About   Help   FAQ
Gene Expression Data
Assay Details
Assay
Reference: J:153498 Diez-Roux G, et al., A high-resolution anatomical atlas of the transcriptome in the mouse embryo. PLoS Biol. 2011;9(1):e1000582
Assay type: RNA in situ
MGI Accession ID: MGI:4824055
Gene symbol: Crip2
Gene name: cysteine rich protein 2
Probe: MGC clone 6346
Probe preparation: Antisense labelled with digoxigenin RNA
Visualized with: Alkaline phosphatase
Assay notes: Cryosections of fresh frozen material were fixed in 4% paraformaldehyde for 20 min. before further processing. A tyramide-biotin/streptavidin amplification step was included in the in situ hybridization procedure.
Results
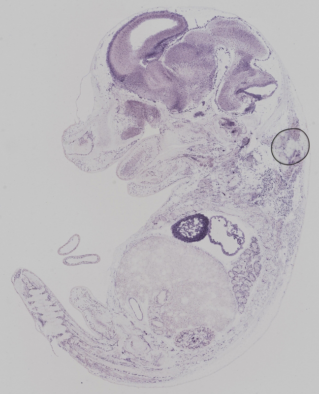
Specimen euxassay_002192_01: embryonic day 14.5 (more )
Structure Level Pattern Image Note
TS23: trigeminal ganglion Strong Regionally restricted euxassay_002192_01
TS23: dorsal root ganglion Strong Regionally restricted euxassay_002192_01

Specimen euxassay_002192_02: embryonic day 14.5 (more )
Structure Level Pattern Image Note
TS23: trigeminal ganglion Moderate Regionally restricted euxassay_002192_02
TS23: dorsal root ganglion Strong Regionally restricted euxassay_002192_02

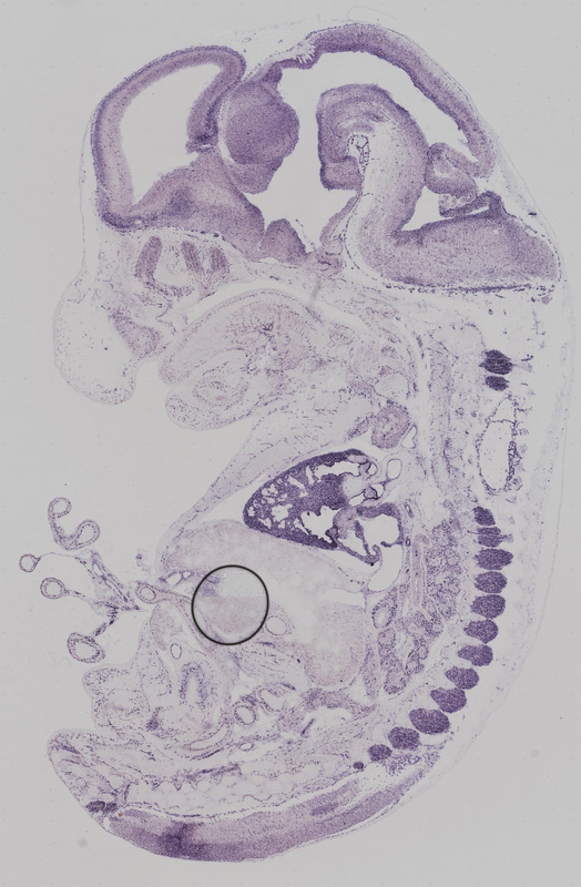
Specimen euxassay_002192_03: embryonic day 14.5 (more )
Structure Level Pattern Image Note
TS23: trigeminal ganglion Moderate Regionally restricted euxassay_002192_03
TS23: glossopharyngeal ganglion Moderate Regionally restricted euxassay_002192_03
TS23: heart ventricle Strong Regionally restricted euxassay_002192_03
TS23: dorsal root ganglion Strong Regionally restricted euxassay_002192_03

