About   Help   FAQ
Gene Expression Data
Assay Details
Assay
Reference: J:153498 Diez-Roux G, et al., A high-resolution anatomical atlas of the transcriptome in the mouse embryo. PLoS Biol. 2011;9(1):e1000582
Assay type: RNA in situ
MGI Accession ID: MGI:4824130
Gene symbol: Cxadr
Gene name: coxsackie virus and adenovirus receptor
Probe: T31268
Probe preparation: Antisense labelled with digoxigenin RNA
Visualized with: Alkaline phosphatase
Assay notes: Cryosections of fresh frozen material were fixed in 4% paraformaldehyde for 20 min. before further processing. A tyramide-biotin/streptavidin amplification step was included in the in situ hybridization procedure.
Results
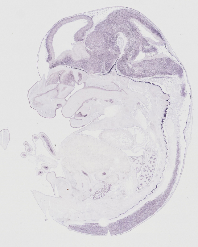
Specimen euxassay_012371_01: embryonic day 14.5 (more )
Structure Level Pattern Image Note
TS23: epidermis Moderate Regionally restricted euxassay_012371_01
TS23: pharyngo-tympanic tube Moderate Regionally restricted euxassay_012371_01
TS23: neural retina Strong Regionally restricted euxassay_012371_01
TS23: telencephalon mantle layer Strong Regionally restricted euxassay_012371_01
TS23: telencephalon meninges Strong Regionally restricted euxassay_012371_01

Specimen euxassay_012371_02: embryonic day 14.5 (more )
Structure Level Pattern Image Note
TS23: epidermis Moderate Regionally restricted euxassay_012371_02
TS23: vibrissa Moderate Regionally restricted euxassay_012371_02
TS23: stomach Moderate Regionally restricted euxassay_012371_02
TS23: pharyngo-tympanic tube Moderate Regionally restricted euxassay_012371_02
TS23: endolymphatic duct Moderate Regionally restricted euxassay_012371_02
TS23: neural retina Strong Regionally restricted euxassay_012371_02
TS23: telencephalon mantle layer Strong Regionally restricted euxassay_012371_02
TS23: telencephalon meninges Strong Regionally restricted euxassay_012371_02

Specimen euxassay_012371_03: embryonic day 14.5 (more )
Structure Level Pattern Image Note
TS23: vibrissa Moderate Regionally restricted euxassay_012371_03
TS23: epidermis Moderate Regionally restricted euxassay_012371_03
TS23: stomach Moderate Regionally restricted euxassay_012371_03
TS23: pleura Moderate Regionally restricted euxassay_012371_03
TS23: urogenital mesentery Weak Regionally restricted euxassay_012371_03
TS23: pharyngo-tympanic tube Moderate Regionally restricted euxassay_012371_03
TS23: endolymphatic duct Moderate Regionally restricted euxassay_012371_03
TS23: neural retina Strong Regionally restricted euxassay_012371_03
TS23: telencephalon mantle layer Strong Regionally restricted euxassay_012371_03
TS23: telencephalon meninges Strong Regionally restricted euxassay_012371_03

Specimen euxassay_012371_04: embryonic day 14.5 (more )
Structure Level Pattern Image Note
TS23: epidermis Moderate Regionally restricted euxassay_012371_04
TS23: vibrissa Strong Regionally restricted euxassay_012371_04
TS23: stomach Strong Regionally restricted euxassay_012371_04
TS23: left lung Moderate Regionally restricted euxassay_012371_04
TS23: pleura Moderate Regionally restricted euxassay_012371_04
TS23: urogenital mesentery Weak Regionally restricted euxassay_012371_04
TS23: endolymphatic duct Moderate Regionally restricted euxassay_012371_04
TS23: pharyngo-tympanic tube Moderate Regionally restricted euxassay_012371_04
TS23: telencephalon mantle layer Strong Regionally restricted euxassay_012371_04
TS23: telencephalon meninges Strong Regionally restricted euxassay_012371_04
TS23: medulla oblongata basal plate mantle layer Strong Regionally restricted euxassay_012371_04
TS23: rest of cerebellum mantle layer Strong Regionally restricted euxassay_012371_04
TS23: hindbrain meninges Strong Regionally restricted euxassay_012371_04
TS23: trigeminal ganglion Weak Regionally restricted euxassay_012371_04

