About   Help   FAQ
Gene Expression Data
Assay Details
Assay
Reference: J:153498 Diez-Roux G, et al., A high-resolution anatomical atlas of the transcriptome in the mouse embryo. PLoS Biol. 2011;9(1):e1000582
Assay type: RNA in situ
MGI Accession ID: MGI:4824304
Gene symbol: Diablo
Gene name: diablo, IAP-binding mitochondrial protein
Probe: MGC clone 60464
Probe preparation: Antisense labelled with digoxigenin RNA
Visualized with: Alkaline phosphatase
Assay notes: Cryosections of fresh frozen material were fixed in 4% paraformaldehyde for 20 min. before further processing. A tyramide-biotin/streptavidin amplification step was included in the in situ hybridization procedure.
Results
Specimen euxassay_004954_03: embryonic day 14.5 (more )
Structure Level Pattern Image Note
TS23: trigeminal ganglion Strong Regionally restricted euxassay_004954_03

Specimen euxassay_004954_04: embryonic day 14.5 (more )
Structure Level Pattern Image Note
TS23: trigeminal ganglion Strong Regionally restricted euxassay_004954_04

Specimen euxassay_004954_05: embryonic day 14.5 (more )
Structure Level Pattern Image Note
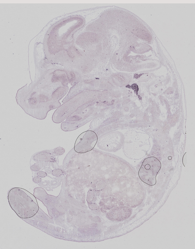
TS23: dorsal root ganglion Strong Regionally restricted euxassay_004954_05
TS23: trigeminal ganglion Strong Regionally restricted euxassay_004954_05
TS23: glossopharyngeal ganglion Strong Regionally restricted euxassay_004954_05

Specimen euxassay_004954_06: embryonic day 14.5 (more )
Structure Level Pattern Image Note
TS23: dorsal root ganglion Strong Regionally restricted euxassay_004954_06
TS23: trigeminal ganglion Strong Regionally restricted euxassay_004954_06
TS23: facial ganglion Strong Regionally restricted euxassay_004954_06
TS23: glossopharyngeal ganglion Strong Regionally restricted euxassay_004954_06
TS23: cervical ganglion Strong Regionally restricted euxassay_004954_06
TS23: cervico-thoracic ganglion Strong Regionally restricted euxassay_004954_06

Specimen euxassay_004954_07: embryonic day 14.5 (more )
Structure Level Pattern Image Note
TS23: dorsal root ganglion Strong Regionally restricted euxassay_004954_07
TS23: glossopharyngeal ganglion Strong Regionally restricted euxassay_004954_07
TS23: trigeminal ganglion Strong Regionally restricted euxassay_004954_07
TS23: facial ganglion Strong Regionally restricted euxassay_004954_07

Specimen euxassay_004954_08: embryonic day 14.5 (more )
Structure Level Pattern Image Note
TS23: dorsal root ganglion Strong Regionally restricted euxassay_004954_08
TS23: trigeminal ganglion Strong Regionally restricted euxassay_004954_08
TS23: thoracic ganglion Strong Regionally restricted euxassay_004954_08
TS23: cervico-thoracic ganglion Strong Regionally restricted euxassay_004954_08
TS23: cervical ganglion Strong Regionally restricted euxassay_004954_08

Specimen euxassay_004954_09: embryonic day 14.5 (more )
Structure Level Pattern Image Note
TS23: dorsal root ganglion Strong Regionally restricted euxassay_004954_09
TS23: trigeminal ganglion Strong Regionally restricted euxassay_004954_09
TS23: thoracic ganglion Strong Regionally restricted euxassay_004954_09

Specimen euxassay_004954_10: embryonic day 14.5 (more )
Structure Level Pattern Image Note
TS23: trigeminal nerve Strong Regionally restricted euxassay_004954_10
TS23: thoracic ganglion Strong Regionally restricted euxassay_004954_10

Specimen euxassay_004954_11: embryonic day 14.5 (more )
Structure Level Pattern Image Note
TS23: dorsal root ganglion Strong Regionally restricted euxassay_004954_11
TS23: thoracic ganglion Strong Regionally restricted euxassay_004954_11
TS23: cervico-thoracic ganglion Strong Regionally restricted euxassay_004954_11

Specimen euxassay_004954_12: embryonic day 14.5 (more )
Structure Level Pattern Image Note
TS23: dorsal root ganglion Strong Regionally restricted euxassay_004954_12
TS23: cervico-thoracic ganglion Strong Regionally restricted euxassay_004954_12
TS23: thoracic ganglion Strong Regionally restricted euxassay_004954_12

Specimen euxassay_004954_13: embryonic day 14.5 (more )
Structure Level Pattern Image Note
TS23: dorsal root ganglion Strong Regionally restricted euxassay_004954_13
TS23: cervico-thoracic ganglion Strong Regionally restricted euxassay_004954_13

Specimen euxassay_004954_14: embryonic day 14.5 (more )
Structure Level Pattern Image Note
TS23: dorsal root ganglion Strong Regionally restricted euxassay_004954_14

Specimen euxassay_004954_15: embryonic day 14.5 (more )
Structure Level Pattern Image Note
TS23: dorsal root ganglion Strong Regionally restricted euxassay_004954_15
TS23: cervical ganglion Strong Regionally restricted euxassay_004954_15

Specimen euxassay_004954_16: embryonic day 14.5 (more )
Structure Level Pattern Image Note
TS23: cervical ganglion Strong Regionally restricted euxassay_004954_16

Specimen euxassay_004954_17: embryonic day 14.5 (more )
Structure Level Pattern Image Note
TS23: trigeminal nerve Strong Regionally restricted euxassay_004954_17
TS23: trigeminal ganglion Strong Regionally restricted euxassay_004954_17
TS23: glossopharyngeal ganglion Strong Regionally restricted euxassay_004954_17

Specimen euxassay_004954_18: embryonic day 14.5 (more )
Structure Level Pattern Image Note
TS23: trigeminal ganglion Strong Regionally restricted euxassay_004954_18
TS23: facial ganglion Strong Regionally restricted euxassay_004954_18
TS23: trigeminal nerve Strong Regionally restricted euxassay_004954_18

Specimen euxassay_004954_19: embryonic day 14.5 (more )
Structure Level Pattern Image Note
TS23: trigeminal ganglion Strong Regionally restricted euxassay_004954_19
TS23: facial ganglion Strong Regionally restricted euxassay_004954_19

Specimen euxassay_004954_20: embryonic day 14.5 (more )
Structure Level Pattern Image Note
TS23: trigeminal ganglion Strong Regionally restricted euxassay_004954_20
TS23: facial ganglion Strong Regionally restricted euxassay_004954_20

Specimen euxassay_004954_21: embryonic day 14.5 (more )
Structure Level Pattern Image Note
TS23: trigeminal ganglion Strong Regionally restricted euxassay_004954_21

Specimen euxassay_004954_22: embryonic day 14.5 (more )
Structure Level Pattern Image Note
TS23: trigeminal ganglion Strong Regionally restricted euxassay_004954_22


Contributing Projects:
Mouse Genome Database (MGD), Gene Expression Database (GXD), Mouse Models of Human Cancer database (MMHCdb) (formerly Mouse Tumor Biology (MTB)), Gene Ontology (GO)
Citing These Resources
Funding Information
Warranty Disclaimer, Privacy Notice, Licensing, & Copyright
Send questions and comments to User Support.
last database update
01/20/2026
MGI 6.24
The Jackson Laboratory