About   Help   FAQ
Gene Expression Data
Assay Details
Assay
Reference: J:153498 Diez-Roux G, et al., A high-resolution anatomical atlas of the transcriptome in the mouse embryo. PLoS Biol. 2011;9(1):e1000582
Assay type: RNA in situ
MGI Accession ID: MGI:4824082
Gene symbol: Csn1s2a
Gene name: casein alpha s2-like A
Probe: T36207
Probe preparation: Antisense labelled with digoxigenin RNA
Visualized with: Alkaline phosphatase
Assay notes: Cryosections of fresh frozen material were fixed in 4% paraformaldehyde for 20 min. before further processing. A tyramide-biotin/streptavidin amplification step was included in the in situ hybridization procedure.
Results
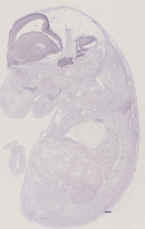
Specimen euxassay_011051_01: embryonic day 14.5 (more )
Structure Level Pattern Image Note
TS23: neural retina Moderate Regionally restricted euxassay_011051_01
TS23: forebrain Moderate Uniform euxassay_011051_01
TS23: hindbrain Moderate Uniform euxassay_011051_01

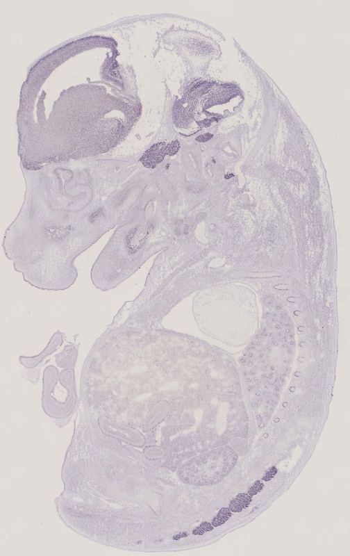
Specimen euxassay_011051_02: embryonic day 14.5 (more )
Structure Level Pattern Image Note
TS23: neural retina Moderate Regionally restricted euxassay_011051_02
TS23: hindbrain Moderate Uniform euxassay_011051_02
TS23: forebrain Moderate Uniform euxassay_011051_02
TS23: rib Weak Regionally restricted euxassay_011051_02

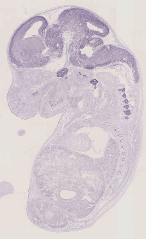
Specimen euxassay_011051_03: embryonic day 14.5 (more )
Structure Level Pattern Image Note
TS23: neural retina Moderate Regionally restricted euxassay_011051_03
TS23: trigeminal ganglion Strong Regionally restricted euxassay_011051_03
TS23: facial ganglion Strong Regionally restricted euxassay_011051_03
TS23: hindbrain Moderate Uniform euxassay_011051_03
TS23: forebrain Moderate Uniform euxassay_011051_03
TS23: rib Weak Regionally restricted euxassay_011051_03

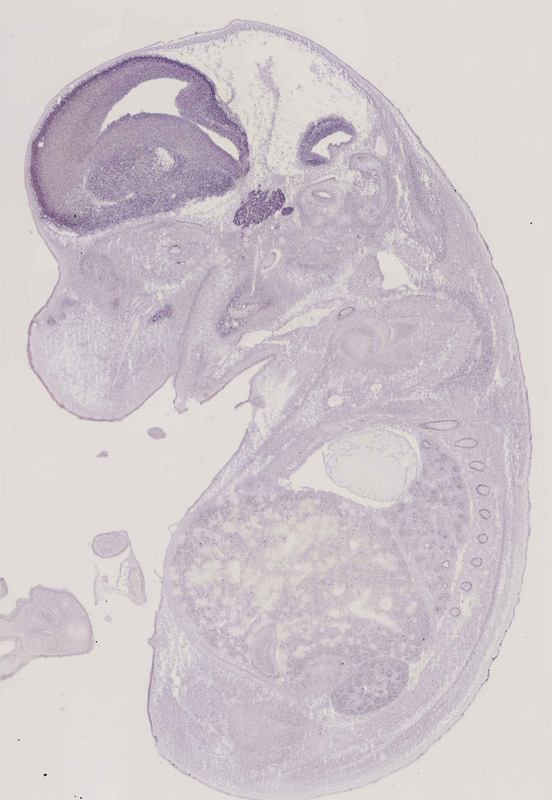
Specimen euxassay_011051_04: embryonic day 14.5 (more )
Structure Level Pattern Image Note
TS23: neural retina Moderate Regionally restricted euxassay_011051_04
TS23: trigeminal ganglion Strong Regionally restricted euxassay_011051_04
TS23: facial ganglion Strong Regionally restricted euxassay_011051_04
TS23: midbrain Moderate Uniform euxassay_011051_04
TS23: hindbrain Moderate Uniform euxassay_011051_04
TS23: forebrain Moderate Uniform euxassay_011051_04
TS23: rib Weak Regionally restricted euxassay_011051_04

