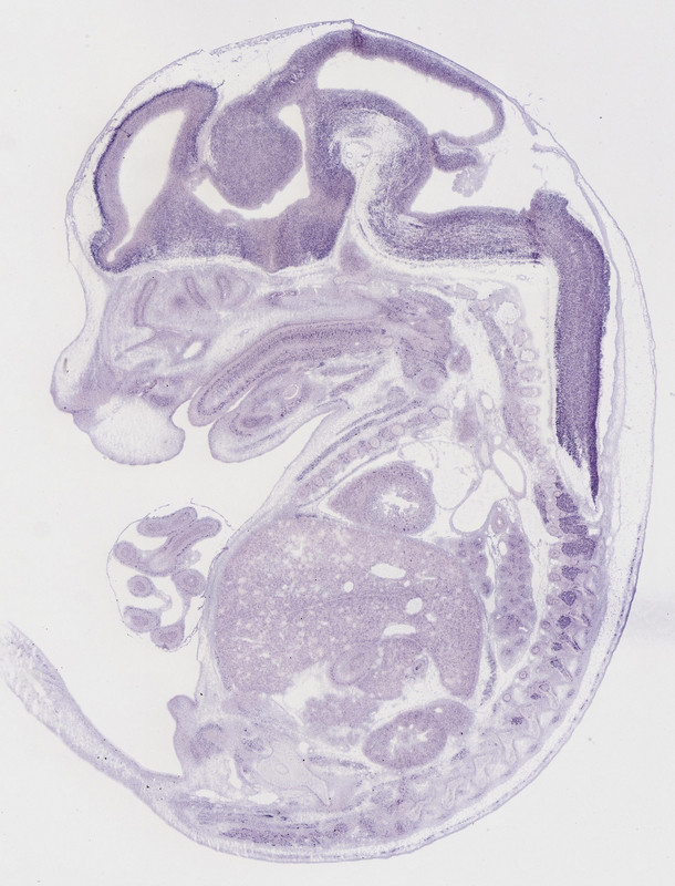
Specimen euxassay_000077_02: embryonic day 14.5 (more )
Structure Level Pattern Image Note
TS23: cerebral cortex Strong Regionally restricted euxassay_000077_02
TS23: pectoral girdle and thoracic body wall musculature Weak Single cells euxassay_000077_02
TS23: parasympathetic nerve Weak Single cells euxassay_000077_02
TS23: parasympathetic nervous system Weak Single cells euxassay_000077_02
TS23: neural retina Moderate Regionally restricted euxassay_000077_02

Specimen euxassay_000077_03: embryonic day 14.5 (more )
Structure Level Pattern Image Note
TS23: neural retina Moderate Regionally restricted euxassay_000077_03
TS23: pectoral girdle and thoracic body wall musculature Weak Regionally restricted euxassay_000077_03
TS23: cerebral cortex Moderate Regionally restricted euxassay_000077_03

Specimen euxassay_000077_04: embryonic day 14.5 (more )
Structure Level Pattern Image Note
TS23: neural retina Moderate Regionally restricted euxassay_000077_04
TS23: parasympathetic nervous system Weak Regionally restricted euxassay_000077_04
TS23: vagal nerve trunk Weak Regionally restricted euxassay_000077_04
TS23: trigeminal ganglion Weak Regionally restricted euxassay_000077_04
TS23: cerebral cortex Strong Regionally restricted euxassay_000077_04

Specimen euxassay_000077_05: embryonic day 14.5 (more )
Structure Level Pattern Image Note
TS23: cerebral cortex Strong Regionally restricted euxassay_000077_05
TS23: cerebellum Strong Regionally restricted euxassay_000077_05
TS23: trigeminal ganglion Strong Regionally restricted euxassay_000077_05
TS23: retina Strong Regionally restricted euxassay_000077_05
TS23: parasympathetic nervous system Moderate Regionally restricted euxassay_000077_05
TS23: pectoral girdle and thoracic body wall musculature Moderate Spotted euxassay_000077_05
TS23: pelvic girdle musculature Moderate Spotted euxassay_000077_05

