About   Help   FAQ
Gene Expression Data
Assay Details
Assay
Reference: J:153498 Diez-Roux G, et al., A high-resolution anatomical atlas of the transcriptome in the mouse embryo. PLoS Biol. 2011;9(1):e1000582
Assay type: RNA in situ
MGI Accession ID: MGI:4824303
Gene symbol: Dhx9
Gene name: DExH-box helicase 9
Probe: T36283
Probe preparation: Antisense labelled with digoxigenin RNA
Visualized with: Alkaline phosphatase
Assay notes: Cryosections of fresh frozen material were fixed in 4% paraformaldehyde for 20 min. before further processing. A tyramide-biotin/streptavidin amplification step was included in the in situ hybridization procedure.
Results
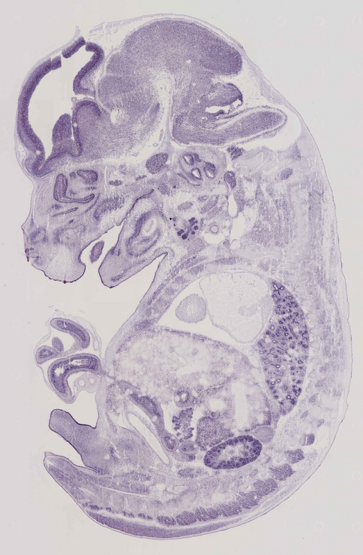
Specimen euxassay_010959_01: embryonic day 14.5 (more )
Structure Level Pattern Image Note
TS23: brain Strong Regionally restricted euxassay_010959_01
TS23: telencephalon ventricular layer Strong Regionally restricted euxassay_010959_01
TS23: rest of cerebellum marginal layer Strong Regionally restricted euxassay_010959_01
TS23: retina Strong Regionally restricted euxassay_010959_01
TS23: left lung Strong Regionally restricted euxassay_010959_01
TS23: stomach Strong Regionally restricted euxassay_010959_01
TS23: pharyngo-tympanic tube Strong Regionally restricted euxassay_010959_01

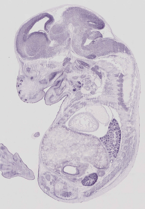
Specimen euxassay_010959_02: embryonic day 14.5 (more )
Structure Level Pattern Image Note
TS23: brain Strong Regionally restricted euxassay_010959_02
TS23: telencephalon ventricular layer Strong Regionally restricted euxassay_010959_02
TS23: rest of cerebellum marginal layer Strong Regionally restricted euxassay_010959_02
TS23: retina Strong Regionally restricted euxassay_010959_02
TS23: left lung Strong Regionally restricted euxassay_010959_02
TS23: stomach Strong Regionally restricted euxassay_010959_02
TS23: pharyngo-tympanic tube Strong Regionally restricted euxassay_010959_02
TS23: trigeminal ganglion Moderate Regionally restricted euxassay_010959_02

Specimen euxassay_010959_03: embryonic day 14.5 (more )
Structure Level Pattern Image Note
TS23: brain Strong Regionally restricted euxassay_010959_03
TS23: telencephalon ventricular layer Strong Regionally restricted euxassay_010959_03
TS23: rest of cerebellum marginal layer Strong Regionally restricted euxassay_010959_03
TS23: retina Strong Regionally restricted euxassay_010959_03
TS23: vibrissa Moderate Regionally restricted euxassay_010959_03
TS23: left lung Strong Regionally restricted euxassay_010959_03
TS23: stomach Strong Regionally restricted euxassay_010959_03
TS23: pharyngo-tympanic tube Strong Regionally restricted euxassay_010959_03
TS23: utricle Strong Regionally restricted euxassay_010959_03
TS23: cochlea Strong Regionally restricted euxassay_010959_03
TS23: trigeminal ganglion Moderate Regionally restricted euxassay_010959_03
TS23: facial ganglion Moderate Regionally restricted euxassay_010959_03

Specimen euxassay_010959_04: embryonic day 14.5 (more )
Structure Level Pattern Image Note
TS23: brain Moderate Regionally restricted euxassay_010959_04
TS23: telencephalon ventricular layer Strong Regionally restricted euxassay_010959_04
TS23: rest of cerebellum marginal layer Strong Regionally restricted euxassay_010959_04
TS23: retina Strong Regionally restricted euxassay_010959_04
TS23: vibrissa Moderate Regionally restricted euxassay_010959_04
TS23: left lung Strong Regionally restricted euxassay_010959_04
TS23: stomach Strong Regionally restricted euxassay_010959_04
TS23: utricle Strong Regionally restricted euxassay_010959_04
TS23: cochlea Strong Regionally restricted euxassay_010959_04
TS23: trigeminal ganglion Moderate Regionally restricted euxassay_010959_04
TS23: facial ganglion Moderate Regionally restricted euxassay_010959_04
TS23: vestibulo-cochlear ganglion Moderate Regionally restricted euxassay_010959_04

