About   Help   FAQ
Gene Expression Data
Assay Details
Assay
Reference: J:153498 Diez-Roux G, et al., A high-resolution anatomical atlas of the transcriptome in the mouse embryo. PLoS Biol. 2011;9(1):e1000582
Assay type: RNA in situ
MGI Accession ID: MGI:4824037
Gene symbol: Cpt1c
Gene name: carnitine palmitoyltransferase 1c
Probe: MGC clone 76495
Probe preparation: Antisense labelled with digoxigenin RNA
Visualized with: Alkaline phosphatase
Assay notes: Cryosections of fresh frozen material were fixed in 4% paraformaldehyde for 20 min. before further processing. A tyramide-biotin/streptavidin amplification step was included in the in situ hybridization procedure.
Results
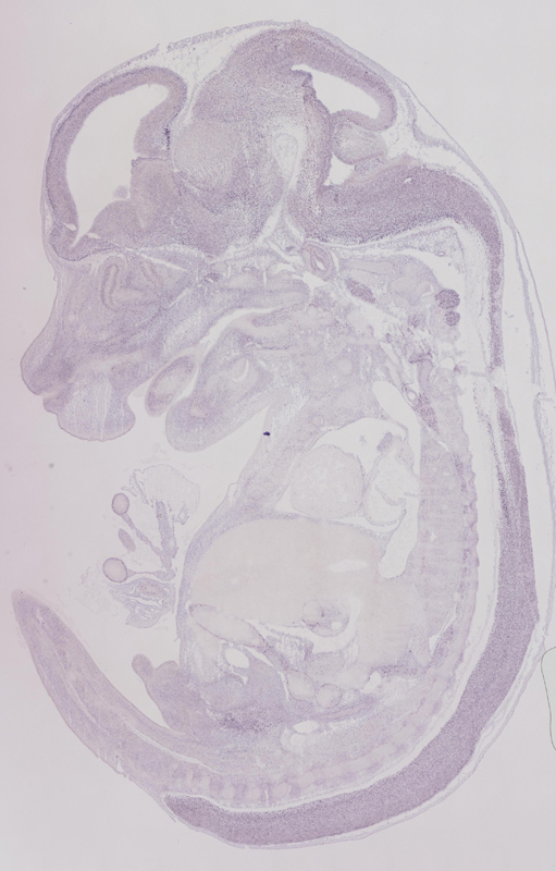
Specimen euxassay_006571_01: embryonic day 14.5 (more )
Structure Level Pattern Image Note
TS23: brain Weak Regionally restricted euxassay_006571_01

Specimen euxassay_006571_02: embryonic day 14.5 (more )
Structure Level Pattern Image Note
TS23: brain Weak Regionally restricted euxassay_006571_02

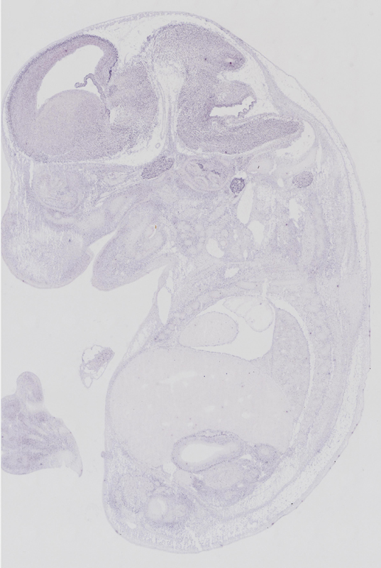
Specimen euxassay_006571_03: embryonic day 14.5 (more )
Structure Level Pattern Image Note
TS23: brain Weak Regionally restricted euxassay_006571_03
TS23: trigeminal ganglion Moderate Regionally restricted euxassay_006571_03
TS23: stomach Weak Spotted euxassay_006571_03

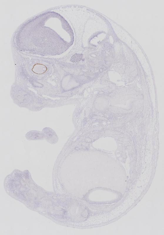
Specimen euxassay_006571_04: embryonic day 14.5 (more )
Structure Level Pattern Image Note
TS23: brain Weak Regionally restricted euxassay_006571_04
TS23: cerebral cortex marginal layer Moderate Regionally restricted euxassay_006571_04
TS23: trigeminal ganglion Moderate Regionally restricted euxassay_006571_04
TS23: stomach Weak Spotted euxassay_006571_04

