About   Help   FAQ
Gene Expression Data
Assay Details
Assay
Reference: J:153498 Diez-Roux G, et al., A high-resolution anatomical atlas of the transcriptome in the mouse embryo. PLoS Biol. 2011;9(1):e1000582
Assay type: RNA in situ
MGI Accession ID: MGI:4824213
Gene symbol: D930028M14Rik
Gene name: RIKEN cDNA D930028M14 gene
Probe: T38659
Probe preparation: Antisense labelled with digoxigenin RNA
Visualized with: Alkaline phosphatase
Assay notes: Cryosections of fresh frozen material were fixed in 4% paraformaldehyde for 20 min. before further processing. A tyramide-biotin/streptavidin amplification step was included in the in situ hybridization procedure.
Results
Specimen euxassay_012908_01: embryonic day 14.5 (more )
Structure Level Pattern Image Note
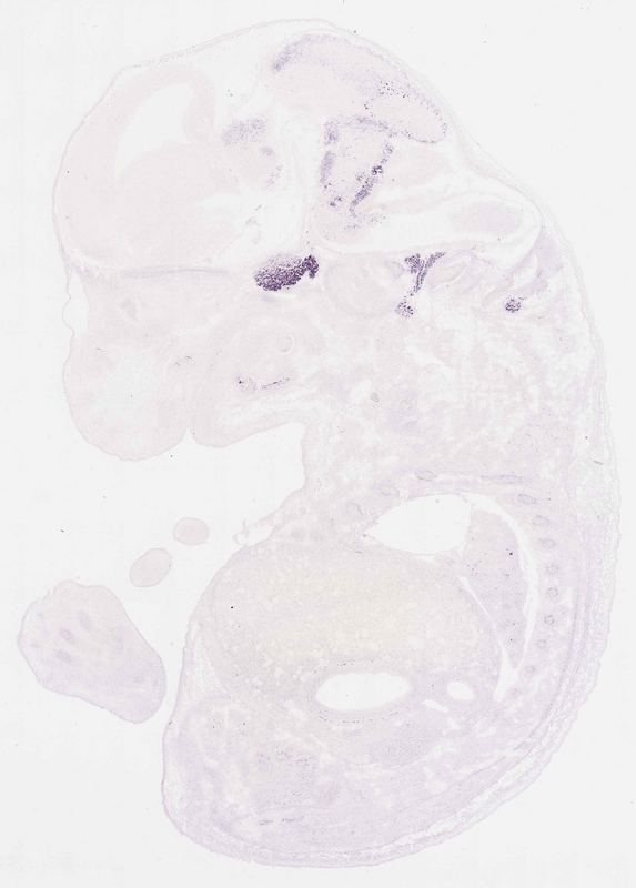
TS23: trigeminal ganglion Strong Regionally restricted euxassay_012908_01
TS23: neural retina Strong Regionally restricted euxassay_012908_01

Specimen euxassay_012908_02: embryonic day 14.5 (more )
Structure Level Pattern Image Note
TS23: trigeminal ganglion Strong Regionally restricted euxassay_012908_02
TS23: facial ganglion Strong Regionally restricted euxassay_012908_02
TS23: neural retina Strong Regionally restricted euxassay_012908_02

Specimen euxassay_012908_03: embryonic day 14.5 (more )
Structure Level Pattern Image Note
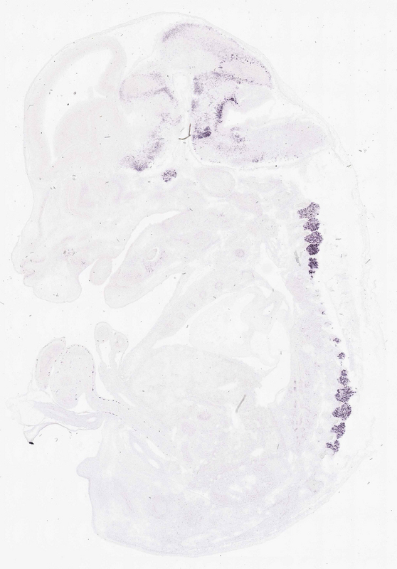
TS23: trigeminal ganglion Strong Regionally restricted euxassay_012908_03
TS23: facial ganglion Strong Regionally restricted euxassay_012908_03
TS23: rest of cerebellum mantle layer Strong Regionally restricted euxassay_012908_03