Specimen euxassay_010959_05: embryonic day 14.5 (more )
Structure Level Pattern Image Note
TS23: brain Moderate Regionally restricted euxassay_010959_05
TS23: telencephalon ventricular layer Strong Regionally restricted euxassay_010959_05
TS23: rest of cerebellum marginal layer Strong Regionally restricted euxassay_010959_05
TS23: vibrissa Strong Regionally restricted euxassay_010959_05
TS23: submandibular gland primordium Strong Regionally restricted euxassay_010959_05
TS23: left lung Strong Regionally restricted euxassay_010959_05
TS23: stomach Strong Regionally restricted euxassay_010959_05
TS23: utricle Strong Regionally restricted euxassay_010959_05
TS23: cochlea Strong Regionally restricted euxassay_010959_05
TS23: trigeminal ganglion Moderate Regionally restricted euxassay_010959_05
TS23: facial ganglion Moderate Regionally restricted euxassay_010959_05
TS23: vestibulo-cochlear ganglion Moderate Regionally restricted euxassay_010959_05
TS23: glossopharyngeal ganglion Moderate Regionally restricted euxassay_010959_05

Specimen euxassay_010959_06: embryonic day 14.5 (more )
Structure Level Pattern Image Note
TS23: brain Moderate Regionally restricted euxassay_010959_06
TS23: telencephalon ventricular layer Strong Regionally restricted euxassay_010959_06
TS23: rest of cerebellum marginal layer Strong Regionally restricted euxassay_010959_06
TS23: vibrissa Strong Regionally restricted euxassay_010959_06
TS23: upper jaw molar Strong Regionally restricted euxassay_010959_06
TS23: lower jaw molar Strong Regionally restricted euxassay_010959_06
TS23: submandibular gland primordium Strong Regionally restricted euxassay_010959_06
TS23: left lung Strong Regionally restricted euxassay_010959_06
TS23: metanephros Strong Regionally restricted euxassay_010959_06
TS23: stomach Strong Regionally restricted euxassay_010959_06
TS23: utricle Strong Regionally restricted euxassay_010959_06
TS23: cochlea Strong Regionally restricted euxassay_010959_06
TS23: trigeminal ganglion Moderate Regionally restricted euxassay_010959_06
TS23: glossopharyngeal ganglion Moderate Regionally restricted euxassay_010959_06
TS23: vagus ganglion Moderate Regionally restricted euxassay_010959_06
TS23: vestibulo-cochlear ganglion Moderate Regionally restricted euxassay_010959_06

Specimen euxassay_010959_07: embryonic day 14.5 (more )
Structure Level Pattern Image Note
TS23: brain Moderate Regionally restricted euxassay_010959_07
TS23: telencephalon ventricular layer Strong Regionally restricted euxassay_010959_07
TS23: midbrain ventricular layer Strong Regionally restricted euxassay_010959_07
TS23: rest of cerebellum marginal layer Strong Regionally restricted euxassay_010959_07
TS23: vibrissa Strong Regionally restricted euxassay_010959_07
TS23: olfactory epithelium Strong Regionally restricted euxassay_010959_07
TS23: upper jaw molar Strong Regionally restricted euxassay_010959_07
TS23: lower jaw molar Strong Regionally restricted euxassay_010959_07
TS23: submandibular gland primordium Strong Regionally restricted euxassay_010959_07
TS23: left lung Strong Regionally restricted euxassay_010959_07
TS23: metanephros Strong Regionally restricted euxassay_010959_07
TS23: stomach Strong Regionally restricted euxassay_010959_07
TS23: utricle Strong Regionally restricted euxassay_010959_07
TS23: cochlea Strong Regionally restricted euxassay_010959_07
TS23: trigeminal ganglion Moderate Regionally restricted euxassay_010959_07
TS23: vagus ganglion Moderate Regionally restricted euxassay_010959_07

