About   Help   FAQ
Gene Expression Data
Assay Details
Assay
Reference: J:153498 Diez-Roux G, et al., A high-resolution anatomical atlas of the transcriptome in the mouse embryo. PLoS Biol. 2011;9(1):e1000582
Assay type: RNA in situ
MGI Accession ID: MGI:4824240
Gene symbol: Dbx1
Gene name: developing brain homeobox 1
Probe: IMAGE clone 734952
Probe preparation: Antisense labelled with digoxigenin RNA
Visualized with: Alkaline phosphatase
Assay notes: Cryosections of fresh frozen material were fixed in 4% paraformaldehyde for 20 min. before further processing. A tyramide-biotin/streptavidin amplification step was included in the in situ hybridization procedure.
Results
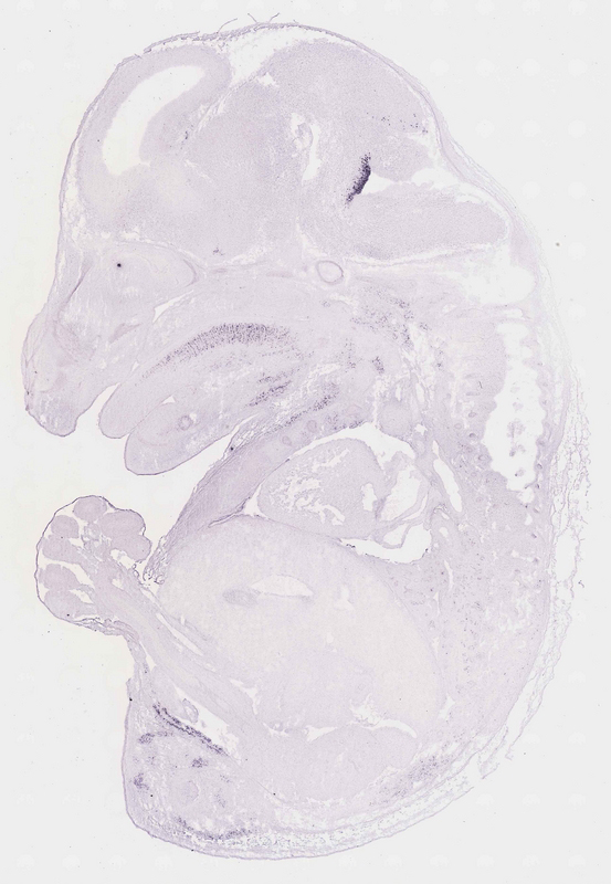
Specimen euxassay_002380_01: embryonic day 14.5 (more )
Structure Level Pattern Image Note
TS23: diaphragm Moderate Regionally restricted euxassay_002380_01
TS23: vertebral axis musculature Weak Regionally restricted euxassay_002380_01
TS23: head mesenchyme Strong Regionally restricted euxassay_002380_01

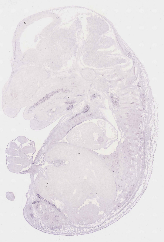
Specimen euxassay_002380_02: embryonic day 14.5 (more )
Structure Level Pattern Image Note
TS23: diaphragm Moderate Regionally restricted euxassay_002380_02
TS23: vertebral axis musculature Weak Regionally restricted euxassay_002380_02
TS23: head mesenchyme Strong Regionally restricted euxassay_002380_02

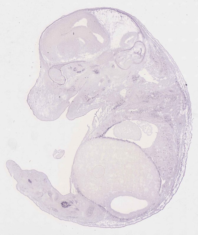
Specimen euxassay_002380_03: embryonic day 14.5 (more )
Structure Level Pattern Image Note
TS23: diaphragm Moderate Regionally restricted euxassay_002380_03
TS23: vertebral axis musculature Weak Regionally restricted euxassay_002380_03
TS23: head mesenchyme Strong Regionally restricted euxassay_002380_03

Specimen euxassay_002380_04: embryonic day 14.5 (more )
Structure Level Pattern Image Note
TS23: diaphragm Moderate Regionally restricted euxassay_002380_04
TS23: vertebral axis musculature Weak Regionally restricted euxassay_002380_04