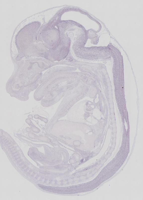
Specimen euxassay_006571_05: embryonic day 14.5 (more )
Structure Level Pattern Image Note
TS23: brain Weak Regionally restricted euxassay_006571_05
TS23: cerebral cortex marginal layer Strong Regionally restricted euxassay_006571_05
TS23: trigeminal ganglion Moderate Regionally restricted euxassay_006571_05
TS23: facial ganglion Moderate Regionally restricted euxassay_006571_05
TS23: stomach Weak Spotted euxassay_006571_05

Specimen euxassay_006571_06: embryonic day 14.5 (more )
Structure Level Pattern Image Note
TS23: brain Weak Regionally restricted euxassay_006571_06
TS23: cerebral cortex marginal layer Strong Regionally restricted euxassay_006571_06
TS23: trigeminal ganglion Moderate Regionally restricted euxassay_006571_06
TS23: facial ganglion Moderate Regionally restricted euxassay_006571_06
TS23: vestibulo-cochlear ganglion Moderate Regionally restricted euxassay_006571_06
TS23: stomach Weak Spotted euxassay_006571_06

Specimen euxassay_006571_07: embryonic day 14.5 (more )
Structure Level Pattern Image Note
TS23: brain Weak Regionally restricted euxassay_006571_07
TS23: cerebral cortex marginal layer Strong Regionally restricted euxassay_006571_07
TS23: trigeminal ganglion Moderate Regionally restricted euxassay_006571_07
TS23: facial ganglion Moderate Regionally restricted euxassay_006571_07
TS23: glossopharyngeal ganglion Moderate Regionally restricted euxassay_006571_07
TS23: vestibulo-cochlear ganglion Moderate Regionally restricted euxassay_006571_07
TS23: stomach Weak Spotted euxassay_006571_07

Specimen euxassay_006571_08: embryonic day 14.5 (more )
Structure Level Pattern Image Note
TS23: brain Weak Regionally restricted euxassay_006571_08
TS23: cerebral cortex marginal layer Strong Regionally restricted euxassay_006571_08
TS23: vagus ganglion Moderate Regionally restricted euxassay_006571_08
TS23: trigeminal ganglion Moderate Regionally restricted euxassay_006571_08
TS23: glossopharyngeal ganglion Moderate Regionally restricted euxassay_006571_08
TS23: vestibulo-cochlear ganglion Moderate Regionally restricted euxassay_006571_08
TS23: dorsal root ganglion Moderate Regionally restricted euxassay_006571_08
TS23: stomach Weak Spotted euxassay_006571_08

Specimen euxassay_006571_09: embryonic day 14.5 (more )
Structure Level Pattern Image Note
TS23: brain Weak Regionally restricted euxassay_006571_09
TS23: cerebral cortex marginal layer Strong Regionally restricted euxassay_006571_09
TS23: vagus ganglion Moderate Regionally restricted euxassay_006571_09
TS23: vestibulo-cochlear ganglion Moderate Regionally restricted euxassay_006571_09
TS23: trigeminal ganglion Moderate Regionally restricted euxassay_006571_09
TS23: dorsal root ganglion Moderate Regionally restricted euxassay_006571_09
TS23: cervical ganglion Moderate Regionally restricted euxassay_006571_09
TS23: stomach Weak Spotted euxassay_006571_09
TS23: midgut Weak Spotted euxassay_006571_09

Specimen euxassay_006571_10: embryonic day 14.5 (more )
Structure Level Pattern Image Note
TS23: brain Weak Regionally restricted euxassay_006571_10
TS23: spinal cord Weak Regionally restricted euxassay_006571_10
TS23: cerebral cortex marginal layer Strong Regionally restricted euxassay_006571_10
TS23: trigeminal ganglion Moderate Regionally restricted euxassay_006571_10
TS23: trigeminal nerve Weak Regionally restricted euxassay_006571_10
TS23: dorsal root ganglion Moderate Regionally restricted euxassay_006571_10
TS23: cervical ganglion Moderate Regionally restricted euxassay_006571_10
TS23: cervico-thoracic ganglion Moderate Regionally restricted euxassay_006571_10
TS23: midgut Weak Spotted euxassay_006571_10
TS23: stomach Weak Spotted euxassay_006571_10
TS23: adrenal medulla Weak Regionally restricted euxassay_006571_10
TS23: metanephros Weak Regionally restricted euxassay_006571_10 There was weak expression in the drainage component.

