About   Help   FAQ
Gene Expression Data
Assay Details
Assay
Reference: J:153498 Diez-Roux G, et al., A high-resolution anatomical atlas of the transcriptome in the mouse embryo. PLoS Biol. 2011;9(1):e1000582
Assay type: RNA in situ
MGI Accession ID: MGI:4824081
Gene symbol: Csmd3
Gene name: CUB and Sushi multiple domains 3
Probe: T39579
Probe preparation: Antisense labelled with digoxigenin RNA
Visualized with: Alkaline phosphatase
Assay notes: Cryosections of fresh frozen material were fixed in 4% paraformaldehyde for 20 min. before further processing. A tyramide-biotin/streptavidin amplification step was included in the in situ hybridization procedure.
Results
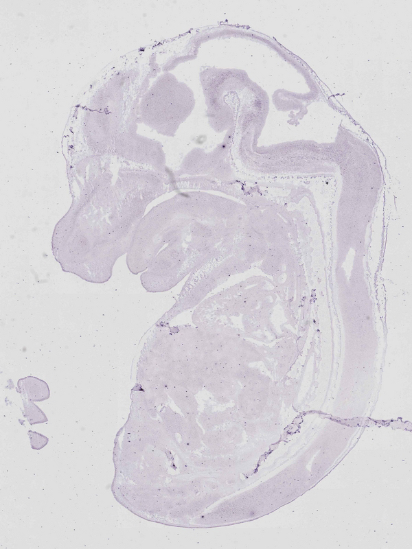
Specimen euxassay_013996_04: embryonic day 14.5 (more )
Structure Level Pattern Image Note
TS23: telencephalon mantle layer Moderate Regionally restricted euxassay_013996_04

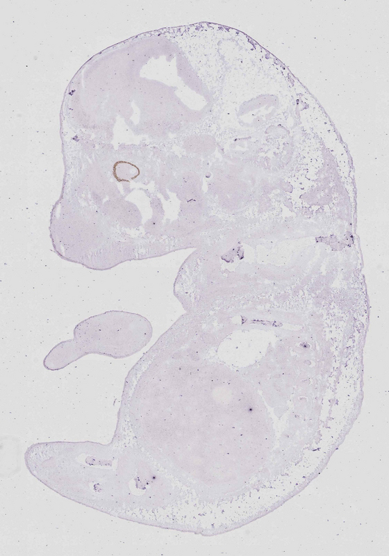
Specimen euxassay_013996_05: embryonic day 14.5 (more )
Structure Level Pattern Image Note
TS23: telencephalon mantle layer Moderate Regionally restricted euxassay_013996_05

Specimen euxassay_013996_06: embryonic day 14.5 (more )
Structure Level Pattern Image Note
TS23: telencephalon mantle layer Moderate Regionally restricted euxassay_013996_06
TS23: pons mantle layer Moderate Regionally restricted euxassay_013996_06

Specimen euxassay_013996_07: embryonic day 14.5 (more )
Structure Level Pattern Image Note
TS23: telencephalon mantle layer Moderate Regionally restricted euxassay_013996_07
TS23: pons mantle layer Moderate Regionally restricted euxassay_013996_07
TS23: heart ventricle Moderate Spotted euxassay_013996_07

Specimen euxassay_013996_08: embryonic day 14.5 (more )
Structure Level Pattern Image Note
TS23: telencephalon mantle layer Weak Regionally restricted euxassay_013996_08
TS23: pons mantle layer Weak Regionally restricted euxassay_013996_08
TS23: medulla oblongata basal plate mantle layer Weak Regionally restricted euxassay_013996_08
TS23: heart ventricle Strong Spotted euxassay_013996_08