Specimen euxassay_012371_05: embryonic day 14.5 (more )
Structure Level Pattern Image Note
TS23: vibrissa Strong Regionally restricted euxassay_012371_05
TS23: epidermis Moderate Regionally restricted euxassay_012371_05
TS23: stomach Strong Regionally restricted euxassay_012371_05
TS23: left lung Moderate Regionally restricted euxassay_012371_05
TS23: pleura Moderate Regionally restricted euxassay_012371_05
TS23: seminiferous cord Weak Regionally restricted euxassay_012371_05
TS23: urogenital mesentery Weak Regionally restricted euxassay_012371_05
TS23: pharyngo-tympanic tube Moderate Regionally restricted euxassay_012371_05
TS23: utricle Moderate Regionally restricted euxassay_012371_05
TS23: oral epithelium Moderate Regionally restricted euxassay_012371_05
TS23: telencephalon mantle layer Strong Regionally restricted euxassay_012371_05
TS23: telencephalon meninges Strong Regionally restricted euxassay_012371_05
TS23: midbrain meninges Strong Regionally restricted euxassay_012371_05
TS23: medulla oblongata alar plate mantle layer Strong Regionally restricted euxassay_012371_05
TS23: medulla oblongata basal plate mantle layer Strong Regionally restricted euxassay_012371_05
TS23: hindbrain meninges Strong Regionally restricted euxassay_012371_05
TS23: rest of cerebellum mantle layer Strong Regionally restricted euxassay_012371_05
TS23: pons mantle layer Strong Regionally restricted euxassay_012371_05
TS23: trigeminal ganglion Moderate Regionally restricted euxassay_012371_05
TS23: vestibulo-cochlear ganglion Moderate Regionally restricted euxassay_012371_05
TS23: facial ganglion Moderate Regionally restricted euxassay_012371_05

Specimen euxassay_012371_06: embryonic day 14.5 (more )
Structure Level Pattern Image Note
TS23: epidermis Moderate Regionally restricted euxassay_012371_06
TS23: vibrissa Strong Regionally restricted euxassay_012371_06
TS23: stomach Strong Regionally restricted euxassay_012371_06
TS23: left lung Moderate Regionally restricted euxassay_012371_06
TS23: pleura Moderate Regionally restricted euxassay_012371_06
TS23: renal cortex Moderate Regionally restricted euxassay_012371_06
TS23: seminiferous cord Weak Regionally restricted euxassay_012371_06
TS23: urogenital mesentery Weak Regionally restricted euxassay_012371_06
TS23: utricle Moderate Regionally restricted euxassay_012371_06
TS23: pharyngo-tympanic tube Moderate Regionally restricted euxassay_012371_06
TS23: oral epithelium Moderate Regionally restricted euxassay_012371_06
TS23: lower jaw molar Moderate Regionally restricted euxassay_012371_06
TS23: upper jaw molar Moderate Regionally restricted euxassay_012371_06
TS23: telencephalon mantle layer Strong Regionally restricted euxassay_012371_06
TS23: midbrain meninges Strong Regionally restricted euxassay_012371_06
TS23: telencephalon meninges Strong Regionally restricted euxassay_012371_06
TS23: medulla oblongata alar plate mantle layer Strong Regionally restricted euxassay_012371_06
TS23: medulla oblongata basal plate mantle layer Strong Regionally restricted euxassay_012371_06
TS23: hindbrain meninges Strong Regionally restricted euxassay_012371_06
TS23: rest of cerebellum mantle layer Strong Regionally restricted euxassay_012371_06
TS23: pons mantle layer Strong Regionally restricted euxassay_012371_06
TS23: trigeminal ganglion Moderate Regionally restricted euxassay_012371_06
TS23: vestibulo-cochlear ganglion Moderate Regionally restricted euxassay_012371_06

Specimen euxassay_012371_07: embryonic day 14.5 (more )
Structure Level Pattern Image Note
TS23: epidermis Moderate Regionally restricted euxassay_012371_07
TS23: vibrissa Moderate Regionally restricted euxassay_012371_07
TS23: stomach Strong Regionally restricted euxassay_012371_07
TS23: midgut Strong Regionally restricted euxassay_012371_07
TS23: left lung Moderate Regionally restricted euxassay_012371_07
TS23: pleura Moderate Regionally restricted euxassay_012371_07
TS23: renal cortex Moderate Regionally restricted euxassay_012371_07
TS23: seminiferous cord Weak Regionally restricted euxassay_012371_07
TS23: urogenital mesentery Weak Regionally restricted euxassay_012371_07
TS23: utricle Moderate Regionally restricted euxassay_012371_07
TS23: cochlea Moderate Regionally restricted euxassay_012371_07
TS23: lower jaw molar Moderate Regionally restricted euxassay_012371_07
TS23: oral epithelium Moderate Regionally restricted euxassay_012371_07
TS23: nasal cavity epithelium Moderate Regionally restricted euxassay_012371_07
TS23: telencephalon mantle layer Strong Regionally restricted euxassay_012371_07
TS23: telencephalon meninges Strong Regionally restricted euxassay_012371_07
TS23: midbrain meninges Strong Regionally restricted euxassay_012371_07
TS23: diencephalon meninges Strong Regionally restricted euxassay_012371_07
TS23: medulla oblongata alar plate marginal layer Strong Regionally restricted euxassay_012371_07
TS23: medulla oblongata basal plate mantle layer Strong Regionally restricted euxassay_012371_07
TS23: hindbrain meninges Strong Regionally restricted euxassay_012371_07
TS23: rest of cerebellum mantle layer Strong Regionally restricted euxassay_012371_07
TS23: pons mantle layer Strong Regionally restricted euxassay_012371_07
TS23: trigeminal ganglion Moderate Regionally restricted euxassay_012371_07
TS23: facial ganglion Moderate Regionally restricted euxassay_012371_07