Specimen euxassay_000077_06: embryonic day 14.5 (more )
Structure Level Pattern Image Note
TS23: parasympathetic nervous system Strong Regionally restricted euxassay_000077_06
TS23: retina Strong Regionally restricted euxassay_000077_06
TS23: trigeminal ganglion Strong Regionally restricted euxassay_000077_06
TS23: cerebral cortex Strong Regionally restricted euxassay_000077_06
TS23: cerebral cortex marginal layer Strong Regionally restricted euxassay_000077_06
TS23: cerebellum Strong Regionally restricted euxassay_000077_06
TS23: metencephalon rest of alar plate Strong Regionally restricted euxassay_000077_06
TS23: midbrain marginal layer Strong Regionally restricted euxassay_000077_06

Specimen euxassay_000077_07: embryonic day 14.5 (more )
Structure Level Pattern Image Note
TS23: telencephalon Strong Regionally restricted euxassay_000077_07
TS23: cerebral cortex Strong Regionally restricted euxassay_000077_07
TS23: cerebellum Strong Regionally restricted euxassay_000077_07
TS23: metencephalon rest of alar plate Strong Regionally restricted euxassay_000077_07
TS23: midbrain Strong Regionally restricted euxassay_000077_07
TS23: midbrain lateral wall Strong Regionally restricted euxassay_000077_07
TS23: trigeminal ganglion Strong Regionally restricted euxassay_000077_07
TS23: vagus ganglion Moderate Regionally restricted euxassay_000077_07

Specimen euxassay_000077_08: embryonic day 14.5 (more )
Structure Level Pattern Image Note
TS23: facial ganglion Strong Regionally restricted euxassay_000077_08
TS23: glossopharyngeal ganglion Strong Regionally restricted euxassay_000077_08
TS23: trigeminal ganglion Strong Regionally restricted euxassay_000077_08
TS23: inferior vagus ganglion Strong Regionally restricted euxassay_000077_08
TS23: vagus ganglion Strong Regionally restricted euxassay_000077_08
TS23: midbrain Strong Regionally restricted euxassay_000077_08
TS23: midbrain lateral wall Strong Regionally restricted euxassay_000077_08
TS23: metencephalon basal plate Strong Regionally restricted euxassay_000077_08
TS23: metencephalon alar plate Strong Regionally restricted euxassay_000077_08
TS23: cerebral cortex marginal layer Strong Regionally restricted euxassay_000077_08
TS23: cerebral cortex Strong Regionally restricted euxassay_000077_08
TS23: parasympathetic nervous system Moderate Regionally restricted euxassay_000077_08
TS23: cervico-thoracic ganglion Moderate Regionally restricted euxassay_000077_08

Specimen euxassay_000077_09: embryonic day 14.5 (more )
Structure Level Pattern Image Note
TS23: midbrain Strong Uniform euxassay_000077_09
TS23: central nervous system ganglion Strong Uniform euxassay_000077_09
TS23: hindbrain Strong Uniform euxassay_000077_09
TS23: telencephalon Strong Regionally restricted euxassay_000077_09
TS23: cerebral cortex marginal layer Strong Regionally restricted euxassay_000077_09
TS23: vibrissa Weak Regionally restricted euxassay_000077_09
TS23: pelvic girdle musculature Moderate Spotted euxassay_000077_09
TS23: pectoral girdle and thoracic body wall musculature Moderate Spotted euxassay_000077_09
TS23: cranial ganglion Strong Regionally restricted euxassay_000077_09
TS23: facial ganglion Strong Regionally restricted euxassay_000077_09
TS23: glossopharyngeal ganglion Strong Regionally restricted euxassay_000077_09
TS23: trigeminal ganglion Strong Regionally restricted euxassay_000077_09
TS23: vagus ganglion Strong Regionally restricted euxassay_000077_09
TS23: vestibulo-cochlear ganglion Strong Regionally restricted euxassay_000077_09
TS23: accessory nerve Strong Regionally restricted euxassay_000077_09
TS23: facial nerve Strong Regionally restricted euxassay_000077_09
TS23: trigeminal nerve Strong Regionally restricted euxassay_000077_09
TS23: vestibulocochlear nerve Strong Regionally restricted euxassay_000077_09
TS23: parasympathetic nervous system Weak Single cells euxassay_000077_09