Specimen euxassay_002380_05: embryonic day 14.5 (more )
Structure Level Pattern Image Note
TS23: diaphragm Moderate Regionally restricted euxassay_002380_05
TS23: vertebral axis musculature Weak Regionally restricted euxassay_002380_05

Specimen euxassay_002380_06: embryonic day 14.5 (more )
Structure Level Pattern Image Note
TS23: diaphragm Moderate Regionally restricted euxassay_002380_06
TS23: vertebral axis musculature Weak Regionally restricted euxassay_002380_06

Specimen euxassay_002380_07: embryonic day 14.5 (more )
Structure Level Pattern Image Note
TS23: vertebral axis musculature Weak Regionally restricted euxassay_002380_07
TS23: tongue Moderate Regionally restricted euxassay_002380_07

Specimen euxassay_002380_08: embryonic day 14.5 (more )
Structure Level Pattern Image Note
TS23: vertebral axis musculature Weak Regionally restricted euxassay_002380_08
TS23: tongue Moderate Regionally restricted euxassay_002380_08

Specimen euxassay_002380_09: embryonic day 14.5 (more )
Structure Level Pattern Image Note
TS23: vertebral axis musculature Weak Regionally restricted euxassay_002380_09
TS23: tongue Moderate Regionally restricted euxassay_002380_09
TS23: pons ventricular layer Strong Regionally restricted euxassay_002380_09

Specimen euxassay_002380_10: embryonic day 14.5 (more )
Structure Level Pattern Image Note
TS23: vertebral axis musculature Weak Regionally restricted euxassay_002380_10
TS23: tongue Moderate Regionally restricted euxassay_002380_10
TS23: midbrain ventricular layer Strong Regionally restricted euxassay_002380_10

Specimen euxassay_002380_11: embryonic day 14.5 (more )
Structure Level Pattern Image Note
TS23: vertebral axis musculature Weak Regionally restricted euxassay_002380_11
TS23: tongue Moderate Regionally restricted euxassay_002380_11
TS23: midbrain ventricular layer Strong Regionally restricted euxassay_002380_11
TS23: diencephalon lateral wall ventricular layer Strong Regionally restricted euxassay_002380_11
TS23: hypothalamus ventricular layer Strong Regionally restricted euxassay_002380_11

Specimen euxassay_002380_12: embryonic day 14.5 (more )
Structure Level Pattern Image Note
TS23: vertebral axis musculature Weak Regionally restricted euxassay_002380_12
TS23: tongue Moderate Regionally restricted euxassay_002380_12
TS23: midbrain ventricular layer Strong Regionally restricted euxassay_002380_12
TS23: diencephalon lateral wall ventricular layer Strong Regionally restricted euxassay_002380_12
TS23: hypothalamus ventricular layer Strong Regionally restricted euxassay_002380_12

Specimen euxassay_002380_13: embryonic day 14.5 (more )
Structure Level Pattern Image Note
TS23: vertebral axis musculature Weak Regionally restricted euxassay_002380_13
TS23: midbrain ventricular layer Strong Regionally restricted euxassay_002380_13
TS23: spinal cord ventricular layer Strong Regionally restricted euxassay_002380_13
TS23: hypothalamus ventricular layer Strong Regionally restricted euxassay_002380_13
TS23: diencephalon lateral wall ventricular layer Strong Regionally restricted euxassay_002380_13

Specimen euxassay_002380_14: embryonic day 14.5 (more )
Structure Level Pattern Image Note
TS23: diaphragm Moderate Regionally restricted euxassay_002380_14
TS23: vertebral axis musculature Weak Regionally restricted euxassay_002380_14
TS23: spinal cord ventricular layer Strong Regionally restricted euxassay_002380_14
TS23: midbrain ventricular layer Strong Regionally restricted euxassay_002380_14

Specimen euxassay_002380_15: embryonic day 14.5 (more )
Structure Level Pattern Image Note
TS23: diaphragm Moderate Regionally restricted euxassay_002380_15
TS23: vertebral axis musculature Weak Regionally restricted euxassay_002380_15
TS23: spinal cord ventricular layer Strong Regionally restricted euxassay_002380_15
TS23: midbrain ventricular layer Strong Regionally restricted euxassay_002380_15

