About   Help   FAQ
Gene Expression Data
Assay Details
Assay
Reference: J:153498 Diez-Roux G, et al., A high-resolution anatomical atlas of the transcriptome in the mouse embryo. PLoS Biol. 2011;9(1):e1000582
Assay type: RNA in situ
MGI Accession ID: MGI:4824294
Gene symbol: Dgkz
Gene name: diacylglycerol kinase zeta
Probe: MGC clone 54898
Probe preparation: Antisense labelled with digoxigenin RNA
Visualized with: Alkaline phosphatase
Assay notes: Cryosections of fresh frozen material were fixed in 4% paraformaldehyde for 20 min. before further processing. A tyramide-biotin/streptavidin amplification step was included in the in situ hybridization procedure.
Results
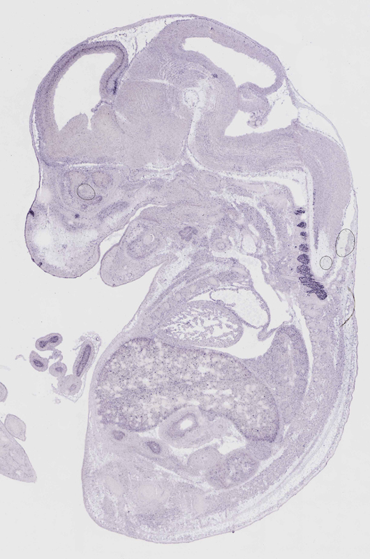
Specimen euxassay_003474_01: embryonic day 14.5 (more )
Structure Level Pattern Image Note
TS23: pharyngo-tympanic tube Moderate Regionally restricted euxassay_003474_01
TS23: telencephalon Moderate Regionally restricted euxassay_003474_01

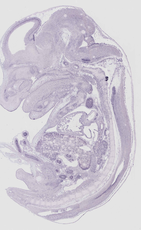
Specimen euxassay_003474_02: embryonic day 14.5 (more )
Structure Level Pattern Image Note
TS23: pharyngo-tympanic tube Moderate Regionally restricted euxassay_003474_02
TS23: telencephalon Moderate Regionally restricted euxassay_003474_02

Specimen euxassay_003474_03: embryonic day 14.5 (more )
Structure Level Pattern Image Note
TS23: pharyngo-tympanic tube Moderate Regionally restricted euxassay_003474_03
TS23: trigeminal ganglion Strong Regionally restricted euxassay_003474_03
TS23: telencephalon Weak Regionally restricted euxassay_003474_03

Specimen euxassay_003474_04: embryonic day 14.5 (more )
Structure Level Pattern Image Note
TS23: trigeminal ganglion Strong Regionally restricted euxassay_003474_04
TS23: facial ganglion Strong Regionally restricted euxassay_003474_04
TS23: telencephalon Weak Regionally restricted euxassay_003474_04

Specimen euxassay_003474_05: embryonic day 14.5 (more )
Structure Level Pattern Image Note
TS23: vibrissa Strong Regionally restricted euxassay_003474_05
TS23: trigeminal ganglion Strong Regionally restricted euxassay_003474_05
TS23: glossopharyngeal ganglion Strong Regionally restricted euxassay_003474_05
TS23: telencephalon Moderate Regionally restricted euxassay_003474_05

Specimen euxassay_003474_06: embryonic day 14.5 (more )
Note: Additional information for this specimen was included in the Eurexpress data submission file.
Structure Level Pattern Image Note
TS23: vibrissa Strong Regionally restricted euxassay_003474_06
TS23: trigeminal ganglion Strong Regionally restricted euxassay_003474_06
TS23: facial ganglion Strong Regionally restricted euxassay_003474_06
TS23: glossopharyngeal ganglion Strong Regionally restricted euxassay_003474_06
TS23: telencephalon Moderate Regionally restricted euxassay_003474_06
TS23: pons mantle layer Moderate Regionally restricted euxassay_003474_06 trigeminal motor nucleus
TS23: medulla oblongata basal plate mantle layer Moderate Regionally restricted euxassay_003474_06 facial motor nucleus