Specimen euxassay_012908_04: embryonic day 14.5 (more )
Structure Level Pattern Image Note
TS23: trigeminal ganglion Strong Regionally restricted euxassay_012908_04
TS23: facial ganglion Strong Regionally restricted euxassay_012908_04
TS23: midbrain mantle layer Strong Regionally restricted euxassay_012908_04
TS23: rest of cerebellum mantle layer Strong Regionally restricted euxassay_012908_04
TS23: pons mantle layer Strong Regionally restricted euxassay_012908_04

Specimen euxassay_012908_05: embryonic day 14.5 (more )
Structure Level Pattern Image Note
TS23: trigeminal ganglion Strong Regionally restricted euxassay_012908_05
TS23: glossopharyngeal ganglion Strong Regionally restricted euxassay_012908_05
TS23: dorsal root ganglion Strong Regionally restricted euxassay_012908_05
TS23: midbrain mantle layer Strong Regionally restricted euxassay_012908_05
TS23: diencephalon lateral wall mantle layer Strong Regionally restricted euxassay_012908_05
TS23: medulla oblongata alar plate mantle layer Strong Regionally restricted euxassay_012908_05
TS23: medulla oblongata basal plate mantle layer Strong Regionally restricted euxassay_012908_05
TS23: rest of cerebellum mantle layer Strong Regionally restricted euxassay_012908_05
TS23: pons mantle layer Strong Regionally restricted euxassay_012908_05

Specimen euxassay_012908_06: embryonic day 14.5 (more )
Structure Level Pattern Image Note
TS23: trigeminal ganglion Strong Regionally restricted euxassay_012908_06
TS23: vagus ganglion Strong Regionally restricted euxassay_012908_06
TS23: dorsal root ganglion Strong Regionally restricted euxassay_012908_06
TS23: diencephalon lateral wall mantle layer Strong Regionally restricted euxassay_012908_06
TS23: midbrain mantle layer Strong Regionally restricted euxassay_012908_06
TS23: medulla oblongata alar plate mantle layer Strong Regionally restricted euxassay_012908_06
TS23: medulla oblongata basal plate mantle layer Strong Regionally restricted euxassay_012908_06
TS23: rest of cerebellum mantle layer Strong Regionally restricted euxassay_012908_06
TS23: pons mantle layer Strong Regionally restricted euxassay_012908_06

Specimen euxassay_012908_07: embryonic day 14.5 (more )
Structure Level Pattern Image Note
TS23: trigeminal ganglion Strong Regionally restricted euxassay_012908_07
TS23: dorsal root ganglion Strong Regionally restricted euxassay_012908_07
TS23: diencephalon lateral wall mantle layer Strong Regionally restricted euxassay_012908_07
TS23: midbrain mantle layer Strong Regionally restricted euxassay_012908_07
TS23: medulla oblongata alar plate mantle layer Strong Regionally restricted euxassay_012908_07
TS23: medulla oblongata basal plate mantle layer Strong Regionally restricted euxassay_012908_07
TS23: rest of cerebellum mantle layer Strong Regionally restricted euxassay_012908_07
TS23: pons mantle layer Strong Regionally restricted euxassay_012908_07

Specimen euxassay_012908_08: embryonic day 14.5 (more )
Structure Level Pattern Image Note
TS23: dorsal root ganglion Strong Regionally restricted euxassay_012908_08
TS23: diencephalon lateral wall mantle layer Strong Regionally restricted euxassay_012908_08
TS23: midbrain mantle layer Strong Regionally restricted euxassay_012908_08
TS23: medulla oblongata alar plate mantle layer Strong Regionally restricted euxassay_012908_08
TS23: medulla oblongata basal plate mantle layer Strong Regionally restricted euxassay_012908_08
TS23: rest of cerebellum mantle layer Strong Regionally restricted euxassay_012908_08
TS23: pons mantle layer Strong Regionally restricted euxassay_012908_08
TS23: spinal cord mantle layer Strong Regionally restricted euxassay_012908_08

Specimen euxassay_012908_09: embryonic day 14.5 (more )
Structure Level Pattern Image Note
TS23: dorsal root ganglion Strong Regionally restricted euxassay_012908_09
TS23: diencephalon lateral wall mantle layer Strong Regionally restricted euxassay_012908_09
TS23: midbrain mantle layer Strong Regionally restricted euxassay_012908_09
TS23: medulla oblongata alar plate mantle layer Strong Regionally restricted euxassay_012908_09
TS23: medulla oblongata basal plate mantle layer Strong Regionally restricted euxassay_012908_09
TS23: rest of cerebellum mantle layer Strong Regionally restricted euxassay_012908_09
TS23: pons mantle layer Strong Regionally restricted euxassay_012908_09
TS23: spinal cord mantle layer Strong Regionally restricted euxassay_012908_09

