About   Help   FAQ
Gene Expression Data
Assay Details
Assay
Reference: J:153498 Diez-Roux G, et al., A high-resolution anatomical atlas of the transcriptome in the mouse embryo. PLoS Biol. 2011;9(1):e1000582
Assay type: RNA in situ
MGI Accession ID: MGI:4824320
Gene symbol: Dlg1
Gene name: discs large MAGUK scaffold protein 1
Probe: IMAGE clone 1383652
Probe preparation: Antisense labelled with digoxigenin RNA
Visualized with: Alkaline phosphatase
Assay notes: Cryosections of fresh frozen material were fixed in 4% paraformaldehyde for 20 min. before further processing. A tyramide-biotin/streptavidin amplification step was included in the in situ hybridization procedure.
Results
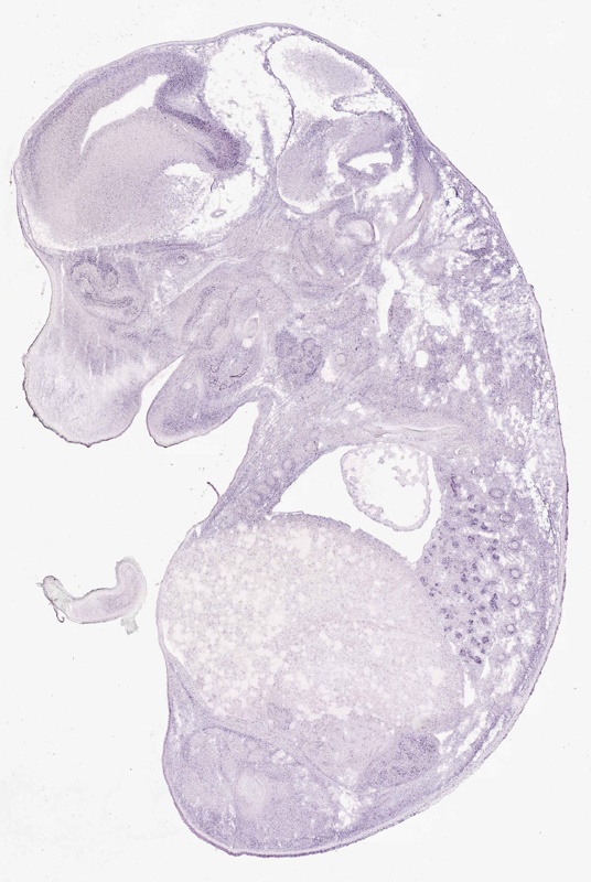
Specimen euxassay_005262_01: embryonic day 14.5 (more )
Structure Level Pattern Image Note
TS23: lung Moderate Regionally restricted euxassay_005262_01

Specimen euxassay_005262_02: embryonic day 14.5 (more )
Structure Level Pattern Image Note
TS23: lung Moderate Regionally restricted euxassay_005262_02

Specimen euxassay_005262_03: embryonic day 14.5 (more )
Structure Level Pattern Image Note
TS23: lung Moderate Regionally restricted euxassay_005262_03

Specimen euxassay_005262_04: embryonic day 14.5 (more )
Structure Level Pattern Image Note
TS23: lung Moderate Regionally restricted euxassay_005262_04

Specimen euxassay_005262_05: embryonic day 14.5 (more )
Structure Level Pattern Image Note
TS23: lung Moderate Regionally restricted euxassay_005262_05

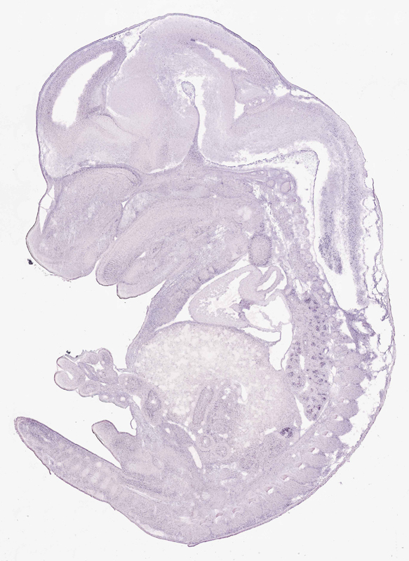
Specimen euxassay_005262_06: embryonic day 14.5 (more )
Structure Level Pattern Image Note
TS23: lung Moderate Regionally restricted euxassay_005262_06
TS23: adrenal gland Strong Regionally restricted euxassay_005262_06