Specimen euxassay_006571_11: embryonic day 14.5 (more )
Structure Level Pattern Image Note
TS23: brain Moderate Regionally restricted euxassay_006571_11
TS23: spinal cord Moderate Regionally restricted euxassay_006571_11
TS23: cerebral cortex marginal layer Strong Regionally restricted euxassay_006571_11
TS23: cervico-thoracic ganglion Moderate Regionally restricted euxassay_006571_11
TS23: midgut Weak Spotted euxassay_006571_11
TS23: stomach Weak Spotted euxassay_006571_11
TS23: adrenal medulla Weak Regionally restricted euxassay_006571_11
TS23: metanephros Weak Regionally restricted euxassay_006571_11 There was weak expression in the drainage component.

Specimen euxassay_006571_12: embryonic day 14.5 (more )
Structure Level Pattern Image Note
TS23: brain Moderate Regionally restricted euxassay_006571_12
TS23: spinal cord Moderate Regionally restricted euxassay_006571_12
TS23: cerebral cortex marginal layer Strong Regionally restricted euxassay_006571_12
TS23: midgut Weak Spotted euxassay_006571_12

Specimen euxassay_006571_13: embryonic day 14.5 (more )
Structure Level Pattern Image Note
TS23: brain Moderate Regionally restricted euxassay_006571_13
TS23: spinal cord Moderate Regionally restricted euxassay_006571_13
TS23: thoracic ganglion Moderate Regionally restricted euxassay_006571_13
TS23: midgut Weak Spotted euxassay_006571_13

Specimen euxassay_006571_14: embryonic day 14.5 (more )
Structure Level Pattern Image Note
TS23: brain Moderate Regionally restricted euxassay_006571_14
TS23: spinal cord Moderate Regionally restricted euxassay_006571_14
TS23: cerebral cortex marginal layer Strong Regionally restricted euxassay_006571_14
TS23: thoracic ganglion Moderate Regionally restricted euxassay_006571_14
TS23: midgut Weak Spotted euxassay_006571_14

Specimen euxassay_006571_15: embryonic day 14.5 (more )
Structure Level Pattern Image Note
TS23: brain Moderate Regionally restricted euxassay_006571_15
TS23: spinal cord Moderate Regionally restricted euxassay_006571_15
TS23: cerebral cortex marginal layer Strong Regionally restricted euxassay_006571_15
TS23: thoracic ganglion Moderate Regionally restricted euxassay_006571_15
TS23: midgut Weak Spotted euxassay_006571_15

Specimen euxassay_006571_16: embryonic day 14.5 (more )
Structure Level Pattern Image Note
TS23: brain Moderate Regionally restricted euxassay_006571_16
TS23: spinal cord Moderate Regionally restricted euxassay_006571_16
TS23: cerebral cortex marginal layer Strong Regionally restricted euxassay_006571_16
TS23: dorsal root ganglion Moderate Regionally restricted euxassay_006571_16
TS23: cervico-thoracic ganglion Moderate Regionally restricted euxassay_006571_16
TS23: cervical ganglion Moderate Regionally restricted euxassay_006571_16
TS23: midgut Weak Spotted euxassay_006571_16

Specimen euxassay_006571_17: embryonic day 14.5 (more )
Structure Level Pattern Image Note
TS23: brain Moderate Regionally restricted euxassay_006571_17
TS23: spinal cord Moderate Regionally restricted euxassay_006571_17
TS23: cerebral cortex marginal layer Strong Regionally restricted euxassay_006571_17
TS23: trigeminal nerve Weak Regionally restricted euxassay_006571_17
TS23: trigeminal ganglion Moderate Regionally restricted euxassay_006571_17
TS23: vestibulo-cochlear ganglion Moderate Regionally restricted euxassay_006571_17
TS23: vagus ganglion Moderate Regionally restricted euxassay_006571_17
TS23: dorsal root ganglion Moderate Regionally restricted euxassay_006571_17
TS23: cervico-thoracic ganglion Moderate Regionally restricted euxassay_006571_17
TS23: cervical ganglion Moderate Regionally restricted euxassay_006571_17
TS23: midgut Weak Spotted euxassay_006571_17
TS23: adrenal medulla Weak Regionally restricted euxassay_006571_17