Specimen euxassay_012371_08: embryonic day 14.5 (more )
Structure Level Pattern Image Note
TS23: epidermis Moderate Regionally restricted euxassay_012371_08
TS23: stomach Strong Regionally restricted euxassay_012371_08
TS23: midgut Strong Regionally restricted euxassay_012371_08
TS23: left lung Moderate Regionally restricted euxassay_012371_08
TS23: pleura Moderate Regionally restricted euxassay_012371_08
TS23: renal cortex Moderate Regionally restricted euxassay_012371_08
TS23: pancreas Moderate Regionally restricted euxassay_012371_08
TS23: urogenital mesentery Weak Regionally restricted euxassay_012371_08
TS23: cochlea Moderate Regionally restricted euxassay_012371_08
TS23: utricle Moderate Regionally restricted euxassay_012371_08
TS23: oral epithelium Moderate Regionally restricted euxassay_012371_08
TS23: olfactory epithelium Moderate Regionally restricted euxassay_012371_08
TS23: submandibular gland primordium epithelium Moderate Regionally restricted euxassay_012371_08
TS23: diencephalon meninges Strong Regionally restricted euxassay_012371_08
TS23: diencephalon lateral wall mantle layer Strong Regionally restricted euxassay_012371_08
TS23: telencephalon meninges Strong Regionally restricted euxassay_012371_08
TS23: telencephalon mantle layer Strong Regionally restricted euxassay_012371_08
TS23: midbrain mantle layer Strong Regionally restricted euxassay_012371_08
TS23: midbrain meninges Strong Regionally restricted euxassay_012371_08
TS23: medulla oblongata alar plate mantle layer Strong Regionally restricted euxassay_012371_08
TS23: medulla oblongata basal plate mantle layer Strong Regionally restricted euxassay_012371_08
TS23: hindbrain meninges Strong Regionally restricted euxassay_012371_08
TS23: rest of cerebellum mantle layer Strong Regionally restricted euxassay_012371_08
TS23: pons mantle layer Strong Regionally restricted euxassay_012371_08
TS23: trigeminal ganglion Weak Regionally restricted euxassay_012371_08
TS23: glossopharyngeal ganglion Weak Regionally restricted euxassay_012371_08
TS23: vestibulo-cochlear ganglion Weak Regionally restricted euxassay_012371_08

Specimen euxassay_012371_09: embryonic day 14.5 (more )
Structure Level Pattern Image Note
TS23: epidermis Moderate Regionally restricted euxassay_012371_09
TS23: stomach Strong Regionally restricted euxassay_012371_09
TS23: midgut Strong Regionally restricted euxassay_012371_09
TS23: left lung Moderate Regionally restricted euxassay_012371_09
TS23: pleura Moderate Regionally restricted euxassay_012371_09
TS23: renal cortex Moderate Regionally restricted euxassay_012371_09
TS23: pancreas Moderate Regionally restricted euxassay_012371_09
TS23: urogenital mesentery Weak Regionally restricted euxassay_012371_09
TS23: cochlea Moderate Regionally restricted euxassay_012371_09
TS23: oral epithelium Moderate Regionally restricted euxassay_012371_09
TS23: lower jaw incisor Moderate Regionally restricted euxassay_012371_09
TS23: upper jaw incisor Moderate Regionally restricted euxassay_012371_09
TS23: anterior naris epithelium Moderate Regionally restricted euxassay_012371_09
TS23: external naris epithelium Moderate Regionally restricted euxassay_012371_09
TS23: olfactory epithelium Moderate Regionally restricted euxassay_012371_09
TS23: tongue epithelium Moderate Regionally restricted euxassay_012371_09
TS23: submandibular gland primordium epithelium Moderate Regionally restricted euxassay_012371_09
TS23: diencephalon lateral wall mantle layer Strong Regionally restricted euxassay_012371_09
TS23: diencephalon meninges Strong Regionally restricted euxassay_012371_09
TS23: telencephalon mantle layer Strong Regionally restricted euxassay_012371_09
TS23: telencephalon meninges Strong Regionally restricted euxassay_012371_09
TS23: midbrain mantle layer Strong Regionally restricted euxassay_012371_09
TS23: midbrain meninges Strong Regionally restricted euxassay_012371_09
TS23: medulla oblongata alar plate mantle layer Strong Regionally restricted euxassay_012371_09
TS23: medulla oblongata basal plate mantle layer Strong Regionally restricted euxassay_012371_09
TS23: hindbrain meninges Strong Regionally restricted euxassay_012371_09
TS23: rest of cerebellum mantle layer Strong Regionally restricted euxassay_012371_09
TS23: pons mantle layer Strong Regionally restricted euxassay_012371_09