Specimen euxassay_010959_08: embryonic day 14.5 (more )
Structure Level Pattern Image Note
TS23: brain Moderate Regionally restricted euxassay_010959_08
TS23: spinal cord Moderate Regionally restricted euxassay_010959_08
TS23: telencephalon ventricular layer Strong Regionally restricted euxassay_010959_08
TS23: midbrain ventricular layer Strong Regionally restricted euxassay_010959_08
TS23: rest of cerebellum marginal layer Strong Regionally restricted euxassay_010959_08
TS23: vibrissa Strong Regionally restricted euxassay_010959_08
TS23: olfactory epithelium Strong Regionally restricted euxassay_010959_08
TS23: submandibular gland primordium Strong Regionally restricted euxassay_010959_08
TS23: left lung Strong Regionally restricted euxassay_010959_08
TS23: metanephros Strong Regionally restricted euxassay_010959_08
TS23: pancreas Strong Regionally restricted euxassay_010959_08
TS23: stomach Strong Regionally restricted euxassay_010959_08
TS23: cochlea Strong Regionally restricted euxassay_010959_08
TS23: trigeminal ganglion Moderate Regionally restricted euxassay_010959_08
TS23: vagus ganglion Moderate Regionally restricted euxassay_010959_08

Specimen euxassay_010959_09: embryonic day 14.5 (more )
Structure Level Pattern Image Note
TS23: brain Moderate Regionally restricted euxassay_010959_09
TS23: spinal cord Moderate Regionally restricted euxassay_010959_09
TS23: telencephalon ventricular layer Strong Regionally restricted euxassay_010959_09
TS23: midbrain ventricular layer Strong Regionally restricted euxassay_010959_09
TS23: rest of cerebellum marginal layer Moderate Regionally restricted euxassay_010959_09
TS23: vibrissa Strong Regionally restricted euxassay_010959_09
TS23: olfactory epithelium Strong Regionally restricted euxassay_010959_09
TS23: sublingual gland primordium Strong Regionally restricted euxassay_010959_09
TS23: thyroid gland Strong Regionally restricted euxassay_010959_09
TS23: left lung Strong Regionally restricted euxassay_010959_09
TS23: metanephros Strong Regionally restricted euxassay_010959_09
TS23: pancreas Strong Regionally restricted euxassay_010959_09
TS23: midgut Strong Regionally restricted euxassay_010959_09
TS23: stomach Strong Regionally restricted euxassay_010959_09

Specimen euxassay_010959_10: embryonic day 14.5 (more )
Structure Level Pattern Image Note
TS23: brain Moderate Regionally restricted euxassay_010959_10
TS23: spinal cord Moderate Regionally restricted euxassay_010959_10
TS23: telencephalon ventricular layer Strong Regionally restricted euxassay_010959_10
TS23: midbrain ventricular layer Strong Regionally restricted euxassay_010959_10
TS23: rest of cerebellum marginal layer Moderate Regionally restricted euxassay_010959_10
TS23: olfactory epithelium Strong Regionally restricted euxassay_010959_10
TS23: lower jaw incisor Strong Regionally restricted euxassay_010959_10
TS23: upper jaw incisor Strong Regionally restricted euxassay_010959_10
TS23: thyroid gland Strong Regionally restricted euxassay_010959_10
TS23: thymus primordium Strong Regionally restricted euxassay_010959_10
TS23: left lung Strong Regionally restricted euxassay_010959_10
TS23: metanephros Strong Regionally restricted euxassay_010959_10
TS23: pancreas Strong Regionally restricted euxassay_010959_10
TS23: midgut Strong Regionally restricted euxassay_010959_10

Specimen euxassay_010959_11: embryonic day 14.5 (more )
Structure Level Pattern Image Note
TS23: brain Moderate Regionally restricted euxassay_010959_11
TS23: spinal cord Moderate Regionally restricted euxassay_010959_11
TS23: telencephalon ventricular layer Strong Regionally restricted euxassay_010959_11
TS23: midbrain ventricular layer Strong Regionally restricted euxassay_010959_11
TS23: olfactory epithelium Strong Regionally restricted euxassay_010959_11
TS23: lower jaw incisor Strong Regionally restricted euxassay_010959_11
TS23: upper jaw incisor Strong Regionally restricted euxassay_010959_11
TS23: thymus primordium Strong Regionally restricted euxassay_010959_11
TS23: left lung Strong Regionally restricted euxassay_010959_11
TS23: metanephros Strong Regionally restricted euxassay_010959_11
TS23: pancreas Strong Regionally restricted euxassay_010959_11
TS23: midgut Moderate Regionally restricted euxassay_010959_11

