About   Help   FAQ
Gene Expression Data
Assay Details
Assay
Reference: J:153498 Diez-Roux G, et al., A high-resolution anatomical atlas of the transcriptome in the mouse embryo. PLoS Biol. 2011;9(1):e1000582
Assay type: RNA in situ
MGI Accession ID: MGI:4824169
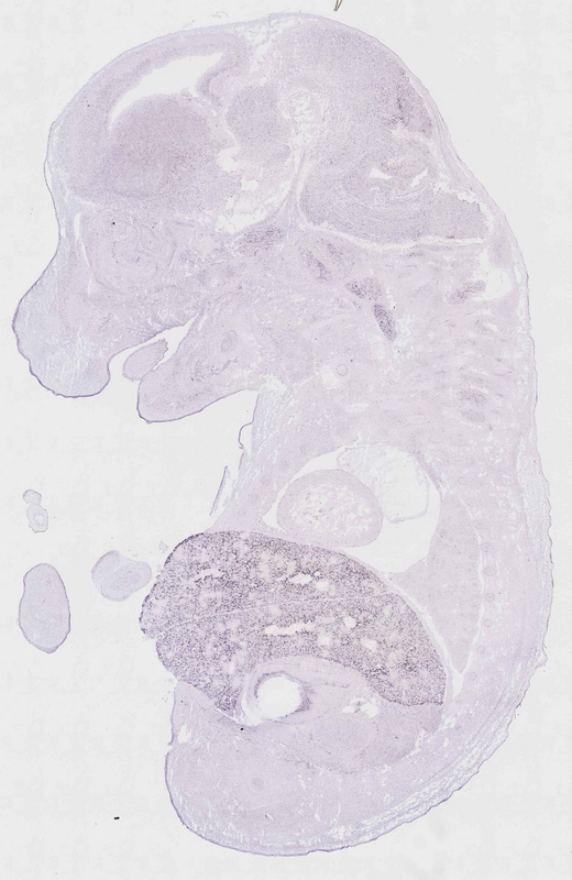
Gene symbol: Cyp2d9
Gene name: cytochrome P450, family 2, subfamily d, polypeptide 9
Probe: IMAGE clone 5050233
Probe preparation: Antisense labelled with digoxigenin RNA
Visualized with: Alkaline phosphatase
Assay notes: Cryosections of fresh frozen material were fixed in 4% paraformaldehyde for 20 min. before further processing. A tyramide-biotin/streptavidin amplification step was included in the in situ hybridization procedure.
Results
Specimen euxassay_001576_01: embryonic day 14.5 (more )
Structure Level Pattern Image Note
TS23: liver lobe Strong Single cells euxassay_001576_01

Specimen euxassay_001576_02: embryonic day 14.5 (more )
Structure Level Pattern Image Note
TS23: liver lobe Strong Single cells euxassay_001576_02

Specimen euxassay_001576_03: embryonic day 14.5 (more )
Structure Level Pattern Image Note
TS23: liver lobe Strong Single cells euxassay_001576_03

Specimen euxassay_001576_04: embryonic day 14.5 (more )
Structure Level Pattern Image Note
TS23: liver lobe Strong Single cells euxassay_001576_04

Specimen euxassay_001576_05: embryonic day 14.5 (more )
Structure Level Pattern Image Note
TS23: liver lobe Strong Single cells euxassay_001576_05

Specimen euxassay_001576_06: embryonic day 14.5 (more )
Structure Level Pattern Image Note
TS23: liver lobe Moderate Single cells euxassay_001576_06

Specimen euxassay_001576_07: embryonic day 14.5 (more )
Structure Level Pattern Image Note
TS23: liver lobe Strong Single cells euxassay_001576_07

Specimen euxassay_001576_08: embryonic day 14.5 (more )
Structure Level Pattern Image Note
TS23: liver lobe Strong Single cells euxassay_001576_08

Specimen euxassay_001576_09: embryonic day 14.5 (more )
Structure Level Pattern Image Note
TS23: liver lobe Strong Single cells euxassay_001576_09

Specimen euxassay_001576_10: embryonic day 14.5 (more )
Structure Level Pattern Image Note
TS23: liver lobe Strong Single cells euxassay_001576_10

Specimen euxassay_001576_11: embryonic day 14.5 (more )
Structure Level Pattern Image Note
TS23: liver lobe Strong Single cells euxassay_001576_11

Specimen euxassay_001576_12: embryonic day 14.5 (more )
Structure Level Pattern Image Note
TS23: liver lobe Strong Single cells euxassay_001576_12

Specimen euxassay_001576_13: embryonic day 14.5 (more )
Structure Level Pattern Image Note
TS23: liver lobe Strong Single cells euxassay_001576_13

Specimen euxassay_001576_14: embryonic day 14.5 (more )
Structure Level Pattern Image Note
TS23: liver lobe Strong Single cells euxassay_001576_14

Specimen euxassay_001576_15: embryonic day 14.5 (more )
Structure Level Pattern Image Note
TS23: liver lobe Strong Single cells euxassay_001576_15

Specimen euxassay_001576_16: embryonic day 14.5 (more )
Structure Level Pattern Image Note
TS23: liver lobe Strong Single cells euxassay_001576_16

Specimen euxassay_001576_17: embryonic day 14.5 (more )
Structure Level Pattern Image Note
TS23: liver lobe Strong Single cells euxassay_001576_17

Specimen euxassay_001576_18: embryonic day 14.5 (more )
Structure Level Pattern Image Note
TS23: liver lobe Strong Single cells euxassay_001576_18

Specimen euxassay_001576_19: embryonic day 14.5 (more )
Structure Level Pattern Image Note
TS23: liver lobe Strong Single cells euxassay_001576_19

Specimen euxassay_001576_20: embryonic day 14.5 (more )
Structure Level Pattern Image Note
TS23: liver lobe Strong Single cells euxassay_001576_20

Specimen euxassay_001576_21: embryonic day 14.5 (more )
Structure Level Pattern Image Note
TS23: liver lobe Strong Single cells euxassay_001576_21

Specimen euxassay_001576_22: embryonic day 14.5 (more )
Structure Level Pattern Image Note
TS23: liver lobe Strong Single cells euxassay_001576_22


Contributing Projects:
Mouse Genome Database (MGD), Gene Expression Database (GXD), Mouse Models of Human Cancer database (MMHCdb) (formerly Mouse Tumor Biology (MTB)), Gene Ontology (GO)
Citing These Resources
Funding Information
Warranty Disclaimer, Privacy Notice, Licensing, & Copyright
Send questions and comments to User Support.
last database update
01/20/2026
MGI 6.24
The Jackson Laboratory