Specimen euxassay_012371_10: embryonic day 14.5 (more )
Structure Level Pattern Image Note
TS23: epidermis Moderate Regionally restricted euxassay_012371_10
TS23: midgut Strong Regionally restricted euxassay_012371_10
TS23: left lung Moderate Regionally restricted euxassay_012371_10
TS23: pleura Moderate Regionally restricted euxassay_012371_10
TS23: pancreas Moderate Regionally restricted euxassay_012371_10
TS23: lower jaw incisor Moderate Regionally restricted euxassay_012371_10
TS23: upper jaw incisor Moderate Regionally restricted euxassay_012371_10
TS23: oral epithelium Moderate Regionally restricted euxassay_012371_10
TS23: anterior naris epithelium Moderate Regionally restricted euxassay_012371_10
TS23: posterior naris epithelium Moderate Regionally restricted euxassay_012371_10
TS23: olfactory epithelium Moderate Regionally restricted euxassay_012371_10
TS23: tongue epithelium Moderate Regionally restricted euxassay_012371_10
TS23: submandibular gland primordium epithelium Moderate Regionally restricted euxassay_012371_10
TS23: diencephalon lateral wall mantle layer Strong Regionally restricted euxassay_012371_10
TS23: diencephalon meninges Strong Regionally restricted euxassay_012371_10
TS23: telencephalon mantle layer Strong Regionally restricted euxassay_012371_10
TS23: telencephalon meninges Strong Regionally restricted euxassay_012371_10
TS23: midbrain mantle layer Strong Regionally restricted euxassay_012371_10
TS23: midbrain meninges Strong Regionally restricted euxassay_012371_10
TS23: medulla oblongata alar plate mantle layer Strong Regionally restricted euxassay_012371_10
TS23: medulla oblongata basal plate mantle layer Strong Regionally restricted euxassay_012371_10
TS23: hindbrain meninges Strong Regionally restricted euxassay_012371_10
TS23: rest of cerebellum mantle layer Strong Regionally restricted euxassay_012371_10
TS23: pons mantle layer Strong Regionally restricted euxassay_012371_10

Specimen euxassay_012371_11: embryonic day 14.5 (more )
Structure Level Pattern Image Note
TS23: epidermis Moderate Regionally restricted euxassay_012371_11
TS23: midgut Strong Regionally restricted euxassay_012371_11
TS23: rectum Strong Regionally restricted euxassay_012371_11
TS23: left lung Moderate Regionally restricted euxassay_012371_11
TS23: pleura Moderate Regionally restricted euxassay_012371_11
TS23: pancreas Moderate Regionally restricted euxassay_012371_11
TS23: bladder Moderate Regionally restricted euxassay_012371_11
TS23: oral epithelium Moderate Regionally restricted euxassay_012371_11
TS23: anterior naris epithelium Moderate Regionally restricted euxassay_012371_11
TS23: olfactory epithelium Moderate Regionally restricted euxassay_012371_11
TS23: tongue epithelium Moderate Regionally restricted euxassay_012371_11
TS23: diencephalon lateral wall mantle layer Strong Regionally restricted euxassay_012371_11
TS23: diencephalon meninges Strong Regionally restricted euxassay_012371_11
TS23: telencephalon mantle layer Strong Regionally restricted euxassay_012371_11
TS23: telencephalon meninges Strong Regionally restricted euxassay_012371_11
TS23: midbrain mantle layer Strong Regionally restricted euxassay_012371_11
TS23: midbrain meninges Strong Regionally restricted euxassay_012371_11
TS23: medulla oblongata alar plate mantle layer Strong Regionally restricted euxassay_012371_11
TS23: medulla oblongata basal plate mantle layer Strong Regionally restricted euxassay_012371_11
TS23: hindbrain meninges Strong Regionally restricted euxassay_012371_11
TS23: rest of cerebellum mantle layer Strong Regionally restricted euxassay_012371_11
TS23: pons mantle layer Strong Regionally restricted euxassay_012371_11