Specimen euxassay_000077_10: embryonic day 14.5 (more )
Structure Level Pattern Image Note
TS23: hindbrain Strong Uniform euxassay_000077_10
TS23: midbrain Strong Uniform euxassay_000077_10
TS23: telencephalon Strong Regionally restricted euxassay_000077_10
TS23: cerebral cortex Strong Regionally restricted euxassay_000077_10
TS23: cerebral cortex marginal layer Strong Regionally restricted euxassay_000077_10
TS23: cranial ganglion Strong Uniform euxassay_000077_10
TS23: facial ganglion Strong Uniform euxassay_000077_10
TS23: glossopharyngeal ganglion Strong Uniform euxassay_000077_10
TS23: trigeminal ganglion Strong Uniform euxassay_000077_10
TS23: vagus ganglion Strong Uniform euxassay_000077_10
TS23: vestibulo-cochlear ganglion Strong Uniform euxassay_000077_10
TS23: metanephros Weak Uniform euxassay_000077_10
TS23: pelvic girdle musculature Weak Spotted euxassay_000077_10
TS23: pectoral girdle and thoracic body wall musculature Weak Spotted euxassay_000077_10
TS23: hypogastric plexus Weak Single cells euxassay_000077_10

Specimen euxassay_000077_11: embryonic day 14.5 (more )
Structure Level Pattern Image Note
TS23: forebrain Strong Regionally restricted euxassay_000077_11
TS23: cerebral cortex marginal layer Strong Regionally restricted euxassay_000077_11
TS23: cerebral cortex Strong Regionally restricted euxassay_000077_11
TS23: hindbrain Strong Uniform euxassay_000077_11
TS23: midbrain Strong Uniform euxassay_000077_11
TS23: central nervous system ganglion Strong Uniform euxassay_000077_11
TS23: central nervous system nerve Strong Uniform euxassay_000077_11
TS23: dorsal root ganglion Strong Uniform euxassay_000077_11
TS23: pelvic girdle musculature Moderate Regionally restricted euxassay_000077_11
TS23: heart Weak Single cells euxassay_000077_11

Specimen euxassay_000077_12: embryonic day 14.5 (more )
Structure Level Pattern Image Note
TS23: brain Strong Uniform euxassay_000077_12
TS23: hindbrain Strong Uniform euxassay_000077_12
TS23: midbrain Strong Uniform euxassay_000077_12
TS23: cerebral cortex Strong Regionally restricted euxassay_000077_12
TS23: cerebral cortex marginal layer Strong Regionally restricted euxassay_000077_12
TS23: telencephalon Strong Regionally restricted euxassay_000077_12
TS23: trigeminal ganglion Strong Regionally restricted euxassay_000077_12
TS23: trigeminal nerve Strong Regionally restricted euxassay_000077_12
TS23: vagus ganglion Strong Regionally restricted euxassay_000077_12
TS23: accessory nerve Strong Regionally restricted euxassay_000077_12
TS23: facial nerve Strong Regionally restricted euxassay_000077_12
TS23: dorsal root ganglion Moderate Regionally restricted euxassay_000077_12
TS23: hypogastric plexus Moderate Regionally restricted euxassay_000077_12
TS23: pelvic girdle musculature Moderate Regionally restricted euxassay_000077_12
TS23: lumbosacral plexus Moderate Regionally restricted euxassay_000077_12
TS23: heart Weak Single cells euxassay_000077_12
TS23: lung Weak Single cells euxassay_000077_12