Specimen euxassay_011051_05: embryonic day 14.5 (more )
Structure Level Pattern Image Note
TS23: glossopharyngeal ganglion Strong Regionally restricted euxassay_011051_05
TS23: facial ganglion Strong Regionally restricted euxassay_011051_05
TS23: trigeminal ganglion Strong Regionally restricted euxassay_011051_05
TS23: vestibulo-cochlear ganglion Strong Regionally restricted euxassay_011051_05
TS23: midbrain Moderate Uniform euxassay_011051_05
TS23: hindbrain Moderate Uniform euxassay_011051_05
TS23: forebrain Moderate Uniform euxassay_011051_05
TS23: mandible Weak Regionally restricted euxassay_011051_05
TS23: rib Weak Regionally restricted euxassay_011051_05

Specimen euxassay_011051_06: embryonic day 14.5 (more )
Structure Level Pattern Image Note
TS23: vestibulo-cochlear ganglion Strong Regionally restricted euxassay_011051_06
TS23: trigeminal ganglion Strong Regionally restricted euxassay_011051_06
TS23: glossopharyngeal ganglion Strong Regionally restricted euxassay_011051_06
TS23: dorsal root ganglion Strong Regionally restricted euxassay_011051_06
TS23: midbrain Moderate Uniform euxassay_011051_06
TS23: hindbrain Moderate Uniform euxassay_011051_06
TS23: forebrain Moderate Uniform euxassay_011051_06
TS23: mandible Weak Regionally restricted euxassay_011051_06
TS23: maxilla Weak Regionally restricted euxassay_011051_06
TS23: rib Weak Regionally restricted euxassay_011051_06

Specimen euxassay_011051_07: embryonic day 14.5 (more )
Structure Level Pattern Image Note
TS23: trigeminal ganglion Strong Regionally restricted euxassay_011051_07
TS23: vestibulo-cochlear ganglion Strong Regionally restricted euxassay_011051_07
TS23: glossopharyngeal ganglion Strong Regionally restricted euxassay_011051_07
TS23: dorsal root ganglion Strong Regionally restricted euxassay_011051_07
TS23: midbrain Moderate Uniform euxassay_011051_07
TS23: hindbrain Moderate Uniform euxassay_011051_07
TS23: forebrain Moderate Uniform euxassay_011051_07
TS23: spinal cord Moderate Uniform euxassay_011051_07
TS23: maxilla Weak Regionally restricted euxassay_011051_07
TS23: mandible Weak Regionally restricted euxassay_011051_07
TS23: rib Weak Regionally restricted euxassay_011051_07

Specimen euxassay_011051_08: embryonic day 14.5 (more )
Structure Level Pattern Image Note
TS23: vagus ganglion Moderate Regionally restricted euxassay_011051_08
TS23: trigeminal ganglion Strong Regionally restricted euxassay_011051_08
TS23: dorsal root ganglion Strong Regionally restricted euxassay_011051_08
TS23: midbrain Weak Uniform euxassay_011051_08
TS23: hindbrain Weak Uniform euxassay_011051_08
TS23: forebrain Weak Uniform euxassay_011051_08
TS23: spinal cord Weak Uniform euxassay_011051_08
TS23: maxilla Weak Regionally restricted euxassay_011051_08
TS23: mandible Weak Regionally restricted euxassay_011051_08
TS23: rib Weak Regionally restricted euxassay_011051_08
TS23: clavicle Weak Regionally restricted euxassay_011051_08