Specimen euxassay_002380_16: embryonic day 14.5 (more )
Structure Level Pattern Image Note
TS23: diaphragm Moderate Regionally restricted euxassay_002380_16
TS23: vertebral axis musculature Weak Regionally restricted euxassay_002380_16
TS23: head mesenchyme Moderate Regionally restricted euxassay_002380_16
TS23: midbrain ventricular layer Strong Regionally restricted euxassay_002380_16
TS23: spinal cord ventricular layer Strong Regionally restricted euxassay_002380_16
TS23: pons ventricular layer Strong Regionally restricted euxassay_002380_16

Specimen euxassay_002380_17: embryonic day 14.5 (more )
Structure Level Pattern Image Note
TS23: diaphragm Moderate Regionally restricted euxassay_002380_17
TS23: vertebral axis musculature Weak Regionally restricted euxassay_002380_17
TS23: head mesenchyme Moderate Regionally restricted euxassay_002380_17
TS23: pons ventricular layer Strong Regionally restricted euxassay_002380_17
TS23: midbrain ventricular layer Strong Regionally restricted euxassay_002380_17
TS23: spinal cord ventricular layer Strong Regionally restricted euxassay_002380_17

Specimen euxassay_002380_18: embryonic day 14.5 (more )
Structure Level Pattern Image Note
TS23: diaphragm Moderate Regionally restricted euxassay_002380_18
TS23: vertebral axis musculature Weak Regionally restricted euxassay_002380_18
TS23: head mesenchyme Strong Regionally restricted euxassay_002380_18
TS23: spinal cord ventricular layer Strong Regionally restricted euxassay_002380_18
TS23: midbrain ventricular layer Strong Regionally restricted euxassay_002380_18
TS23: pons ventricular layer Strong Regionally restricted euxassay_002380_18

Specimen euxassay_002380_19: embryonic day 14.5 (more )
Structure Level Pattern Image Note
TS23: diaphragm Moderate Regionally restricted euxassay_002380_19
TS23: vertebral axis musculature Weak Regionally restricted euxassay_002380_19
TS23: head mesenchyme Strong Regionally restricted euxassay_002380_19
TS23: midbrain ventricular layer Strong Regionally restricted euxassay_002380_19

Specimen euxassay_002380_20: embryonic day 14.5 (more )
Structure Level Pattern Image Note
TS23: diaphragm Moderate Regionally restricted euxassay_002380_20
TS23: vertebral axis musculature Weak Regionally restricted euxassay_002380_20
TS23: head mesenchyme Strong Regionally restricted euxassay_002380_20

Specimen euxassay_002380_21: embryonic day 14.5 (more )
Structure Level Pattern Image Note
TS23: diaphragm Moderate Regionally restricted euxassay_002380_21
TS23: vertebral axis musculature Weak Regionally restricted euxassay_002380_21
TS23: head mesenchyme Strong Regionally restricted euxassay_002380_21

Specimen euxassay_002380_22: embryonic day 14.5 (more )
Structure Level Pattern Image Note
TS23: diaphragm Moderate Regionally restricted euxassay_002380_22
TS23: vertebral axis musculature Weak Regionally restricted euxassay_002380_22
TS23: head mesenchyme Strong Regionally restricted euxassay_002380_22

Specimen euxassay_002380_23: embryonic day 14.5 (more )
Structure Level Pattern Image Note
TS23: diaphragm Moderate Regionally restricted euxassay_002380_23
TS23: vertebral axis musculature Weak Regionally restricted euxassay_002380_23
TS23: head mesenchyme Strong Regionally restricted euxassay_002380_23


Contributing Projects:
Mouse Genome Database (MGD), Gene Expression Database (GXD), Mouse Models of Human Cancer database (MMHCdb) (formerly Mouse Tumor Biology (MTB)), Gene Ontology (GO)
Citing These Resources
Funding Information
Warranty Disclaimer, Privacy Notice, Licensing, & Copyright
Send questions and comments to User Support.
last database update
01/20/2026
MGI 6.24
The Jackson Laboratory