Specimen euxassay_000077_13: embryonic day 14.5 (more )
Note: Additional information for this specimen was included in the Eurexpress data submission file.
Structure Level Pattern Image Note
TS23: hindbrain Strong Uniform euxassay_000077_13
TS23: midbrain Strong Uniform euxassay_000077_13
TS23: central nervous system ganglion Strong Uniform euxassay_000077_13
TS23: glossopharyngeal ganglion Strong Uniform euxassay_000077_13
TS23: hypoglossal nerve Strong Uniform euxassay_000077_13
TS23: dorsal root ganglion Strong Uniform euxassay_000077_13
TS23: lumbosacral plexus Strong Uniform euxassay_000077_13
TS23: telencephalon Strong Regionally restricted euxassay_000077_13
TS23: telencephalon septum Present euxassay_000077_13
TS23: cerebral cortex Strong Regionally restricted euxassay_000077_13
TS23: cerebral cortex marginal layer Strong Regionally restricted euxassay_000077_13
TS23: metanephros Weak Spotted euxassay_000077_13
TS23: lung Weak Spotted euxassay_000077_13
TS23: pectoral girdle and thoracic body wall musculature Moderate Regionally restricted euxassay_000077_13
TS23: tongue muscle Strong Regionally restricted euxassay_000077_13
TS23: tongue intrinsic muscle Strong Regionally restricted euxassay_000077_13
TS23: trigeminal nerve Strong Regionally restricted euxassay_000077_13
TS23: glossopharyngeal nerve Strong Regionally restricted euxassay_000077_13

Specimen euxassay_000077_14: embryonic day 14.5 (more )
Structure Level Pattern Image Note
TS23: autonomic nerve plexus Strong Regionally restricted euxassay_000077_14
TS23: hypoglossal nerve Strong Regionally restricted euxassay_000077_14
TS23: glossopharyngeal nerve Strong Regionally restricted euxassay_000077_14
TS23: central nervous system Strong Regionally restricted euxassay_000077_14
TS23: diencephalon Strong Regionally restricted euxassay_000077_14
TS23: midbrain Strong Regionally restricted euxassay_000077_14
TS23: hindbrain Strong Regionally restricted euxassay_000077_14
TS23: telencephalon Strong Regionally restricted euxassay_000077_14
TS23: cerebral cortex marginal layer Strong Regionally restricted euxassay_000077_14
TS23: vagus ganglion Strong Regionally restricted euxassay_000077_14
TS23: trigeminal ganglion Strong Regionally restricted euxassay_000077_14
TS23: thalamus Strong Regionally restricted euxassay_000077_14
TS23: spinal ganglion Strong Uniform euxassay_000077_14
TS23: dorsal root ganglion Strong Uniform euxassay_000077_14

Specimen euxassay_000077_15: embryonic day 14.5 (more )
Structure Level Pattern Image Note
TS23: thalamus Strong Regionally restricted euxassay_000077_15
TS23: diencephalon Strong Regionally restricted euxassay_000077_15
TS23: midbrain Strong Regionally restricted euxassay_000077_15
TS23: hindbrain Strong Regionally restricted euxassay_000077_15
TS23: hypothalamus Strong Regionally restricted euxassay_000077_15
TS23: glossopharyngeal nerve Strong Regionally restricted euxassay_000077_15
TS23: hypoglossal nerve Strong Regionally restricted euxassay_000077_15
TS23: trigeminal nerve Strong Regionally restricted euxassay_000077_15
TS23: spinal cord Strong Regionally restricted euxassay_000077_15
TS23: dorsal root ganglion Strong Regionally restricted euxassay_000077_15
TS23: vagus ganglion Strong Regionally restricted euxassay_000077_15

Specimen euxassay_000077_16: embryonic day 14.5 (more )
Structure Level Pattern Image Note
TS23: thalamus Strong Uniform euxassay_000077_16
TS23: hindbrain Strong Uniform euxassay_000077_16
TS23: midbrain Strong Uniform euxassay_000077_16
TS23: spinal cord Strong Uniform euxassay_000077_16
TS23: cerebral cortex marginal layer Strong Regionally restricted euxassay_000077_16
TS23: cerebral cortex Strong Regionally restricted euxassay_000077_16
TS23: glossopharyngeal nerve Strong Regionally restricted euxassay_000077_16
TS23: facial ganglion Strong Regionally restricted euxassay_000077_16
TS23: vagus ganglion Moderate Uniform euxassay_000077_16
TS23: heart Weak Single cells euxassay_000077_16
TS23: vagal nerve trunk Weak Regionally restricted euxassay_000077_16
TS23: olfactory epithelium Weak Regionally restricted euxassay_000077_16
TS23: facial nerve Weak Regionally restricted euxassay_000077_16
TS23: tongue Weak Spotted euxassay_000077_16
TS23: hypoglossal nerve Moderate Regionally restricted euxassay_000077_16