Specimen euxassay_012371_12: embryonic day 14.5 (more )
Structure Level Pattern Image Note
TS23: epidermis Moderate Regionally restricted euxassay_012371_12
TS23: midgut Strong Regionally restricted euxassay_012371_12
TS23: right lung Moderate Regionally restricted euxassay_012371_12
TS23: left lung Moderate Regionally restricted euxassay_012371_12
TS23: pleura Moderate Regionally restricted euxassay_012371_12
TS23: pancreas Moderate Regionally restricted euxassay_012371_12
TS23: bladder Moderate Regionally restricted euxassay_012371_12
TS23: oral epithelium Moderate Regionally restricted euxassay_012371_12
TS23: anterior naris epithelium Moderate Regionally restricted euxassay_012371_12
TS23: tongue epithelium Moderate Regionally restricted euxassay_012371_12
TS23: esophagus epithelium Moderate Regionally restricted euxassay_012371_12
TS23: pharynx epithelium Moderate Regionally restricted euxassay_012371_12
TS23: larynx Moderate Regionally restricted euxassay_012371_12
TS23: diencephalon lateral wall mantle layer Strong Regionally restricted euxassay_012371_12
TS23: diencephalon meninges Strong Regionally restricted euxassay_012371_12
TS23: telencephalon mantle layer Strong Regionally restricted euxassay_012371_12
TS23: telencephalon meninges Strong Regionally restricted euxassay_012371_12
TS23: midbrain mantle layer Strong Regionally restricted euxassay_012371_12
TS23: midbrain meninges Strong Regionally restricted euxassay_012371_12
TS23: medulla oblongata alar plate mantle layer Strong Regionally restricted euxassay_012371_12
TS23: medulla oblongata basal plate mantle layer Strong Regionally restricted euxassay_012371_12
TS23: hindbrain meninges Strong Regionally restricted euxassay_012371_12
TS23: rest of cerebellum mantle layer Strong Regionally restricted euxassay_012371_12
TS23: pons mantle layer Strong Regionally restricted euxassay_012371_12

Specimen euxassay_012371_13: embryonic day 14.5 (more )
Structure Level Pattern Image Note
TS23: epidermis Moderate Regionally restricted euxassay_012371_13
TS23: midgut Strong Regionally restricted euxassay_012371_13
TS23: right lung Moderate Regionally restricted euxassay_012371_13
TS23: pleura Moderate Regionally restricted euxassay_012371_13
TS23: pancreas Moderate Regionally restricted euxassay_012371_13
TS23: urogenital mesentery Weak Regionally restricted euxassay_012371_13
TS23: oral epithelium Moderate Regionally restricted euxassay_012371_13
TS23: lower jaw incisor Moderate Regionally restricted euxassay_012371_13
TS23: upper jaw incisor Moderate Regionally restricted euxassay_012371_13
TS23: anterior naris epithelium Moderate Regionally restricted euxassay_012371_13
TS23: olfactory epithelium Moderate Regionally restricted euxassay_012371_13
TS23: tongue epithelium Moderate Regionally restricted euxassay_012371_13
TS23: pharynx epithelium Moderate Regionally restricted euxassay_012371_13
TS23: esophagus epithelium Moderate Regionally restricted euxassay_012371_13
TS23: larynx Moderate Regionally restricted euxassay_012371_13
TS23: trachea Moderate Regionally restricted euxassay_012371_13
TS23: diencephalon lateral wall mantle layer Strong Regionally restricted euxassay_012371_13
TS23: diencephalon meninges Strong Regionally restricted euxassay_012371_13
TS23: telencephalon mantle layer Strong Regionally restricted euxassay_012371_13
TS23: telencephalon meninges Strong Regionally restricted euxassay_012371_13
TS23: midbrain mantle layer Strong Regionally restricted euxassay_012371_13
TS23: midbrain meninges Strong Regionally restricted euxassay_012371_13
TS23: medulla oblongata alar plate mantle layer Strong Regionally restricted euxassay_012371_13
TS23: medulla oblongata basal plate mantle layer Strong Regionally restricted euxassay_012371_13
TS23: hindbrain meninges Strong Regionally restricted euxassay_012371_13
TS23: rest of cerebellum mantle layer Strong Regionally restricted euxassay_012371_13
TS23: pons mantle layer Strong Regionally restricted euxassay_012371_13