Specimen euxassay_003474_07: embryonic day 14.5 (more )
Note: Additional information for this specimen was included in the Eurexpress data submission file.
Structure Level Pattern Image Note
TS23: vibrissa Strong Regionally restricted euxassay_003474_07
TS23: trigeminal ganglion Strong Regionally restricted euxassay_003474_07
TS23: glossopharyngeal ganglion Strong Regionally restricted euxassay_003474_07
TS23: submandibular gland primordium Moderate Regionally restricted euxassay_003474_07
TS23: telencephalon Moderate Regionally restricted euxassay_003474_07
TS23: medulla oblongata basal plate mantle layer Moderate Regionally restricted euxassay_003474_07 facial motor nucleus

Specimen euxassay_003474_08: embryonic day 14.5 (more )
Note: Additional information for this specimen was included in the Eurexpress data submission file.
Structure Level Pattern Image Note
TS23: vibrissa Strong Regionally restricted euxassay_003474_08
TS23: trigeminal ganglion Strong Regionally restricted euxassay_003474_08
TS23: submandibular gland primordium Moderate Regionally restricted euxassay_003474_08
TS23: midgut Moderate Regionally restricted euxassay_003474_08
TS23: telencephalon Moderate Regionally restricted euxassay_003474_08
TS23: medulla oblongata basal plate mantle layer Moderate Regionally restricted euxassay_003474_08 facial motor nucleus
TS23: dorsal root ganglion Strong Regionally restricted euxassay_003474_08

Specimen euxassay_003474_09: embryonic day 14.5 (more )
Structure Level Pattern Image Note
TS23: vibrissa Strong Regionally restricted euxassay_003474_09
TS23: submandibular gland primordium Moderate Regionally restricted euxassay_003474_09
TS23: midgut Moderate Regionally restricted euxassay_003474_09
TS23: telencephalon Moderate Regionally restricted euxassay_003474_09
TS23: dorsal root ganglion Strong Regionally restricted euxassay_003474_09

Specimen euxassay_003474_10: embryonic day 14.5 (more )
Structure Level Pattern Image Note
TS23: midgut Moderate Regionally restricted euxassay_003474_10
TS23: telencephalon Moderate Regionally restricted euxassay_003474_10
TS23: dorsal root ganglion Strong Regionally restricted euxassay_003474_10

Specimen euxassay_003474_11: embryonic day 14.5 (more )
Structure Level Pattern Image Note
TS23: thymus primordium Moderate Regionally restricted euxassay_003474_11
TS23: midgut Moderate Regionally restricted euxassay_003474_11
TS23: telencephalon Weak Regionally restricted euxassay_003474_11
TS23: dorsal root ganglion Strong Regionally restricted euxassay_003474_11

Specimen euxassay_003474_12: embryonic day 14.5 (more )
Structure Level Pattern Image Note
TS23: thymus primordium Moderate Regionally restricted euxassay_003474_12
TS23: midgut Strong Regionally restricted euxassay_003474_12
TS23: telencephalon Weak Regionally restricted euxassay_003474_12
TS23: dorsal root ganglion Strong Regionally restricted euxassay_003474_12

Specimen euxassay_003474_13: embryonic day 14.5 (more )
Structure Level Pattern Image Note
TS23: thymus primordium Moderate Regionally restricted euxassay_003474_13
TS23: midgut Strong Regionally restricted euxassay_003474_13
TS23: telencephalon Weak Regionally restricted euxassay_003474_13
TS23: dorsal root ganglion Strong Regionally restricted euxassay_003474_13

Specimen euxassay_003474_14: embryonic day 14.5 (more )
Note: Additional information for this specimen was included in the Eurexpress data submission file.
Structure Level Pattern Image Note
TS23: thymus primordium Moderate Regionally restricted euxassay_003474_14
TS23: midgut Moderate Regionally restricted euxassay_003474_14
TS23: telencephalon Moderate Spotted euxassay_003474_14
TS23: medulla oblongata basal plate mantle layer Moderate Regionally restricted euxassay_003474_14 facial motor nucleus