Specimen euxassay_000077_17: embryonic day 14.5 (more )
Structure Level Pattern Image Note
TS23: hypoglossal nerve Strong Regionally restricted euxassay_000077_17
TS23: glossopharyngeal nerve Strong Regionally restricted euxassay_000077_17
TS23: hypogastric plexus Strong Regionally restricted euxassay_000077_17
TS23: peripheral nerve trunk Strong Regionally restricted euxassay_000077_17
TS23: lumbosacral plexus Strong Regionally restricted euxassay_000077_17
TS23: cerebral cortex marginal layer Strong Regionally restricted euxassay_000077_17
TS23: hindbrain Strong Regionally restricted euxassay_000077_17
TS23: midbrain Strong Regionally restricted euxassay_000077_17
TS23: spinal cord Strong Regionally restricted euxassay_000077_17

Specimen euxassay_000077_18: embryonic day 14.5 (more )
Structure Level Pattern Image Note
TS23: cerebral cortex marginal layer Strong Regionally restricted euxassay_000077_18
TS23: cerebral cortex Strong Regionally restricted euxassay_000077_18
TS23: hindbrain Strong Uniform euxassay_000077_18
TS23: midbrain Strong Uniform euxassay_000077_18
TS23: spinal cord Strong Uniform euxassay_000077_18
TS23: hypoglossal nerve Strong Uniform euxassay_000077_18
TS23: hypogastric plexus Strong Uniform euxassay_000077_18
TS23: tongue Weak Regionally restricted euxassay_000077_18

Specimen euxassay_000077_19: embryonic day 14.5 (more )
Structure Level Pattern Image Note
TS23: lumbosacral plexus Strong Uniform euxassay_000077_19
TS23: hypogastric plexus Strong Uniform euxassay_000077_19
TS23: hypoglossal nerve Strong Uniform euxassay_000077_19
TS23: vagus ganglion Strong Uniform euxassay_000077_19
TS23: hindbrain Strong Uniform euxassay_000077_19
TS23: midbrain Strong Uniform euxassay_000077_19
TS23: spinal cord Strong Uniform euxassay_000077_19
TS23: cerebral cortex marginal layer Strong Regionally restricted euxassay_000077_19
TS23: tongue Weak Spotted euxassay_000077_19
TS23: tongue muscle Weak Spotted euxassay_000077_19
TS23: heart Weak Spotted euxassay_000077_19
TS23: trigeminal ganglion Strong Regionally restricted euxassay_000077_19
TS23: glossopharyngeal ganglion Strong Regionally restricted euxassay_000077_19
TS23: facial ganglion Strong Regionally restricted euxassay_000077_19
TS23: dorsal root ganglion Strong Uniform euxassay_000077_19

Specimen euxassay_000077_20: embryonic day 14.5 (more )
Structure Level Pattern Image Note
TS23: dorsal root ganglion Strong Uniform euxassay_000077_20
TS23: lumbosacral plexus Strong Uniform euxassay_000077_20
TS23: trigeminal nerve Strong Uniform euxassay_000077_20
TS23: trigeminal nerve maxillary division Strong Uniform euxassay_000077_20
TS23: glossopharyngeal nerve Strong Uniform euxassay_000077_20
TS23: vagus ganglion Strong Uniform euxassay_000077_20
TS23: trigeminal ganglion Strong Uniform euxassay_000077_20
TS23: glossopharyngeal ganglion Strong Uniform euxassay_000077_20
TS23: vestibulo-cochlear ganglion Strong Uniform euxassay_000077_20
TS23: midbrain Strong Uniform euxassay_000077_20
TS23: hindbrain Strong Uniform euxassay_000077_20
TS23: cerebral cortex Strong Regionally restricted euxassay_000077_20
TS23: cerebral cortex marginal layer Strong Regionally restricted euxassay_000077_20
TS23: heart Weak Spotted euxassay_000077_20
TS23: metanephros Weak Spotted euxassay_000077_20
TS23: lung Weak Spotted euxassay_000077_20