Specimen euxassay_010959_12: embryonic day 14.5 (more )
Structure Level Pattern Image Note
TS23: brain Moderate Regionally restricted euxassay_010959_12
TS23: spinal cord Moderate Regionally restricted euxassay_010959_12
TS23: telencephalon ventricular layer Strong Regionally restricted euxassay_010959_12
TS23: midbrain ventricular layer Strong Regionally restricted euxassay_010959_12
TS23: olfactory epithelium Strong Regionally restricted euxassay_010959_12
TS23: vomeronasal organ epithelium Strong Regionally restricted euxassay_010959_12
TS23: upper jaw incisor Strong Regionally restricted euxassay_010959_12
TS23: thymus primordium Strong Regionally restricted euxassay_010959_12
TS23: left lung Strong Regionally restricted euxassay_010959_12
TS23: pancreas Moderate Regionally restricted euxassay_010959_12
TS23: midgut Moderate Regionally restricted euxassay_010959_12

Specimen euxassay_010959_13: embryonic day 14.5 (more )
Structure Level Pattern Image Note
TS23: brain Moderate Regionally restricted euxassay_010959_13
TS23: spinal cord Moderate Regionally restricted euxassay_010959_13
TS23: telencephalon ventricular layer Strong Regionally restricted euxassay_010959_13
TS23: midbrain ventricular layer Strong Regionally restricted euxassay_010959_13
TS23: rest of cerebellum marginal layer Strong Regionally restricted euxassay_010959_13
TS23: olfactory epithelium Strong Regionally restricted euxassay_010959_13
TS23: thymus primordium Strong Regionally restricted euxassay_010959_13
TS23: right lung Strong Regionally restricted euxassay_010959_13
TS23: midgut Strong Regionally restricted euxassay_010959_13

Specimen euxassay_010959_14: embryonic day 14.5 (more )
Structure Level Pattern Image Note
TS23: telencephalon ventricular layer Strong Regionally restricted euxassay_010959_14
TS23: midbrain ventricular layer Strong Regionally restricted euxassay_010959_14
TS23: rest of cerebellum marginal layer Strong Regionally restricted euxassay_010959_14
TS23: olfactory epithelium Strong Regionally restricted euxassay_010959_14
TS23: vomeronasal organ epithelium Strong Regionally restricted euxassay_010959_14
TS23: lower jaw incisor Strong Regionally restricted euxassay_010959_14
TS23: upper jaw incisor Strong Regionally restricted euxassay_010959_14
TS23: thyroid gland Strong Regionally restricted euxassay_010959_14
TS23: thymus primordium Strong Regionally restricted euxassay_010959_14
TS23: right lung Strong Regionally restricted euxassay_010959_14
TS23: midgut Strong Regionally restricted euxassay_010959_14

Specimen euxassay_010959_15: embryonic day 14.5 (more )
Structure Level Pattern Image Note
TS23: brain Moderate Regionally restricted euxassay_010959_15
TS23: spinal cord Moderate Regionally restricted euxassay_010959_15
TS23: midbrain ventricular layer Strong Regionally restricted euxassay_010959_15
TS23: telencephalon ventricular layer Strong Regionally restricted euxassay_010959_15
TS23: rest of cerebellum marginal layer Strong Regionally restricted euxassay_010959_15
TS23: olfactory epithelium Strong Regionally restricted euxassay_010959_15
TS23: lower jaw incisor Strong Regionally restricted euxassay_010959_15
TS23: upper jaw incisor Strong Regionally restricted euxassay_010959_15
TS23: sublingual gland primordium Strong Regionally restricted euxassay_010959_15
TS23: thyroid gland Strong Regionally restricted euxassay_010959_15
TS23: right lung Strong Regionally restricted euxassay_010959_15
TS23: pancreas Moderate Regionally restricted euxassay_010959_15
TS23: midgut Strong Regionally restricted euxassay_010959_15