Specimen euxassay_012908_10: embryonic day 14.5 (more )
Structure Level Pattern Image Note
TS23: diencephalon lateral wall mantle layer Strong Regionally restricted euxassay_012908_10
TS23: midbrain mantle layer Strong Regionally restricted euxassay_012908_10
TS23: telencephalon mantle layer Strong Regionally restricted euxassay_012908_10
TS23: medulla oblongata alar plate mantle layer Strong Regionally restricted euxassay_012908_10
TS23: medulla oblongata basal plate mantle layer Strong Regionally restricted euxassay_012908_10
TS23: rest of cerebellum mantle layer Strong Regionally restricted euxassay_012908_10
TS23: pons mantle layer Strong Regionally restricted euxassay_012908_10
TS23: spinal cord mantle layer Strong Regionally restricted euxassay_012908_10

Specimen euxassay_012908_11: embryonic day 14.5 (more )
Structure Level Pattern Image Note
TS23: dorsal root ganglion Strong Regionally restricted euxassay_012908_11
TS23: diencephalon lateral wall mantle layer Strong Regionally restricted euxassay_012908_11
TS23: telencephalon mantle layer Strong Regionally restricted euxassay_012908_11
TS23: midbrain mantle layer Strong Regionally restricted euxassay_012908_11
TS23: medulla oblongata alar plate mantle layer Strong Regionally restricted euxassay_012908_11
TS23: medulla oblongata basal plate mantle layer Strong Regionally restricted euxassay_012908_11
TS23: rest of cerebellum mantle layer Strong Regionally restricted euxassay_012908_11
TS23: pons mantle layer Strong Regionally restricted euxassay_012908_11
TS23: spinal cord mantle layer Strong Regionally restricted euxassay_012908_11

Specimen euxassay_012908_12: embryonic day 14.5 (more )
Structure Level Pattern Image Note
TS23: dorsal root ganglion Strong Regionally restricted euxassay_012908_12
TS23: diencephalon lateral wall mantle layer Strong Regionally restricted euxassay_012908_12
TS23: telencephalon mantle layer Strong Regionally restricted euxassay_012908_12
TS23: midbrain mantle layer Strong Regionally restricted euxassay_012908_12
TS23: medulla oblongata alar plate mantle layer Strong Regionally restricted euxassay_012908_12
TS23: medulla oblongata basal plate mantle layer Strong Regionally restricted euxassay_012908_12
TS23: rest of cerebellum mantle layer Strong Regionally restricted euxassay_012908_12
TS23: pons mantle layer Strong Regionally restricted euxassay_012908_12
TS23: spinal cord mantle layer Strong Regionally restricted euxassay_012908_12

Specimen euxassay_012908_13: embryonic day 14.5 (more )
Structure Level Pattern Image Note
TS23: dorsal root ganglion Strong Regionally restricted euxassay_012908_13
TS23: diencephalon lateral wall mantle layer Strong Regionally restricted euxassay_012908_13
TS23: telencephalon mantle layer Strong Regionally restricted euxassay_012908_13
TS23: midbrain mantle layer Strong Regionally restricted euxassay_012908_13
TS23: medulla oblongata alar plate mantle layer Strong Regionally restricted euxassay_012908_13
TS23: medulla oblongata basal plate mantle layer Strong Regionally restricted euxassay_012908_13
TS23: rest of cerebellum mantle layer Strong Regionally restricted euxassay_012908_13
TS23: pons mantle layer Strong Regionally restricted euxassay_012908_13
TS23: spinal cord mantle layer Strong Regionally restricted euxassay_012908_13

Specimen euxassay_012908_14: embryonic day 14.5 (more )
Structure Level Pattern Image Note
TS23: dorsal root ganglion Strong Regionally restricted euxassay_012908_14
TS23: diencephalon lateral wall mantle layer Strong Regionally restricted euxassay_012908_14
TS23: midbrain mantle layer Strong Regionally restricted euxassay_012908_14
TS23: medulla oblongata alar plate mantle layer Strong Regionally restricted euxassay_012908_14
TS23: medulla oblongata basal plate mantle layer Strong Regionally restricted euxassay_012908_14
TS23: rest of cerebellum mantle layer Strong Regionally restricted euxassay_012908_14
TS23: pons mantle layer Strong Regionally restricted euxassay_012908_14
TS23: spinal cord mantle layer Strong Regionally restricted euxassay_012908_14