Specimen euxassay_011051_09: embryonic day 14.5 (more )
Structure Level Pattern Image Note
TS23: trigeminal nerve Strong Regionally restricted euxassay_011051_09
TS23: trigeminal ganglion Strong Regionally restricted euxassay_011051_09
TS23: vagus ganglion Moderate Regionally restricted euxassay_011051_09
TS23: dorsal root ganglion Strong Regionally restricted euxassay_011051_09
TS23: spinal cord Moderate Uniform euxassay_011051_09
TS23: midbrain Moderate Uniform euxassay_011051_09
TS23: hindbrain Moderate Uniform euxassay_011051_09
TS23: forebrain Moderate Uniform euxassay_011051_09
TS23: cervico-thoracic ganglion Weak Regionally restricted euxassay_011051_09
TS23: cervical ganglion Weak Regionally restricted euxassay_011051_09
TS23: maxilla Weak Regionally restricted euxassay_011051_09
TS23: mandible Weak Regionally restricted euxassay_011051_09
TS23: rib Weak Regionally restricted euxassay_011051_09
TS23: olfactory epithelium Weak Regionally restricted euxassay_011051_09
TS23: clavicle Moderate Regionally restricted euxassay_011051_09

Specimen euxassay_011051_10: embryonic day 14.5 (more )
Structure Level Pattern Image Note
TS23: trigeminal nerve Strong Regionally restricted euxassay_011051_10
TS23: dorsal root ganglion Strong Regionally restricted euxassay_011051_10
TS23: spinal cord Moderate Uniform euxassay_011051_10
TS23: midbrain Moderate Uniform euxassay_011051_10
TS23: hindbrain Moderate Uniform euxassay_011051_10
TS23: forebrain Moderate Uniform euxassay_011051_10
TS23: cervico-thoracic ganglion Weak Regionally restricted euxassay_011051_10
TS23: maxilla Weak Regionally restricted euxassay_011051_10
TS23: mandible Weak Regionally restricted euxassay_011051_10
TS23: olfactory epithelium Weak Regionally restricted euxassay_011051_10

Specimen euxassay_011051_11: embryonic day 14.5 (more )
Structure Level Pattern Image Note
TS23: dorsal root ganglion Strong Regionally restricted euxassay_011051_11
TS23: spinal cord Moderate Uniform euxassay_011051_11
TS23: midbrain Moderate Uniform euxassay_011051_11
TS23: hindbrain Moderate Uniform euxassay_011051_11
TS23: forebrain Moderate Uniform euxassay_011051_11
TS23: maxilla Weak Regionally restricted euxassay_011051_11
TS23: mandible Weak Regionally restricted euxassay_011051_11
TS23: olfactory epithelium Weak Regionally restricted euxassay_011051_11

Specimen euxassay_011051_12: embryonic day 14.5 (more )
Structure Level Pattern Image Note
TS23: dorsal root ganglion Strong Regionally restricted euxassay_011051_12
TS23: spinal cord Moderate Uniform euxassay_011051_12
TS23: midbrain Moderate Uniform euxassay_011051_12
TS23: hindbrain Moderate Uniform euxassay_011051_12
TS23: forebrain Moderate Uniform euxassay_011051_12
TS23: olfactory epithelium Weak Regionally restricted euxassay_011051_12

Specimen euxassay_011051_13: embryonic day 14.5 (more )
Structure Level Pattern Image Note
TS23: dorsal root ganglion Strong Regionally restricted euxassay_011051_13
TS23: spinal cord Moderate Uniform euxassay_011051_13
TS23: midbrain Moderate Uniform euxassay_011051_13
TS23: hindbrain Moderate Uniform euxassay_011051_13
TS23: forebrain Moderate Uniform euxassay_011051_13
TS23: olfactory epithelium Weak Regionally restricted euxassay_011051_13
TS23: vomeronasal organ Weak Regionally restricted euxassay_011051_13