Specimen euxassay_010959_16: embryonic day 14.5 (more )
Structure Level Pattern Image Note
TS23: brain Moderate Regionally restricted euxassay_010959_16
TS23: spinal cord Moderate Regionally restricted euxassay_010959_16
TS23: telencephalon ventricular layer Strong Regionally restricted euxassay_010959_16
TS23: rest of cerebellum marginal layer Strong Regionally restricted euxassay_010959_16
TS23: olfactory epithelium Strong Regionally restricted euxassay_010959_16
TS23: upper jaw incisor Strong Regionally restricted euxassay_010959_16
TS23: submandibular gland primordium Strong Regionally restricted euxassay_010959_16
TS23: right lung Strong Regionally restricted euxassay_010959_16
TS23: metanephros Strong Regionally restricted euxassay_010959_16
TS23: pancreas Moderate Regionally restricted euxassay_010959_16
TS23: midgut Strong Regionally restricted euxassay_010959_16
TS23: cochlea Strong Regionally restricted euxassay_010959_16

Specimen euxassay_010959_17: embryonic day 14.5 (more )
Structure Level Pattern Image Note
TS23: brain Strong Regionally restricted euxassay_010959_17
TS23: telencephalon ventricular layer Strong Regionally restricted euxassay_010959_17
TS23: rest of cerebellum marginal layer Strong Regionally restricted euxassay_010959_17
TS23: olfactory epithelium Strong Regionally restricted euxassay_010959_17
TS23: submandibular gland primordium Strong Regionally restricted euxassay_010959_17
TS23: right lung Strong Regionally restricted euxassay_010959_17
TS23: metanephros Strong Regionally restricted euxassay_010959_17
TS23: pancreas Strong Regionally restricted euxassay_010959_17
TS23: midgut Strong Regionally restricted euxassay_010959_17
TS23: cochlea Strong Regionally restricted euxassay_010959_17
TS23: utricle Strong Regionally restricted euxassay_010959_17
TS23: trigeminal ganglion Moderate Regionally restricted euxassay_010959_17
TS23: vagus ganglion Moderate Regionally restricted euxassay_010959_17
TS23: glossopharyngeal ganglion Moderate Regionally restricted euxassay_010959_17
TS23: vestibulo-cochlear ganglion Moderate Regionally restricted euxassay_010959_17

Specimen euxassay_010959_18: embryonic day 14.5 (more )
Structure Level Pattern Image Note
TS23: brain Strong Regionally restricted euxassay_010959_18
TS23: telencephalon ventricular layer Strong Regionally restricted euxassay_010959_18
TS23: rest of cerebellum marginal layer Strong Regionally restricted euxassay_010959_18
TS23: olfactory epithelium Strong Regionally restricted euxassay_010959_18
TS23: lower jaw molar Strong Regionally restricted euxassay_010959_18
TS23: upper jaw molar Strong Regionally restricted euxassay_010959_18
TS23: submandibular gland primordium Strong Regionally restricted euxassay_010959_18
TS23: right lung Strong Regionally restricted euxassay_010959_18
TS23: metanephros Strong Regionally restricted euxassay_010959_18
TS23: pancreas Strong Regionally restricted euxassay_010959_18
TS23: midgut Strong Regionally restricted euxassay_010959_18
TS23: cochlea Strong Regionally restricted euxassay_010959_18
TS23: utricle Strong Regionally restricted euxassay_010959_18
TS23: trigeminal ganglion Moderate Regionally restricted euxassay_010959_18
TS23: vestibulo-cochlear ganglion Moderate Regionally restricted euxassay_010959_18
TS23: glossopharyngeal ganglion Moderate Regionally restricted euxassay_010959_18

Specimen euxassay_010959_19: embryonic day 14.5 (more )
Structure Level Pattern Image Note
TS23: brain Strong Regionally restricted euxassay_010959_19
TS23: telencephalon ventricular layer Strong Regionally restricted euxassay_010959_19
TS23: rest of cerebellum marginal layer Strong Regionally restricted euxassay_010959_19
TS23: vibrissa Strong Regionally restricted euxassay_010959_19
TS23: olfactory epithelium Strong Regionally restricted euxassay_010959_19
TS23: lower jaw molar Strong Regionally restricted euxassay_010959_19
TS23: upper jaw molar Strong Regionally restricted euxassay_010959_19
TS23: submandibular gland primordium Strong Regionally restricted euxassay_010959_19
TS23: right lung Strong Regionally restricted euxassay_010959_19
TS23: metanephros Strong Regionally restricted euxassay_010959_19
TS23: midgut Strong Regionally restricted euxassay_010959_19
TS23: cochlea Strong Regionally restricted euxassay_010959_19
TS23: utricle Strong Regionally restricted euxassay_010959_19
TS23: trigeminal ganglion Moderate Regionally restricted euxassay_010959_19
TS23: facial ganglion Moderate Regionally restricted euxassay_010959_19
TS23: vestibulo-cochlear ganglion Moderate Regionally restricted euxassay_010959_19

