About   Help   FAQ
Gene Expression Data
Assay Details
Assay
Reference: J:153498 Diez-Roux G, et al., A high-resolution anatomical atlas of the transcriptome in the mouse embryo. PLoS Biol. 2011;9(1):e1000582
Assay type: RNA in situ
MGI Accession ID: MGI:4824043
Gene symbol: Crct1
Gene name: cysteine-rich C-terminal 1
Probe: MGC clone 69983
Probe preparation: Antisense labelled with digoxigenin RNA
Visualized with: Alkaline phosphatase
Assay notes: Cryosections of fresh frozen material were fixed in 4% paraformaldehyde for 20 min. before further processing. A tyramide-biotin/streptavidin amplification step was included in the in situ hybridization procedure.
Results
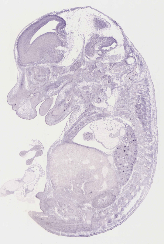
Specimen euxassay_006784_04: embryonic day 14.5 (more )
Structure Level Pattern Image Note
TS23: left lung Strong Regionally restricted euxassay_006784_04

Specimen euxassay_006784_05: embryonic day 14.5 (more )
Structure Level Pattern Image Note
TS23: left lung Strong Regionally restricted euxassay_006784_05

Specimen euxassay_006784_06: embryonic day 14.5 (more )
Structure Level Pattern Image Note
TS23: left lung Strong Regionally restricted euxassay_006784_06

Specimen euxassay_006784_07: embryonic day 14.5 (more )
Structure Level Pattern Image Note
TS23: left lung Strong Regionally restricted euxassay_006784_07

Specimen euxassay_006784_08: embryonic day 14.5 (more )
Structure Level Pattern Image Note
TS23: left lung Strong Regionally restricted euxassay_006784_08

Specimen euxassay_006784_09: embryonic day 14.5 (more )
Structure Level Pattern Image Note
TS23: left lung Strong Regionally restricted euxassay_006784_09

Specimen euxassay_006784_10: embryonic day 14.5 (more )
Structure Level Pattern Image Note
TS23: left lung Strong Regionally restricted euxassay_006784_10

Specimen euxassay_006784_11: embryonic day 14.5 (more )
Structure Level Pattern Image Note
TS23: left lung Strong Regionally restricted euxassay_006784_11

Specimen euxassay_006784_12: embryonic day 14.5 (more )
Structure Level Pattern Image Note
TS23: left lung Strong Regionally restricted euxassay_006784_12

Specimen euxassay_006784_13: embryonic day 14.5 (more )
Structure Level Pattern Image Note
TS23: left lung Strong Regionally restricted euxassay_006784_13

Specimen euxassay_006784_14: embryonic day 14.5 (more )
Structure Level Pattern Image Note
TS23: left lung Strong Regionally restricted euxassay_006784_14

Specimen euxassay_006784_15: embryonic day 14.5 (more )
Structure Level Pattern Image Note
TS23: left lung Strong Regionally restricted euxassay_006784_15

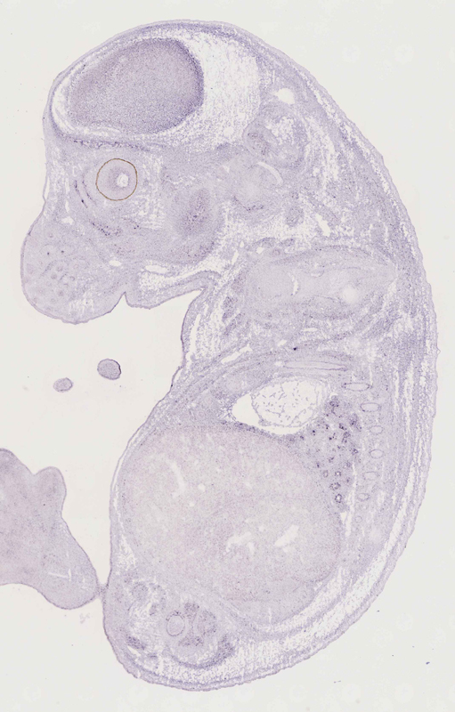
Specimen euxassay_006784_16: embryonic day 14.5 (more )
Structure Level Pattern Image Note
TS23: right lung Strong Regionally restricted euxassay_006784_16

Specimen euxassay_006784_17: embryonic day 14.5 (more )
Structure Level Pattern Image Note
TS23: right lung Strong Regionally restricted euxassay_006784_17

Specimen euxassay_006784_18: embryonic day 14.5 (more )
Structure Level Pattern Image Note
TS23: right lung Strong Regionally restricted euxassay_006784_18

Specimen euxassay_006784_19: embryonic day 14.5 (more )
Structure Level Pattern Image Note
TS23: right lung Strong Regionally restricted euxassay_006784_19

Specimen euxassay_006784_20: embryonic day 14.5 (more )
Structure Level Pattern Image Note
TS23: right lung Strong Regionally restricted euxassay_006784_20

Specimen euxassay_006784_21: embryonic day 14.5 (more )
Structure Level Pattern Image Note
TS23: right lung Strong Regionally restricted euxassay_006784_21

Specimen euxassay_006784_22: embryonic day 14.5 (more )
Structure Level Pattern Image Note
TS23: right lung Strong Regionally restricted euxassay_006784_22

Specimen euxassay_006784_23: embryonic day 14.5 (more )
Structure Level Pattern Image Note
TS23: right lung Strong Regionally restricted euxassay_006784_23

Specimen euxassay_006784_24: embryonic day 14.5 (more )
Structure Level Pattern Image Note
TS23: right lung Strong Regionally restricted euxassay_006784_24


Contributing Projects:
Mouse Genome Database (MGD), Gene Expression Database (GXD), Mouse Models of Human Cancer database (MMHCdb) (formerly Mouse Tumor Biology (MTB)), Gene Ontology (GO)
Citing These Resources
Funding Information
Warranty Disclaimer, Privacy Notice, Licensing, & Copyright
Send questions and comments to User Support.
last database update
01/28/2026
MGI 6.24
The Jackson Laboratory