Specimen euxassay_003474_15: embryonic day 14.5 (more )
Note: Additional information for this specimen was included in the Eurexpress data submission file.
Structure Level Pattern Image Note
TS23: thymus primordium Moderate Regionally restricted euxassay_003474_15
TS23: midgut Moderate Regionally restricted euxassay_003474_15
TS23: telencephalon Moderate Spotted euxassay_003474_15
TS23: medulla oblongata basal plate mantle layer Moderate Regionally restricted euxassay_003474_15 facial motor nucleus

Specimen euxassay_003474_16: embryonic day 14.5 (more )
Structure Level Pattern Image Note
TS23: trigeminal ganglion Strong Regionally restricted euxassay_003474_16
TS23: glossopharyngeal ganglion Strong Regionally restricted euxassay_003474_16
TS23: submandibular gland primordium Moderate Regionally restricted euxassay_003474_16
TS23: midgut Moderate Regionally restricted euxassay_003474_16
TS23: dorsal root ganglion Strong Regionally restricted euxassay_003474_16

Specimen euxassay_003474_17: embryonic day 14.5 (more )
Structure Level Pattern Image Note
TS23: trigeminal ganglion Strong Regionally restricted euxassay_003474_17
TS23: facial ganglion Strong Regionally restricted euxassay_003474_17
TS23: glossopharyngeal ganglion Strong Regionally restricted euxassay_003474_17
TS23: submandibular gland primordium Moderate Regionally restricted euxassay_003474_17
TS23: midgut Moderate Regionally restricted euxassay_003474_17
TS23: telencephalon Weak Regionally restricted euxassay_003474_17
TS23: dorsal root ganglion Strong Regionally restricted euxassay_003474_17

Specimen euxassay_003474_18: embryonic day 14.5 (more )
Structure Level Pattern Image Note
TS23: trigeminal ganglion Strong Regionally restricted euxassay_003474_18
TS23: facial ganglion Strong Regionally restricted euxassay_003474_18
TS23: submandibular gland primordium Moderate Regionally restricted euxassay_003474_18
TS23: midgut Moderate Regionally restricted euxassay_003474_18
TS23: telencephalon Moderate Regionally restricted euxassay_003474_18
TS23: dorsal root ganglion Strong Regionally restricted euxassay_003474_18

Specimen euxassay_003474_19: embryonic day 14.5 (more )
Structure Level Pattern Image Note
TS23: vibrissa Strong Regionally restricted euxassay_003474_19
TS23: trigeminal ganglion Strong Regionally restricted euxassay_003474_19
TS23: facial ganglion Strong Regionally restricted euxassay_003474_19
TS23: telencephalon Moderate Regionally restricted euxassay_003474_19

Specimen euxassay_003474_20: embryonic day 14.5 (more )
Structure Level Pattern Image Note
TS23: vibrissa Strong Regionally restricted euxassay_003474_20
TS23: trigeminal ganglion Strong Regionally restricted euxassay_003474_20
TS23: telencephalon Moderate Regionally restricted euxassay_003474_20

Specimen euxassay_003474_21: embryonic day 14.5 (more )
Structure Level Pattern Image Note
TS23: vibrissa Strong Regionally restricted euxassay_003474_21
TS23: pharyngo-tympanic tube Weak Regionally restricted euxassay_003474_21
TS23: telencephalon Weak Regionally restricted euxassay_003474_21

Specimen euxassay_003474_22: embryonic day 14.5 (more )
Structure Level Pattern Image Note
TS23: vibrissa Strong Regionally restricted euxassay_003474_22
TS23: pharyngo-tympanic tube Moderate Regionally restricted euxassay_003474_22
TS23: telencephalon Weak Regionally restricted euxassay_003474_22


Contributing Projects:
Mouse Genome Database (MGD), Gene Expression Database (GXD), Mouse Models of Human Cancer database (MMHCdb) (formerly Mouse Tumor Biology (MTB)), Gene Ontology (GO)
Citing These Resources
Funding Information
Warranty Disclaimer, Privacy Notice, Licensing, & Copyright
Send questions and comments to User Support.
last database update
03/24/2026
MGI 6.24
The Jackson Laboratory