Specimen euxassay_010959_20: embryonic day 14.5 (more )
Structure Level Pattern Image Note
TS23: brain Strong Regionally restricted euxassay_010959_20
TS23: telencephalon ventricular layer Strong Regionally restricted euxassay_010959_20
TS23: rest of cerebellum marginal layer Strong Regionally restricted euxassay_010959_20
TS23: vibrissa Strong Regionally restricted euxassay_010959_20
TS23: right lung Strong Regionally restricted euxassay_010959_20
TS23: metanephros Strong Regionally restricted euxassay_010959_20
TS23: midgut Strong Regionally restricted euxassay_010959_20
TS23: cochlea Strong Regionally restricted euxassay_010959_20
TS23: utricle Strong Regionally restricted euxassay_010959_20
TS23: trigeminal ganglion Moderate Regionally restricted euxassay_010959_20
TS23: facial ganglion Moderate Regionally restricted euxassay_010959_20
TS23: vestibulo-cochlear ganglion Moderate Regionally restricted euxassay_010959_20

Specimen euxassay_010959_21: embryonic day 14.5 (more )
Structure Level Pattern Image Note
TS23: brain Strong Regionally restricted euxassay_010959_21
TS23: telencephalon ventricular layer Strong Regionally restricted euxassay_010959_21
TS23: rest of cerebellum marginal layer Strong Regionally restricted euxassay_010959_21
TS23: vibrissa Strong Regionally restricted euxassay_010959_21
TS23: right lung Strong Regionally restricted euxassay_010959_21
TS23: metanephros Strong Regionally restricted euxassay_010959_21
TS23: midgut Strong Regionally restricted euxassay_010959_21
TS23: pharyngo-tympanic tube Strong Regionally restricted euxassay_010959_21
TS23: trigeminal ganglion Moderate Regionally restricted euxassay_010959_21
TS23: vestibulo-cochlear ganglion Moderate Regionally restricted euxassay_010959_21
TS23: facial ganglion Moderate Regionally restricted euxassay_010959_21

Specimen euxassay_010959_22: embryonic day 14.5 (more )
Structure Level Pattern Image Note
TS23: brain Strong Regionally restricted euxassay_010959_22
TS23: telencephalon ventricular layer Strong Regionally restricted euxassay_010959_22
TS23: retina Strong Regionally restricted euxassay_010959_22
TS23: vibrissa Moderate Regionally restricted euxassay_010959_22
TS23: right lung Strong Regionally restricted euxassay_010959_22
TS23: midgut Strong Regionally restricted euxassay_010959_22
TS23: pharyngo-tympanic tube Strong Regionally restricted euxassay_010959_22
TS23: trigeminal ganglion Moderate Regionally restricted euxassay_010959_22

Specimen euxassay_010959_23: embryonic day 14.5 (more )
Structure Level Pattern Image Note
TS23: brain Strong Regionally restricted euxassay_010959_23
TS23: telencephalon ventricular layer Strong Regionally restricted euxassay_010959_23
TS23: retina Strong Regionally restricted euxassay_010959_23
TS23: vibrissa Moderate Regionally restricted euxassay_010959_23
TS23: right lung Strong Regionally restricted euxassay_010959_23
TS23: midgut Strong Regionally restricted euxassay_010959_23
TS23: pharyngo-tympanic tube Strong Regionally restricted euxassay_010959_23

Specimen euxassay_010959_24: embryonic day 14.5 (more )
Structure Level Pattern Image Note
TS23: brain Strong Regionally restricted euxassay_010959_24
TS23: retina Strong Regionally restricted euxassay_010959_24
TS23: vibrissa Moderate Regionally restricted euxassay_010959_24
TS23: right lung Strong Regionally restricted euxassay_010959_24
TS23: pharyngo-tympanic tube Strong Regionally restricted euxassay_010959_24


Contributing Projects:
Mouse Genome Database (MGD), Gene Expression Database (GXD), Mouse Models of Human Cancer database (MMHCdb) (formerly Mouse Tumor Biology (MTB)), Gene Ontology (GO)
Citing These Resources
Funding Information
Warranty Disclaimer, Privacy Notice, Licensing, & Copyright
Send questions and comments to User Support.
last database update
01/20/2026
MGI 6.24
The Jackson Laboratory