Specimen euxassay_012371_14: embryonic day 14.5 (more )
Structure Level Pattern Image Note
TS23: epidermis Moderate Regionally restricted euxassay_012371_14
TS23: midgut Strong Regionally restricted euxassay_012371_14
TS23: right lung Moderate Regionally restricted euxassay_012371_14
TS23: pleura Moderate Regionally restricted euxassay_012371_14
TS23: renal cortex Moderate Regionally restricted euxassay_012371_14
TS23: pancreas Moderate Regionally restricted euxassay_012371_14
TS23: urogenital mesentery Weak Regionally restricted euxassay_012371_14
TS23: lower jaw incisor Moderate Regionally restricted euxassay_012371_14
TS23: upper jaw incisor Moderate Regionally restricted euxassay_012371_14
TS23: oral epithelium Moderate Regionally restricted euxassay_012371_14
TS23: olfactory epithelium Moderate Regionally restricted euxassay_012371_14
TS23: external naris epithelium Moderate Regionally restricted euxassay_012371_14
TS23: anterior naris epithelium Moderate Regionally restricted euxassay_012371_14
TS23: posterior naris epithelium Moderate Regionally restricted euxassay_012371_14
TS23: tongue epithelium Moderate Regionally restricted euxassay_012371_14
TS23: pharynx epithelium Moderate Regionally restricted euxassay_012371_14
TS23: diencephalon lateral wall mantle layer Strong Regionally restricted euxassay_012371_14
TS23: diencephalon meninges Strong Regionally restricted euxassay_012371_14
TS23: telencephalon mantle layer Strong Regionally restricted euxassay_012371_14
TS23: telencephalon meninges Strong Regionally restricted euxassay_012371_14
TS23: midbrain mantle layer Strong Regionally restricted euxassay_012371_14
TS23: midbrain meninges Strong Regionally restricted euxassay_012371_14
TS23: medulla oblongata alar plate mantle layer Strong Regionally restricted euxassay_012371_14
TS23: medulla oblongata basal plate mantle layer Strong Regionally restricted euxassay_012371_14
TS23: hindbrain meninges Strong Regionally restricted euxassay_012371_14
TS23: rest of cerebellum mantle layer Strong Regionally restricted euxassay_012371_14
TS23: pons mantle layer Strong Regionally restricted euxassay_012371_14

Specimen euxassay_012371_15: embryonic day 14.5 (more )
Structure Level Pattern Image Note
TS23: epidermis Moderate Regionally restricted euxassay_012371_15
TS23: midgut Strong Regionally restricted euxassay_012371_15
TS23: right lung Moderate Regionally restricted euxassay_012371_15
TS23: pleura Moderate Regionally restricted euxassay_012371_15
TS23: renal cortex Moderate Regionally restricted euxassay_012371_15
TS23: pancreas Moderate Regionally restricted euxassay_012371_15
TS23: urogenital mesentery Weak Regionally restricted euxassay_012371_15
TS23: lower jaw incisor Moderate Regionally restricted euxassay_012371_15
TS23: oral epithelium Moderate Regionally restricted euxassay_012371_15
TS23: olfactory epithelium Moderate Regionally restricted euxassay_012371_15
TS23: tongue epithelium Moderate Regionally restricted euxassay_012371_15
TS23: submandibular gland primordium epithelium Moderate Regionally restricted euxassay_012371_15
TS23: diencephalon lateral wall mantle layer Strong Regionally restricted euxassay_012371_15
TS23: diencephalon meninges Strong Regionally restricted euxassay_012371_15
TS23: telencephalon mantle layer Strong Regionally restricted euxassay_012371_15
TS23: telencephalon meninges Strong Regionally restricted euxassay_012371_15
TS23: midbrain mantle layer Strong Regionally restricted euxassay_012371_15
TS23: midbrain meninges Strong Regionally restricted euxassay_012371_15
TS23: medulla oblongata alar plate mantle layer Strong Regionally restricted euxassay_012371_15
TS23: medulla oblongata basal plate mantle layer Strong Regionally restricted euxassay_012371_15
TS23: hindbrain meninges Strong Regionally restricted euxassay_012371_15
TS23: rest of cerebellum mantle layer Strong Regionally restricted euxassay_012371_15
TS23: pons mantle layer Strong Regionally restricted euxassay_012371_15

Specimen euxassay_012371_16: embryonic day 14.5 (more )
Structure Level Pattern Image Note
TS23: epidermis Moderate Regionally restricted euxassay_012371_16
TS23: midgut Strong Regionally restricted euxassay_012371_16
TS23: right lung Moderate Regionally restricted euxassay_012371_16
TS23: pleura Moderate Regionally restricted euxassay_012371_16
TS23: renal cortex Moderate Regionally restricted euxassay_012371_16
TS23: urogenital mesentery Weak Regionally restricted euxassay_012371_16
TS23: cochlea Moderate Regionally restricted euxassay_012371_16
TS23: oral epithelium Moderate Regionally restricted euxassay_012371_16
TS23: olfactory epithelium Moderate Regionally restricted euxassay_012371_16
TS23: submandibular gland primordium epithelium Moderate Regionally restricted euxassay_012371_16
TS23: diencephalon lateral wall mantle layer Strong Regionally restricted euxassay_012371_16
TS23: diencephalon meninges Strong Regionally restricted euxassay_012371_16
TS23: telencephalon mantle layer Strong Regionally restricted euxassay_012371_16
TS23: telencephalon meninges Strong Regionally restricted euxassay_012371_16
TS23: midbrain mantle layer Strong Regionally restricted euxassay_012371_16
TS23: midbrain meninges Strong Regionally restricted euxassay_012371_16
TS23: medulla oblongata alar plate mantle layer Strong Regionally restricted euxassay_012371_16
TS23: medulla oblongata basal plate mantle layer Strong Regionally restricted euxassay_012371_16
TS23: hindbrain meninges Strong Regionally restricted euxassay_012371_16
TS23: rest of cerebellum mantle layer Strong Regionally restricted euxassay_012371_16
TS23: pons mantle layer Strong Regionally restricted euxassay_012371_16