Specimen euxassay_000077_21: embryonic day 14.5 (more )
Structure Level Pattern Image Note
TS23: cerebral cortex marginal layer Strong Regionally restricted euxassay_000077_21
TS23: trigeminal ganglion Strong Regionally restricted euxassay_000077_21
TS23: glossopharyngeal ganglion Strong Regionally restricted euxassay_000077_21
TS23: facial ganglion Strong Regionally restricted euxassay_000077_21
TS23: vagus ganglion Strong Regionally restricted euxassay_000077_21
TS23: vestibulo-cochlear ganglion Strong Regionally restricted euxassay_000077_21
TS23: midbrain Strong Regionally restricted euxassay_000077_21
TS23: hindbrain Strong Regionally restricted euxassay_000077_21
TS23: dorsal root ganglion Strong Regionally restricted euxassay_000077_21
TS23: lumbosacral plexus Strong Regionally restricted euxassay_000077_21

Specimen euxassay_000077_22: embryonic day 14.5 (more )
Structure Level Pattern Image Note
TS23: lumbosacral plexus Strong Uniform euxassay_000077_22
TS23: trigeminal ganglion Strong Uniform euxassay_000077_22
TS23: vestibulo-cochlear ganglion Strong Uniform euxassay_000077_22
TS23: vagus ganglion Strong Uniform euxassay_000077_22
TS23: facial ganglion Strong Uniform euxassay_000077_22
TS23: glossopharyngeal ganglion Strong Uniform euxassay_000077_22
TS23: cerebral cortex marginal layer Strong Regionally restricted euxassay_000077_22
TS23: midbrain Strong Uniform euxassay_000077_22
TS23: hindbrain Strong Uniform euxassay_000077_22

Specimen euxassay_000077_23: embryonic day 14.5 (more )
Structure Level Pattern Image Note
TS23: lumbosacral plexus Weak Regionally restricted euxassay_000077_23
TS23: trigeminal nerve Strong Regionally restricted euxassay_000077_23
TS23: cerebral cortex Strong Regionally restricted euxassay_000077_23
TS23: cerebral cortex marginal layer Strong Regionally restricted euxassay_000077_23
TS23: lung Weak Spotted euxassay_000077_23
TS23: hindbrain Strong Regionally restricted euxassay_000077_23
TS23: cerebellum Strong Regionally restricted euxassay_000077_23
TS23: metencephalon rest of alar plate Strong Regionally restricted euxassay_000077_23
TS23: metencephalon alar plate Strong Regionally restricted euxassay_000077_23
TS23: brachial plexus Weak Regionally restricted euxassay_000077_23

Specimen euxassay_000077_24: embryonic day 14.5 (more )
Structure Level Pattern Image Note
TS23: brachial plexus Weak Regionally restricted euxassay_000077_24
TS23: lumbosacral plexus Weak Regionally restricted euxassay_000077_24
TS23: cerebral cortex marginal layer Strong Regionally restricted euxassay_000077_24
TS23: cerebellum Strong Regionally restricted euxassay_000077_24
TS23: metencephalon rest of alar plate Strong Regionally restricted euxassay_000077_24
TS23: trigeminal ganglion Strong Regionally restricted euxassay_000077_24
TS23: lung Weak Spotted euxassay_000077_24


Contributing Projects:
Mouse Genome Database (MGD), Gene Expression Database (GXD), Mouse Models of Human Cancer database (MMHCdb) (formerly Mouse Tumor Biology (MTB)), Gene Ontology (GO)
Citing These Resources
Funding Information
Warranty Disclaimer, Privacy Notice, Licensing, & Copyright
Send questions and comments to User Support.
last database update
12/30/2025
MGI 6.24
The Jackson Laboratory