Specimen euxassay_013996_09: embryonic day 14.5 (more )
Structure Level Pattern Image Note
TS23: telencephalon mantle layer Moderate Regionally restricted euxassay_013996_09
TS23: diencephalon lateral wall mantle layer Moderate Regionally restricted euxassay_013996_09
TS23: midbrain mantle layer Moderate Regionally restricted euxassay_013996_09
TS23: medulla oblongata basal plate mantle layer Moderate Regionally restricted euxassay_013996_09
TS23: medulla oblongata alar plate mantle layer Moderate Regionally restricted euxassay_013996_09
TS23: pons mantle layer Moderate Regionally restricted euxassay_013996_09
TS23: heart ventricle Strong Spotted euxassay_013996_09

Specimen euxassay_013996_10: embryonic day 14.5 (more )
Structure Level Pattern Image Note
TS23: diencephalon lateral wall mantle layer Moderate Regionally restricted euxassay_013996_10
TS23: telencephalon mantle layer Moderate Regionally restricted euxassay_013996_10
TS23: midbrain tegmentum Moderate Regionally restricted euxassay_013996_10
TS23: medulla oblongata alar plate mantle layer Moderate Regionally restricted euxassay_013996_10
TS23: medulla oblongata basal plate mantle layer Moderate Regionally restricted euxassay_013996_10
TS23: pons mantle layer Moderate Regionally restricted euxassay_013996_10
TS23: heart ventricle Strong Spotted euxassay_013996_10

Specimen euxassay_013996_11: embryonic day 14.5 (more )
Structure Level Pattern Image Note
TS23: diencephalon lateral wall mantle layer Moderate Regionally restricted euxassay_013996_11
TS23: telencephalon mantle layer Moderate Regionally restricted euxassay_013996_11
TS23: midbrain tegmentum Moderate Regionally restricted euxassay_013996_11
TS23: medulla oblongata alar plate mantle layer Moderate Regionally restricted euxassay_013996_11
TS23: medulla oblongata basal plate mantle layer Moderate Regionally restricted euxassay_013996_11
TS23: pons mantle layer Moderate Regionally restricted euxassay_013996_11
TS23: heart ventricle Strong Spotted euxassay_013996_11

Specimen euxassay_013996_12: embryonic day 14.5 (more )
Structure Level Pattern Image Note
TS23: diencephalon lateral wall mantle layer Weak Regionally restricted euxassay_013996_12
TS23: telencephalon mantle layer Weak Regionally restricted euxassay_013996_12
TS23: midbrain tegmentum Moderate Regionally restricted euxassay_013996_12
TS23: medulla oblongata alar plate mantle layer Weak Regionally restricted euxassay_013996_12
TS23: pons mantle layer Weak Regionally restricted euxassay_013996_12
TS23: heart ventricle Moderate Spotted euxassay_013996_12

Specimen euxassay_013996_13: embryonic day 14.5 (more )
Structure Level Pattern Image Note
TS23: diencephalon lateral wall mantle layer Moderate Regionally restricted euxassay_013996_13
TS23: telencephalon mantle layer Moderate Regionally restricted euxassay_013996_13
TS23: midbrain mantle layer Moderate Regionally restricted euxassay_013996_13
TS23: medulla oblongata alar plate mantle layer Moderate Regionally restricted euxassay_013996_13
TS23: medulla oblongata basal plate mantle layer Moderate Regionally restricted euxassay_013996_13
TS23: pons mantle layer Moderate Regionally restricted euxassay_013996_13
TS23: heart ventricle Moderate Spotted euxassay_013996_13

Specimen euxassay_013996_14: embryonic day 14.5 (more )
Structure Level Pattern Image Note
TS23: diencephalon lateral wall mantle layer Moderate Regionally restricted euxassay_013996_14
TS23: telencephalon mantle layer Moderate Regionally restricted euxassay_013996_14
TS23: midbrain mantle layer Moderate Regionally restricted euxassay_013996_14
TS23: medulla oblongata alar plate mantle layer Moderate Regionally restricted euxassay_013996_14
TS23: medulla oblongata basal plate mantle layer Moderate Regionally restricted euxassay_013996_14
TS23: pons mantle layer Moderate Regionally restricted euxassay_013996_14
TS23: heart ventricle Moderate Spotted euxassay_013996_14