Specimen euxassay_011051_14: embryonic day 14.5 (more )
Structure Level Pattern Image Note
TS23: spinal cord Moderate Uniform euxassay_011051_14
TS23: midbrain Moderate Uniform euxassay_011051_14
TS23: hindbrain Moderate Uniform euxassay_011051_14
TS23: forebrain Moderate Uniform euxassay_011051_14
TS23: thoracic ganglion Weak Regionally restricted euxassay_011051_14

Specimen euxassay_011051_15: embryonic day 14.5 (more )
Structure Level Pattern Image Note
TS23: dorsal root ganglion Strong Regionally restricted euxassay_011051_15
TS23: spinal cord Moderate Uniform euxassay_011051_15
TS23: midbrain Moderate Uniform euxassay_011051_15
TS23: hindbrain Moderate Uniform euxassay_011051_15
TS23: forebrain Moderate Uniform euxassay_011051_15
TS23: thoracic ganglion Weak Regionally restricted euxassay_011051_15
TS23: cervico-thoracic ganglion Weak Regionally restricted euxassay_011051_15
TS23: olfactory epithelium Weak Regionally restricted euxassay_011051_15

Specimen euxassay_011051_16: embryonic day 14.5 (more )
Structure Level Pattern Image Note
TS23: dorsal root ganglion Strong Regionally restricted euxassay_011051_16
TS23: spinal cord Moderate Uniform euxassay_011051_16
TS23: midbrain Moderate Uniform euxassay_011051_16
TS23: hindbrain Moderate Uniform euxassay_011051_16
TS23: forebrain Moderate Uniform euxassay_011051_16
TS23: cervical ganglion Weak Regionally restricted euxassay_011051_16
TS23: cervico-thoracic ganglion Weak Regionally restricted euxassay_011051_16
TS23: maxilla Weak Regionally restricted euxassay_011051_16
TS23: mandible Weak Regionally restricted euxassay_011051_16
TS23: olfactory epithelium Weak Regionally restricted euxassay_011051_16
TS23: vomeronasal organ Weak Regionally restricted euxassay_011051_16
TS23: clavicle Weak Regionally restricted euxassay_011051_16

Specimen euxassay_011051_17: embryonic day 14.5 (more )
Structure Level Pattern Image Note
TS23: trigeminal nerve Strong Regionally restricted euxassay_011051_17
TS23: glossopharyngeal ganglion Strong Regionally restricted euxassay_011051_17
TS23: trigeminal ganglion Strong Regionally restricted euxassay_011051_17
TS23: vestibulo-cochlear ganglion Strong Regionally restricted euxassay_011051_17
TS23: vagus ganglion Strong Regionally restricted euxassay_011051_17
TS23: dorsal root ganglion Strong Regionally restricted euxassay_011051_17
TS23: spinal cord Moderate Uniform euxassay_011051_17
TS23: hindbrain Moderate Uniform euxassay_011051_17
TS23: midbrain Moderate Uniform euxassay_011051_17
TS23: forebrain Moderate Uniform euxassay_011051_17
TS23: mandible Weak Regionally restricted euxassay_011051_17
TS23: olfactory epithelium Weak Regionally restricted euxassay_011051_17
TS23: clavicle Moderate Regionally restricted euxassay_011051_17

Specimen euxassay_011051_18: embryonic day 14.5 (more )
Structure Level Pattern Image Note
TS23: trigeminal ganglion Strong Regionally restricted euxassay_011051_18
TS23: glossopharyngeal ganglion Strong Regionally restricted euxassay_011051_18
TS23: vestibulo-cochlear ganglion Strong Regionally restricted euxassay_011051_18
TS23: trigeminal nerve Strong Regionally restricted euxassay_011051_18
TS23: dorsal root ganglion Strong Regionally restricted euxassay_011051_18
TS23: spinal cord Moderate Uniform euxassay_011051_18
TS23: midbrain Moderate Uniform euxassay_011051_18
TS23: hindbrain Moderate Uniform euxassay_011051_18
TS23: forebrain Moderate Uniform euxassay_011051_18
TS23: mandible Weak Regionally restricted euxassay_011051_18
TS23: rib Weak Regionally restricted euxassay_011051_18
TS23: olfactory epithelium Weak Regionally restricted euxassay_011051_18