Specimen euxassay_012371_17: embryonic day 14.5 (more )
Structure Level Pattern Image Note
TS23: epidermis Moderate Regionally restricted euxassay_012371_17
TS23: right lung Moderate Regionally restricted euxassay_012371_17
TS23: pleura Moderate Regionally restricted euxassay_012371_17
TS23: renal cortex Moderate Regionally restricted euxassay_012371_17
TS23: seminiferous cord Weak Regionally restricted euxassay_012371_17
TS23: urogenital mesentery Weak Regionally restricted euxassay_012371_17
TS23: cochlea Moderate Regionally restricted euxassay_012371_17
TS23: oral epithelium Moderate Regionally restricted euxassay_012371_17
TS23: olfactory epithelium Moderate Regionally restricted euxassay_012371_17
TS23: submandibular gland primordium epithelium Moderate Regionally restricted euxassay_012371_17
TS23: diencephalon lateral wall mantle layer Strong Regionally restricted euxassay_012371_17
TS23: diencephalon meninges Strong Regionally restricted euxassay_012371_17
TS23: telencephalon mantle layer Strong Regionally restricted euxassay_012371_17
TS23: telencephalon meninges Strong Regionally restricted euxassay_012371_17
TS23: midbrain mantle layer Strong Regionally restricted euxassay_012371_17
TS23: midbrain meninges Strong Regionally restricted euxassay_012371_17
TS23: medulla oblongata alar plate mantle layer Strong Regionally restricted euxassay_012371_17
TS23: medulla oblongata basal plate mantle layer Strong Regionally restricted euxassay_012371_17
TS23: hindbrain meninges Strong Regionally restricted euxassay_012371_17
TS23: rest of cerebellum mantle layer Strong Regionally restricted euxassay_012371_17
TS23: pons mantle layer Strong Regionally restricted euxassay_012371_17
TS23: trigeminal ganglion Weak Regionally restricted euxassay_012371_17
TS23: vagus ganglion Weak Regionally restricted euxassay_012371_17

Specimen euxassay_012371_18: embryonic day 14.5 (more )
Structure Level Pattern Image Note
TS23: epidermis Moderate Regionally restricted euxassay_012371_18
TS23: vibrissa Strong Regionally restricted euxassay_012371_18
TS23: right lung Moderate Regionally restricted euxassay_012371_18
TS23: pleura Moderate Regionally restricted euxassay_012371_18
TS23: seminiferous cord Weak Regionally restricted euxassay_012371_18
TS23: urogenital mesentery Weak Regionally restricted euxassay_012371_18
TS23: cochlea Moderate Regionally restricted euxassay_012371_18
TS23: utricle Moderate Regionally restricted euxassay_012371_18
TS23: oral epithelium Moderate Regionally restricted euxassay_012371_18
TS23: lower jaw molar Moderate Regionally restricted euxassay_012371_18
TS23: upper jaw molar Moderate Regionally restricted euxassay_012371_18
TS23: diencephalon lateral wall mantle layer Strong Regionally restricted euxassay_012371_18
TS23: diencephalon meninges Strong Regionally restricted euxassay_012371_18
TS23: telencephalon mantle layer Strong Regionally restricted euxassay_012371_18
TS23: telencephalon meninges Strong Regionally restricted euxassay_012371_18
TS23: midbrain mantle layer Strong Regionally restricted euxassay_012371_18
TS23: midbrain meninges Strong Regionally restricted euxassay_012371_18
TS23: medulla oblongata basal plate mantle layer Strong Regionally restricted euxassay_012371_18
TS23: medulla oblongata alar plate mantle layer Strong Regionally restricted euxassay_012371_18
TS23: hindbrain meninges Strong Regionally restricted euxassay_012371_18
TS23: rest of cerebellum mantle layer Strong Regionally restricted euxassay_012371_18
TS23: pons mantle layer Strong Regionally restricted euxassay_012371_18
TS23: trigeminal ganglion Weak Regionally restricted euxassay_012371_18
TS23: vestibulo-cochlear ganglion Weak Regionally restricted euxassay_012371_18

