About   Help   FAQ
Gene Expression Data
Assay Details
Assay
Reference: J:153498 Diez-Roux G, et al., A high-resolution anatomical atlas of the transcriptome in the mouse embryo. PLoS Biol. 2011;9(1):e1000582
Assay type: RNA in situ
MGI Accession ID: MGI:4824106
Gene symbol: Ctnna1
Gene name: catenin alpha 1
Probe: MGC clone 61278
Probe preparation: Antisense labelled with digoxigenin RNA
Visualized with: Alkaline phosphatase
Assay notes: Cryosections of fresh frozen material were fixed in 4% paraformaldehyde for 20 min. before further processing. A tyramide-biotin/streptavidin amplification step was included in the in situ hybridization procedure. Additional information for this specimen was included in the Eurexpress data submission file.
Results
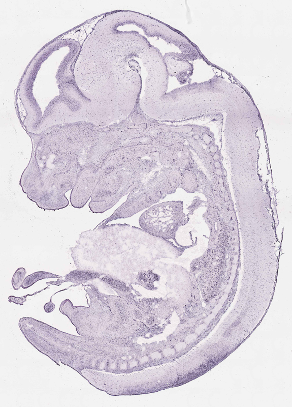
Specimen euxassay_005276_15: embryonic day 14.5 (more )
Structure Level Pattern Image Note
TS23: embryo Present Ubiquitous euxassay_005276_15
TS23: central nervous system Present Single cells euxassay_005276_15 Single cells were labeled in the mantle layer of the central nervous system.


Contributing Projects:
Mouse Genome Database (MGD), Gene Expression Database (GXD), Mouse Models of Human Cancer database (MMHCdb) (formerly Mouse Tumor Biology (MTB)), Gene Ontology (GO)
Citing These Resources
Funding Information
Warranty Disclaimer, Privacy Notice, Licensing, & Copyright
Send questions and comments to User Support.
last database update
03/24/2026
MGI 6.24
The Jackson Laboratory