Specimen euxassay_005262_07: embryonic day 14.5 (more )
Structure Level Pattern Image Note
TS23: lung Moderate Regionally restricted euxassay_005262_07
TS23: adrenal gland Strong Regionally restricted euxassay_005262_07

Specimen euxassay_005262_08: embryonic day 14.5 (more )
Structure Level Pattern Image Note
TS23: lung Moderate Regionally restricted euxassay_005262_08
TS23: adrenal gland Strong Regionally restricted euxassay_005262_08

Specimen euxassay_005262_09: embryonic day 14.5 (more )
Structure Level Pattern Image Note
TS23: lung Moderate Regionally restricted euxassay_005262_09

Specimen euxassay_005262_10: embryonic day 14.5 (more )
Structure Level Pattern Image Note
TS23: lung Moderate Regionally restricted euxassay_005262_10

Specimen euxassay_005262_11: embryonic day 14.5 (more )
Structure Level Pattern Image Note
TS23: lung Moderate Regionally restricted euxassay_005262_11

Specimen euxassay_005262_12: embryonic day 14.5 (more )
Structure Level Pattern Image Note
TS23: lung Weak Regionally restricted euxassay_005262_12

Specimen euxassay_005262_13: embryonic day 14.5 (more )
Structure Level Pattern Image Note
TS23: lung Moderate Regionally restricted euxassay_005262_13

Specimen euxassay_005262_14: embryonic day 14.5 (more )
Structure Level Pattern Image Note
TS23: lung Moderate Regionally restricted euxassay_005262_14
TS23: adrenal gland Strong Regionally restricted euxassay_005262_14

Specimen euxassay_005262_15: embryonic day 14.5 (more )
Structure Level Pattern Image Note
TS23: lung Moderate Regionally restricted euxassay_005262_15
TS23: adrenal gland Strong Regionally restricted euxassay_005262_15

Specimen euxassay_005262_16: embryonic day 14.5 (more )
Structure Level Pattern Image Note
TS23: lung Moderate Regionally restricted euxassay_005262_16
TS23: adrenal gland Strong Regionally restricted euxassay_005262_16

Specimen euxassay_005262_17: embryonic day 14.5 (more )
Structure Level Pattern Image Note
TS23: lung Moderate Regionally restricted euxassay_005262_17

Specimen euxassay_005262_18: embryonic day 14.5 (more )
Structure Level Pattern Image Note
TS23: lung Moderate Regionally restricted euxassay_005262_18

Specimen euxassay_005262_19: embryonic day 14.5 (more )
Structure Level Pattern Image Note
TS23: lung Moderate Regionally restricted euxassay_005262_19

Specimen euxassay_005262_20: embryonic day 14.5 (more )
Structure Level Pattern Image Note
TS23: lung Moderate Regionally restricted euxassay_005262_20

Specimen euxassay_005262_21: embryonic day 14.5 (more )
Structure Level Pattern Image Note
TS23: lung Moderate Regionally restricted euxassay_005262_21


Contributing Projects:
Mouse Genome Database (MGD), Gene Expression Database (GXD), Mouse Models of Human Cancer database (MMHCdb) (formerly Mouse Tumor Biology (MTB)), Gene Ontology (GO)
Citing These Resources
Funding Information
Warranty Disclaimer, Privacy Notice, Licensing, & Copyright
Send questions and comments to User Support.
last database update
01/06/2026
MGI 6.24
The Jackson Laboratory