Specimen euxassay_002192_04: embryonic day 14.5 (more )
Structure Level Pattern Image Note
TS23: trigeminal ganglion Moderate Regionally restricted euxassay_002192_04
TS23: vagus ganglion Moderate Regionally restricted euxassay_002192_04
TS23: heart ventricle Strong Regionally restricted euxassay_002192_04
TS23: dorsal root ganglion Strong Regionally restricted euxassay_002192_04

Specimen euxassay_002192_05: embryonic day 14.5 (more )
Structure Level Pattern Image Note
TS23: trigeminal ganglion Moderate Regionally restricted euxassay_002192_05
TS23: heart ventricle Strong Regionally restricted euxassay_002192_05
TS23: dorsal root ganglion Strong Regionally restricted euxassay_002192_05

Specimen euxassay_002192_06: embryonic day 14.5 (more )
Structure Level Pattern Image Note
TS23: trigeminal ganglion Moderate Regionally restricted euxassay_002192_06
TS23: heart ventricle Strong Regionally restricted euxassay_002192_06
TS23: dorsal root ganglion Strong Regionally restricted euxassay_002192_06

Specimen euxassay_002192_07: embryonic day 14.5 (more )
Structure Level Pattern Image Note
TS23: heart ventricle Strong Regionally restricted euxassay_002192_07
TS23: dorsal root ganglion Strong Regionally restricted euxassay_002192_07

Specimen euxassay_002192_08: embryonic day 14.5 (more )
Structure Level Pattern Image Note
TS23: heart ventricle Strong Regionally restricted euxassay_002192_08

Specimen euxassay_002192_09: embryonic day 14.5 (more )
Structure Level Pattern Image Note
TS23: heart ventricle Strong Regionally restricted euxassay_002192_09
TS23: dorsal root ganglion Strong Regionally restricted euxassay_002192_09

Specimen euxassay_002192_10: embryonic day 14.5 (more )
Structure Level Pattern Image Note
TS23: heart ventricle Strong Regionally restricted euxassay_002192_10
TS23: dorsal root ganglion Strong Regionally restricted euxassay_002192_10

Specimen euxassay_002192_11: embryonic day 14.5 (more )
Structure Level Pattern Image Note
TS23: heart ventricle Strong Regionally restricted euxassay_002192_11
TS23: dorsal root ganglion Strong Regionally restricted euxassay_002192_11

Specimen euxassay_002192_12: embryonic day 14.5 (more )
Structure Level Pattern Image Note
TS23: glossopharyngeal ganglion Moderate Regionally restricted euxassay_002192_12
TS23: heart ventricle Strong Regionally restricted euxassay_002192_12

Specimen euxassay_002192_13: embryonic day 14.5 (more )
Structure Level Pattern Image Note
TS23: heart ventricle Strong Regionally restricted euxassay_002192_13

Specimen euxassay_002192_14: embryonic day 14.5 (more )
Structure Level Pattern Image Note
TS23: trigeminal ganglion Moderate Regionally restricted euxassay_002192_14

Specimen euxassay_002192_15: embryonic day 14.5 (more )
Structure Level Pattern Image Note
TS23: trigeminal ganglion Moderate Regionally restricted euxassay_002192_15

Specimen euxassay_002192_16: embryonic day 14.5 (more )
Structure Level Pattern Image Note
TS23: trigeminal ganglion Moderate Regionally restricted euxassay_002192_16

Specimen euxassay_002192_17: embryonic day 14.5 (more )
Structure Level Pattern Image Note
TS23: trigeminal ganglion Moderate Regionally restricted euxassay_002192_17

Specimen euxassay_002192_18: embryonic day 14.5 (more )
Structure Level Pattern Image Note
TS23: trigeminal ganglion Moderate Regionally restricted euxassay_002192_18


Contributing Projects:
Mouse Genome Database (MGD), Gene Expression Database (GXD), Mouse Models of Human Cancer database (MMHCdb) (formerly Mouse Tumor Biology (MTB)), Gene Ontology (GO)
Citing These Resources
Funding Information
Warranty Disclaimer, Privacy Notice, Licensing, & Copyright
Send questions and comments to User Support.
last database update
01/06/2026
MGI 6.24
The Jackson Laboratory