Specimen euxassay_013996_15: embryonic day 14.5 (more )
Structure Level Pattern Image Note
TS23: diencephalon lateral wall mantle layer Moderate Regionally restricted euxassay_013996_15
TS23: telencephalon mantle layer Moderate Regionally restricted euxassay_013996_15
TS23: midbrain mantle layer Moderate Regionally restricted euxassay_013996_15
TS23: medulla oblongata alar plate mantle layer Moderate Regionally restricted euxassay_013996_15
TS23: medulla oblongata basal plate mantle layer Moderate Regionally restricted euxassay_013996_15
TS23: pons mantle layer Moderate Regionally restricted euxassay_013996_15
TS23: heart ventricle Moderate Spotted euxassay_013996_15

Specimen euxassay_013996_16: embryonic day 14.5 (more )
Structure Level Pattern Image Note
TS23: diencephalon lateral wall mantle layer Moderate Regionally restricted euxassay_013996_16
TS23: telencephalon mantle layer Moderate Regionally restricted euxassay_013996_16
TS23: midbrain mantle layer Moderate Regionally restricted euxassay_013996_16
TS23: medulla oblongata alar plate mantle layer Weak Regionally restricted euxassay_013996_16
TS23: pons mantle layer Weak Regionally restricted euxassay_013996_16
TS23: medulla oblongata basal plate mantle layer Weak Regionally restricted euxassay_013996_16

Specimen euxassay_013996_17: embryonic day 14.5 (more )
Structure Level Pattern Image Note
TS23: diencephalon lateral wall mantle layer Moderate Regionally restricted euxassay_013996_17
TS23: telencephalon mantle layer Moderate Regionally restricted euxassay_013996_17
TS23: midbrain mantle layer Moderate Regionally restricted euxassay_013996_17
TS23: medulla oblongata alar plate mantle layer Moderate Regionally restricted euxassay_013996_17
TS23: medulla oblongata basal plate mantle layer Moderate Regionally restricted euxassay_013996_17
TS23: pons mantle layer Moderate Regionally restricted euxassay_013996_17

Specimen euxassay_013996_18: embryonic day 14.5 (more )
Structure Level Pattern Image Note
TS23: telencephalon mantle layer Moderate Regionally restricted euxassay_013996_18
TS23: midbrain mantle layer Moderate Regionally restricted euxassay_013996_18
TS23: medulla oblongata alar plate mantle layer Moderate Regionally restricted euxassay_013996_18
TS23: medulla oblongata basal plate mantle layer Moderate Regionally restricted euxassay_013996_18
TS23: pons mantle layer Moderate Regionally restricted euxassay_013996_18

Specimen euxassay_013996_19: embryonic day 14.5 (more )
Structure Level Pattern Image Note
TS23: telencephalon mantle layer Moderate Regionally restricted euxassay_013996_19
TS23: medulla oblongata alar plate mantle layer Moderate Regionally restricted euxassay_013996_19
TS23: medulla oblongata basal plate mantle layer Moderate Regionally restricted euxassay_013996_19
TS23: pons mantle layer Moderate Regionally restricted euxassay_013996_19

Specimen euxassay_013996_20: embryonic day 14.5 (more )
Structure Level Pattern Image Note
TS23: telencephalon mantle layer Moderate Regionally restricted euxassay_013996_20

Specimen euxassay_013996_21: embryonic day 14.5 (more )
Structure Level Pattern Image Note
TS23: telencephalon mantle layer Moderate Regionally restricted euxassay_013996_21


Contributing Projects:
Mouse Genome Database (MGD), Gene Expression Database (GXD), Mouse Models of Human Cancer database (MMHCdb) (formerly Mouse Tumor Biology (MTB)), Gene Ontology (GO)
Citing These Resources
Funding Information
Warranty Disclaimer, Privacy Notice, Licensing, & Copyright
Send questions and comments to User Support.
last database update
10/07/2025
MGI 6.24
The Jackson Laboratory