Specimen euxassay_011051_19: embryonic day 14.5 (more )
Structure Level Pattern Image Note
TS23: trigeminal ganglion Strong Regionally restricted euxassay_011051_19
TS23: facial ganglion Strong Regionally restricted euxassay_011051_19
TS23: dorsal root ganglion Strong Regionally restricted euxassay_011051_19
TS23: midbrain Moderate Uniform euxassay_011051_19
TS23: hindbrain Moderate Uniform euxassay_011051_19
TS23: forebrain Moderate Uniform euxassay_011051_19
TS23: mandible Weak Regionally restricted euxassay_011051_19
TS23: maxilla Weak Regionally restricted euxassay_011051_19
TS23: rib Weak Regionally restricted euxassay_011051_19
TS23: olfactory epithelium Weak Regionally restricted euxassay_011051_19

Specimen euxassay_011051_20: embryonic day 14.5 (more )
Structure Level Pattern Image Note
TS23: trigeminal ganglion Strong Regionally restricted euxassay_011051_20
TS23: facial ganglion Strong Regionally restricted euxassay_011051_20
TS23: hindbrain Moderate Uniform euxassay_011051_20
TS23: forebrain Moderate Uniform euxassay_011051_20
TS23: maxilla Weak Regionally restricted euxassay_011051_20
TS23: mandible Weak Regionally restricted euxassay_011051_20
TS23: rib Weak Regionally restricted euxassay_011051_20
TS23: olfactory epithelium Weak Regionally restricted euxassay_011051_20

Specimen euxassay_011051_21: embryonic day 14.5 (more )
Structure Level Pattern Image Note
TS23: trigeminal ganglion Strong Regionally restricted euxassay_011051_21
TS23: facial ganglion Strong Regionally restricted euxassay_011051_21
TS23: hindbrain Moderate Uniform euxassay_011051_21
TS23: forebrain Moderate Uniform euxassay_011051_21
TS23: maxilla Weak Regionally restricted euxassay_011051_21
TS23: mandible Weak Regionally restricted euxassay_011051_21
TS23: rib Weak Regionally restricted euxassay_011051_21

Specimen euxassay_011051_22: embryonic day 14.5 (more )
Structure Level Pattern Image Note
TS23: trigeminal ganglion Strong Regionally restricted euxassay_011051_22
TS23: forebrain Moderate Uniform euxassay_011051_22
TS23: maxilla Weak Regionally restricted euxassay_011051_22
TS23: mandible Weak Regionally restricted euxassay_011051_22
TS23: rib Weak Regionally restricted euxassay_011051_22

Specimen euxassay_011051_23: embryonic day 14.5 (more )
Structure Level Pattern Image Note
TS23: neural retina Moderate Regionally restricted euxassay_011051_23
TS23: forebrain Moderate Uniform euxassay_011051_23
TS23: mandible Weak Regionally restricted euxassay_011051_23
TS23: maxilla Weak Regionally restricted euxassay_011051_23
TS23: rib Weak Regionally restricted euxassay_011051_23

Specimen euxassay_011051_24: embryonic day 14.5 (more )
Structure Level Pattern Image Note
TS23: neural retina Moderate Regionally restricted euxassay_011051_24
TS23: forebrain Moderate Uniform euxassay_011051_24
TS23: rib Weak Regionally restricted euxassay_011051_24


Contributing Projects:
Mouse Genome Database (MGD), Gene Expression Database (GXD), Mouse Models of Human Cancer database (MMHCdb) (formerly Mouse Tumor Biology (MTB)), Gene Ontology (GO)
Citing These Resources
Funding Information
Warranty Disclaimer, Privacy Notice, Licensing, & Copyright
Send questions and comments to User Support.
last database update
01/06/2026
MGI 6.24
The Jackson Laboratory