Specimen euxassay_006571_18: embryonic day 14.5 (more )
Structure Level Pattern Image Note
TS23: brain Moderate Regionally restricted euxassay_006571_18
TS23: spinal cord Moderate Regionally restricted euxassay_006571_18
TS23: cerebral cortex marginal layer Strong Regionally restricted euxassay_006571_18
TS23: trigeminal ganglion Moderate Regionally restricted euxassay_006571_18
TS23: vagus ganglion Moderate Regionally restricted euxassay_006571_18
TS23: glossopharyngeal ganglion Moderate Regionally restricted euxassay_006571_18
TS23: vestibulo-cochlear ganglion Moderate Regionally restricted euxassay_006571_18
TS23: dorsal root ganglion Moderate Regionally restricted euxassay_006571_18
TS23: midgut Weak Spotted euxassay_006571_18
TS23: metanephros Weak Regionally restricted euxassay_006571_18 There was weak expression in the drainage component.
TS23: adrenal medulla Weak Regionally restricted euxassay_006571_18

Specimen euxassay_006571_19: embryonic day 14.5 (more )
Structure Level Pattern Image Note
TS23: brain Moderate Regionally restricted euxassay_006571_19
TS23: cerebral cortex marginal layer Strong Regionally restricted euxassay_006571_19
TS23: trigeminal ganglion Moderate Regionally restricted euxassay_006571_19
TS23: glossopharyngeal ganglion Moderate Regionally restricted euxassay_006571_19
TS23: vestibulo-cochlear ganglion Moderate Regionally restricted euxassay_006571_19
TS23: dorsal root ganglion Moderate Regionally restricted euxassay_006571_19
TS23: midgut Weak Spotted euxassay_006571_19
TS23: adrenal medulla Weak Regionally restricted euxassay_006571_19
TS23: metanephros Weak Regionally restricted euxassay_006571_19 There was weak expression in the drainage component.

Specimen euxassay_006571_20: embryonic day 14.5 (more )
Structure Level Pattern Image Note
TS23: brain Moderate Regionally restricted euxassay_006571_20
TS23: cerebral cortex marginal layer Strong Regionally restricted euxassay_006571_20
TS23: trigeminal ganglion Moderate Regionally restricted euxassay_006571_20
TS23: facial ganglion Moderate Regionally restricted euxassay_006571_20
TS23: vestibulo-cochlear ganglion Moderate Regionally restricted euxassay_006571_20
TS23: midgut Weak Spotted euxassay_006571_20

Specimen euxassay_006571_21: embryonic day 14.5 (more )
Structure Level Pattern Image Note
TS23: brain Moderate Regionally restricted euxassay_006571_21
TS23: cerebral cortex marginal layer Strong Regionally restricted euxassay_006571_21
TS23: trigeminal ganglion Moderate Regionally restricted euxassay_006571_21
TS23: facial ganglion Moderate Regionally restricted euxassay_006571_21
TS23: midgut Weak Spotted euxassay_006571_21

Specimen euxassay_006571_22: embryonic day 14.5 (more )
Structure Level Pattern Image Note
TS23: brain Moderate Regionally restricted euxassay_006571_22
TS23: trigeminal ganglion Moderate Regionally restricted euxassay_006571_22
TS23: facial ganglion Moderate Regionally restricted euxassay_006571_22


Contributing Projects:
Mouse Genome Database (MGD), Gene Expression Database (GXD), Mouse Models of Human Cancer database (MMHCdb) (formerly Mouse Tumor Biology (MTB)), Gene Ontology (GO)
Citing These Resources
Funding Information
Warranty Disclaimer, Privacy Notice, Licensing, & Copyright
Send questions and comments to User Support.
last database update
01/28/2026
MGI 6.24
The Jackson Laboratory