Specimen euxassay_012908_15: embryonic day 14.5 (more )
Structure Level Pattern Image Note
TS23: trigeminal ganglion Strong Regionally restricted euxassay_012908_15
TS23: dorsal root ganglion Strong Regionally restricted euxassay_012908_15
TS23: diencephalon lateral wall mantle layer Strong Regionally restricted euxassay_012908_15
TS23: midbrain mantle layer Strong Regionally restricted euxassay_012908_15
TS23: medulla oblongata alar plate mantle layer Strong Regionally restricted euxassay_012908_15
TS23: medulla oblongata basal plate mantle layer Strong Regionally restricted euxassay_012908_15
TS23: rest of cerebellum mantle layer Strong Regionally restricted euxassay_012908_15
TS23: pons mantle layer Strong Regionally restricted euxassay_012908_15
TS23: spinal cord mantle layer Strong Regionally restricted euxassay_012908_15

Specimen euxassay_012908_16: embryonic day 14.5 (more )
Structure Level Pattern Image Note
TS23: trigeminal ganglion Strong Regionally restricted euxassay_012908_16
TS23: vagus ganglion Strong Regionally restricted euxassay_012908_16
TS23: glossopharyngeal ganglion Strong Regionally restricted euxassay_012908_16
TS23: dorsal root ganglion Strong Regionally restricted euxassay_012908_16
TS23: diencephalon lateral wall mantle layer Strong Regionally restricted euxassay_012908_16
TS23: midbrain mantle layer Strong Regionally restricted euxassay_012908_16
TS23: rest of cerebellum mantle layer Strong Regionally restricted euxassay_012908_16
TS23: pons mantle layer Strong Regionally restricted euxassay_012908_16
TS23: medulla oblongata alar plate mantle layer Strong Regionally restricted euxassay_012908_16
TS23: medulla oblongata basal plate mantle layer Strong Regionally restricted euxassay_012908_16

Specimen euxassay_012908_17: embryonic day 14.5 (more )
Structure Level Pattern Image Note
TS23: trigeminal ganglion Strong Regionally restricted euxassay_012908_17
TS23: glossopharyngeal ganglion Strong Regionally restricted euxassay_012908_17
TS23: dorsal root ganglion Strong Regionally restricted euxassay_012908_17
TS23: pons mantle layer Strong Regionally restricted euxassay_012908_17
TS23: rest of cerebellum mantle layer Strong Regionally restricted euxassay_012908_17

Specimen euxassay_012908_18: embryonic day 14.5 (more )
Structure Level Pattern Image Note
TS23: trigeminal ganglion Strong Regionally restricted euxassay_012908_18
TS23: facial ganglion Strong Regionally restricted euxassay_012908_18

Specimen euxassay_012908_19: embryonic day 14.5 (more )
Structure Level Pattern Image Note
TS23: trigeminal ganglion Strong Regionally restricted euxassay_012908_19
TS23: facial ganglion Strong Regionally restricted euxassay_012908_19

Specimen euxassay_012908_20: embryonic day 14.5 (more )
Structure Level Pattern Image Note
TS23: trigeminal ganglion Strong Regionally restricted euxassay_012908_20

Specimen euxassay_012908_21: embryonic day 14.5 (more )
Structure Level Pattern Image Note
TS23: neural retina Strong Regionally restricted euxassay_012908_21

Specimen euxassay_012908_22: embryonic day 14.5 (more )
Structure Level Pattern Image Note
TS23: neural retina Strong Regionally restricted euxassay_012908_22

Specimen euxassay_012908_23: embryonic day 14.5 (more )
Structure Level Pattern Image Note
TS23: neural retina Strong Regionally restricted euxassay_012908_23

Specimen euxassay_012908_24: embryonic day 14.5 (more )
Structure Level Pattern Image Note
TS23: neural retina Strong Regionally restricted euxassay_012908_24


Contributing Projects:
Mouse Genome Database (MGD), Gene Expression Database (GXD), Mouse Models of Human Cancer database (MMHCdb) (formerly Mouse Tumor Biology (MTB)), Gene Ontology (GO)
Citing These Resources
Funding Information
Warranty Disclaimer, Privacy Notice, Licensing, & Copyright
Send questions and comments to User Support.
last database update
12/30/2025
MGI 6.24
The Jackson Laboratory