Specimen euxassay_012371_19: embryonic day 14.5 (more )
Structure Level Pattern Image Note
TS23: epidermis Moderate Regionally restricted euxassay_012371_19
TS23: vibrissa Moderate Regionally restricted euxassay_012371_19
TS23: right lung Moderate Regionally restricted euxassay_012371_19
TS23: pleura Moderate Regionally restricted euxassay_012371_19
TS23: metanephros Weak Regionally restricted euxassay_012371_19
TS23: utricle Moderate Regionally restricted euxassay_012371_19
TS23: oral epithelium Moderate Regionally restricted euxassay_012371_19
TS23: diencephalon lateral wall mantle layer Strong Regionally restricted euxassay_012371_19
TS23: diencephalon meninges Strong Regionally restricted euxassay_012371_19
TS23: telencephalon mantle layer Strong Regionally restricted euxassay_012371_19
TS23: telencephalon meninges Strong Regionally restricted euxassay_012371_19
TS23: midbrain mantle layer Strong Regionally restricted euxassay_012371_19
TS23: midbrain meninges Strong Regionally restricted euxassay_012371_19
TS23: hindbrain meninges Strong Regionally restricted euxassay_012371_19
TS23: rest of cerebellum mantle layer Strong Regionally restricted euxassay_012371_19
TS23: pons mantle layer Strong Regionally restricted euxassay_012371_19
TS23: trigeminal ganglion Weak Regionally restricted euxassay_012371_19
TS23: facial ganglion Weak Regionally restricted euxassay_012371_19
TS23: vestibulo-cochlear ganglion Weak Regionally restricted euxassay_012371_19

Specimen euxassay_012371_20: embryonic day 14.5 (more )
Structure Level Pattern Image Note
TS23: epidermis Moderate Regionally restricted euxassay_012371_20
TS23: vibrissa Moderate Regionally restricted euxassay_012371_20
TS23: right lung Moderate Regionally restricted euxassay_012371_20
TS23: pleura Moderate Regionally restricted euxassay_012371_20
TS23: utricle Moderate Regionally restricted euxassay_012371_20
TS23: pharyngo-tympanic tube Moderate Regionally restricted euxassay_012371_20
TS23: telencephalon mantle layer Strong Regionally restricted euxassay_012371_20
TS23: telencephalon meninges Strong Regionally restricted euxassay_012371_20
TS23: midbrain meninges Strong Regionally restricted euxassay_012371_20
TS23: hindbrain meninges Strong Regionally restricted euxassay_012371_20
TS23: pons mantle layer Strong Regionally restricted euxassay_012371_20
TS23: rest of cerebellum mantle layer Strong Regionally restricted euxassay_012371_20
TS23: trigeminal ganglion Weak Regionally restricted euxassay_012371_20

Specimen euxassay_012371_21: embryonic day 14.5 (more )
Structure Level Pattern Image Note
TS23: epidermis Moderate Regionally restricted euxassay_012371_21
TS23: pleura Moderate Regionally restricted euxassay_012371_21
TS23: pharyngo-tympanic tube Moderate Regionally restricted euxassay_012371_21
TS23: utricle Moderate Regionally restricted euxassay_012371_21
TS23: neural retina Strong Regionally restricted euxassay_012371_21
TS23: midbrain meninges Strong Regionally restricted euxassay_012371_21
TS23: telencephalon mantle layer Strong Regionally restricted euxassay_012371_21
TS23: telencephalon meninges Strong Regionally restricted euxassay_012371_21
TS23: pons mantle layer Strong Regionally restricted euxassay_012371_21
TS23: rest of cerebellum mantle layer Strong Regionally restricted euxassay_012371_21
TS23: hindbrain meninges Strong Regionally restricted euxassay_012371_21
TS23: trigeminal ganglion Weak Regionally restricted euxassay_012371_21

Specimen euxassay_012371_22: embryonic day 14.5 (more )
Structure Level Pattern Image Note
TS23: epidermis Moderate Regionally restricted euxassay_012371_22
TS23: utricle Moderate Regionally restricted euxassay_012371_22
TS23: pharyngo-tympanic tube Moderate Regionally restricted euxassay_012371_22
TS23: endolymphatic duct Moderate Regionally restricted euxassay_012371_22
TS23: neural retina Strong Regionally restricted euxassay_012371_22
TS23: telencephalon mantle layer Strong Regionally restricted euxassay_012371_22
TS23: telencephalon meninges Strong Regionally restricted euxassay_012371_22


Contributing Projects:
Mouse Genome Database (MGD), Gene Expression Database (GXD), Mouse Models of Human Cancer database (MMHCdb) (formerly Mouse Tumor Biology (MTB)), Gene Ontology (GO)
Citing These Resources
Funding Information
Warranty Disclaimer, Privacy Notice, Licensing, & Copyright
Send questions and comments to User Support.
last database update
12/30/2025
MGI 6.24
The Jackson Laboratory